手机用户可
保存上方二维码到手机中,在
微信扫一扫中右上角选择“从
相册选取二维码”即可。
1、单项选择题 颅内最常见的血管畸形是()
A.动脉瘤
B.动静脉畸形
C.海绵状血管瘤
D.毛细血管扩张症
E.静脉畸形
点击查看答案
本题答案:微信扫下方二维码即可打包下载完整带答案解析版《★放射医学(医学高级)》或《放射医学(医学高级):中枢神经系统》题库
2、多项选择题
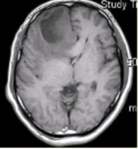
患者女,68岁。头痛、恶心2周,加重2d。头CT显示如下图。
可能的诊断是(提示头颅CT增强及CT灌注成像(脑血流量及表面渗透值明显升高)显示如下图。)()
A.脑膜瘤
B.成胶质细胞瘤
C.少枝胶质细胞瘤
D.节细胞胶质瘤
E.毛细胞星形细胞瘤
F.室管膜瘤
点击查看答案
本题答案:微信扫下方二维码即可打包下载完整带答案解析版《★放射医学(医学高级)》或《放射医学(医学高级):中枢神经系统》题库
3、单项选择题 有关脑膨出的组织描述正确的是()
A.膨出的组织常伴有发育畸形、扭曲,但组织学正常
B.膨出的组织常无发育畸形、扭曲,组织学正常
C.膨出的组织常伴有发育畸形、扭曲,组织学异常
D.膨出的组织常不与颅内组织相连
E.CT较MRI清晰显示疝出的组织
点击查看答案
本题答案:微信扫下方二维码即可打包下载完整带答案解析版《★放射医学(医学高级)》或《放射医学(医学高级):中枢神经系统》题库
4、单项选择题
患者女,40岁,手部麻木数年。MR显示如下图。

关于各型Chiari畸形的描述,错误的是()
A.Ⅰ型,常见,可伴有脑积水,脊髓空洞,环枕区畸形
B.Ⅱ型,最常见。小脑下蚓部、桥脑下部、延髓下移、Ⅳ脑室延长。伴有脊髓脊膜膨出,腰骶部多见(3/4)
C.MR矢状位清晰显示小脑扁桃体,延髓位置及IV脑室形态、位置
D.MR可显示脑积水、脑膜膨出
E.不伴有大脑镰、天幕发育不良
点击查看答案
本题答案:微信扫下方二维码即可打包下载完整带答案解析版《★放射医学(医学高级)》或《放射医学(医学高级):中枢神经系统》题库
5、单项选择题
女性,21岁,部分性癫痫,MR表现如下图,可能的诊断是()
A.神经纤维瘤病Ⅰ型
B.神经纤维瘤病Ⅱ型
C.结节性硬化
D.带状型灰质异位
E.颜面血管瘤综合征
点击查看答案
本题答案:微信扫下方二维码即可打包下载完整带答案解析版《★放射医学(医学高级)》或《放射医学(医学高级):中枢神经系统》题库
6、多项选择题 Rathke囊肿,常位于()
A.鞍内
B.鞍上
C.鞍旁
D.鞍下
E.四叠体池
点击查看答案
本题答案:微信扫下方二维码即可打包下载完整带答案解析版《★放射医学(医学高级)》或《放射医学(医学高级):中枢神经系统》题库
7、多项选择题 有关胚胎发育过程,正确的是()
A.胚胎15~17d、形成生殖板
B.20d,神经嵴、神经沟(神经褶)
C.22d,神经管
D.闭合自颈段开始→头端发育成脑部→尾端发育成脊髓部
E.4周完全形成
点击查看答案
本题答案:微信扫下方二维码即可打包下载完整带答案解析版《★放射医学(医学高级)》或《放射医学(医学高级):中枢神经系统》题库
8、单项选择题
患者男,45岁,突发剧烈头痛伴呕吐30min。既往有高血压病史,平日血压为(190~160)/(100~110)mmHg。查体:右侧肢体肌力Ⅱ级,无颈项强直。CT表现如下图。

有关出血病因,描述错误的是()
A.高血压出血常位于基底节区
B.动脉瘤出血多合并以动脉瘤所在部位为主的蛛网膜下腔出血
C.动静脉畸形多可见到等密度迂曲的血管
D.烟雾病多同时出现多处出血和梗死,且多为老年人
E.肿瘤合并出血多在出血周围见到等密度或低于出血的稍高密度瘤体
点击查看答案
本题答案:微信扫下方二维码即可打包下载完整带答案解析版《★放射医学(医学高级)》或《放射医学(医学高级):中枢神经系统》题库
9、多项选择题 颅内生殖细胞瘤可发生于()
A.鞍区
B.后颅窝
C.桥小脑角
D.脑室脉络丛
E.松果体区
点击查看答案
本题答案:微信扫下方二维码即可打包下载完整带答案解析版《★放射医学(医学高级)》或《放射医学(医学高级):中枢神经系统》题库
10、单项选择题
患者女,75岁,突发偏瘫、头痛、头晕10h。既往有高血脂、糖尿病史。MRI表现如下图。

脑梗死的CT检查中,“模糊效应”出现于()
A.6h以内
B.24h以内
C.72h以内
D.14d左右
E.2~3周
点击查看答案
本题答案:微信扫下方二维码即可打包下载完整带答案解析版《★放射医学(医学高级)》或《放射医学(医学高级):中枢神经系统》题库
11、单项选择题
男性,20岁。恶心、呕吐3d,剧烈头痛加重1d入院。MR显示小脑下蚓部长T1、长T2信号影,病变可见结节状明显强化,如下图。


关于成血管细胞瘤与VHL的关系,错误的是()
A.25%~40%的多发HGBLS见于VHL
B.可伴有其他病变:内脏器官囊肿,肾透明细胞癌
C.家族史的小脑半球肿瘤性病变更常见于成人
D.病变无强化
E.MR强化可发现小的实性结节,VHL患者常需全脊柱MR(评价脊柱有无病变)
点击查看答案
本题答案:微信扫下方二维码即可打包下载完整带答案解析版《★放射医学(医学高级)》或《放射医学(医学高级):中枢神经系统》题库
12、多项选择题
患者女,41岁。头痛半年,加重10d。头部MRI显示如下图。
为进一步确定诊断,下一步的影像学检查是()
A.MRI增强
B.FLAIR
C.DWI
D.MRA
E.MRV
F.DSA
点击查看答案
本题答案:微信扫下方二维码即可打包下载完整带答案解析版《★放射医学(医学高级)》或《放射医学(医学高级):中枢神经系统》题库
13、多项选择题
患者女,41岁。右侧面肌抽搐。MRI显示如下图。

可能的诊断是()
A.表皮样囊肿
B.蛛网膜囊肿
C.胶样囊肿
D.畸胎瘤
E.Rathke裂囊肿
F.血管周围间隙
点击查看答案
本题答案:微信扫下方二维码即可打包下载完整带答案解析版《★放射医学(医学高级)》或《放射医学(医学高级):中枢神经系统》题库
14、单项选择题
患者男,61岁,有癫痫病史。MRI表现如图所示。

关于该病的描述,错误的是()
A.神经元由室管膜周围生发层至皮质移行中受阻或中断
B.均为先天性
C.MRI薄层高分辨T1WI显示敏感
D.可分为结节状或带状的灰质异位
E.皮层下区病变可与皮质或脑室壁相连
点击查看答案
本题答案:微信扫下方二维码即可打包下载完整带答案解析版《★放射医学(医学高级)》或《放射医学(医学高级):中枢神经系统》题库
15、多项选择题 关于颅底孔裂,描述正确的是()
A.舌下神经管内口位于后颅窝
B.棘孔位于中颅窝
C.内耳道通过听神经
D.茎乳孔通过迷走神经
E.卵圆孔通过三叉神经第二支
点击查看答案
本题答案:微信扫下方二维码即可打包下载完整带答案解析版《★放射医学(医学高级)》或《放射医学(医学高级):中枢神经系统》题库
16、多项选择题 关于胶质瘤,下列描述正确的是()
A.脑胶质瘤是最常见的颅内原发性脑肿瘤
B.占位效应与肿瘤恶性程度有关
C.强化程度,与恶性程度有关
D.恶性程度高的和后颅窝肿瘤病史多较短
E.星形细胞瘤成人多见于大脑半球,儿童则多发在小脑
点击查看答案
本题答案:微信扫下方二维码即可打包下载完整带答案解析版《★放射医学(医学高级)》或《放射医学(医学高级):中枢神经系统》题库
17、多项选择题 关于单纯疱疹病毒脑炎,描述正确的是()
A.病变累及颞叶、岛叶、扣带回
B.大脑凸面、枕叶后部也可受累,基底节正常
C.双侧发生,但也可不对称
D.无强化
E.病程缓慢
点击查看答案
本题答案:微信扫下方二维码即可打包下载完整带答案解析版《★放射医学(医学高级)》或《放射医学(医学高级):中枢神经系统》题库
18、多项选择题 下列颅内肿瘤容易合并出血的是()
A.多形性胶质母细胞瘤
B.转移瘤
C.脑膜瘤
D.成血管细胞瘤
E.髓母细胞瘤
点击查看答案
本题答案:微信扫下方二维码即可打包下载完整带答案解析版《★放射医学(医学高级)》或《放射医学(医学高级):中枢神经系统》题库
19、单项选择题
患者男,45岁,突发剧烈头痛伴呕吐30min。既往有高血压病史,平日血压为(190~160)/(100~110)mmHg。查体:右侧肢体肌力Ⅱ级,无颈项强直。CT表现如下图。

