放射医学(医学高级):X线考试资料(强化练习)
2019-11-23 03:00:47 来源:91考试网 作者:www.91exam.org 【
题库试看结束后微信扫下方二维码即可打包下载完整版《★放射医学(医学高级)》题库
手机用户可保存上方二维码到手机中,在微信扫一扫中右上角选择“从相册选取二维码”即可。
题库试看结束后微信扫下方二维码即可打包下载完整版《放射医学(医学高级):X线》题库,分栏、分答案解析排版、小字体方便打印背记!经广大会员朋友实战检验,此方法考试通过率大大提高!绝对是您考试过关的不二利器
手机用户可保存上方二维码到手机中,在微信扫一扫中右上角选择“从相册选取二维码”即可。

1、单项选择题  关于结肠正常影像描述,下列错误的是()

A.结肠粘膜皱襞有纵、横、斜三个方向
B.升结肠的结肠袋比降结肠明显
C.左半结肠粘膜皱襞以纵行为主
D.左半结肠比右半结肠粗
E.低张双对比造影可显示无名沟和无名小区


点击查看答案


2、单项选择题  男,6岁,临床需查骨龄。 应首先选摄何部位X线片()

A.膝关节正位
B.踝关节正位
C.肩关节正位
D.肘关节正位
E.腕关节正位


点击查看答案


3、单项选择题  右前斜位,心脏前缘自上而下依次为()

A.左心房、左心室
B.右心房、右心室
C.右心室、左心室
D.左心房、右心室
E.左心室、右心房


点击查看答案


4、单项选择题  下述空泡征知识,哪项不对()

A.大小为1mm至数毫米
B.病理基础为小空洞
C.常见于肺腺癌或细支气管肺泡癌
D.胸片上为低密度透光区
E.病理基础为残存的正常含气肺泡组织或小支气管


点击查看答案


5、多项选择题  

男,24岁,鼻部被击伤,如图所示,最可能的诊断是()

A.鼻骨中段见透亮线影
B.鼻骨远端稍塌陷
C.鼻骨骨折处可见小骨片影向下方分离
D.考虑为鼻骨线性骨折
E.鼻骨粉碎性骨折


点击查看答案


6、多项选择题  下列关于肺转移瘤的描述,正确的是()

A.血行转移表现为主要分布于两肺中下野的多发结节或肿块
B.X线胸片上淋巴转移可见KerleyB线
C.小结节及粟粒性病变多见于肾癌、结肠癌、骨肉瘤及精原细胞瘤的转移
D.肺是转移瘤的好发脏器
E.肺转移瘤多为单发


点击查看答案


7、单项选择题  成人视神经孔的孔径大约为()

A.0.2cm
B.0.5cm
C.1.2cm
D.0.8cm
E.1.0cm


点击查看答案


8、单项选择题  X线产生过程中,电子高速运动所需能量主要取决于()

A.管电压
B.管电流
C.灯丝焦点大小
D.旋转阳极转速
E.靶物质原子序数


点击查看答案


9、单项选择题  下列哪种肿瘤通常在肺部发生转移之后才被诊断,在X线上表现为多发性、无钙化,边缘整齐的圆形病灶()

A.前列腺癌
B.恶性甲状腺肿
C.绒毛膜上皮癌
D.成骨肉瘤
E.乳癌


点击查看答案


10、多项选择题  X线检查中膀胱癌有定性诊断价值的表现是()

A.膀胱区充盈缺损
B.肾盂积水
C.输尿管积水
D.膀胱壁不规整、僵直
E.膀胱钙化


点击查看答案


11、单项选择题  下述鼻窦癌的诊断要点中,错误的是()

A.多位于筛窦
B.软组织肿块
C.骨质破坏无硬化
D.蝶窦癌罕见
E.常伴有鼻窦炎


点击查看答案


12、单项选择题  静脉尿路造影摄片曝光时的呼吸状态应是()

A.随意呼吸
B.缓慢深呼吸
C.吸气后屏气
D.呼气后屏气
E.缓慢浅呼吸


点击查看答案


13、多项选择题  下列哪些属于直接引入法造影()

A.胃肠钡餐造影
B.口服胆囊造影
C.逆行肾盂造影
D.静脉肾盂造影
E.子宫输卵管造影


点击查看答案


14、单项选择题  胸部摄片常规体位是()

A.站立位
B.仰卧位
C.俯卧位
D.坐位
E.侧卧位


点击查看答案


15、单项选择题  下列有关乳腺癌的描述中,不属X线特征的是()

A.漏斗征
B.酒窝征
C.彗星尾征
D.晕圈征
E.帐篷征


点击查看答案


16、单项选择题  

女,61岁,腹痛腹胀2年,结合图像,最可能的诊断为()

A.正常肠圈
B.十二指肠炎
C.降段憩室
D.水平段憩室
E.占位


点击查看答案


17、单项选择题  

男,38岁,左膝痛,受伤时出血较多,结合图像,最可能的诊断是()

A.白血病
B.血友病性关节炎
C.骨巨细胞瘤
D.退行性骨关节病
E.类风湿关节炎


点击查看答案


18、单项选择题  来自神经内分泌细胞的癌是()

A.小细胞癌
B.大细胞癌
C.腺癌
D.鳞癌
E.细支气管肺泡癌


点击查看答案


19、多项选择题  下列哪些是尿路梗阻的X线征象()

A.肾脏增大,肾盏呈球形扩大
B.肾脏缩小,肾盏杯口变钝
C.肾脏长径变长,肾盂与输尿管交界处扭曲狭窄
D.输尿管延长、迂曲、狭窄,近段扩张
E.扩张的输尿管突然中断


点击查看答案


20、单项选择题  下列哪项不是左心衰竭的X线表现()

A.肺静脉扩张
B.肺淤血
C.上腔静脉影增宽
D.肺泡性肺水肿
E.胸腔积液


点击查看答案


21、多项选择题  在胸片上表现为肺血增多的心脏病有()

A.室间隔缺损 
B.三尖瓣闭锁不全 
C.房间隔缺损 
D.肺动脉狭窄 
E.动脉导管未闭


点击查看答案


22、多项选择题  影响钙磷代谢的主要因素包括()

A.维生素D
B.甲状旁腺素
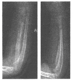
C.甲状降钙素
D.肾上腺素
E.血管紧张素


点击查看答案


23、多项选择题  先天性主动脉缩窄的X线表现为()

A.肋骨切迹
B.3字征
C.升主动脉扩张
D.上纵隔阴影增宽
E.降主动脉上段的狭窄后扩张


点击查看答案


24、单项选择题  活检证实为浸润性导管癌,患者有保乳愿望,目前最适宜的治疗是()

A.放疗
B.化疗
C.手术
D.内分泌治疗
E.中药治疗


点击查看答案


25、单项选择题  平片上,蝶鞍增大和(或)破坏表现见于下述哪种情况()

A.垂体瘤、视交叉胶质瘤、颅咽管瘤
B.垂体瘤、颅咽管瘤
C.视交叉胶质瘤、蝶窦或后组筛窦黏液囊肿或肿瘤
D.蝶窦或后组筛窦黏液囊肿或肿瘤
E.垂体瘤、视交叉胶质瘤、颅咽管瘤、蝶窦或后组筛窦黏液囊肿或肿瘤


点击查看答案


26、单项选择题  1895年,伦琴将X线首次应用于人体的哪个系统()

A.心血管系统
B.骨骼系统
C.神经系统
D.消化系统
E.呼吸系统


点击查看答案


27、单项选择题  腕部尺偏位,主要用于检查的是下列哪项()

A.掌骨
B.腕豆骨
C.腕舟骨
D.腕三角骨
E.腕钩骨


点击查看答案


28、单项选择题  阻塞性肺不张出现于支气管完全阻塞后()

A.0~6小时
B.6~12小时
C.12~18小时
D.18~24小时
E.24~30小时


点击查看答案


29、多项选择题  关于气胸下列哪项正确()

A.胸部平片不易发现微量气胸
B.所有气胸都有加重甚至发展为张力性气胸的可能
C.气胸在胸部平片上大多能得到明确诊断
D.CT检查的目的是发现少量气胸及少见部位的气胸
E.检查微量气胸时,宜用呼气相扫描


