手机用户可
保存上方二维码到手机中,在
微信扫一扫中右上角选择“从
相册选取二维码”即可。
1、单项选择题
患者女,52岁,颈部不适2年。MRI检查结果如下图。

病变的定性诊断为()
A.脊膜瘤
B.神经纤维瘤
C.神经鞘瘤
D.转移瘤
E.表皮样囊肿
F.血管瘤
点击查看答案
本题答案:A
本题解析:暂无解析
2、单项选择题 患者男,35岁,肩关节外伤。查体:肩关节外形未见异常,上肢上抬活动受限。
此时最佳的影像学检查方法为()
A.肩关节正位X线平片
B.肩关节穿胸位
C.CT
D.MRI
E.MRI关节造影
点击查看答案
本题答案:D
本题解析:暂无解析
3、单项选择题 患者男,35岁,肩关节外伤。查体:肩关节外形未见异常,上肢上抬活动受限。
最可能的诊断是()
A.肩关节脱位
B.冈上肌腱撕裂
C.肩关节退行性骨关节炎
D.单纯肩关节腔积液
E.单纯软组织损伤
点击查看答案
本题答案:B
本题解析:暂无解析
4、单项选择题 黄韧带肥厚是指黄韧带厚度大于()
A.2mm
B.3mm
C.5mm
D.7mm
E.9mm
点击查看答案
本题答案:C
本题解析:暂无解析
5、单项选择题
患者女,54岁,右膝关节痛。实验室检查:类风湿因子阳性,除外膝关节类风湿性关节炎。X线检查结果如下图。

类风湿性关节炎早期的病理改变是()
A.关节软骨变性
B.关节滑膜增生
C.滑膜血管翼形成
D.关节强直
E.关节边缘骨侵蚀
点击查看答案
本题答案:B
本题解析:暂无解析
6、单项选择题
患者男,15岁。右膝X线平片和CT检查见下图。

此病变最可能的诊断是()
A.骨巨细胞瘤
B.内生软骨瘤
C.骨结核
D.成软骨细胞瘤
E.软骨黏液样纤维瘤
点击查看答案
本题答案:D
本题解析:暂无解析
7、单项选择题 脊柱最早发生退变的部位是()
A.椎间盘
B.椎小关节
C.软骨终板
D.软骨下骨板
E.椎旁韧带
点击查看答案
本题答案:A
本题解析:暂无解析
8、单项选择题
患者男,28岁,右下腹及臀部疼痛5个月余。查体:右髂骨外后侧压痛,右下腹可触及一软组织包块,质韧,固定。行骨盆正位CR、骨盆CT及MR扫描见下图。

关于病变发生的部位,叙述正确的是()
A.右髂骨皮质部,累及右侧腰大肌
B.右髂骨髓质部,累及右髂骨皮质及右侧腰大肌
C.右侧腰大肌,累及右髂骨
D.盲肠,累及右髂骨
E.末段回肠,累及右髂骨
点击查看答案
本题答案:B
本题解析:暂无解析
9、单项选择题
患者女,71岁,双侧肩痛半年余。有较长SLE病史和激素用药史。行左肩X线平片、MR检查(下图)。
关于肩关节结核,下列描述正确的是()
A.肩关节结核病程进展快
B.肩关节为结核最好发部位
C.肩关节结核多为单纯性滑膜型结核
D.肩关节结核常常为双侧受累
E.侵犯滑膜、软骨和骨的结核为全关节结核
点击查看答案
本题答案:E
本题解析:暂无解析
10、单项选择题
患者男,17岁,右大腿外侧间歇性疼痛逐渐加重近3个月,夜间为重,X线片及CT示右股骨干下段外侧骨皮质梭形增厚硬化,增厚的骨皮质中心隐约可见小圆形低密度灶,骨髓腔未闭合,无外伤史(图1、2)。

为进一步确诊首选的影像学检查方法是()
A.增强CT
B.薄层高分辨CT
C.MRA
D.DSA
E.ECT
点击查看答案
本题答案:B
本题解析:暂无解析
11、多项选择题 脊柱易发生肥厚和钙化,并引起相应临床症状的韧带有()
A.棘上韧带
B.棘间韧带
C.前纵韧带
D.后纵韧带
E.黄韧带
点击查看答案
本题答案:D, E
本题解析:暂无解析
12、单项选择题
患者男,50岁。椎体正位X线平片及骨扫描检查见图1和图2。