请提出初步诊断()
A.急性脑梗死
B.急性脑血肿
C.蛛网膜下腔出血
D.脑星形细胞瘤
E.急性化脓性脑炎
点击查看答案
本题答案:微信扫下方二维码即可打包下载完整带答案解析版《★放射医学(医学高级)》或《放射医学(医学高级):中枢神经系统》题库
20、多项选择题
肾上腺脑白质营养不良的特点是()
A.病变由后向前发展
B.病变由前向后发展
C.T2加权像病变区白质呈低信号
D.对比增强在病变的周缘区
E.对比增强在病变的中央区
点击查看答案
本题答案:微信扫下方二维码即可打包下载完整带答案解析版《★放射医学(医学高级)》或《放射医学(医学高级):中枢神经系统》题库
21、单项选择题
患者女,60岁,头痛半月余。既往体健。腰椎穿刺检查提示脑脊液压力增高。CT及CT灌注表现如下图。

根据CT的表现,临床拟诊为()
A.脑血肿
B.骨瘤
C.胶质瘤
D.脑膜瘤
E.转移瘤
点击查看答案
本题答案:微信扫下方二维码即可打包下载完整带答案解析版《★放射医学(医学高级)》或《放射医学(医学高级):中枢神经系统》题库
22、多项选择题 关于脑内动静脉畸形诊断要点,正确的是()
A.青年人脑出血
B.斑点样钙化
C.脑水肿、占位征象明显
D.增强扫描可见到增粗、迂曲血管影
E.同一部位反复出血
点击查看答案
本题答案:微信扫下方二维码即可打包下载完整带答案解析版《★放射医学(医学高级)》或《放射医学(医学高级):中枢神经系统》题库
23、多项选择题 患者女,25岁,闭经1年,双眼视力下降3个月。
为明确诊断,需要做的检查是()
A.血泌乳素水平
B.MR增强
C.CT增强
D.MR平扫
E.CT平扫
F.头颅平片
G.腹部B超
点击查看答案
本题答案:微信扫下方二维码即可打包下载完整带答案解析版《★放射医学(医学高级)》或《放射医学(医学高级):中枢神经系统》题库
24、单项选择题
患者男,20岁,面部皮脂腺瘤,头CT显示如下图。

有关该病的描述正确的是()
A.室管膜下结节无钙化
B.70%伴有室管膜下巨细胞星形细胞瘤
C.结节强化提示病变恶变
D.影像学首选MRI
E.50%为遗传性,常染色体显性遗传
点击查看答案
本题答案:微信扫下方二维码即可打包下载完整带答案解析版《★放射医学(医学高级)》或《放射医学(医学高级):中枢神经系统》题库
25、单项选择题
患者女,75岁,突发偏瘫、头痛、头晕10h。既往有高血脂、糖尿病史。MRI表现如下图。

下述描述错误的是()
A.DWI显示异常的区域小于PWI显示异常的区域,可定义为缺血半暗带
B.DWI正常而PWI减低,提示为一过性脑缺血
C.MTT延长,CBF减低,CBV正常提示缺血前期微循环改变
D.MRS显示缺血区Lac/Cr升高,NAA/Cr降低
E.急性脑梗死区在DWI、ADC图上均呈高信号
点击查看答案
本题答案:微信扫下方二维码即可打包下载完整带答案解析版《★放射医学(医学高级)》或《放射医学(医学高级):中枢神经系统》题库
26、单项选择题 关于髓母细胞瘤,描述正确的是()
A.Ⅳ脑室顶的细胞巢、小脑半球表面的颗粒层
B.WHOⅡ级
C.病变发现后,无需脊柱影像学检查
D.好发于第四脑室
E.病变进展迅速,晚期蛛网膜下腔播散
点击查看答案
本题答案:微信扫下方二维码即可打包下载完整带答案解析版《★放射医学(医学高级)》或《放射医学(医学高级):中枢神经系统》题库
27、单项选择题
患者女,40岁,手部麻木数年。MR显示如下图。

可能的诊断为()
A.Chiari畸形Ⅰ型
B.Chiari畸形Ⅱ型
C.脊髓空洞症
D.Dandy-walker畸形
E.VHL
点击查看答案
本题答案:微信扫下方二维码即可打包下载完整带答案解析版《★放射医学(医学高级)》或《放射医学(医学高级):中枢神经系统》题库
28、多项选择题
患者女,41岁。右侧面肌抽搐。MRI显示如下图。

关于表皮样囊肿与蛛网膜囊肿的鉴别诊断,正确的是()
A.表皮样囊肿为CSF样囊性肿块,包绕邻近血管、神经
B.表皮样囊肿形态不规则,肿瘤沿蛛网下腔蔓延,“见缝就钻”为其特点
C.蛛网膜囊肿FLAIR、DWI低信号
D.表皮样囊肿边界清,形态规则
E.蛛网膜囊肿FLAIR、DWI高信号
F.表皮样囊肿FLAIR、DWI高信号
点击查看答案
本题答案:微信扫下方二维码即可打包下载完整带答案解析版《★放射医学(医学高级)》或《放射医学(医学高级):中枢神经系统》题库
29、单项选择题
患者女,67岁,头痛伴呕吐1周。既往体健。MR表现如下图。



多形性成胶质细胞瘤的转移途径不包括()
A.室管膜
B.淋巴转移
C.脑膜
D.血管周围间隙
E.也可转移至颅外
点击查看答案
本题答案:微信扫下方二维码即可打包下载完整带答案解析版《★放射医学(医学高级)》或《放射医学(医学高级):中枢神经系统》题库
30、单项选择题
患者女,60岁,头痛半月余。既往体健。腰椎穿刺检查提示脑脊液压力增高。CT及CT灌注表现如下图。

关于该肿瘤,描述正确的是()
A.恶性多见
B.病变常与颅骨关系不大
C.好发于中年男性
D.以颈外动脉供血为主
E.不发生于脑室内
点击查看答案
本题答案:微信扫下方二维码即可打包下载完整带答案解析版《★放射医学(医学高级)》或《放射医学(医学高级):中枢神经系统》题库
31、单项选择题
患者女,60岁,头痛半月余。既往体健。腰椎穿刺检查提示脑脊液压力增高。CT及CT灌注表现如下图。

下列描述错误的是()
A.右侧枕部软组织肿块,边界清晰,邻近脑沟增宽
B.邻近骨质结构肥厚
C.病变内部可见钙化
D.CT灌注表面渗透图显示PS明显升高,提示新生血管内皮细胞不完整
E.CT灌注表面渗透图显示PS明显升高,提示病变无血-脑脊液屏障
点击查看答案
本题答案:微信扫下方二维码即可打包下载完整带答案解析版《★放射医学(医学高级)》或《放射医学(医学高级):中枢神经系统》题库
32、多项选择题 部分脑内肿瘤可沿脑脊液播散,较常见的有()
A.毛细胞星形细胞瘤
B.垂体瘤
C.多形性成胶质细胞瘤
D.生殖细胞瘤
E.成髓细胞瘤
点击查看答案
本题答案:微信扫下方二维码即可打包下载完整带答案解析版《★放射医学(医学高级)》或《放射医学(医学高级):中枢神经系统》题库
33、单项选择题
患者男,20岁,癫痫病史。头部CT显示如下图。
可能的诊断为(提示进一步MRI检查如下图。)()
A.海绵状血管瘤
B.动静脉畸形
C.发育性静脉畸形
D.发育性静脉畸形伴海绵状血管瘤
E.脑梗死
F.脑出血
点击查看答案
本题答案:微信扫下方二维码即可打包下载完整带答案解析版《★放射医学(医学高级)》或《放射医学(医学高级):中枢神经系统》题库
34、多项选择题 胼胝体发育不良,表现为()
A.三脑室扩大、拉长
B.三脑室位置上移
C.双侧侧脑室间距缩小
D.侧脑室枕角不对称性扩大
E.冠状位侧脑室前角呈“八”字样分开
点击查看答案
本题答案:微信扫下方二维码即可打包下载完整带答案解析版《★放射医学(医学高级)》或《放射医学(医学高级):中枢神经系统》题库
35、多项选择题 患者女,25岁,闭经1年,双眼视力下降3个月。
关于微腺瘤的描述,正确的是()
A.是颅内仅次于胶质瘤和脑膜瘤的第3位常见肿瘤
B.瘤体直径<10mm者为垂体微腺瘤
C.垂体腺癌占垂体腺瘤的比例<1%
D.垂体柄移位和局部鞍底下陷是诊断垂体微腺瘤的依据
E.垂体腺瘤强化程度高于正常垂体
F.病变常推压海绵窦
G.病变为良性,但影像学表现可为侵袭性
点击查看答案
本题答案:微信扫下方二维码即可打包下载完整带答案解析版《★放射医学(医学高级)》或《放射医学(医学高级):中枢神经系统》题库
36、多项选择题 女,45岁,右侧听力下降半年,CT示左侧桥脑小脑角区略低密度病灶,脑干轻度受压。下列说法正确的是()
A.病灶邻近脑池的改变对鉴别诊断具有重要价值
B.病灶邻近脑池的改变对听神经瘤与脑膜瘤的鉴别有意义
C.内听道有无扩大对听神经瘤与脑膜瘤的鉴别有意义
D.表皮样囊肿也经常好发于此区域
E.有无囊变对听神经瘤与脑膜瘤的鉴别有重要意义
点击查看答案
本题答案:微信扫下方二维码即可打包下载完整带答案解析版《★放射医学(医学高级)》或《放射医学(医学高级):中枢神经系统》题库
37、单项选择题
患者女,25岁。产后2d,头痛。产前妊高征,血压达200/130mmHg。MRI显示如下图。