点击查看答案


30、单项选择题  椎弓崩裂最好发于()

A.椎弓根
B.椎弓峡部
C.椎板前1/2部
D.椎板后1/2部
E.双侧椎板结合处


点击查看答案


31、多项选择题  骨质破坏的病因包括()

A.炎症
B.病理组织直接浸润
C.肿瘤或瘤样病变
D.肉芽肿
E.病理组织间接引起破骨细胞活动亢进


点击查看答案


32、单项选择题  男性,56岁。有动脉粥样硬化病史。突然感到剧烈刀割样胸痛2小时,向背部放射。体检发现主动脉瓣区可闻及舒张期杂音,考虑为主动脉夹层可能。夹层内膜撕裂的好发部位是()

A.升主动脉
B.主动脉弓
C.降主动脉
D.主动脉峡部
E.升主动脉根部和主动脉峡部


点击查看答案


33、单项选择题  肥厚型心肌病的X线征象中,下列哪项错误()

A.心脏多数不大或仅有轻度增大
B.肺动脉段明显突出
C.肺血管纹理正常或有轻度肺淤血
D.心脏搏动正常或增强
E.少数病例心脏可高度增大


点击查看答案


34、单项选择题  ERCP的正确说法是()

A.逆行肾盂造影
B.逆行性内镜胆胰管造影
C.经皮肝穿胆道造影术
D.静脉法胆道造影
E.口服法胆囊造影


点击查看答案


35、单项选择题  

女,40岁,右桡骨远端疼痛5月余,局部压痛。结合右腕关节正侧位片,最可能的诊断为()

A.成软骨细胞瘤
B.骨巨细胞瘤
C.骨囊肿
D.动脉瘤样骨囊肿
E.骨纤维异常增殖症


点击查看答案


36、单项选择题  子宫输卵管造影,正常宫腔容积平均为()

A.7ml左右
B.6ml左右
C.5ml左右
D.4ml左右
E.3ml左右


点击查看答案


37、单项选择题  长管状骨急性化脓性骨髓炎发病率从高到低的次序是()

A.胫骨>肱骨>股骨>桡骨
B.股骨>胫骨>肱骨>桡骨
C.肱骨>桡骨>胫骨>股骨
D.桡骨>肱骨>股骨>胫骨
E.胫骨>股骨>肱骨>桡骨


点击查看答案


38、单项选择题  

女,6个月,身体发育异常,眼巩膜呈蓝色,结合图像,最可能的诊断为()

A.成骨不全
B.粘多糖病
C.软骨发育不全
D.佝偻病
E.侏儒症


点击查看答案


39、单项选择题  用于X线成像的波长为()

A.0.0006~50mm
B.0.0006~50nm
C.0.031~0.008mm
D.0.031~0.008nm


点击查看答案


40、单项选择题  下述主动脉病变在普通X线平片上的表现,错误的是()

A.主动脉增宽、伸长和迂曲
B.主动脉搏动增强
C.主动脉外形不规则
D.主动脉位置改变
E.主动脉狭小


点击查看答案


41、单项选择题  儿童长骨分为4部分,下列哪项是错误的()

A.骨干 
B.骨端 
C.骨骺 
D.骨骺板 
E.干骺端


点击查看答案


42、多项选择题  输尿管结石需与下列哪些病变相鉴别()

A.胆结石
B.腹部淋巴结钙化
C.肾结核
D.静脉石
E.肾囊肿


点击查看答案


43、单项选择题  成人下颌角的正常值为()

A.110度
B.115度
C.120度
D.125度
E.130度


点击查看答案


44、单项选择题  成骨不全症需与下列各病进行鉴别诊断,应除外哪一种()

A.软骨发育不全症
B.干骺发育不良症
C.维生素C缺乏症
D.脆骨症
E.维生素D缺乏病


点击查看答案


45、单项选择题  “泪囊肿瘤”首选的X线检查体位是()

A.柯氏位
B.眼眶正位
C.头颅正位
D.视神经孔位
E.华氏位


点击查看答案


46、多项选择题  下列肺挫伤的诊断要点,正确的是()

A.胸痛、咯血、呼吸急促
B.肺内大片状或斑点状密度增高影
C.液气胸
D.肺部阴影需2周以上时间才能完全吸收
E.肺段或肺叶木张


点击查看答案


47、单项选择题  

男,6岁,睡眠差、夜惊、多汗、出牙较迟、血清磷减低、血清钙减低、碱性磷酸酶升高,结合图像,最可能诊断是()

A.维生素D缺乏病
B.骨质软化症
C.先天性骨梅毒
D.肾性维生素D缺乏病
E.脆骨病


点击查看答案


48、单项选择题  食管造影通常可见到下列压迹,除了()

A.主动脉弓压迹
B.左支气管压迹
C.降主动脉压迹
D.左心室压迹
E.左心房压迹


点击查看答案


49、单项选择题  关于数字成像方法的叙述,错误的是()

A.胶片数字化仪不是数字化X线成像方式
B.计算机放射摄影是数字化X线成像方式
C.非直接转换技术是数字化X线成像方式
D.直接转换技术是数字化X线成像方式
E.硒鼓技术用于直接放射成像技术


点击查看答案


50、单项选择题  

男,6岁,身材矮小,关节畸形,血钙磷化验异常,如图,最可能的诊断为()

A.坏血病
B.肾性佝偻病
C.粘多糖病
D.克汀病
E.脂质沉积病


点击查看答案


51、多项选择题  下列哪项可使散射线量增加()

A.被照体面积大
B.被照体体积大
C.被照体厚度大
D.被照体含气量大
E.被照体组织密度均匀


点击查看答案


52、单项选择题  关于肾结核的描述,错误的是()

A.90%肾结核系由尿路逆行感染所致
B.肾实质内钙化点可由干酪样病变而来
C.肾乳头部见边缘模糊的低密度病灶或空洞
D.实质破坏、纤维化可使肾外形缩小,表面不光整
E.晚期肾结核可发生全肾钙化


点击查看答案


53、单项选择题  急性乳腺炎脓肿形成时,下列哪一项治疗最为重要()

A.热敷抗生素
B.中药治疗
C.化疗
D.理疗
E.脓肿切开引流


点击查看答案


54、单项选择题  新生儿摄取胸部正位时应选择()

A.站立前后位
B.站立后前位
C.仰卧后前位
D.半坐后前位
E.仰卧前后位


点击查看答案


55、多项选择题  关于脑血管疾病钙化,下列哪些正确()

A.颈内动脉虹吸部钙化呈弧线状
B.慢性硬膜下血肿钙化呈梭形
C.颅内血肿钙化呈团块状
D.司-威(Sturge-Weber)综合征呈平行的线状钙化
E.以上都不对


点击查看答案


56、单项选择题  “短肢型侏儒”可见于()

A.假性软骨发育不全
B.晚发型脊柱骨骺发育不良
C.关节-眼病
D.黏多糖病Ⅶ型
E.致密性骨发育不全


点击查看答案


57、单项选择题  有关照射野的描述,错误的是()

A.X线束入射于被照体的曝光面的大小称照射野
B.摄影时照射野应缩小到能容下被检部位的标度
C.照射野的大小大多用遮线器控制
D.来自中心部分的一条X线为中心线
E.中心线必须垂直于被照体中心


点击查看答案


58、多项选择题  关于胰腺炎的X线表现,描述正确的是()

A.十二指肠球呈三叶状变形
B.Vater壶腹肿大
C.十二指肠环变形或扩大
D.肠管局限性麻痹性肠梗阻
E.胰腺结石及钙化


点击查看答案


59、单项选择题  在典型的胃良性溃疡与恶性溃疡鉴别要点中,哪一项是良性溃疡的特征()

A.蠕动减弱
B.粘膜皱襞紊乱
C.龛影位于胃轮廓之内
D.龛影突出于胃轮廓之外
E.局部胃腔狭窄


点击查看答案


60、多项选择题  消化道黏膜的改变包括()