椎体X线片显示T10W椎体呈骨硬化改变,即“象牙椎”,应鉴别诊断的疾病不包括()
A.成骨性骨转移瘤
B.淋巴瘤
C.骨巨细胞瘤
D.畸形性骨炎(Paget病)
E.椎体结核
点击查看答案
本题答案:C
本题解析:暂无解析
13、单项选择题 具有典型“附丽病”表现的是()
A.RA
B.AS
C.Reiter综合征
D.牛皮癣性关节炎
E.肠病性关节炎
点击查看答案
本题答案:B
本题解析:暂无解析
14、单项选择题 患者女,40岁,低热,肌肉酸痛,血沉增快,双手小关节肿痛,后出现颈部僵硬,活动受限。颈部CT显示:寰椎前后弓、侧块,枢椎齿状突、双侧枕骨髁边缘出现虫蚀样骨质破坏,寰枢关节面毛糙模糊,C1前弓后缘与齿状突前关节的距离>2mm,钩椎关节面亦模糊。颈部MRI显示寰枢关节及钩椎关节滑膜增厚。
与类风湿性关节炎无关的是()
A.骨性强直
B.关节间隙变窄
C.骨质疏松
D.关节旁软组织内钙化影
E.关节梭形肿胀
点击查看答案
本题答案:A
本题解析:暂无解析
15、单项选择题 患者女,40岁,低热,肌肉酸痛,血沉增快,双手小关节肿痛,后出现颈部僵硬,活动受限。颈部CT显示:寰椎前后弓、侧块,枢椎齿状突、双侧枕骨髁边缘出现虫蚀样骨质破坏,寰枢关节面毛糙模糊,C1前弓后缘与齿状突前关节的距离>2mm,钩椎关节面亦模糊。颈部MRI显示寰枢关节及钩椎关节滑膜增厚。
最有可能的诊断是()
A.强直性脊柱炎
B.脊柱类风湿性关节炎
C.脊柱结核
D.化脓性脊柱炎
E.脊柱血管瘤
点击查看答案
本题答案:B
本题解析:暂无解析
16、多项选择题 隐性神经管闭合不全包括()
A.脊膜膨出
B.脊髓脊膜膨出
C.脂肪脊髓脊膜膨出
D.脊髓栓系综合征
E.脊髓膨出
点击查看答案
本题答案:A, C
本题解析:暂无解析
17、多项选择题
患者女,52岁,颈部不适2年。MRI检查结果如下图。

观察所给出的MRI影像,对病变定位、定性诊断有意义的征象包括()
A.病变水平脊髓受压变细
B.病变与脊髓关系不清晰
C.病变上下方蛛网膜下腔增宽
D.矢状位示病变周围蛛网膜下腔无变化
E.脊髓向健侧移位
F.病变明显均匀强化
G.未见病变向椎间孔延伸
点击查看答案
本题答案:A, C, E, F, G
本题解析:暂无解析
18、单项选择题 患者男,76岁。主因全身多骨疼痛,腰痛入院。
对于此病例骨盆和腰椎多发棉絮状高密度影的鉴别诊断,不应包括()
A.多发骨纤维异常增生症
B.蜡油样骨病
C.多发骨岛
D.畸形性骨炎
E.多发成骨性骨转移
F.甲状旁腺功能亢进
点击查看答案
本题答案:F
本题解析:暂无解析
19、多项选择题
患者女,55岁,下腰痛,左下肢活动不利。
关于增强检查的影像(如下图)的描述,正确的是()
A.病变明显环形强化
B.病变本身无强化,周围结缔组织强化
C.病变将硬膜外脂肪组织向后方推移
D.病变起源于神经
E.病变起源于椎间盘
F.病变源于硬脊膜
点击查看答案
本题答案:B, C, E
本题解析:暂无解析
20、单项选择题
患者男,15岁。右膝X线平片和CT检查见下图。

根据此病灶内部多发钙化,对其定性诊断的提示是()
A.良性
B.骨源性
C.软骨源性
D.纤维源性
E.恶性
点击查看答案
本题答案:C
本题解析:暂无解析
21、单项选择题
患者女,54岁,右膝关节痛。实验室检查:类风湿因子阳性,除外膝关节类风湿性关节炎。X线检查结果如下图。
MRI结果如下图,诊断应为()
A.膝关节退行性骨关节炎
B.膝关节类风湿性关节炎
C.膝关节色素沉着绒毛结节性滑膜炎
D.膝关节滑膜型结核
E.血清阴性脊椎关节炎膝关节侵犯
点击查看答案
本题答案:B
本题解析:暂无解析
22、多项选择题 骨肉瘤的主要X线征象包括()
A.骨质破坏
B.软组织肿块
C.Codman三角
D.软骨破坏
E.肿瘤骨
点击查看答案
本题答案:A, B, C, D, E
本题解析:暂无解析
23、单项选择题
患者男,28岁,右下腹及臀部疼痛5个月余。查体:右髂骨外后侧压痛,右下腹可触及一软组织包块,质韧,固定。行骨盆正位CR、骨盆CT及MR扫描见下图。