有关高灌注脑病的描述,错误的是()
A.也称为高血压性脑病,或后部可逆性脑白质病
B.病变恢复较慢
C.后部循环常见
D.也可累及基底节和脑干,少数患者也可见出血
E.对症治疗,如降血压、降颅压等
点击查看答案
本题答案:微信扫下方二维码即可打包下载完整带答案解析版《★放射医学(医学高级)》或《放射医学(医学高级):中枢神经系统》题库
38、多项选择题 对鉴别蛛网膜囊肿与表皮样囊肿有帮助的是()
A.病变信号均匀程度
B.部位
C.DWI序列
D.病变形态
E.占位表现
点击查看答案
本题答案:微信扫下方二维码即可打包下载完整带答案解析版《★放射医学(医学高级)》或《放射医学(医学高级):中枢神经系统》题库
39、单项选择题
患者女,25岁。产后2d,头痛。产前妊高征,血压达200/130mmHg。MRI显示如下图。

有关该病的发病机制,错误的是()
A.各种原因所引起的急性动脉性高血压,如先兆子痫或子痫,急慢性肾功能衰竭、原发性或恶性高血压或嗜铬细胞瘤等
B.脑血管收缩痉挛,引起血-脑脊液屏障破坏,间质液体堆积在皮质和皮质下白质区,导致血管源性脑水肿
C.脑血管的自身调节功能障碍时,脑血管有可能出现被动性扩张
D.血压恢复正常后,病变可恢复
E.大脑前部循环不受交感神经支配,对自身血压变化的调节较弱
点击查看答案
本题答案:微信扫下方二维码即可打包下载完整带答案解析版《★放射医学(医学高级)》或《放射医学(医学高级):中枢神经系统》题库
40、多项选择题
患者男,37岁。癫痫发作数次。MRI显示如下图。


关于病变区与对侧正常脑实质MRS,描述正确的是(提示MRS显示如下图。)()
A.病变区NAA正常
B.病变区NAA减低
C.病变区Cho升高
D.病变区Cho未见异常
E.病变区Cr升高
F.病变区Cho减低
点击查看答案
本题答案:微信扫下方二维码即可打包下载完整带答案解析版《★放射医学(医学高级)》或《放射医学(医学高级):中枢神经系统》题库
41、多项选择题 下列关于脑灰质异位的描述,错误的是()
A.脑异位灰质与正常灰质相同密度
B.可钙化
C.可强化
D.病变可表现为带状或结节状
E.可伴有其他脑发育异常
点击查看答案
本题答案:微信扫下方二维码即可打包下载完整带答案解析版《★放射医学(医学高级)》或《放射医学(医学高级):中枢神经系统》题库
42、单项选择题
男性,16岁,头痛2年,加重1个月。MR检查如下图。

有关该病的描述正确的是()
A.T2WI上为高信号,占位效应明显
B.弥漫性肿瘤浸润,相应脑结构正常
C.与白质病变分界清晰
D.放化疗疗效好
E.广泛的MR表现及肿瘤浸润与组织学一致
点击查看答案
本题答案:微信扫下方二维码即可打包下载完整带答案解析版《★放射医学(医学高级)》或《放射医学(医学高级):中枢神经系统》题库
43、多项选择题
患者女,68岁。头痛、恶心2周,加重2d。头CT显示如下图。

关于该病的描述,正确的是()
A.病变与脑实质边界不清,跨越大脑镰提示病变位于轴内
B.病变密度较高,提示内部伴发出血
C.病变邻近颅骨可见骨质肥厚,支持病变位于轴外
D.病变形态不规则,周围水肿明显,支持病变位于轴外
E.为进一步明确诊断,需增强检查
F.CT平扫可以评价病变与硬脑膜的关系
点击查看答案
本题答案:微信扫下方二维码即可打包下载完整带答案解析版《★放射医学(医学高级)》或《放射医学(医学高级):中枢神经系统》题库
44、单项选择题
患者男,20岁,面部皮脂腺瘤,头CT显示如下图。

该病伴有的相关异常不包括()
A.肾血管平滑肌脂肪瘤
B.心脏横纹肌瘤
C.其他实质器官的腺瘤、平滑肌瘤等
D.所有患者均会出现三联征
E.皮肤(面部)纤维血管瘤
点击查看答案
本题答案:微信扫下方二维码即可打包下载完整带答案解析版《★放射医学(医学高级)》或《放射医学(医学高级):中枢神经系统》题库
45、单项选择题 螺杆式冷水机组,有一设备是为保证润滑油的黏度而设置的,这一设备是()。
A.油粗过滤器
B.油精过滤器
C.油冷却器
D.油分离器
点击查看答案
本题答案:微信扫下方二维码即可打包下载完整带答案解析版《★放射医学(医学高级)》或《放射医学(医学高级):中枢神经系统》题库
46、单项选择题
男性,16岁,头痛2年,加重1个月。MR检查如下图。

可能的诊断是()
A.大脑胶质瘤病
B.脑转移瘤
C.病毒性脑炎
D.急性脑梗死
E.多发性硬化
点击查看答案
本题答案:微信扫下方二维码即可打包下载完整带答案解析版《★放射医学(医学高级)》或《放射医学(医学高级):中枢神经系统》题库
47、单项选择题
男性,20岁。恶心、呕吐3d,剧烈头痛加重1d入院。MR显示小脑下蚓部长T1、长T2信号影,病变可见结节状明显强化,如下图。


关于该病的描述,错误的是()
A.视力改变(眼球的HGBL)
B.成人常见,40~60岁发病
C.2/3的VHL相关的HGBL将发生新的肿瘤,平均2年一个新病灶
D.WHOⅠ级,10年存活率85%
E.病变进展迅速,晚期蛛网膜下腔播散
点击查看答案
本题答案:微信扫下方二维码即可打包下载完整带答案解析版《★放射医学(医学高级)》或《放射医学(医学高级):中枢神经系统》题库
48、多项选择题
患者男,37岁。癫痫发作数次。MRI显示如下图。


有关MRS在评价胶质瘤中的价值,正确的是()
A.Cho升高的程度与肿瘤的恶性程度有关
B.Cho升高的程度与肿瘤的恶性程度无关
C.胶质瘤周围水肿的Cho值可见升高
D.胶质瘤周围水肿的Cho值未见异常
E.胶质瘤内部可见lac峰
F.胶质瘤NAA升高
点击查看答案
本题答案:微信扫下方二维码即可打包下载完整带答案解析版《★放射医学(医学高级)》或《放射医学(医学高级):中枢神经系统》题库
49、单项选择题
患者女,67岁,头痛伴呕吐1周。既往体健。MR表现如下图。



临床拟诊为()
A.脑脓肿
B.转移瘤
C.成胶质胞瘤
D.少枝胶质细胞瘤
E.成髓细胞瘤
点击查看答案
本题答案:微信扫下方二维码即可打包下载完整带答案解析版《★放射医学(医学高级)》或《放射医学(医学高级):中枢神经系统》题库
50、单项选择题
患者女,60岁,头痛半月余。既往体健。腰椎穿刺检查提示脑脊液压力增高。CT及CT灌注表现如下图。

有关该病瘤周水肿的机制,错误的是()
A.矢状窦阻塞
B.水肿大小与肿瘤大小无关
C.脑皮质肿瘤细胞浸润
D.肿瘤血供
E.分泌或排泄颗粒
点击查看答案
本题答案:微信扫下方二维码即可打包下载完整带答案解析版《★放射医学(医学高级)》或《放射医学(医学高级):中枢神经系统》题库
51、单项选择题 脑部病变在扩散加权像上呈高信号,ADC呈低信号的是()
A.肿瘤
B.炎症
C.急性脑梗死
D.变性病
E.先天畸形
点击查看答案
本题答案:微信扫下方二维码即可打包下载完整带答案解析版《★放射医学(医学高级)》或《放射医学(医学高级):中枢神经系统》题库
52、多项选择题
患者女,48岁。渐进性肢体无力半年。MRI所示如下图。
为进一步确诊,下一步需要做的检查是()
A.询问有无高血压、糖尿病病史
B.询问有无视力异常
C.MRI增强检查
D.脊柱MRI检查
E.询问有无其他中毒病史
F.腰椎穿刺脑脊液检查
点击查看答案
本题答案:微信扫下方二维码即可打包下载完整带答案解析版《★放射医学(医学高级)》或《放射医学(医学高级):中枢神经系统》题库
53、单项选择题 下列描述不正确的是()
A.脑囊虫破裂会出现化学性脑膜炎
B.脑囊虫退变死亡会产生脑水肿
C.活脑囊虫头节可以产生脑水肿
D.脑囊虫可发生在四脑室内
E.药物治疗后脑囊虫会缩小
点击查看答案
本题答案:微信扫下方二维码即可打包下载完整带答案解析版《★放射医学(医学高级)》或《放射医学(医学高级):中枢神经系统》题库
54、单项选择题
男性,55岁。临床偶尔头晕,无高血压,糖尿病病史。MRI显示如下图。