A.黏膜皱襞增粗、扭曲
B.龛影
C.黏膜皱襞破坏
D.黏膜皱襞纠集
E.微皱襞的改变


点击查看答案


61、单项选择题  关于椎间盘“赤道征”,下列观点哪项正确()

A.见于正常儿童椎间盘
B.有十分重要的临床意义
C.是椎间盘退变的早期征象
D.是椎间盘退变的晚期征象
E.见于正常成人椎间盘


点击查看答案


62、单项选择题  关于头颅摄片的叙述,错误的是()

A.头颅后前正位,中心线向足侧倾斜23°经眉间射入
B.头颅后前正位,中心线垂直经眉间射入
C.头颅侧位,中心线垂直蝶鞍处射入
D.蝶鞍体表定位于外耳孔前3cm,再向上2.5cm处
E.蝶鞍体表定位于听眦线中,后1/3交点处


点击查看答案


63、单项选择题  发生“碘过敏反应”的症状中,下列哪种最危险()

A.面部潮红
B.皮肤丘疹
C.皮肤瘙痒
D.喉头发痒
E.喷嚏


点击查看答案


64、单项选择题  

女,18岁,左下肢肿痛,活动后加重,关节僵硬,结合图像,最可能的诊断是()

A.蜡油骨病
B.骨斑点症
C.条纹状骨病
D.石骨病
E.肥大性骨关节病


点击查看答案


65、单项选择题  在常规后前位胸片上不能完全显示影像的左肺段为()

A.内基底段
B.前基底段
C.外基底段
D.后基底段
E.背(尖)段


点击查看答案


66、单项选择题  

男,17岁,右腿酸痛、肿胀2个月余。右膝关节平片如下,最可能的诊断为()

A.纤维性骨皮质缺损
B.非骨化性纤维瘤
C.骨化性纤维瘤
D.骨样骨瘤
E.骨巨细胞瘤


点击查看答案


67、单项选择题  消化道黏膜的改变不包括()

A.黏膜皱襞增粗、扭曲
B.龛影
C.黏膜皱襞破坏
D.黏膜皱襞纠集
E.微皱襞的改变


点击查看答案


68、多项选择题  肺类风湿病的实验室检查多见()

A.类风湿因子阳性
B.血清白蛋白减低
C.IgG、IgM增高
D.血沉减慢
E.γ球蛋白增加


点击查看答案


69、单项选择题  胸片肋膈角变平变钝积液量约为()

A.50ml
B.150ml
C.200ml
D.300ml
E.400ml


点击查看答案


70、单项选择题  下列关于KerleyB线的描述,错误的为()

A.多见于肋膈角区
B.起自并垂直于胸膜面
C.网格状阴影
D.长2~3cm,宽1mm
E.是由于小叶间隔水肿、肥厚所致


点击查看答案


71、单项选择题  下列多发性肺囊肿的X线表现中,错误的是()

A.多见于一侧肺
B.多为含气囊肿,大小不等
C.囊壁薄而边缘锐利
D.通常伴有胸膜增厚
E.肺体积增大


点击查看答案


72、单项选择题  男,52岁,右下腹痛,贫血3月,钡灌肠检查见盲肠充盈缺损,肠袋消失,粘膜中断,最可能的诊断是()

A.结肠炎性肿块 
B.淋巴瘤 
C.平滑肌瘤 
D.盲肠癌 
E.淋巴结增生症


点击查看答案


73、单项选择题  人体最重要的排泄器官是()

A.皮肤
B.肺
C.消化道
D.肾
E.唾液腺


点击查看答案


74、多项选择题  肺隐球菌病的X线征象有()

A.病灶可单发或多发
B.病灶呈斑片状、圆形或结节炎性浸润
C.病灶的边缘比较模糊
D.肺门和纵隔淋巴结常增大
E.晚期病变可有播散


点击查看答案


75、单项选择题  “单侧肋骨下缘切迹”见于()

A.主动脉关闭不全
B.胸壁动静脉瘘
C.主动脉弓畸形
D.左锁骨下动脉开口远侧主动脉狭窄
E.以上都可以


点击查看答案


76、单项选择题  风湿性心脏病左房室瓣(二尖瓣)病变时肺血管改变()

A.肺充血
B.肺淤血
C.肺缺血
D.肺出血
E.以上都不是


点击查看答案


77、单项选择题  关于“急性化脓性鼻窦炎”的影像特点,下列说法哪项错误()

A.窦腔密度均匀增高
B.粘膜下皮质白线消失
C.窦壁粘膜增厚
D.可有气液面
E.单侧或双侧鼻窦受累


点击查看答案


78、单项选择题  X线平片上可见部分骨小梁与压力方向一致,部分与张力方向一致者为()

A.股骨干
B.股骨近端
C.肱骨干
D.胫骨近端
E.髂骨


点击查看答案


79、单项选择题  

男,3岁,腕部变形,胸廓畸形,应诊断为()

 

A.坏血病
B.佝偻病
C.粘多糖病
D.克汀病
E.脂质沉积病


点击查看答案


80、多项选择题  中央型肺癌的转移表现包括()

A.肺门阴影增大
B.膈肌矛盾运动
C.肺内结节
D.胸腔积液
E.纵隔影增宽


点击查看答案


81、多项选择题  

男,64岁,进食梗阻感半月。体检:咽充血少许滤泡,结合图像,最可能的诊断为()

A.会厌征
B.颈椎退变
C.食管癌
D.食管型颈椎病
E.以上都不是


点击查看答案


82、单项选择题  关于胆囊癌的描述哪项正确()

A.直接侵犯以消化管最常见 
B.多为鳞癌 
C.多为浸润型 
D.造影表现正常就可除外胆囊癌 
E.胆囊壁增厚是本病特有影像


点击查看答案


83、单项选择题  “动脉瘤样骨囊肿”正确的演变顺序为()

A.稳定期、溶骨期、膨胀期、愈合期
B.膨胀期、稳定期、溶骨期、愈合期
C.溶骨期、膨胀期、稳定期、愈合期
D.稳定期、膨胀期、溶骨期、愈合期
E.膨胀期、溶骨期、稳定期、愈合期


点击查看答案


84、单项选择题  感光原理是()

A.光水解反应
B.光分解反应
C.光合作用
D.光合成反应
E.以上都不是


点击查看答案


85、单项选择题  成人胸部正位摄影焦-片距为()

A.50cm
B.70cm
C.90cm
D.100-120cm
E.150-180cm


点击查看答案


86、单项选择题  急性化脓性骨髓炎的骨质X线平片表现,在发病何时可出现()

A.2周后
B.即刻
C.2周
D.以上都不是
E.2周内


点击查看答案


87、多项选择题  “肠套叠灌肠复位”适应证有()

A.全身情况尚好
B.果酱油色便
C.大量血便
D.了解结肠以下低位套叠
E.套叠时间较长


点击查看答案


88、多项选择题  食管静脉曲张累及下列哪些静脉()

A.胃冠状静脉
B.脐静脉
C.食管下静脉
D.奇静脉
E.肋间静脉


点击查看答案


89、单项选择题  “胸片常规位”是指()

A.卧位前后位
B.立位后前位
C.卧位后前位
D.立位前后位
E.右侧位


点击查看答案


90、单项选择题  颌顶位又称为()

A.顶颌位
B.下上轴位
C.上下轴位
D.额鼻位
E.后前位


点击查看答案


91、多项选择题  肺充血的X线表现为()

A.两侧肺门阴影缩小
B.右下肺动脉干扩张>1.5cm
C.肺动脉段凸出,搏动增强
D.肺野透明度减低
E.肺纹理增粗增重,边缘清楚


点击查看答案


92、多项选择题  膝关节前后正位摄片要求清晰可见的结构是()

A.股骨远端骨小梁
B.胫骨近端骨小梁
C.膝关节周围软组织
D.髌骨
E.半月板


点击查看答案


93、单项选择题  膝关节侧位摄影,关节需屈曲多少度()

A.105°
B.115°
C.125°
D.135°
E.145°


点击查看答案


94、单项选择题  额窦摄片,常规位置是()

A.柯氏位(CaldWell’s) 
B.瓦氏位(Water’s) 
C.斯氏位(Stenever’s) 
D.劳氏位(LaW’s) 
E.瑞氏位(Rhees’s)