此病变最可能的诊断是()
A.骨囊肿
B.动脉瘤样骨囊肿
C.骨结核
D.骨巨细胞瘤
E.硬韧带样纤维瘤
点击查看答案
本题答案:B
本题解析:暂无解析
24、单项选择题 患者30岁,诉膝关节间歇性隐痛胀半年多,查胫骨上端内侧肿胀,触之有乒乓球感,X线片示胫骨上端偏内侧呈膨胀性肥皂泡样骨质破坏,横径大于纵径,诊断应首先考虑()
A.骨囊肿
B.动脉瘤样骨囊肿
C.成软骨细胞瘤
D.溶骨型骨肉瘤
E.骨巨细胞瘤
点击查看答案
本题答案:E
本题解析:暂无解析
25、单项选择题 患者女,55岁,下腰痛,左下肢活动不利。
根据上述分析,最后的诊断应为()
A.神经鞘瘤
B.神经纤维瘤
C.椎间盘脱出,伴髓核向下游离
D.转移瘤
E.脊膜瘤
F.淋巴瘤
点击查看答案
本题答案:C
本题解析:暂无解析
26、多项选择题
患者女,35岁,左膝关节隐痛1年余,近1周加重,活动后明显疼痛。查体:左股骨下端外侧肿胀,压痛。行左膝关节正侧位CR,并行左膝关节CT扫描,见下图。




依据此病变的CT表现,以下说法正确的是()
A.病变边缘清晰
B.CT示左股骨外髁骨皮质不完整,提示病变为恶性或生长活跃
C.病灶内部密度不均
D.病灶周围可见软组织肿胀,提示为炎性病变
E.病灶无明显硬化缘
F.病灶呈中心性生长
点击查看答案
本题答案:A, B, C, E
本题解析:暂无解析
27、单项选择题
患者女,54岁,右膝关节痛。实验室检查:类风湿因子阳性,除外膝关节类风湿性关节炎。X线检查结果如下图。

观察X线平片后,最可能的诊断是()
A.膝关节退行性骨关节炎
B.膝关节类风湿性关节炎
C.膝关节色素沉着绒毛结节性滑膜炎
D.膝关节滑膜型结核
E.血清阴性脊椎关节炎膝关 节侵犯
点击查看答案
本题答案:A
本题解析:暂无解析
28、单项选择题 患者男,76岁。主因全身多骨疼痛,腰痛入院。
影像检查中出现的多发骨高密度影,应主要考虑()
A.多发骨纤维异常增生症
B.蜡油样骨病
C.多发骨岛
D.畸形性骨炎
E.前列腺癌多发骨转移
F.甲状旁腺功能亢进
点击查看答案
本题答案:E
本题解析:暂无解析
29、单项选择题 患者女,40岁,低热,肌肉酸痛,血沉增快,双手小关节肿痛,后出现颈部僵硬,活动受限。颈部CT显示:寰椎前后弓、侧块,枢椎齿状突、双侧枕骨髁边缘出现虫蚀样骨质破坏,寰枢关节面毛糙模糊,C1前弓后缘与齿状突前关节的距离>2mm,钩椎关节面亦模糊。颈部MRI显示寰枢关节及钩椎关节滑膜增厚。
类风湿关节炎初期主要病变在()
A.关节软骨
B.骨组织
C.关节韧带
D.滑膜组织
E.邻近软组织
点击查看答案
本题答案:D
本题解析:暂无解析
30、单项选择题 寰枢关节脱位与韧带损伤有关,此韧带是()
A.项韧带
B.横韧带
C.前纵韧带
D.后纵韧带
E.棘间韧带
点击查看答案
本题答案:B
本题解析:暂无解析
31、单项选择题
患者男,28岁,偶尔发现右手第5近节指骨肿胀。查体:右手掌肿块,质硬,无明显压痛,无发热。进行了右手X线平片CT检查(下图)。