关于血管周围间隙,描述错误的是()
A.单层或多层柔脑膜包绕
B.邻近脑实质可见胶质增生
C.临床无症状
D.3T常见,各个年龄均可见
E.位于基底节区(前联合附近),其他常见位置:中脑,白质深部
点击查看答案
本题答案:微信扫下方二维码即可打包下载完整带答案解析版《★放射医学(医学高级)》或《放射医学(医学高级):中枢神经系统》题库
55、多项选择题
患者女,48岁。渐进性肢体无力半年。MRI所示如下图。


根据MRI表现,可能的诊断是()
A.多发脑缺血
B.多发性硬化
C.脑白质稀疏
D.脑萎缩
E.脑炎
F.脑白质病变
点击查看答案
本题答案:微信扫下方二维码即可打包下载完整带答案解析版《★放射医学(医学高级)》或《放射医学(医学高级):中枢神经系统》题库
56、多项选择题 关于Dandy-Walker综合征,下列表现不正确的是()
A.中脑导水管先天性闭锁
B.横窦、小脑幕上移
C.第四脑室、枕大池先天性囊样扩张
D.小脑蚓部发育不良
E.无脑积水
点击查看答案
本题答案:微信扫下方二维码即可打包下载完整带答案解析版《★放射医学(医学高级)》或《放射医学(医学高级):中枢神经系统》题库
57、多项选择题
患者男,37岁。癫痫发作数次。MRI显示如下图。
关于MRI表现的描述正确的是()
A.左侧额叶肿块,边界清晰
B.左侧额叶肿块,边界不清
C.病变邻近脑沟消失,同时累及灰白质
D.病变无明显强化
E.病变累及灰质,皮层下白质正常
F.病变呈楔形
点击查看答案
本题答案:微信扫下方二维码即可打包下载完整带答案解析版《★放射医学(医学高级)》或《放射医学(医学高级):中枢神经系统》题库
58、单项选择题
男性,25岁,车祸外伤后昏迷,X线平片与CT未见明确骨折及颅内血肿,MR表现如下图。

弥漫性轴索损伤的影像学表现,表述错误的是()
A.磁敏感加权像较GRE能发现更多的病灶
B.MRI表现为多灶性T2WI高信号,慢性期可呈低信号
C.GRET2*WI显示微小出血灶敏感,由于磁敏感效应,病变呈多发低信号
D.DWI显示病变呈高信号,ADC图呈低信号,DTI可显示白质损伤的程度
E.MRS显示NAA下降,提示神经元损伤与预后相关,Cho无变化
点击查看答案
本题答案:微信扫下方二维码即可打包下载完整带答案解析版《★放射医学(医学高级)》或《放射医学(医学高级):中枢神经系统》题库
59、多项选择题
患者男,20岁,癫痫病史。头部CT显示如下图。
动静脉畸形的典型MRI表现是()
A.MRT2WI上显示无占位效应的“黑蠕虫”征(血管流空)
B.可发生脑、脊髓的任何部位
C.85%发生于幕上,15%后颅窝
D.病变大小不一,由增粗粗大的血管团组成
E.畸形血管团内可见正常脑组织
F.病变可自行消退
点击查看答案
本题答案:微信扫下方二维码即可打包下载完整带答案解析版《★放射医学(医学高级)》或《放射医学(医学高级):中枢神经系统》题库
60、单项选择题
男性,25岁,车祸外伤后昏迷,X线平片与CT未见明确骨折及颅内血肿,MR表现如下图。

有关该病的描述不正确的是()
A.脑组织在创伤造成的减速运动中,因皮、髓质质量不一致产生剪力而致轴索的撕裂
B.影像学表现与临床预后不一致
C.CT检查可明确诊断
D.病变主要见于灰、白质交界区、脑干、胼胝体等部位
E.MRT2*WI可清晰显示病变,与TWI相比,T2*WI更敏感
点击查看答案
本题答案:微信扫下方二维码即可打包下载完整带答案解析版《★放射医学(医学高级)》或《放射医学(医学高级):中枢神经系统》题库
61、单项选择题
男性,24岁。反复癫痫发作。头CT及MRI显示如下图。


病变的诊断为()
A.结节性硬化
B.结节性硬化,室管膜下巨细胞星形细胞瘤
C.转移瘤
D.室管膜瘤
E.脉络丛乳头状瘤
点击查看答案
本题答案:微信扫下方二维码即可打包下载完整带答案解析版《★放射医学(医学高级)》或《放射医学(医学高级):中枢神经系统》题库
62、单项选择题
患者女,75岁,突发偏瘫、头痛、头晕10h。既往有高血脂、糖尿病史。MRI表现如下图。

关于脑梗死影像表现,下列描述不正确的是()
A.发病24h内,CT可正常
B.发病24h内,MRI可有阳性表现
C.发病24h内,CT上强化最明显
D.对小脑、脑干病变,MRI优于CT
E.DWI序列优于常规的T1WI、T2WI
点击查看答案
本题答案:微信扫下方二维码即可打包下载完整带答案解析版《★放射医学(医学高级)》或《放射医学(医学高级):中枢神经系统》题库
63、单项选择题
患者女,25岁。产后2d,头痛。产前妊高征,血压达200/130mmHg。MRI显示如下图。

此患者的诊断为()
A.静脉窦闭塞
B.高灌注脑病
C.脑梗死
D.脑炎
E.脑水肿
点击查看答案
本题答案:微信扫下方二维码即可打包下载完整带答案解析版《★放射医学(医学高级)》或《放射医学(医学高级):中枢神经系统》题库
64、单项选择题
患者男,45岁,突发剧烈头痛伴呕吐30min。既往有高血压病史,平日血压为(190~160)/(100~110)mmHg。查体:右侧肢体肌力Ⅱ级,无颈项强直。CT表现如下图。

关于脑血肿典型的MRI表现,描述不正确的是()
A.3d以内,T1WI等信号,T2WI低信号
B.3~6d,T1WI低信号,T2WI低信号
C.6~8d,T1WI高信号,T2WI高信号
D.15d以后,T2WI上高信号的血肿周围出现低信号环
E.完全液化后,T1WI低信号,T2WI高信号
点击查看答案
本题答案:微信扫下方二维码即可打包下载完整带答案解析版《★放射医学(医学高级)》或《放射医学(医学高级):中枢神经系统》题库
65、单项选择题
男性,20岁。恶心、呕吐3d,剧烈头痛加重1d入院。MR显示小脑下蚓部长T1、长T2信号影,病变可见结节状明显强化,如下图。


可能的诊断为()
A.小脑毛细胞星形细胞瘤
B.室管膜瘤
C.脉络丛乳头状瘤
D.多发成血管细胞瘤
E.成髓细胞瘤
点击查看答案
本题答案:微信扫下方二维码即可打包下载完整带答案解析版《★放射医学(医学高级)》或《放射医学(医学高级):中枢神经系统》题库
66、单项选择题
女性,62岁。外伤后左侧突眼。MRI显示如下图。


该病可能的诊断是()
A.海绵状血管瘤
B.发育性静脉畸形
C.AVM
D.毛细血管扩张症
E.动脉瘤
F.左侧颈内动脉海绵窦瘘
G.moyamoya
点击查看答案
本题答案:微信扫下方二维码即可打包下载完整带答案解析版《★放射医学(医学高级)》或《放射医学(医学高级):中枢神经系统》题库
67、单项选择题
男性,16岁,头痛2年,加重1个月。MR检查如下图。

该病的影像学表现,不正确的是()
A.T2WI显示多个脑叶的弥漫性高信号
B.DWI上呈等信号,ADC上呈高信号
C.占位效应明显
D.无边界
E.病变浸润脑实质但不破坏相应脑结构
点击查看答案
本题答案:微信扫下方二维码即可打包下载完整带答案解析版《★放射医学(医学高级)》或《放射医学(医学高级):中枢神经系统》题库
68、单项选择题 有关脑转移瘤,下列描述错误的是()
A.脑实质转移
B.硬脑膜转移
C.软脑膜转移
D.室管膜转移
E.所有转移瘤均伴有水肿
点击查看答案
本题答案:微信扫下方二维码即可打包下载完整带答案解析版《★放射医学(医学高级)》或《放射医学(医学高级):中枢神经系统》题库
69、单项选择题 细胞毒性脑水肿最常见的原因是()
A.炎症
B.肿瘤
C.脑缺血
D.外伤
E.脑出血
点击查看答案
本题答案:微信扫下方二维码即可打包下载完整带答案解析版《★放射医学(医学高级)》或《放射医学(医学高级):中枢神经系统》题库
70、单项选择题 颅内动脉瘤最好发于()
A.后交通动脉起始部
B.穿支动脉
C.脉络膜前动脉
D.大脑中动脉
E.基底动脉
点击查看答案
本题答案:微信扫下方二维码即可打包下载完整带答案解析版《★放射医学(医学高级)》或《放射医学(医学高级):中枢神经系统》题库
71、单项选择题 若蛛网膜下腔出血集中在一侧外侧裂,则常继发于()
A.前交通动脉动脉瘤破裂
B.后交通动脉动脉瘤破裂
C.大脑前动脉动脉瘤破裂
D.大脑中动脉动脉瘤破裂
E.大脑后动脉动脉瘤破裂
点击查看答案
本题答案:微信扫下方二维码即可打包下载完整带答案解析版《★放射医学(医学高级)》或《放射医学(医学高级):中枢神经系统》题库
72、单项选择题
患者女,43岁。智力低下。MRI结果如下图所示。

可能的诊断是()
A.胼胝体缺如
B.脑裂畸形
C.灰质异位
D.结节性硬化
E.Sturge-weber综合征
点击查看答案
本题答案:微信扫下方二维码即可打包下载完整带答案解析版《★放射医学(医学高级)》或《放射医学(医学高级):中枢神经系统》题库
73、单项选择题
患者女,18岁,步态不稳。MRI显示如下图。