点击查看答案


95、单项选择题  骨质增生由下述哪种原因引起()

A.骨动脉或静脉栓塞及血栓形成
B.肿瘤组织形成的肿瘤骨
C.成骨细胞活动形成新生骨或软骨内成骨
D.软骨细胞活动形成新生骨
E.以上都不是


点击查看答案


96、多项选择题  以下可以见到钙化的疾病是()

A.错构瘤
B.淋巴结结核
C.周围型肺癌
D.中央型肺癌
E.肺泡微石症


点击查看答案


97、多项选择题  间质性肺水肿的X线表现有()

A.肺纹理和肺门血管阴影模糊
B.支气管袖口征
C.蝶翼征
D.胸膜下水肿
E.两上肺静脉分支增粗


点击查看答案


98、单项选择题  髋关节蛙式位,大粗隆与股骨颈重叠的原因是()

A.股骨外翻角度较大 
B.股骨外翻角度较小 
C.股骨内翻角度较大 
D.股骨内翻角度较小 
E.股骨倾斜角度较大


点击查看答案


99、单项选择题  小叶旁型肺气肿主要分布在()

A.双肺上叶
B.肺内瘢痕病灶旁
C.两肺弥漫分布,以下叶为主
D.局限于胸膜下区域
E.双肺均匀分布


点击查看答案


100、多项选择题  X线发生装置包括()

A.控制装置
B.高压发生装置
C.诊视床
D.X线管
E.影像装置


点击查看答案


101、单项选择题  下列哪项不是骨纤维结构不良的X线表现()

A.骨皮质膨胀,无骨膜反应
B.颅骨硬化及颅底畸形
C.骨干囊状透亮区,呈磨砂玻璃状
D.骨骺延迟闭合,无病理骨折
E.病变呈多房状


点击查看答案


102、单项选择题  应力性骨折在发病多长时间内,X线检查可无明显表现()

A.4~6周
B.1~2天
C.3~4周
D.3~4天
E.1~2周


点击查看答案


103、单项选择题  下列哪项属于椎骨恶性骨质破坏者()

A.脊柱结核
B.骨巨细胞瘤
C.骨囊肿
D.骨转移瘤
E.嗜酸性肉芽肿


点击查看答案


104、单项选择题  软骨瘤的主要成分是()

A.透明软骨
B.钙化的软骨
C.退化软骨所形成的假囊肿
D.骨化的软骨
E.骨细胞


点击查看答案


105、单项选择题  法洛四联征的心影,多表现为()

A.明显增大
B.进行性增大
C.缩小
D.正常或轻度增大
E.雪人征


点击查看答案


106、单项选择题  中央型肺癌伴右上肺不张的影像特征是()

A.右下三角征
B.横S征
C.心后三角征
D.薄饼征
E.彗星征


点击查看答案


107、单项选择题  肾脊角正常为()

A.5°~10°
B.10~15°
C.15°~20°
D.15°~25°
E.20°~30°


点击查看答案


108、多项选择题  

男,55岁,上腹饱胀不适2月,结合图像,最可能的诊断是()

A.正常表现
B.食管癌
C.食管静脉曲张
D.胃炎
E.胃癌


点击查看答案


109、多项选择题  下列胸部疾患摄影位置,正确的是()

A.少量胸腔积液——侧卧水平正位或斜位
B.肺下积液——单纯后前位
C.包裹性积液——切线位
D.慢性支气管炎——常规正位深吸气与深呼气位对照
E.肺癌——常规正侧,体层摄影


点击查看答案


110、多项选择题  肝胆显像的临床应用价值()

A.肝移植的监测
B.胆管闭锁及新生儿肝炎的鉴别诊断
C.肠胃反流的诊断
D.黄疸的鉴别诊断
E.胆管旁路手术后检测引流异常及梗阻部位的定位


点击查看答案


111、多项选择题  气管肿瘤的定性诊断应从哪些方面作分析()

A.基底宽窄与夹角大小
B.是否带蒂
C.密度与边缘
D.邻近侵犯情况
E.肿大淋巴结


点击查看答案


112、多项选择题  以下关于下咽癌的描述,正确的是()

A.梨状窝癌最常见
B.病理类型多为鳞状细胞癌
C.气管后椎前软组织影增厚
D.淋巴结转移少见
E.梨状窝内壁侧壁僵直


点击查看答案


113、单项选择题  现代医学影像学不包括()

A.核素显像
B.胃镜
C.超声
D.磁共振


点击查看答案


114、单项选择题  对脊柱结核的检查,CT优于X线平片在于显示()

A.椎间隙变窄
B.钙化
C.骨质增生
D.骨质破坏
E.椎管内脓肿


点击查看答案


115、单项选择题  “硬化型”食管癌的特征性影像表现是()

A.食管局限性狭窄
B.食管腔内充盈缺损
C.不规则龛影
D.牵引性憩室
E.食管扩张下端呈鸟嘴状


点击查看答案


116、单项选择题  “腕骨二次骨化中心”出现的正常顺序是()

A.头、钩、三角、月
B.小、大、钩、头
C.豆、月、头、钩
D.舟、钩、月、头
E.月、豆、头、大


点击查看答案


117、单项选择题  软线摄影的管电压范围为()

A.25kV
B.25~40kV
C.40~100kV
D.40~60kV
E.100~200kV


点击查看答案


118、单项选择题  

下述有关骨髓瘤的说法,哪项错误()
 

A.STIR序列下病灶高信号较T2WI更明显
B.MR对检出病变、确定范围非常敏感
C.骨破坏在T1WI呈边界清楚的低信号
D.病变弥漫时为多发散在点状低信号
E.MR对骨皮质破坏出现之前的改变不能显示


点击查看答案


119、单项选择题  关于骨岛,哪项是错误的()

A.松质骨内局限性骨小梁增多,增粗
B.边界清楚的致密影
C.长轴与较粗骨小梁走行方向一致
D.直径一般只有数厘米
E.以上都不是


点击查看答案


120、多项选择题  关于DR成像的叙述,正确的是()

A.X线数字摄片——Digitalradiography
B.硒鼓技术利用硒接受X线照射后直接转换为电信号
C.直接放射成像是直接读取感应介质记录的X线信息
D.直接放射成像以数字化图像方式重放和记录
E.以上都正确


点击查看答案


121、单项选择题  CR的缺点是()

A.常规X线摄影信息数字化
B.图像的分辨率、显示力高
C.时间、空间分辨力不高
D.实现X线信息的数字化储存、再现及传输
E.降低X线的辐射量


点击查看答案


122、单项选择题  肩胛征常见于()

A.胃体部癌
B.胃窦癌
C.十二指肠溃疡
D.胃溃疡
E.结肠癌


点击查看答案


123、多项选择题  病灶密度均匀、边缘模糊影见于()

A.干酪性肺炎 
B.支原体肺炎 
C.肺脓肿早期 
D.矽肺晚期 
E.大叶性肺炎


点击查看答案


124、单项选择题  

患者,男,40岁,因进食困难,逐渐加重半年就诊,钡餐造影检查示食管明显扩张,蠕动减弱,食管远端呈鸟嘴状,表面尚光整,服温水后,对比剂部分进入胃内。钡餐检查如图所示

最可能诊断为()

A.食管下端癌
B.食管贲门失弛缓症
C.食管下端静脉曲张
D.反流性食管炎
E.食管下段黏膜下平滑肌瘤


点击查看答案


125、单项选择题  

男,18岁,右股骨肿瘤术后,出现大腿中段疼痛,夜间尤甚,结合CT图像,最可能的诊断是()

A.骨纤维肉瘤
B.尤文肉瘤
C.骨肉瘤
D.成骨性骨转移瘤
E.化脓性骨髓炎


点击查看答案


126、多项选择题  Perkin方格正确的表述为()

A.用于股骨头骨骺出现前的儿童髋关节测量
B.横行线为自两侧"Y"形软骨的中央画线
C.垂线经过髋臼的外侧缘
D.横行线与垂线形成的象限称为Perkin方格
E.正常股骨头骨骺位于内下象限


点击查看答案


127、单项选择题  调节声带运动的软骨主要为()