对于此病变影像学征象的描述,不正确的是()
A.右手小指骨干囊性膨胀性溶骨破坏
B.边缘清楚可见硬化缘
C.病灶内可见不规则钙化
D.可见骨膜反应
E.病变为偏心性生长
点击查看答案
本题答案:E
本题解析:暂无解析
32、单项选择题 血友病性关节炎最具诊断价值的影像学表现为()
A.关节囊肿大,密度增高
B.关节周围骨质疏松
C.骨骺、骨端边缘不规则
D.软组织内不规则钙化
E.股骨髁间窝增宽
点击查看答案
本题答案:E
本题解析:暂无解析
33、单项选择题 扁平椎常见于()
A.椎体嗜酸性肉芽肿
B.脊柱结核
C.化脓性脊柱炎
D.椎体转移瘤
E.椎体动脉瘤样骨囊肿
点击查看答案
本题答案:A
本题解析:暂无解析
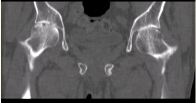
34、多项选择题
患者女,53岁,双髋关节痛。双髋关节CT平扫冠状重组影像如下图。
可能的诊断为()
A.右侧股骨头缺血性坏死,左髋关节退行性变
B.双髋关节退行性变
C.双髋关节类风湿性关节炎
D.强直性脊柱炎累及双髋关节
E.右髋关节退行性变,左髋关节未见异常
F.双髋关节结核性关节炎
G.双髋关节滑膜炎
点击查看答案
本题答案:C, D
本题解析:暂无解析
35、单项选择题 确定骨肉瘤诊断的本质性X线表现为()
A.骨折破坏
B.肿瘤骨
C.骨膜反应
D.局部软组织肿块
E.骨皮质缺损
点击查看答案
本题答案:B
本题解析:暂无解析
36、单项选择题
患者男,50岁。椎体正位X线平片及骨扫描检查见图1和图2。


关于畸形性骨炎(Paget病)的诊断依据,描述正确的是()
A.椎体显示修复性骨硬化改变
B.病变只累及椎体,不累及附件
C.椎体不发生骨质破坏
D.骨扫描显示椎体及附件均出现核素摄取增加,证明此病变肯定为为恶性病变
E.血清碱性磷酸酶升高对诊断具有特异性
点击查看答案
本题答案:A
本题解析:暂无解析
37、多项选择题 继发性ABC,其原发疾病包括()
A.巨细胞瘤
B.非骨化性纤维瘤
C.骨囊肿
D.血管瘤
E.嗜酸性肉芽肿
点击查看答案
本题答案:A, B, C, D
本题解析:暂无解析
38、单项选择题
患者男,15岁。右膝X线平片和CT检查见下图。

病变发生部位是()
A.骨端
B.干骺端
C.骨骺
D.骨干
E.关节腔
点击查看答案
本题答案:C
本题解析:暂无解析
39、单项选择题 对诊断骨髓瘤最有价值的是()
A.50岁以上的男性
B.全身性疼痛
C.尿中出现本周蛋白
D.进行性贫血
E.血清钙及球蛋白升高
点击查看答案
本题答案:C
本题解析:暂无解析
40、多项选择题 Ewing肉瘤不会出现的征象是()
A.边缘骨硬化
B.病变处骨皮质膨隆
C.骨包壳形成
D.软组织肿块内针状瘤骨
E.骨膜反应
点击查看答案
本题答案:A, B, C
本题解析:暂无解析
41、多项选择题
患者女,52岁,颈部不适2年。MRI检查结果如下图。

关于脊膜瘤,正确的是()
A.好发于女性
B.有完整包膜
C.瘤体内可见钙化
D.发病率占髓外硬膜下肿瘤的第2位
E.可以跨硬膜生长
F.均匀中等至明显强化
点击查看答案
本题答案:A, B, C, D, E, F
本题解析:暂无解析
42、单项选择题
患者女,71岁,双侧肩痛半年余。有较长SLE病史和激素用药史。行左肩X线平片、MR检查(下图)。