可以排除的诊断是()
A.CO中毒
B.肝豆状核变性
C.肝性脑病
D.桥脑外髓鞘溶解症
E.脑梗死
F.病毒性脑炎
G.灰质异位
点击查看答案
本题答案:微信扫下方二维码即可打包下载完整带答案解析版《★放射医学(医学高级)》或《放射医学(医学高级):中枢神经系统》题库
74、多项选择题 患者女,56岁,右侧耳鸣1年,听力下降3个月。
常见于神经纤维瘤病Ⅰ型的是()
A.牛奶咖啡斑
B.视神经胶质瘤
C.视神经脑膜瘤
D.双侧听神经鞘瘤
E.空眶征
F.外周神经纤维瘤
G.中枢神经多发脑膜瘤
点击查看答案
本题答案:微信扫下方二维码即可打包下载完整带答案解析版《★放射医学(医学高级)》或《放射医学(医学高级):中枢神经系统》题库
75、单项选择题
患者男,20岁,面部皮脂腺瘤,头CT显示如下图。

可能的诊断是()
A.少枝胶质细胞瘤
B.星形细胞瘤
C.结节性硬化
D.陈旧性血肿
E.颅面血管瘤病(Sturge-Weber)综合征
点击查看答案
本题答案:微信扫下方二维码即可打包下载完整带答案解析版《★放射医学(医学高级)》或《放射医学(医学高级):中枢神经系统》题库
76、多项选择题
患者女,41岁。头痛半年,加重10d。头部MRI显示如下图。

根据该病的影像学表现,该病可能的诊断是()
A.海绵状血管瘤
B.发育性静脉畸形
C.AVM
D.毛细血管扩张症
E.动脉瘤
F.硬脑膜动静脉瘘
点击查看答案
本题答案:微信扫下方二维码即可打包下载完整带答案解析版《★放射医学(医学高级)》或《放射医学(医学高级):中枢神经系统》题库
77、单项选择题
患者男,61岁,有癫痫病史。MRI表现如图所示。

最可能的诊断为()
A.少枝胶质细胞瘤
B.星形细胞瘤
C.结节性硬化
D.结节型灰质异位
E.颅面血管瘤病(Sturge-Weber)综合征
点击查看答案
本题答案:微信扫下方二维码即可打包下载完整带答案解析版《★放射医学(医学高级)》或《放射医学(医学高级):中枢神经系统》题库
78、单项选择题
患者女,25岁,闭经1年,双眼视力下降3个月。
临床拟诊为(提示实验室检查泌乳素显著升高,MR表现如下图。)()
A.脑膜瘤
B.颅咽管瘤
C.Rathke囊肿
D.动脉瘤
E.垂体微腺瘤
F.生殖细胞瘤
G.蛛网膜囊肿
点击查看答案
本题答案:微信扫下方二维码即可打包下载完整带答案解析版《★放射医学(医学高级)》或《放射医学(医学高级):中枢神经系统》题库
79、单项选择题 下列疾病不属于脱髓鞘病变的是()
A.桥脑中央髓鞘溶解
B.多发性硬化
C.急性播散性脑脊髓炎
D.肾上腺脑白质营养不良
E.进行性多灶性脑白质病
点击查看答案
本题答案:微信扫下方二维码即可打包下载完整带答案解析版《★放射医学(医学高级)》或《放射医学(医学高级):中枢神经系统》题库
80、单项选择题
患者男,70岁。突发昏迷。头CT显示如下图。

可能的诊断为()
A.硬膜下血肿
B.正常
C.硬膜外血肿
D.脑挫裂伤
E.脑脓肿
F.脑炎
点击查看答案
本题答案:微信扫下方二维码即可打包下载完整带答案解析版《★放射医学(医学高级)》或《放射医学(医学高级):中枢神经系统》题库
81、多项选择题 有关脂肪瘤,描述正确的是()
A.80%位于幕上:40%~50%大脑纵裂,可累及侧脑室
B.20%位于幕下
C.CT值-50~-100HU
D.不伴有胼胝体发育不良
E.CT/MRI均可敏感显示病变
点击查看答案
本题答案:微信扫下方二维码即可打包下载完整带答案解析版《★放射医学(医学高级)》或《放射医学(医学高级):中枢神经系统》题库
82、单项选择题
患者女,67岁,头痛伴呕吐1周。既往体健。MR表现如下图。



关于多形性成胶质细胞瘤,描述正确的是()
A.儿童青少年常见
B.好发于额、颞叶大脑灰质及白质区
C.CT平扫密度均匀
D.增强检查均匀强化
E.瘤周水肿轻微,占位效应显著
点击查看答案
本题答案:微信扫下方二维码即可打包下载完整带答案解析版《★放射医学(医学高级)》或《放射医学(医学高级):中枢神经系统》题库
83、多项选择题 患者女,56岁,右侧耳鸣1年,听力下降3个月。
关于该肿瘤,描述正确的是()
A.多起源于前庭神经
B.多起源于蜗神经
C.早期即有内耳道的扩大
D.增强检查可明显强化
E.肿瘤较大时可囊变
F.是单侧感音性神经性耳聋最常见的病因
G.评价有无面神经迷路段受累,以区分面神经鞘瘤
点击查看答案
本题答案:微信扫下方二维码即可打包下载完整带答案解析版《★放射医学(医学高级)》或《放射医学(医学高级):中枢神经系统》题库
84、单项选择题
患者女,60岁,头痛半月余。既往体健。腰椎穿刺检查提示脑脊液压力增高。CT及CT灌注表现如下图。

关于该病的影像学表现,不正确的是()
A.肿瘤内可出现钙化或脂肪组织
B.MRP:CBV轻度升高
C.恶性肿瘤与轴内肿瘤鉴别困难,MRS可提示诊断
D.MRS:Ala升高
E.MRV显示静脉窦受累
点击查看答案
本题答案:微信扫下方二维码即可打包下载完整带答案解析版《★放射医学(医学高级)》或《放射医学(医学高级):中枢神经系统》题库
85、单项选择题
患者女,43岁。智力低下。MRI结果如下图所示。

关于该病的描述,错误的是()
A.常与其他畸形伴发,如前脑无裂畸形、Chiari畸形、胼胝体脂肪瘤等
B.均为全部缺如
C.矢状位显示最佳,无胼胝体结构
D.脑回放射状排列,指向侧脑室
E.影像学首选MR矢状面、冠状面
点击查看答案
本题答案:微信扫下方二维码即可打包下载完整带答案解析版《★放射医学(医学高级)》或《放射医学(医学高级):中枢神经系统》题库
86、多项选择题 关于先天性脑穿通畸形,描述正确的是()
A.胎儿期由于脑破坏造成的脑组织局部丧失
B.胚胎发育时大脑半球内部形成空洞或囊肿
C.婴幼儿起病,临床表现较严重
D.小空洞表面可见血管形成
E.大空洞壁为胶质瘢痕,不含神经细胞
点击查看答案
本题答案:微信扫下方二维码即可打包下载完整带答案解析版《★放射医学(医学高级)》或《放射医学(医学高级):中枢神经系统》题库
87、多项选择题
患者女,68岁。头痛、恶心2周,加重2d。头CT显示如下图。
CT、MR支持病变位于轴外的征象是()
A.病变边界清晰,形态不规则,呈分叶状
B.病变邻近的蛛网膜下腔增宽
C.病变呈等T1等T2信号影
D.大脑镰可见明显强化,CBV及PS明显升高
E.病变周围水肿明显
F.病变占位效应明显
点击查看答案
本题答案:微信扫下方二维码即可打包下载完整带答案解析版《★放射医学(医学高级)》或《放射医学(医学高级):中枢神经系统》题库
88、单项选择题
患者男,18岁,头痛15d伴复视10d,头部CT及MRI显示如下图。


可能的诊断是()
A.星形细胞瘤
B.少枝胶质细胞瘤
C.神经节细胞瘤
D.胚胎发育不良性神经上皮肿瘤
E.多形性黄色星形细胞瘤
点击查看答案
本题答案:微信扫下方二维码即可打包下载完整带答案解析版《★放射医学(医学高级)》或《放射医学(医学高级):中枢神经系统》题库
89、多项选择题
患者女,41岁。头痛半年,加重10d。头部MRI显示如下图。

关于发育性静脉畸形的描述正确的是()
A.MR增强检查显示“海蛇头”样表现
B.常发生于侧脑室额角白质或Ⅳ脑室周围白质
C.扩张的髓静脉呈伞样汇集,经粗大的静脉引流入静脉窦或深部室管膜静脉
D.病变较小,T1WI可正常,T2WI可见血管流空
E.影像学首选MRT1C+MRV
F.T2*WI可显示出血及伴有其他血管畸形
G.15%~20%伴有海绵状血管瘤
点击查看答案
本题答案:微信扫下方二维码即可打包下载完整带答案解析版《★放射医学(医学高级)》或《放射医学(医学高级):中枢神经系统》题库
90、单项选择题
患者女,25岁。产后2d,头痛。产前妊高征,血压达200/130mmHg。MRI显示如下图。