A.甲状软骨
B.环状软骨
C.会厌软骨
D.杓状软骨
E.小角软骨


点击查看答案


128、单项选择题  骨软骨瘤典型X线特征是()

A.瘤体可随骨骺生长而移至骨干
B.背向关节生长的骨性突起
C.瘤体与载瘤骨相连续
D.瘤帽不规则钙化
E.以上都是


点击查看答案


129、单项选择题  关于慢性肺脓肿空洞的X线表现,正确的是()

A.边缘较清楚
B.呈圆形或椭圆形
C.呈不规则形
D.常有液平面
E.以上全对


点击查看答案


130、多项选择题  用立位滤线器摄片的体位是()

A.站立位
B.仰卧位
C.俯卧位
D.侧卧位
E.坐立位


点击查看答案


131、单项选择题  下列关于造影与显影时间的组合,错误的是()

A.子宫输卵管造影——注射后即刻显影
B.排泄性肾盂造影——静脉注射后5分钟显影
C.选择性动脉插管造影——注射后即显影
D.脑血管造影——注入后5秒钟显影
E.静脉胆道造影——静脉注射后15~30分钟显影


点击查看答案


132、多项选择题  以下关于眼眶骨折的描述,正确的是()

A.眼部软组织肿胀
B.眼球内陷或突出
C.眼眶爆裂骨折多见于眶内下壁
D.平片显示眶下壁骨折较好
E.内侧壁骨折伴发筛窦透光度减低


点击查看答案


133、单项选择题  

早产儿,男,生后12小时,生后8小时出现呼吸困难,如图,最可能的诊断为()

A.新生儿肺炎
B.新生儿湿肺
C.新生儿肺出血
D.新生儿特发性呼吸窘迫综合症
E.胎粪吸入综合征


点击查看答案


134、单项选择题  

男,74岁,咳嗽,咳痰1月余,咯血丝痰1周伴胸痛,胸片如图,最可能的诊断为()

A.右上肺浸润型肺结核
B.右上肺不张
C.右侧中央型肺癌并右上肺不张
D.右侧包裹性积液
E.右肺上沟瘤


点击查看答案


135、单项选择题  头颅经眶位可检查()

A.枕大孔
B.枕骨
C.内听道
D.岩骨
E.蝶鞍


点击查看答案


136、多项选择题  肾动脉的肾外分支有()

A.膈下动脉
B.性腺动脉
C.输尿管上段动脉
D.肠系膜上动脉
E.肾上腺下动脉


点击查看答案


137、单项选择题  头颅经眶位检查的是()

A.内听道
B.枕骨
C.枕大孔
D.岩骨
E.蝶鞍


点击查看答案


138、多项选择题  慢性支气管炎的表现有()

A.不伴有支气管扩张
B.由于支气管壁及周围组织纤维化的结果,可见“轨道征”
C.很少有肺气肿
D.慢性支气管炎,两个肺野变化多明显
E.一般在两肺野散在索条状或网状影,进一步表示出现小结节状阴影


点击查看答案


139、多项选择题  主动脉型心脏的表现不包括()

A.肺动脉段凹陷
B.心尖上翘
C.主动脉结凸出
D.心尖下移
E.右心室增大


点击查看答案


140、单项选择题  有关高原性心脏病的描述,错误的是()

A.双肺纹理增多、紊乱
B.心影增大
C.上腔静脉影增宽
D.肺门影增大,结构欠清
E.仅凭上述表现就能诊断本病


点击查看答案


141、多项选择题  弥漫性颅骨增生见于()

A.骨纤维异常增殖症
B.骨肉瘤
C.肾性佝偻病
D.石骨症
E.畸形性骨炎


点击查看答案


142、单项选择题  指出骨麻风病特异性的X线表现()

A.囊样或膨胀性改变
B.骨营养孔扩大
C.密集性骨吸收
D.出现夏科氏关节
E.继发骨膜炎和骨髓炎


点击查看答案


143、多项选择题  摄片条件选择中可变因素的叙述,正确的是()

A.同厚度健康人的胸片,摄片条件一致
B.病理因素对摄片条件的影响非常重要
C.脂肪多的人需要增加照射量
D.骨结核与慢性骨髓炎相比,需增加摄片条件
E.组织构成比例是摄片条件选择的重要可变因素


点击查看答案


144、多项选择题  影响影像锐利度的因素是()

A.几何模糊
B.移动模糊
C.物体吸收模糊
D.屏/片系统模糊
E.影像密度


点击查看答案


145、单项选择题  

女,46岁。下腰部不适半年,加重2周。静脉尿路造影见图。最可能的诊断是()

A.膀胱癌
B.膀胱乳头状瘤
C.膀胱内血块
D.膀胱阴性结石
E.输尿管囊肿


点击查看答案


146、单项选择题  骨膜增生的病因包括()

A.肿瘤
B.骨膜下出血
C.炎症或外伤
D.血管性病变
E.以上都是


点击查看答案


147、单项选择题  心脏X线摄影是检查心脏病变的重要手段。 心脏摄影的呼吸方式为()

A.深吸气后屏气
B.深呼气后屏气
C.连续缓慢浅呼吸
D.平静呼吸
E.平静呼吸屏气


点击查看答案


148、单项选择题  “麻风病”骨改变特点为是()

A.早期即出现骨质改变
B.主要累及脊柱
C.末节指、趾骨骨质吸收
D.广泛性骨质增生硬化
E.骨气鼓


点击查看答案


149、单项选择题  肋骨斜位摄片,目的是观察()

A.腋中线,肋骨上斜部骨质情况
B.腋中线,肋骨直线部骨质情况
C.腋后线,肋骨弯曲部骨质情况
D.腋前线,肋骨弯曲部骨质情况
E.腋中线,肋骨弯曲部骨质情况


点击查看答案


150、单项选择题  KerleyB线主要分布于()

A.上肺内侧
B.上肺外周
C.下肺内侧
D.下肺外周
E.中肺野


点击查看答案


151、单项选择题  成人颈椎侧位平片环齿之距离为()

A.1~1.5mm
B.6mm以上
C.5~6mm
D.2.5~4mm
E.以上均不是


点击查看答案


152、单项选择题  下列关于肾脏X线解剖描述错误的是()

A.KUB片上肾脏位于第12胸椎到第2~3腰椎两侧
B.侧位片上肾脏影一般在脊柱前缘的后方
C.肾内缘较外缘靠前
D.KUB片上可观察到肾周围的脂肪组织
E.正常情况下,肾上下左右均有一定的移动度


点击查看答案


153、单项选择题  IVP示肾盏破坏,则可排除下列哪项()

A.肾结核
B.肾盂旁囊肿
C.肾盂肿瘤
D.肾乳头坏死
E.肾腺癌


点击查看答案


154、单项选择题  下列系统性红斑狼疮肺部影像学表现,哪项较具特征性()

A.胸膜增厚、胸腔积液
B.肺内游走性片状模糊影
C.双下肺网状结节影
D.肺门周围蝶翼状影
E.心影普遍增大


点击查看答案


155、单项选择题  观察心脏左、右心室,右心房和胸主动脉最佳的摄影体位是()

A.右侧位
B.右前斜位
C.左侧位
D.左前斜位
E.无差别


点击查看答案


156、多项选择题  乳腺癌的特征性钙化具有哪些特点()

A.单位面积内数目较多 
B.密集成簇 
C.密度不一,浓淡不均 
D.钙化粒微小 
E.钙化位于肿块内或边缘部


点击查看答案


157、单项选择题  下列关于“成骨肉瘤”诊断要点中,哪项是错误的()

A.最常见的原发性恶性骨肿瘤
B.好发于长骨干骺端
C.可有葱皮样骨膜反应
D.肿瘤内无钙化、骨化
E.肿瘤内既有成骨性,又有溶骨性改变


点击查看答案


158、单项选择题  第1斜位又称为()

A.右后斜位
B.左后斜位
C.左侧位
D.右前斜位
E.左前斜位


点击查看答案


159、单项选择题  

男,7岁,右前臂肿痛20天,发病时皮温较高,体温达39℃。实验室检查:WBC:12.05×109/L,中性粒细胞79%。右尺桡骨正侧位DR片如图

本例主要需与何种疾病加以鉴别()