根据所见左肩关节征象,鉴别诊断不应包括()
A.肱骨头缺血性坏死
B.肩关节滑膜肉瘤
C.色素沉着绒毛结节性滑膜炎
D.肩关节结核
E.肩关节化脓性关节炎
点击查看答案
本题答案:A
本题解析:暂无解析
43、单项选择题 位于椎体一侧,很少跨越中线的病变是()
A.单发骨囊肿
B.椎体ABC
C.椎体巨细胞瘤
D.嗜酸性肉芽肿
E.骨纤维异常增生症
点击查看答案
本题答案:B
本题解析:暂无解析
44、单项来源:91考试网 www.91exAm.org选择题 患者男,35岁,肩关节外伤。查体:肩关节外形未见异常,上肢上抬活动受限。
肩袖的构成,不包括()
A.肩胛下肌腱
B.冈下肌腱
C.小圆肌腱
D.肱二头肌肌腱
E.冈上肌腱
点击查看答案
本题答案:D
本题解析:暂无解析
45、单项选择题
患者女,54岁,右膝关节痛。实验室检查:类风湿因子阳性,除外膝关节类风湿性关节炎。X线检查结果如下图。

判断类风湿性关节炎活动性的检查方法是()
A.CR
B.CT
C.MRI
D.MRI增强检查
E.动态增强MRI
点击查看答案
本题答案:E
本题解析:暂无解析
46、多项选择题 患者男,76岁。主因全身多骨疼痛,腰痛入院。
为明确诊断,必要的实验室检查是(提示骨盆、腰椎X线片显示骨盆、腰椎多发棉絮状高密度影;盆腔MR扫描TWI序列显示前列腺右侧外周带类圆形低信号影。)()
A.结核菌素试验
B.痰培养
C.血PSA
D.血流变
E.本周蛋白
F.血钙
点击查看答案
本题答案:C, E, F
本题解析:暂无解析
47、多项选择题
患者女,53岁,双髋关节痛。双髋关节CT平扫冠状重组影像如下图。

髋关节类风湿性关节炎的表现包括()
A.关节间隙均匀性狭窄
B.关节边缘骨赘形成
C.关节周围骨质疏松
D.股骨头轴向移位
E.关节表面骨侵蚀
F.关节腔滑膜增生
G.MRI动态增强检查可以判断病变的活动性
H.关节面下增生、硬化
点击查看答案
本题答案:A, C, D, E, F, G
本题解析:暂无解析
48、多项选择题
患者女,55岁,下腰痛,左下肢活动不利。
患者MRI平扫影像如下图,病变的位置是()
A.位于硬膜下腔
B.位于硬膜外腔
C.位于髓外硬膜内
D.起源于神经
E.向椎间孔延伸
F.病变被硬膜外脂肪包绕
点击查看答案
本题答案:B, F
本题解析:暂无解析
49、多项选择题
患者男,47岁,左髋部疼痛及压痛6个月,“4”字试验阳性。左髋关节内、外旋活动受限。检查提示:左髋关节活动轻度受限,大腿上部轻压痛。血常规检查正常。髋关节CT及MRI如下图。

对本病例,你首先考虑的诊断是()
A.骨髓炎
B.左股骨头缺血性坏死
C.退行性关节病
D.关节结核
E.骨岛
F.左髋关节腔积液
点击查看答案
本题答案:B, F
本题解析:暂无解析
50、多项选择题 骨巨细胞瘤的典型征象是()
A.偏心性膨胀性骨破坏,皂泡样改变,边缘清楚
B.远离骨干骺端的偏心性囊性骨破坏,边缘硬化
C.骨端的囊性破坏区,其透光区模糊,皮质变薄
D.近距骨干骺端的中心性囊性骨质破坏,常伴有病理性骨折
E.位于骨骺的多发性骨质破坏,内有钙化
点击查看答案
本题答案:A, C
本题解析:暂无解析
51、多项选择题
患者女,35岁,左膝关节隐痛1年余,近1周加重,活动后明显疼痛。查体:左股骨下端外侧肿胀,压痛。行左膝关节正侧位CR,并行左膝关节CT扫描,见下图。