有关该病的影像学表现,错误的是()
A.DWI等或高信号,ADC高信号
B.CT显示对称性或不对称性皮层下区低密度影
C.病变无强化
D.FLAIR序列高信号
E.T2WI呈高信号
点击查看答案
本题答案:微信扫下方二维码即可打包下载完整带答案解析版《★放射医学(医学高级)》或《放射医学(医学高级):中枢神经系统》题库
91、多项选择题 符合幕上良性Ⅰ、Ⅱ级星形细胞瘤影像学征象的是()
A.约1/4的病例有钙化
B.大多数表现为脑内混合密度病灶
C.肿瘤边界大多数清楚
D.增强扫描Ⅰ级星形细胞的肿瘤多无明显变化
E.发生于脑皮质多见
点击查看答案
本题答案:微信扫下方二维码即可打包下载完整带答案解析版《★放射医学(医学高级)》或《放射医学(医学高级):中枢神经系统》题库
92、多项选择题
患者男,70岁。突发昏迷。头CT显示如下图。

有关硬膜下血肿,描述正确的是()
A.灰白质界面内移
B.脑沟消失,脑室系统变形
C.中线结构向健侧移位
D.CT增强扫描借助于皮层染色有助于等密度硬膜下血肿的检出
E.显示病变的存在,MRI较CT敏感
F.病变可呈高密度、等密度或混杂密度影
点击查看答案
本题答案:微信扫下方二维码即可打包下载完整带答案解析版《★放射医学(医学高级)》或《放射医学(医学高级):中枢神经系统》题库
93、单项选择题 颅裂畸形最常见于()
A.发生于中线或中线旁70%
B.枕部
C.额部
D.颞部
E.顶部
点击查看答案
本题答案:微信扫下方二维码即可打包下载完整带答案解析版《★放射医学(医学高级)》或《放射医学(医学高级):中枢神经系统》题库
94、单项选择题 血管母细胞瘤可合并()
A.神经纤维瘤病1型
B.结节性硬化
C.Chiari畸形
D.VonHippel-Lindau病
E.神经纤维瘤病2型
点击查看答案
本题答案:微信扫下方二维码即可打包下载完整带答案解析版《★放射医学(医学高级)》或《放射医学(医学高级):中枢神经系统》题库
95、单项选择题
患者男,35岁,肢体无力半年。头部MRI显示如下图。

患者的下一步治疗包括()
A.免疫抑制剂及激素
B.降颅压
C.抗炎
D.抗血栓
E.无须特殊治疗
点击查看答案
本题答案:微信扫下方二维码即可打包下载完整带答案解析版《★放射医学(医学高级)》或《放射医学(医学高级):中枢神经系统》题库
96、多项选择题 根据脑分裂的程度,前脑无裂畸形主要分为()
A.无脑叶型
B.半脑叶型
C.脑叶型
D.脑实质型
E.后脑发育畸形
点击查看答案
本题答案:微信扫下方二维码即可打包下载完整带答案解析版《★放射医学(医学高级)》或《放射医学(医学高级):中枢神经系统》题库
97、单项选择题
患者女,67岁,头痛伴呕吐1周。既往体健。MR表现如下图。



胶质瘤术后放疗后复发与放射性坏死的鉴别手段是()
A.T2*
B.PWI
C.DWI
D.Gd-MRI
E.FLAIR
点击查看答案
本题答案:微信扫下方二维码即可打包下载完整带答案解析版《★放射医学(医学高级)》或《放射医学(医学高级):中枢神经系统》题库
98、多项选择题
患者女,41岁。右侧面肌抽搐。MRI显示如下图。
关于MRI,描述正确的是()
A.右侧桥前池可见T1WI等信号及T2WI高信号
B.未见异常
C.右侧三叉神经未见异常
D.右侧三叉神经可见包绕
E.基底动脉未见异常
F.基底动脉可见包绕
点击查看答案
本题答案:微信扫下方二维码即可打包下载完整带答案解析版《★放射医学(医学高级)》或《放射医学(医学高级):中枢神经系统》题库
99、多项选择题 患者女,25岁,闭经1年,双眼视力下降3个月。
头颅侧位片,正常蝶鞍形态为()
A.圆形
B.卵圆形
C.桥形
D.双鞍底形
E.生理扁平形
F.幼稚形
点击查看答案
本题答案:微信扫下方二维码即可打包下载完整带答案解析版《★放射医学(医学高级)》或《放射医学(医学高级):中枢神经系统》题库
100、多项选择题
患者女,18岁,步态不稳。MRI显示如下图。

应诊断为(提示患者肝硬化,血铜和尿铜均升高。)()
A.CO中毒
B.肝豆状核变性
C.肝性脑病
D.桥脑外髓鞘溶解症
E.脑梗死
F.病毒性脑炎
G.灰质异位
点击查看答案
本题答案:微信扫下方二维码即可打包下载完整带答案解析版《★放射医学(医学高级)》或《放射医学(医学高级):中枢神经系统》题库
101、多项选择题 桥小脑角区听神经鞘瘤与脑膜瘤的鉴别诊断中,正确的表述有()
A.脑膜瘤是桥小脑角区最常见的肿瘤
B.内耳道增宽是诊断听神经鞘瘤的可靠征象
C.脑膜瘤表现为宽基底与脑膜相连,内耳道正常
D.脑膜瘤基底部岩椎的骨质可增生
E.神经鞘瘤很少囊变
点击查看答案
本题答案:微信扫下方二维码即可打包下载完整带答案解析版《★放射医学(医学高级)》或《放射医学(医学高级):中枢神经系统》题库
102、单项选择题
患者女,60岁,头痛半月余。既往体健。腰椎穿刺检查提示脑脊液压力增高。CT及CT灌注表现如下图。

病变发生少见于()
A.桥小脑脚区
B.眼眶壁
C.矢状窦旁
D.蝶骨嵴
E.灰白质交界区
点击查看答案
本题答案:微信扫下方二维码即可打包下载完整带答案解析版《★放射医学(医学高级)》或《放射医学(医学高级):中枢神经系统》题库
103、单项选择题
患者男,35岁,肢体无力半年。头部MRI显示如下图。

根据MRI平扫和增强的表现,可能的诊断是()
A.多发脑缺血
B.多发性硬化
C.转移瘤
D.淋巴瘤
E.脑炎
点击查看答案
本题答案:微信扫下方二维码即可打包下载完整带答案解析版《★放射医学(医学高级)》或《放射医学(医学高级):中枢神经系统》题库
104、多项选择题
患者男,70岁。突发昏迷。头CT显示如下图。

下列描述正确的是()
A.左侧额顶部硬膜下半月形混杂密度影
B.脑皮质未见异常
C.脑皮质受压内移
D.中线结构右移
E.脑实质异常密度影
F.右侧脑沟变窄
点击查看答案
本题答案:微信扫下方二维码即可打包下载完整带答案解析版《★放射医学(医学高级)》或《放射医学(医学高级):中枢神经系统》题库
105、单项选择题
患者男,35岁,肢体无力半年。头部MRI显示如下图。
患者经过半年随访,MRI表现如下图,提示病变分型属于()
A.复发-缓解型
B.继发-进展型
C.原发-进展-复发型
D.单期相
E.快速进展型
点击查看答案
本题答案:微信扫下方二维码即可打包下载完整带答案解析版《★放射医学(医学高级)》或《放射医学(医学高级):中枢神经系统》题库
106、多项选择题
患者男,37岁。癫痫发作数次。MRI显示如下图。
可以排除的是(提示DWI显示如下图。)()
A.星形细胞瘤
B.脑炎
C.急性脑梗死
D.脑水肿
E.静脉窦闭塞
F.移瘤
点击查看答案
本题答案:微信扫下方二维码即可打包下载完整带答案解析版《★放射医学(医学高级)》或《放射医学(医学高级):中枢神经系统》题库
107、多项选择题 关于“獭尾肝”,下列描述哪些正确()
A.肝左叶增大,与脾脏相连
B.可见于肝肿瘤时
C.可见于正常变异
D.可见于肝叶比例失调时
E.肝尾叶增大,与胰腺相连
点击查看答案
本题答案:微信扫下方二维码即可打包下载完整带答案解析版《★放射医学(医学高级)》或《放射医学(医学高级):中枢神经系统》题库
108、单项选择题
患者女,75岁,突发偏瘫、头痛、头晕10h。既往有高血脂、糖尿病史。MRI表现如下图。

关于脑梗死的MRIDWI演变过程,描述不正确的是()
A.急性期,DWI高信号,ADC低信号
B.亚急性期,DWI高信号,ADC等信号
C.慢性期,DWI低信号,ADC高信号
D.DWI序列可早在6h内显示病变
E.FLAIR序列较DWI序列敏感
点击查看答案
本题答案:微信扫下方二维码即可打包下载完整带答案解析版《★放射医学(医学高级)》或《放射医学(医学高级):中枢神经系统》题库
109、单项选择题
患者女,75岁,突发偏瘫、头痛、头晕10h。既往有高血脂、糖尿病史。MRI表现如下图。

初步诊断为()
A.脑星形细胞瘤
B.脑急性血肿
C.蛛网膜下隙出血
D.脑急性梗死
E.急性化脓性脑炎
点击查看答案
本题答案:微信扫下方二维码即可打包下载完整带答案解析版《★放射医学(医学高级)》或《放射医学(医学高级):中枢神经系统》题库
110、多项选择题
患者女,41岁。头痛半年,加重10d。头部MRI显示如下图。