A.骨结核
B.骨肉瘤
C.尤因肉瘤
D.软骨肉瘤
E.骨母细胞瘤


点击查看答案


160、多项选择题  有关胸膜的描述哪些是对的()

A.分四部分
B.斜裂胸膜面为一个平面
C.横裂内端止于肺门
D.有肺的部位必有胸膜
E.胸膜腔的界限和肺边缘是不一致的


点击查看答案


161、单项选择题  “肾乳头坏死”与下列哪种病变无关()

A.酒精中毒
B.镰状细胞贫血
C.肾小球肾炎
D.地中海贫血
E.肾结核


点击查看答案


162、多项选择题  颞颌关节紊乱综合征X线平片检查可以显示哪些结构()

A.关节盘及关节囊的改变
B.关节间隙的改变
C.髁状突运动度的变化
D.关节骨质的改变
E.关节凹、关节结节的改变


点击查看答案


163、多项选择题  肘关节脱位中以哪种脱位较罕见()

A.后方脱位
B.后外方脱位
C.后内方脱位
D.侧方脱位
E.前方脱位


点击查看答案


164、多项选择题  肾囊肿的影像表现为()

A.尿路造影可显示肾盏受压伸长,分开和变形,压迹呈弧形,边缘光整
B.肾动脉造影可见肾动脉受压、移位、拉直,实质期可见低密度的囊肿区
C.CT可示肾脏内圆形低密度区,转廓光滑
D.肾盏受压拉长,边缘呈虫蚀样破坏
E.肾静脉栓塞


点击查看答案


165、多项选择题  下列有关色素沉着绒毛结节性滑膜炎的描述中,正确的有()

A.软组织内有蛋壳样钙化
B.主要累及关节滑膜、关节囊和腱鞘
C.本病好发生于青壮年
D.动脉造影可显示富于血管的关节内肿块
E.膝关节最易受累


点击查看答案


166、单项选择题  下列哪一项不是骨囊肿的特点()

A.好发股骨、肱骨的骨干或干骺端
B.横径大于骨骺板宽度
C.男多于女,11~20岁好发
D.常合并病理性骨折
E.长轴与骨干纵轴一致


点击查看答案


167、单项选择题  关于肺动脉高压的描述,错误的是()

A.右心室增大 
B.肺动脉段突出,肺门增大 
C.右下肺动脉干直径>15mm 
D.肺动脉收缩压>3.99kPa 
E.主动脉结增大


点击查看答案


168、单项选择题  

男,16岁,突感呼吸困难,大汗淋漓,胸片检查如图,最可能的诊断是()

A.右侧肺气肿
B.右侧肺部肿块
C.右侧气胸
D.右侧肺大泡
E.右侧肺挫伤


点击查看答案


169、单项选择题  指(趾)骨化脓性骨髓炎的X线表现中,下列哪项是错误的()

A.可涉及指(趾)骨的一侧或整块指(趾)骨,并出现小死骨
B.大多发生于末节指(趾)骨
C.一般由皮下感染直接蔓延而来
D.骨气鼓
E.无骨膜反应


点击查看答案


170、多项选择题  颞骨X线摄片主要用于观察()

A.中耳
B.蝶鞍
C.颞骨岩部
D.颞骨乳突气房
E.鼻窦


点击查看答案


171、单项选择题  关于心胸比率,下列哪项描述正确()

A.心脏最大横径与胸廓最大横径的比率
B.心脏最大横径是左心室最大横径
C.胸廓最大横径为最大胸廓处的外径
D.充分呼气后这一比率为1:2
E.未成年人可能较小


点击查看答案


172、单项选择题  

男,69岁,上腹不适1年余,近一个月腹痛加重,呕吐,体重减轻。结合图像,最可能的诊断为()

A.十二指肠良性溃疡
B.胰头癌
C.胆管癌
D.十二指肠癌
E.十二指肠憩室


点击查看答案


173、单项选择题  关于肩关节前后位摄影,错误的是()

A.显示肱骨头与关节盂关节间隙的切线像
B.身体矢状面必须平行于胶片
C.肩胛骨喙突对准胶片中心
D.中心线对准喙突投射
E.可检查肱骨近端骨质病变


点击查看答案


174、单项选择题  假骨折线(Looser带)是诊断下述哪种疾病的可靠征象()

A.老年性骨质疏松
B.甲状旁腺功能减退
C.骨纤维异常增殖症
D.骨质软化症
E.成骨不全


点击查看答案


175、单项选择题  下列哪项描述最符合过敏性结肠炎的结肠造影表现()

A.降结肠呈线样,粘膜无破坏
B.降结肠边缘呈锯齿样,充盈像见腔内多发小充盈缺损,粘膜破坏
C.乙状结肠局限性狭窄,粘膜消失,管壁僵硬,其内见龛影
D.回盲部、回肠末端呈线样,钡剂通过呈“跳跃”征,粘膜皱襞紊乱破坏
E.回肠、结肠呈节段性狭窄,粘膜破坏,见“卵石征”,有瘘管形成


点击查看答案


176、单项选择题  胆管囊状扩张分为5种类型,其中Ⅰ型为()

A.胆总管囊肿
B.肝内多发性囊肿
C.壁内段胆总管囊状膨出
D.多发性肝内、外囊肿
E.胆总管憩室


点击查看答案


177、单项选择题  有关神经系统的组合,错误的是()

A.中枢神经系统-脊髓
B.中枢神经系统-脑
C.中枢神经系统-脑神经
D.周围神经系统-交感神经
E.周围神经系统-内脏神经


点击查看答案


178、单项选择题  

男,60岁,左股骨痛1年余,结合图像,最可能的诊断是()

A.骨纤维异常增殖症
B.Paget病
C.髋关节结核
D.股骨头缺血坏死
E.化脓性骨髓炎


点击查看答案


179、单项选择题  

男,24岁,双手疼痛,结合图像,最可能的诊断是()

A.肢端肥大症
B.骨质疏松症
C.类风湿关节炎
D.痛风
E.维生素D缺乏症


点击查看答案


180、单项选择题  下列诊断小肠Crohn(克罗恩)病较为特征的X线表现是()

A.多发生于回肠远端 
B.“卵石征” 
C.“跳跃征” 
D.管腔狭窄 
E.纵行溃疡


点击查看答案


181、多项选择题  X线检查,室间隔缺损可表现为()

A.低位小缺损,胸片可正常
B.高位大缺损,肺血常增多
C.右心房常增大
D.可有肺门舞蹈
E.左心房常增大


点击查看答案


182、单项选择题  

女,4岁,大便潜血(++),结合图像,最可能的诊断为()

A.正常表现
B.胃炎
C.胃溃疡
D.胃窦炎
E.胃癌


点击查看答案


183、单项选择题  男,13岁,右髋疼痛2年,右耻、坐骨部疼痛1年。X线表现:右额骨见地图样缺损区,边缘锐利清楚,右坐骨及髋臼下部呈溶骨破坏,坐骨部分消失,最可能的诊断是()

A.黄色瘤病
B.骨纤维异常增殖症
C.骨嗜酸性肉芽肿
D.棕色瘤
E.骨巨细胞瘤


点击查看答案


184、单项选择题  下述有关骨软骨缺血坏死的命名组合中,哪项错误()

A.跗舟骨缺血坏死——Kōhler病
B.跖骨头骨骺骨缺血坏死——Freiberg病
C.腕舟状骨缺血坏死——Kienbōck病
D.胫骨结节缺血坏死——Osgood-schlatter病
E.股骨头骨骺缺血坏死——Legg-Perthes病


点击查看答案


185、单项选择题  

男,77岁,全身性骨痛,夜间加重,贫血,PSA大于100,结合图像,最可能的诊断是()

A.成骨性骨转移
B.多发性骨髓瘤
C.慢性化脓性骨髓炎
D.骨肉瘤
E.以上都不是


点击查看答案


186、单项选择题  影响X线照片清晰度的观察条件,不包括()