根据膝关节CR和CT影像,你认为此病例的影像学表现有()
A.左股骨外髁溶骨性骨质破坏
B.病灶呈明显膨胀
C.病变边缘清晰,有明显硬化缘
D.CT示左股骨外髁骨皮质不完整
E.病灶边缘可见骨膜反应,Codman三角形成
F.病灶周围软组织肿胀
点击查看答案
本题答案:A, B, D, F
本题解析:暂无解析
52、多项选择题  ; 骨样骨瘤与成骨细胞瘤的鉴别点包括()
A.骨样骨瘤夜间疼痛,服水杨酸制剂缓解,而成骨细胞瘤无此特点
B.骨样骨瘤瘤巢直径多小于2cm,而成骨细胞瘤直径多大于2cm
C.骨样骨瘤有自愈倾向,而成骨细胞瘤倾向进展,少数可恶变
D.骨样骨瘤周围反应性增生硬化明显
E.骨样骨瘤很少突破骨皮质形成周围软组织肿块,成骨细胞瘤可突破骨皮质,侵犯临近软组织
点击查看答案
本题答案:A, B, C, D, E
本题解析:暂无解析
53、单项选择题 脊柱类风湿性关节炎最早受侵犯的部位是()
A.寰枢关节
B.骨突关节
C.椎间盘
D.软骨终板
E.软骨下骨板
点击查看答案
本题答案:A
本题解析:暂无解析
54、单项选择题 不属于骨肿瘤样病变的是()
A.动脉瘤样骨囊肿
B.骨巨细胞瘤
C.骨囊肿
D.骨纤维异常增生症
E.畸形性骨炎
点击查看答案
本题答案:B
本题解析:暂无解析
55、单项选择题
患者女,54岁,右膝关节痛。实验室检查:类风湿因子阳性,除外膝关节类风湿性关节炎。X线检查结果如下图。

X线平片表现不包括()
A.关节边缘骨赘形成
B.关节边缘骨侵蚀
C.关节间隙不均匀变窄
D.关节囊肿胀
E.股骨内侧髁关节面下局限性硬化
点击查看答案
本题答案:B
本题解析:暂无解析
56、单项选择题 椎体巨细胞瘤的好发部位是()
A.颈椎
B.胸椎
C.腰椎
D.骶椎
E.尾椎
点击查看答案
本题答案:D
本题解析:暂无解析
57、多项选择题 骨软骨瘤的恶变征象包括()
A.成人骨软骨瘤的软骨帽厚度>1cm
B.停止生长的肿瘤突然迅速长大
C.钙化灶边缘变模糊甚至消失
D.肿瘤基底的骨质出现不规则破坏
E.出现软组织肿块
点击查看答案
本题答案:A, B, C, D, E
本题解析:暂无解析
58、单项选择题
患者男,28岁,偶尔发现右手第5近节指骨肿胀。查体:右手掌肿块,质硬,无明显压痛,无发热。进行了右手X线平片CT检查(下图)。

病变发生部位在()
A.近节指骨骨端
B.近节指骨骨干
C.近节指骨骨骺
D.近节指骨干骺端
E.指骨周围软组织
点击查看答案
本题答案:B
本题解析:暂无解析
59、单项选择题
患者女,71岁,双侧肩痛半年余。有较长SLE病史和激素用药史。行左肩X线平片、MR检查(下图)。
结合病人的影像学资料,以及右侧肩关节的MR检查资料(下图),则可能性最大的诊断为()
A.双侧肩关节缺血性坏死
B.肩关节滑膜肉瘤
C.色素沉着绒毛结节性滑膜炎
D.肩关节结核
E.肩关节化脓性关节炎
点击查看答案
本题答案:D
本题解析:暂无解析
60、多项选择题
对显示骨髓病变较敏感的MRI扫描序列为()
A.SET1WI
B.FET2*WI
C.STIR
D.FSEPDWI
E.MRI增强检查
点击查看答案
本题答案:A, C, E
本题解析:暂无解析
61、单项选择题 杰氏(Jefferson)骨折部位是指()
A.C1
B.C2
C.C3
D.C4
E.C5
点击查看答案
本题答案:A
本题解析:暂无解析
62、多项选择题
患者男,22岁,长期存在骨和关节变形,近期出现右肘关节疼痛,进行性加重。行右肘关节X线正侧位片检查,见下图。

有关内生软骨瘤(Ollier病),描述正确的是()
A.不属于遗传性病变
B.不伴发其他病变
C.常见于女性青少年
D.出现关节疼痛进行性加重对诊断无重要意义
E.伴发软骨发育障碍
F.具有单侧发病倾向
点击查看答案
本题答案:A, E, F
本题解析:暂无解析
63、单项选择题
患者男,50岁。椎体正位X线平片及骨扫描检查见图1和图2。