关于该病的MRI描述正确的是()
A.右侧小脑半球圆形长T2信号影,病变周边可见环形低信号
B.病变周边环形低信号对病变的诊断价值不大
C.病变邻近右侧小脑半球可见一条形高信号,其对病变的诊断价值不大
D.病变邻近右侧小脑半球可见一条形高信号,其对病变的诊断价值较大
E.第四脑室受压变窄对于病变的诊断价值较大
F.病变的内部信号不均匀对病变的诊断价值较大
点击查看答案
本题答案:微信扫下方二维码即可打包下载完整带答案解析版《★放射医学(医学高级)》或《放射医学(医学高级):中枢神经系统》题库
111、单项选择题
男性,24岁。反复癫痫发作。头CT及MRI显示如下图。


关于室管膜下巨细胞星形细胞瘤的描述,错误的是()
A.结节性硬化患者,癫痫加重或出现脑室梗阻症状提示SGCA
B.结节性硬化患者,孟氏孔附近增大,强化肿块,提示SGCA
C.每1~2年随访MR,评价有无新的SGCA
D.50%家族遗传(结节性硬化),常染色体显性遗传
E.结节性硬化患者,85%发生SGCA
点击查看答案
本题答案:微信扫下方二维码即可打包下载完整带答案解析版《★放射医学(医学高级)》或《放射医学(医学高级):中枢神经系统》题库
112、多项选择题 肝豆状核变性主要累及的部位是()
A.尾状核和壳核
B.苍白球和壳核
C.小脑齿状核
D.桥脑和中脑
E.大脑皮质
点击查看答案
本题答案:微信扫下方二维码即可打包下载完整带答案解析版《★放射医学(医学高级)》或《放射医学(医学高级):中枢神经系统》题库
113、多项选择题 关于颅咽管瘤,正确的是()
A.常见于鞍上
B.囊变者约为80%
C.好发年龄5~10岁
D.好发年龄5~10岁和60岁左右
E.常见钙化
点击查看答案
本题答案:微信扫下方二维码即可打包下载完整带答案解析版《★放射医学(医学高级)》或《放射医学(医学高级):中枢神经系统》题库
114、单项选择题 患者女,25岁,闭经1年,双眼视力下降3个月。
最适于垂体微腺瘤诊段的影像学检查方法是()
A.增强MRI
B.平扫MRI
C.增强CT
D.动态增强MRI
E.动态增强CT
F.侧位蝶鞍点片
点击查看答案
本题答案:微信扫下方二维码即可打包下载完整带答案解析版《★放射医学(医学高级)》或《放射医学(医学高级):中枢神经系统》题库
115、多项选择题 患者女,56岁,右侧耳鸣1年,听力下降3个月。
临床拟诊为()
A.CPA区脑膜瘤
B.CPA区听神经鞘瘤
C.三叉神经鞘瘤
D.CPA区皮样囊肿
E.CPA区表皮样囊肿
F.CPA区蛛网膜囊肿
G.面神经鞘瘤
点击查看答案
本题答案:微信扫下方二维码即可打包下载完整带答案解析版《★放射医学(医学高级)》或《放射医学(医学高级):中枢神经系统》题库
116、单项选择题
患者男,45岁,突发剧烈头痛伴呕吐30min。既往有高血压病史,平日血压为(190~160)/(100~110)mmHg。查体:右侧肢体肌力Ⅱ级,无颈项强直。CT表现如下图。

以急性脑卒中起病的患者,应首选的影像学方法是()
A.CT
B.MRI
C.X线平片
D.B超
E.放射性核素
点击查看答案
本题答案:微信扫下方二维码即可打包下载完整带答案解析版《★放射医学(医学高级)》或《放射医学(医学高级):中枢神经系统》题库
117、单项选择题
男性,55岁。临床偶尔头晕,无高血压,糖尿病病史。MRI显示如下图。


可能的诊断是()
A.血管周围间隙
B.腔隙性脑梗死
C.神经上皮囊肿
D.脑囊虫
E.囊性肿瘤
点击查看答案
本题答案:微信扫下方二维码即可打包下载完整带答案解析版《★放射医学(医学高级)》或《放射医学(医学高级):中枢神经系统》题库
118、单项选择题
患者女,68岁。头痛、恶心2周,加重2d。头CT显示如下图。
可能的诊断为(提示进一步MRI检查显示如下图。)()
A.脑膜瘤
B.成胶质细胞瘤
C.少枝胶质细胞瘤
D.节细胞胶质瘤
E.毛细胞星形细胞瘤
F.室管膜瘤
点击查看答案
本题答案:微信扫下方二维码即可打包下载完整带答案解析版《★放射医学(医学高级)》或《放射医学(医学高级):中枢神经系统》题库
119、多项选择题
患者男,37岁。癫痫发作数次。MRI显示如下图。


可能的诊断是()
A.星形细胞瘤
B.脑炎
C.急性脑梗死
D.脑水肿
E.静脉窦闭塞
F.转移瘤
点击查看答案
本题答案:微信扫下方二维码即可打包下载完整带答案解析版《★放射医学(医学高级)》或《放射医学(医学高级):中枢神经系统》题库
120、多项选择题
女性,62岁。外伤后左侧突眼。MRI显示如下图。


关于该病,描述正确的是()
A.左侧眼上静脉增粗
B.左侧海绵窦增宽
C.左侧颈内动脉增粗
D.颈内动脉变细
E.左侧眼球突出
F.右侧颈内动脉增粗
点击查看答案
本题答案:微信扫下方二维码即可打包下载完整带答案解析版《★放射医学(医学高级)》或《放射医学(医学高级):中枢神经系统》题库
121、单项选择题
患者男,35岁,肢体无力半年。头部MRI显示如下图。
关于MS与ADEM的区别,正确的是()
A.ADEM不累及灰质
B.两者均对称分布
C.ADEM复发常见
D.是否有病毒感染病史
E.两者均可能与病毒或自身免疫介导有关
点击查看答案
本题答案:微信扫下方二维码即可打包下载完整带答案解析版《★放射医学(医学高级)》或《放射医学(医学高级):中枢神经系统》题库
122、多项选择题 胶质瘤术后放疗后复发与放射性坏死的鉴别技术是()
A.MRS
B.PWI
C.DWI
D.Gd-MRI
E.FLAIR
点击查看答案
本题答案:微信扫下方二维码即可打包下载完整带答案解析版《★放射医学(医学高级)》或《放射医学(医学高级):中枢神经系统》题库
123、单项选择题
患者女,67岁,头痛伴呕吐1周。既往体健。MR表现如下图。



脑肿瘤强化行为主要取决于()
A.脑屏障破坏程度及肿瘤的血供
B.肿瘤大小
C.使用离子型还是非离子型对比剂
D.年龄
E.部位
点击查看答案
本题答案:微信扫下方二维码即可打包下载完整带答案解析版《★放射医学(医学高级)》或《放射医学(医学高级):中枢神经系统》题库
124、单项选择题
患者男,45岁,突发剧烈头痛伴呕吐30min。既往有高血压病史,平日血压为(190~160)/(100~110)mmHg。查体:右侧肢体肌力Ⅱ级,无颈项强直。CT表现如下图。

脑血肿的血红蛋白的动态演变规律是()
A.含氧血红蛋白-正铁血红蛋白-脱氧血红蛋白-含铁血黄素
B.含氧血红蛋白-脱氧血红蛋白-正铁血红蛋白-含铁血黄素
C.含氧血红蛋白-脱氧血红蛋白-含铁血黄素-正铁血红蛋白
D.含氧血红蛋白-正铁血红蛋白-含铁血黄素-脱氧血红蛋白
E.含氧血红蛋白-含铁血黄素-脱氧血红蛋白-正铁血红蛋白
点击查看答案
本题答案:微信扫下方二维码即可打包下载完整带答案解析版《★放射医学(医学高级)》或《放射医学(医学高级):中枢神经系统》题库
125、多项选择题 患者女,56岁,右侧耳鸣1年,听力下降3个月。
若进一步诊断明确,还需做的影像学检查是()
A.CT
B.MRI平扫
C.MRI增强
D.头颅平片
E.纯音测听
F.B超
G.HRCT
点击查看答案
本题答案:微信扫下方二维码即可打包下载完整带答案解析版《★放射医学(医学高级)》或《放射医学(医学高级):中枢神经系统》题库
126、多项选择题
患者女,56岁,右侧耳鸣1年,听力下降3个月。
最可能的诊断为(提示CT显示内耳道增宽,如下图。)()
A.CPA区脑膜瘤
B.CPA区听神经鞘瘤
C.三叉神经鞘瘤
D.CPA区皮样囊肿
E.CPA区表皮样囊肿
F.CPA区蛛网膜囊肿
G.面神经鞘瘤
点击查看答案
本题答案:微信扫下方二维码即可打包下载完整带答案解析版《★放射医学(医学高级)》或《放射医学(医学高级):中枢神经系统》题库
127、单项选择题
男性,25岁,车祸外伤后昏迷,X线平片与CT未见明确骨折及颅内血肿,MR表现如下图。

正确的诊断是()
A.蛛网膜下隙出血
B.脑皮质挫裂伤
C.脑室出血
D.脑梗死
E.弥漫性轴索损伤
点击查看答案
本题答案:微信扫下方二维码即可打包下载完整带答案解析版《★放射医学(医学高级)》或《放射医学(医学高级):中枢神经系统》题库
128、多项选择题 脑血管畸形包括()
A.动脉瘤
B.静脉瘤
C.海绵状血管瘤
D.动静脉畸形
E.毛细血管扩张症
点击查看答案
本题答案:微信扫下方二维码即可打包下载完整带答案解析版《★放射医学(医学高级)》或《放射医学(医学高级):中枢神经系统》题库
129、单项选择题
患者女,48岁。渐进性肢体无力半年。MRI所示如下图。