A.观片灯亮度
B.照明用电源电压
C.肉眼的MTF
D.室内照明条件
E.环境明暗程度


点击查看答案


187、单项选择题  诊断颅脑疾病的最常用的检查方法是()

A.磁共振成像 
B.脑室造影 
C.头颅平片 
D.CT 
E.脑血管造影


点击查看答案


188、多项选择题  关于股骨正位摄片条件选择,正确的是()

A.使用滤线器
B.平静呼吸方式
C.FFD为75~120cm
D.总滤过≤25mm的铝
E.体表入射剂量≥1.0mGy


点击查看答案


189、单项选择题  当肺静脉压力大于3.33kPa(25mmHg)时,不应出现下列哪一项表现()

A.少量胸腔积液
B.KerleyA线
C.KerleyB线
D.两肺门不对称,右肺门小于左肺门
E.肺纹理模糊和增粗


点击查看答案


190、多项选择题  关于十二指肠憩室的描述,正确的是()

A.好发于十二指肠水平段,老年人多见
B.钡餐造影检查即可确诊
C.憩室有内容物时,可表现为充盈缺损
D.钡餐透视常见十二指肠黏膜突入其内,壁软,有蠕动及排空
E.继发炎症时黏膜增粗紊乱,可有小龛影,严重者可发生穿孔


点击查看答案


191、单项选择题  下列关于“马蹄肾”的病理特点,错误的是()

A.多为双肾上极融合 
B.多为双肾下极融合 
C.常有多支肾动脉 
D.输尿管从肾联合腹侧下行 
E.伴肾旋转不良


点击查看答案


192、多项选择题  管电压在摄片条件选择中的意义,正确的是()

A.电压代表着X线的穿透力
B.管电压控制着影像对比度
C.管电压对照片密度的影响小于照射量
D.低电压技术,照片对比度大
E.高电压技术,照片对比度大


点击查看答案


193、多项选择题  骨折移位的常见类型有()

A.成角
B.横向移位
C.重叠移位
D.分离移位
E.旋转移位


点击查看答案


194、单项选择题  下述哪种疾病不能见到肺门舞蹈征()

A.慢性肺源性心脏病
B.高原性心脏病
C.克山病
D.房间隔缺损(1孔型)
E.房间隔缺损(2孔型)


点击查看答案


195、单项选择题  胸部照片中肺纹理的影像,主要形成组织是下列哪一个()

A.血管
B.支气管
C.淋巴管
D.肺泡
E.胸膜


点击查看答案


196、单项选择题  利用以下何种手段可使组织结构影像产生对比最明显()

A.利用天然对比
B.用生理功能
C.利用人工对比
D.利用专用设备
E.利用高反差胶片


点击查看答案


197、单项选择题  尾骨是由几块椎骨组成()

A.3块
B.4块
C.5块
D.6块
E.4节退化椎骨融合成1块


点击查看答案


198、单项选择题  关于移行椎颅侧移位的特点中,下列哪项错误()

A.颈肋和第7颈椎横突过长
B.第12肋骨短或完全缺如
C.第4腰椎横突长
D.第5腰椎骶化
E.骶椎趋向尾化


点击查看答案


199、单项选择题  肺循环阻力增高性肺动脉高压与高流量性肺动脉高压主要不同点在于前者()

A.肺动脉段凸出
B.肺门动脉增粗
C.肺动脉截断征
D.右心室增大
E.肺血管搏动增强


点击查看答案


200、单项选择题  X线透视在骨关节疾病诊治中的应用是()

A.金属异物的寻找和定位及外伤性骨折、脱位的整复
B.显示青枝骨折优于摄片
C.对部位厚、层次多的结构显示更佳
D.显示骨小梁结构
E.显示低密度异物和软组织层次


点击查看答案


201、单项选择题  

男,15岁,畏寒,高热2周,摄片如图所示,下列描述正确的是()

A.骨质广泛性溶骨性破坏
B.少许骨质增生硬化
C.大量层状骨膜增生
D.以上描述均正确
E.以上描述均不正确


点击查看答案


202、单项选择题  十二指肠溃疡最常见的部位是()

A.水平部
B.球部
C.降部
D.球后部
E.小弯侧


点击查看答案


203、单项选择题  

女,3岁,身体发育异常,如图所示,最可能的诊断为()

A.成骨不全
B.粘多糖病
C.软骨发育不全
D.佝偻病
E.侏儒症


点击查看答案


204、单项选择题  下述矽肺间接征象,哪项不对()

A.肺气肿
B.肺不张
C.胸膜增厚、粘连
D.胸腔积液
E.肺源性心脏病


点击查看答案


205、单项选择题  子宫输卵管造影时,出现咳嗽、呼吸困难、咯血及偏瘫或昏迷时,主要考虑为()

A.碘过敏
B.迷走神经兴奋
C.碘油栓塞
D.麻醉药物过敏
E.以上都不是


点击查看答案


206、单项选择题  

男,45岁,车祸后左膝部剧痛,活动受限2小时,结合影像学检查,最可能的诊断是()

A.股骨颈骨折
B.股骨下端骨折
C.柯莱斯骨折
D.胫骨骨折
E.腓骨骨折


点击查看答案


207、单项选择题  

男,3岁,走路跛行,两下肢不等长,左脚外展受限,结合图像,最可能的诊断是()

A.髋关节前脱位
B.髋关节后脱位
C.髋关节中心脱位
D.先天性髋内翻
E.髋关节结核


点击查看答案


208、单项选择题  胆囊壁增厚最常见的疾病是()

A.胆囊炎
B.腹水
C.肝炎
D.肿瘤
E.胰腺炎


点击查看答案


209、单项选择题  

男,46岁,双髋部疼痛,实验室检查血钙升高,尿本周蛋白(+),结合图像,最可能的诊断是()

A.骨髓瘤
B.骨质疏松症
C.骨转移瘤
D.骨囊肿
E.动脉瘤样骨囊肿


点击查看答案


210、单项选择题  “良、恶性胃溃疡”共有的征象为()

A.腔内龛影
B.裂隙征
C.半月征
D.穿透性溃疡
E.环堤


点击查看答案


211、单项选择题  外伤间接暴力是指()

A.外力传导
B.坠落
C.砸伤
D.锐器伤
E.撞击


点击查看答案


212、单项选择题  

男,61岁,痰中带血,X线检查如图,最可能的诊断是()

A.结节病
B.右肺癌
C.右肺淋巴结肿大
D.肺转移瘤
E.炎性假瘤


点击查看答案


213、单项选择题  成人心脏摄片的焦-片距为()

A.近距离
B.100cm
C.85cm
D.150cm
E.200cm


点击查看答案


214、单项选择题  左心房增大一般最先向哪一方向增大()

A.向上增大
B.向右增大
C.向左增大
D.向后增大
E.左心耳增大


点击查看答案


215、单项选择题  下列哪种疾病,无“肺血减少”表现()

A.法洛四联征
B.三尖瓣闭锁
C.房间隔缺损
D.永存动脉干
E.大血管转位


点击查看答案


216、单项选择题  22岁,男性,在体检时发现胸骨左缘第3、4肋间隙有一响亮而尖锐的收缩期杂音,上胸壁有震颤,但无杂音传导,X线检查时可见:左室轻度扩大,结合上述病史最可能的诊断是()

A.动脉导管未闭
B.法洛四联征
C.主动脉缩窄
D.室间隔缺损(Roger病)
E.以上都不是


点击查看答案


217、单项选择题  排尿性膀胱尿路造影对诊断下述哪种疾病有价值()

A.膀胱癌
B.外伤性输尿管、肾脏病变
C.反流性肾病
D.多发性尿道结石
E.良性前列腺肥大


点击查看答案


218、单项选择题  “贲门失弛缓症”的造影表现,哪项不正确()

A.食管明显扩张,并迂曲、延长
B.食管蠕动减弱、消失
C.钡剂通过障碍,服解痉剂可缓解
D.食管末端截断性狭窄、表面不平
E.引起食管炎改变


点击查看答案


219、单项选择题  常规肺部摄影正确的呼吸方式是()

A.平静呼吸
B.平静呼吸屏气
C.深吸气末屏气
D.深呼气末屏气
E.缓慢连续呼吸


点击查看答案


220、单项选择题  构成照片影像的要素中,属于几何因素的是()