如伴有T10W椎体前后径增大,可能性最大的诊断为()
A.成骨性骨转移瘤
B.淋巴瘤
C.脊索瘤
D.畸形性骨炎(Paget病)
E.椎体结核
点击查看答案
本题答案:D
本题解析:暂无解析
64、单项选择题 脊神经共有()
A.28对
B.29对
C.30对
D.31对
E.32对
点击查看答案
本题答案:D
本题解析:暂无解析
65、多项选择题 发出根髓动脉的血管有()
A.椎动脉
B.颈深动脉
C.肋间动脉
D.腰动脉
E.颈升动脉
点击查看答案
本题答案:A, B, C, D, E
本题解析:暂无解析
66、单项选择题
患者男,15岁。右膝X线平片和CT检查见下图。

对于此病变的征象,描述不正确的是()
A.右胫骨内侧平台近关节面下不规则溶骨性破坏
B.边缘可见硬化缘
C.病灶内可见多发细小点状钙化
D.可见骨膜反应
E.病变为偏心性生长
点击查看答案
本题答案:D
本题解析:暂无解析
67、单项选择题
患者女,35岁,左膝关节隐痛1年余,近1周加重,活动后明显疼痛。查体:左股骨下端外侧肿胀,压痛。行左膝关节正侧位CR,并行左膝关节CT扫描,见下图。




对本病例,应首先考虑的诊断是()
A.动脉瘤样骨囊肿
B.骨囊肿
C.成软骨细胞瘤
D.骨结核
E.骨巨细胞瘤
F.非骨化性纤维瘤
点击查看答案
本题答案:E
本题解析:暂无解析
68、单项选择题 骨肿瘤的基本X线征象不包括()
A.骨质破坏
B.软骨破坏
C.椎旁脓肿
D.瘤骨和瘤软骨
E.肿瘤的反应骨
点击查看答案
本题答案:C
本题解析:暂无解析
69、多项选择题 易形成关节强直的关节病为()
A.化脓性关节炎
B.神经营养性关节炎
C.类风湿性关节炎
D.血友病性关节炎
E.痛风性关节炎
点击查看答案
本题答案:A, C
本题解析:暂无解析
70、多项选择题 软骨组织发生的良性肿瘤为()
A.成骨细胞瘤
B.甲下骨瘤
C.皮质旁软骨瘤
D.成软骨细胞瘤
E.骨软骨瘤
点击查看答案
本题答案:C, D, E
本题解析:暂无解析
71、单项选择题
患者男,35岁,肩关节外伤。查体:肩关节外形未见异常,上肢上抬活动受限。
根据MRI影像(下图),诊断为()
A.冈上肌腱完全撕裂
B.冈上肌腱部分撕裂
C.肱二头肌长头肌腱撕裂
D.冈上肌腱慢性损伤
E.肩关节滑膜炎
点击查看答案
本题答案:A
本题解析:暂无解析
72、单项选择题
患者男,28岁,偶尔发现右手第5近节指骨肿胀。查体:右手掌肿块,质硬,无明显压痛,无发热。进行了右手X线平片CT检查(下图)。

此病变最可能的诊断是()
A.骨囊肿
B.内生软骨瘤
C.骨结核
D.成软骨细胞瘤
E.骨巨细胞瘤
点击查看答案
本题答案:B
本题解析:暂无解析
73、多项选择题
患者女,53岁,双髋关节痛。双髋关节CT平扫冠状重组影像如下图。
根据影像学,应诊断为(提示CR、MRI结果如下图。)()
A.右侧股骨头缺血性坏死,左髋关节退行性变
B.双髋关节退行性变
C.双髋关节类风湿性关节炎
D.强直性脊柱炎累及双髋关节
E.右髋关节退行性变,左髋关节未见异常
F.双髋关节滑膜炎
点击查看答案
本题答案:C, F
本题解析:暂无解析
74、多项选择题 有关尤文肉瘤,叙述正确的是()
A.病变好发于长骨的骨干或干骺端
B.髓腔内出现斑片状骨质破坏
C.骨膜呈葱皮样改变
D.对放射治疗相当敏感
E.破坏区周围骨质常无反应性骨硬化
点击查看答案
本题答案:A, B, C, D
本题解析:暂无解析
75、单项选择题 “棕色瘤”见于()
A.骨囊肿
B.动脉瘤样骨囊肿
C.甲状旁腺功能亢进
D.血友病性关节炎
E.痛风性关节炎
点击查看答案
本题答案:C
本题解析:暂无解析
76、单项选择题
患者男,17岁,右大腿外侧间歇性疼痛逐渐加重近3个月,夜间为重,X线片及CT示右股骨干下段外侧骨皮质梭形增厚硬化,增厚的骨皮质中心隐约可见小圆形低密度灶,骨髓腔未闭合,无外伤史(图1、2)。