根据脊髓和头部MRI表现,病变应诊断为()
A.多发脑缺血
B.多发性硬化
C.脑白质稀疏
D.脑萎缩
E.脑炎
F.脑白质病变
点击查看答案
本题答案:微信扫下方二维码即可打包下载完整带答案解析版《★放射医学(医学高级)》或《放射医学(医学高级):中枢神经系统》题库
130、多项选择题 患者女,56岁,右侧耳鸣1年,听力下降3个月。
疑为小听神经瘤,首选影像学检查方法是()
A.X线平片
B.常规CT
C.HRCT
D.常规MRI
E.MRI薄层T1WI扫描
F.高分辨薄层T2WI
G.薄层T1WI强化
点击查看答案
本题答案:微信扫下方二维码即可打包下载完整带答案解析版《★放射医学(医学高级)》或《放射医学(医学高级):中枢神经系统》题库
131、单项选择题 静脉窦血栓形成的诱因不包括()
A.血管畸形
B.妊娠
C.严重脱水
D.脑部感染
E.血液高凝状态
点击查看答案
本题答案:微信扫下方二维码即可打包下载完整带答案解析版《★放射医学(医学高级)》或《放射医学(医学高级):中枢神经系统》题库
132、多项选择题 多发性硬化的诊断要点,描述正确的是()
A.反复发作,病灶新旧程度不一
B.脑内多发脱髓鞘病变
C.多位于侧脑室旁
D.水肿及占位效应明显
E.急性期病灶可强化
点击查看答案
本题答案:微信扫下方二维码即可打包下载完整带答案解析版《★放射医学(医学高级)》或《放射医学(医学高级):中枢神经系统》题库
133、单项选择题 患者女,56岁,右侧耳鸣1年,听力下降3个月。
若患者发生双侧听神经鞘瘤,应考虑的诊断为()
A.结节硬化
B.Sturge-Weber综合征
C.Alexander病
D.神经纤维瘤病Ⅰ型
E.神经纤维瘤病Ⅱ型
F.Von-hinpple-Lindau综合征
点击查看答案
本题答案:微信扫下方二维码即可打包下载完整带答案解析版《★放射医学(医学高级)》或《放射医学(医学高级):中枢神经系统》题库
134、单项选择题
患者女,56岁,右侧耳鸣1年,听力下降3个月。
病例诊断为(提示进一步MR检查结果如下图。)()
A.CPA区脑膜瘤
B.CPA区听神经鞘瘤
C.三叉神经鞘瘤
D.CPA区皮样囊肿
E.CPA区表皮样囊肿
F.CPA区蛛网膜囊肿
G.面神经鞘瘤
点击查看答案
本题答案:微信扫下方二维码即可打包下载完整带答案解析版《★放射医学(医学高级)》或《放射医学(医学高级):中枢神经系统》题库
135、单项选择题 颈动脉三角间隙内不含有()
A.颈总动脉
B.颈内静脉
C.舌咽神经
D.迷走神经
E.副神经
点击查看答案
本题答案:微信扫下方二维码即可打包下载完整带答案解析版《★放射医学(医学高级)》或《放射医学(医学高级):中枢神经系统》题库
136、单项选择题
患者女,41岁。头痛半年,加重10d。头部MRI显示如下图。
可能的诊断是(提示MR增强检查如下图。)()
A.海绵状血管瘤
B.发育性静脉畸形
C.AVM
D.毛细血管扩张症
E.动脉瘤
F.硬脑膜动静脉瘘
G.海绵状血管瘤伴发育性静脉畸形
点击查看答案
本题答案:微信扫下方二维码即可打包下载完整带答案解析版《★放射医学(医学高级)》或《放射医学(医学高级):中枢神经系统》题库
137、多项选择题
女性,62岁。外伤后左侧突眼。MRI显示如下图。


需与该病鉴别诊断的疾病包括()
A.Tolosa-Hunt综合征
B.海绵窦神经鞘瘤
C.海绵窦脑膜瘤
D.海绵窦动脉瘤
E.海绵窦AVM
F.海绵窦海绵状血管瘤
点击查看答案
本题答案:微信扫下方二维码即可打包下载完整带答案解析版《★放射医学(医学高级)》或《放射医学(医学高级):中枢神经系统》题库
138、单项选择题
患者男,20岁,癫痫病史。头部CT显示如下图。

可能的诊断是()
A.未见异常
B.左侧颞叶可疑低密度影
C.脑沟增宽
D.脑萎缩
E.脑结核
F.脑梗死
点击查看答案
本题答案:微信扫下方二维码即可打包下载完整带答案解析版《★放射医学(医学高级)》或《放射医学(医学高级):中枢神经系统》题库
139、单项选择题
患者女,41岁。右侧面肌抽搐。MRI显示如下图。

可能的诊断是(提示下一步DWI序列显示如下图。)()
A.表皮样囊肿
B.蛛网膜囊肿
C.胶样囊肿
D.畸胎瘤
E.Rathke裂囊肿
F.血管周围间隙
点击查看答案
本题答案:微信扫下方二维码即可打包下载完整带答案解析版《★放射医学(医学高级)》或《放射医学(医学高级):中枢神经系统》题库
140、单项选择题
单纯疱疹性脑炎的影像学特点或表现是()
A.临床症状轻微
B.病理组织学上无出血、坏死
C.双侧额叶长T1、长T2改变
D.无脑水肿
E.双侧颞叶内侧受累常见
点击查看答案
本题答案:微信扫下方二维码即可打包下载完整带答案解析版《★放射医学(医学高级)》或《放射医学(医学高级):中枢神经系统》题库
141、单项选择题 胆脂瘤的特点不包括()
A.信号较均匀,边界较清楚
B.常呈“塑形”生长
C.易破裂引起化学性脑膜炎
D.DWI显示病变呈高信号
E.注射对比剂后病变通常无增强
点击查看答案
本题答案:微信扫下方二维码即可打包下载完整带答案解析版《★放射医学(医学高级)》或《放射医学(医学高级):中枢神经系统》题库
142、多项选择题
患者女,48岁。渐进性肢体无力半年。MRI所示如下图。
关于MRI的描述正确的是(提示患者行脊柱MRI平扫及增强检查,显示如下图。)()
A.颈髓增粗,其内可见片状高信号影
B.胸髓可见多发片状高信号影
C.脊髓未见异常
D.MRI增强检查可见片状强化
E.脊髓空洞
F.脊髓肿胀
点击查看答案
本题答案:微信扫下方二维码即可打包下载完整带答案解析版《★放射医学(医学高级)》或《放射医学(医学高级):中枢神经系统》题库
143、多项选择题 关于脑膜瘤的描述,正确的是()
A.肿瘤可发生于颅内任何部位,大多数居脑内
B.其好发部位与蛛网膜颗粒的分布部位一致
C.肿瘤有包膜,多为结节状或颗粒状
D.肿瘤生长快,血供不丰富
E.肿瘤除恶变者外,一般不浸润至脑实质
点击查看答案
本题答案:微信扫下方二维码即可打包下载完整带答案解析版《★放射医学(医学高级)》或《放射医学(医学高级):中枢神经系统》题库
144、多项选择题
患者女,18岁,步态不稳。MRI显示如下图。

进一步询问的病史应包括()
A.有无肝硬化
B.实验室检查血铜和尿铜
C.有无中毒史
D.有无电解质紊乱
E.有无梗死史
F.有无感染史
点击查看答案
本题答案:微信扫下方二维码即可打包下载完整带答案解析版《★放射医学(医学高级)》或《放射医学(医学高级):中枢神经系统》题库
145、多项选择题 脑外伤后血管的并发症包括()
A.血管痉挛
B.脂肪栓塞
C.外伤性动脉瘤
D.外伤性动脉切割和内膜撕裂
E.外伤性动静脉瘘
点击查看答案
本题答案:微信扫下方二维码即可打包下载完整带答案解析版《★放射医学(医学高级)》或《放射医学(医学高级):中枢神经系统》题库
146、单项选择题
患者男,18岁,头痛15d伴复视10d,头部CT及MRI显示如下图。


关于少枝胶质细胞瘤,描述错误的是()
A.WHOⅡ级、Ⅲ级(20%~50%)
B.实性浸润性皮层肿块
C.50%混有其他类型肿瘤
D.额叶钙化肿块
E.30%病变可见结节状、簇状钙化
点击查看答案
本题答案:微信扫下方二维码即可打包下载完整带答案解析版《★放射医学(医学高级)》或《放射医学(医学高级):中枢神经系统》题库
147、多项选择题 应与脑脓肿相鉴别的疾病包括()
A.星形细胞
B.脑转移癌
C.放射性脑坏死
D.脑手术后残腔
E.脑内血肿吸收期
点击查看答案
本题答案:微信扫下方二维码即可打包下载完整带答案解析版《★放射医学(医学高级)》或《放射医学(医学高级):中枢神经系统》题库
题库试看结束后
微信扫下方二维码即可打包下载完整版《
★放射医学(医学高级)》题库
手机用户可保存上方二维码到手机中,在微信扫一扫中右上角选择“从相册选取二维码”即可。
题库试看结束后
微信扫下方二维码即可打包下载完整版《
放射医学(医学高级):中枢神经系统》题库,
分栏、分答案解析排版、小字体方便打印背记!经广大会员朋友实战检验,此方法考试通过率大大提高!绝对是您考试过关的不二利器!
手机用户可
保存上方二维码到手机中,在
微信扫一扫中右上角选择“从
相册选取二维码”即可。