与此病变相鉴别的疾病主要是()
A.骨肉瘤
B.骨结核
C.骨岛
D.疲劳骨折
E.骨巨细胞瘤
点击查看答案
本题答案:D
本题解析:暂无解析
77、多项选择题
患者女,53岁,双髋关节痛。双髋关节CT平扫冠状重组影像如下图。

对定性诊断有价值的征像包括()
A.双髋关节间隙对称性均匀狭窄
B.右侧股骨头关节面可见小囊状透亮影
C.双髋关节骨质疏松
D.双髋关节未见骨赘
E.双髋关节囊肿胀
F.双髋关节面下无骨质硬化
点击查看答案
本题答案:A, C, D, F
本题解析:暂无解析
78、多项选择题 开放性神经管闭合不全伴随的畸形包括()
A.Chiari畸形
B.脊髓积水
C.脑脊髓膨出
D.胼胝体发育不全及脊髓纵裂
E.脊柱侧弯、后凸及髋部畸形
点击查看答案
本题答案:A, B, C, D, E
本题解析:暂无解析
79、单项选择题
患者男,47岁,左髋部疼痛及压痛6个月,“4”字试验阳性。左髋关节内、外旋活动受限。检查提示:左髋关节活动轻度受限,大腿上部轻压痛。血常规检查正常。髋关节CT及MRI如下图。

股骨头缺血性坏死早期诊断的最佳影像学检查方法是()
A.CT
B.MRI
C.X线平片
D.ECT
E.USG
F.PETCT
点击查看答案
本题答案:B
本题解析:暂无解析
80、多项选择题 椎弓的构成包括()
A.椎弓根
B.椎板
C.棘突
D.横突
E.上、下关节突
点击查看答案
本题答案:A, B, C, D, E
本题解析:暂无解析
81、单项选择题
患者男,22岁,长期存在骨和关节变形,近期出现右肘关节疼痛,进行性加重。行右肘关节X线正侧位片检查,见下图。

如患者无家族史,呈单侧发病,智力正常,则首选诊断为()
A.内生软骨瘤(Ollier病)
B.遗传性多发性外生骨疣
C.神经纤维瘤病
D.进行性骨干发育不良
E.干骺发育不良
F.Albright综合征
点击查看答案
本题答案:A
本题解析:暂无解析
82、单项选择题 化脓性脊柱炎的好发部位是()
A.颈椎
B.胸椎
C.腰椎
D.骶椎
E.尾椎
点击查看答案
本题答案:C
本题解析:暂无解析
83、多项选择题 肩袖的构成包括()
A.冈上肌腱
B.冈下肌腱
C.肩胛下肌腱
D.小圆肌腱
E.肱二头肌长头腱
点击查看答案
本题答案:A, B, C, D
本题解析:暂无解析
84、单项选择题
患者男,17岁,右大腿外侧间歇性疼痛逐渐加重近3个月,夜间为重,X线片及CT示右股骨干下段外侧骨皮质梭形增厚硬化,增厚的骨皮质中心隐约可见小圆形低密度灶,骨髓腔未闭合,无外伤史(图1、2)。

最可能的诊断是()
A.成骨细胞瘤
B.骨软骨瘤
C.骨样骨瘤
D.骨肉瘤
E.非骨化性纤维瘤
点击查看答案
本题答案:C
本题解析:暂无解析
85、多项选择题
患者男,22岁,长期存在骨和关节变形,近期出现右肘关节疼痛,进行性加重。行右肘关节X线正侧位片检查,见下图。

病变显示的征象包括()
A.累及干骺、骨干
B.累及多骨
C.髓腔内混杂密度影,病灶内含钙化
D.骨破坏形成软组织肿块
E.出现骨变形
F.受累骨未见骨膜反应
点击查看答案
本题答案:A, B, C, E, F
本题解析:暂无解析
题库试看结束后
微信扫下方二维码即可打包下载完整版《
★放射医学(医学高级)》题库
手机用户可保存上方二维码到手机中,在微信扫一扫中右上角选择“从相册选取二维码”即可。
题库试看结束后
微信扫下方二维码即可打包下载完整版《
放射医学(医学高级):骨与骨关节》题库,
分栏、分答案解析排版、小字体方便打印背记!经广大会员朋友实战检验,此方法考试通过率大大提高!绝对是您考试过关的不二利器!
手机用户可
保存上方二维码到手机中,在
微信扫一扫中右上角选择“从
相册选取二维码”即可。