A.密度
B.对比度
C.锐利度
D.颗粒度
E.失真度


点击查看答案


221、单项选择题  患者,男性,28岁,咳嗽、咳痰1个月余,近1周低热,体温37.5~38.0℃,门诊抗炎治疗效果不佳。胸片示右上肺一含气空洞,内未见液气平面,周围可见多处小斑片影,最可能的诊断为()

A.肺脓肿
B.错构瘤
C.肺大疱
D.肺结核
E.肺支气管囊肿


点击查看答案


222、单项选择题  第一幅人体头部MR图像是哪1年获取的()

A.1946年
B.1952年
C.1972年
D.1977年
E.1978年


点击查看答案


223、单项选择题  在正位胸部X线片上,老年人右心缘上部是()

A.上腔静脉
B.升主动脉
C.奇静脉
D.无名动脉
E.右心房


点击查看答案


224、单项选择题  减少与抑制散射线的方法中,错误的是()

A.降低管电压
B.减小焦-片距离
C.缩小照射野
D.使用后盖贴有金属膜的暗盒
E.正确使用遮线器


点击查看答案


225、单项选择题  中纵隔最常见的肿瘤是()

A.胸内甲状腺肿
B.神经源性肿瘤
C.胸腺瘤
D.淋巴瘤
E.畸胎瘤


点击查看答案


226、单项选择题  下列组合中,关系最密切的是()

A.甲状旁腺——脑室
B.松果体——蝶鞍
C.泪腺——上颌窦
D.晶状体——基底核
E.脑垂体——蝶骨


点击查看答案


227、单项选择题  某患者外伤,临床怀疑椎弓峡部断裂。 照片显示的是哪一侧的椎弓峡部()

A.左侧
B.右侧
C.靠近摄影台面侧
D.远离摄影台面侧
E.双侧


点击查看答案


228、单项选择题  所有膀胱上皮性肿瘤大部分为恶性,其细胞类型依其发病率由高到低依次为()

A.鳞癌,移行细胞癌,腺癌
B.移行细胞癌,鳞癌,腺癌
C.腺癌,鳞癌,移行细胞癌
D.移行细胞癌,腺癌,鳞癌
E.鳞癌,腺癌,移行细胞癌


点击查看答案


229、单项选择题  DR使用的检测装置是()

A.影像板
B.影像增强器
C.平板探测器
D.电离室
E.光电管


点击查看答案


230、多项选择题  单侧肺透亮度增加,可见于()

A.肺含铁血黄素沉着病
B.Macleod病
C.镰刀综合征
D.乳癌根治术后
E.脊柱侧弯


点击查看答案


231、单项选择题  胸部右前斜位身体冠状面与暗盒呈()

A.15°
B.25°
C.35°
D.45°
E.60°


点击查看答案


232、单项选择题  新生儿有几个囟门()

A.4个
B.2个
C.5个
D.6个
E.7个


点击查看答案


233、单项选择题  经皮肾动脉腔内成形术简称()

A.PTC
B.PTRA
C.PTCA
D.PCN
E.PTA


点击查看答案


234、单项选择题  KerleyB线最常见于哪种疾病()

A.肺癌
B.肺结核
C.心房间隔缺损
D.二尖瓣狭窄
E.慢性支气管炎


点击查看答案


235、单项选择题  周围型肺癌所形成的空洞,其X线特征是()

A.厚壁,其内有大液平面,外缘模糊
B.厚壁,偏心性,内壁凹凸不平,无明显液平面
C.薄壁,蜂窝状阴影
D.薄壁,周边光整,大小形态可变化
E.薄壁,其内有大液平面,边缘清晰


点击查看答案


236、多项选择题  有关结肠憩室的描述,正确的是()

A.如憩室穿孔,可见游离气体
B.憩室炎发生后,憩室常变形
C.我国多发生在右侧结肠,常单发
D.憩室内常残留检查时的钡剂
E.憩室炎时,常见瘘道形成


点击查看答案


237、单项选择题  下列关于膀胱憩室的鉴别诊断,错误的是()

A.膀胱或膀胱憩室感染时可出现尿急尿频等症状
B.膀胱憩室可单发,亦可多发
C.正常膀胱内可见肌小梁间隔
D.膀胱憩室可见肌小梁间隔
E.膀胱憩室与膀胱相通


点击查看答案


238、多项选择题  骨盆骨折的常见并发症有()

A.血管损伤
B.膀胱损伤
C.尿道损伤
D.直肠损伤
E.神经损伤


点击查看答案


239、单项选择题  下列哪种疾病X线片一般不表现为双肺弥漫粟粒样阴影()

A.支气管肺炎
B.矽肺
C.结节病
D.肺转移瘤
E.血行播散型肺结核


点击查看答案


240、单项选择题  腰椎椎管与椎体比例超过多少为椎管狭窄()

A.1:3
B.1:4
C.1:4.5
D.1:5
E.1:5.5


点击查看答案


241、单项选择题  下列紫绀性先天性心脏病中,哪种有“肺血减少”表现()

A.Ebstein畸形
B.主动脉缩窄
C.房间隔缺损
D.肺动脉瓣闭锁
E.完全性大血管转位


点击查看答案


242、多项选择题  下述表现中,哪些与“胃溃疡”无关()

A.胃空腹滞留液较多
B.激惹征
C.“B”形胃
D.胃排空速度加速或延缓
E.袖口征


点击查看答案


243、单项选择题  类风湿性关节炎病变最初是发生在()

A.关节内韧带
B.关节软骨
C.关节滑囊
D.关节囊纤维层
E.关节骨关节面


点击查看答案


244、单项选择题  我国的放射卫生防护标准叙述,错误的是()

A.辐射实践正当化为放射防护的综合原则
B.我国放射卫生防护标准是GB4792
C.放射防护水平最优化为放射防护的综合原则
D.以剂量当量限值或最大允许剂量为唯一指标
E.个人剂量当量限值为放射防护的综合原则


点击查看答案


245、多项选择题  胸部常规摄片,采用后前位的原因包括()

A.心脏靠近前胸壁
B.心脏靠近后胸壁
C.避免心脏影像放大失真
D.避免肺脏影像遮盖心脏
E.减少心脏影像对肺脏的遮盖


点击查看答案


246、单项选择题  下列哪种疾病,充盈缺损表现不明显()

A.增生型胃癌
B.胃粘膜下平滑肌瘤
C.结肠息肉
D.溃疡性食管癌
E.增殖型肠结核


点击查看答案


247、多项选择题  X线摄片中,X线与物质作用的概率的叙述,正确的是()

A.相干散射5%
B.光电效应约70%
C.康普顿效应约25%
D.电子对效应15%
E.光核反应2%


点击查看答案


248、多项选择题  常用作屏蔽防护的器械为()

A.X线管壳
B.滤过板
C.铅屏
D.铅橡皮围裙
E.墙纸


点击查看答案


249、单项选择题  下列“颅骨穹窿局限增厚”病因中,哪项错误()

A.营养不良性肌强直
B.软脑膜囊肿
C.地中海贫血
D.偏侧性脑萎缩
E.颅骨血管瘤


点击查看答案


250、单项选择题  下述钡餐造影征象中,哪项与“胰头癌”无关()

A.垫征
B.双边征
C.十二指肠圈扩大
D.笔杆征
E.反"3"字征


点击查看答案


251、单项选择题  胃窦部有一圆形溃疡,直径2cm,较浅,边缘不整齐,外形火山口状,最可能的诊断为()

A.急性胃炎
B.早期凹陷型胃癌
C.溃疡型胃癌
D.胃溃疡
E.急性应激性溃疡


点击查看答案


252、单项选择题  下列疾病临床特点描述,错误的是()

A.肿块形态随呼吸、体位改变而变化:胃底静脉曲张
B.胃粘膜巨大皱襞:蛋白漏出征
C.胃淋巴瘤:频发呕吐
D.多发疣状隆起:糜烂性胃炎
E.消化道溃疡:卓艾综合征


点击查看答案


253、单项选择题  腕骨脱位中,以哪一种骨的脱位较多见()

A.舟骨
B.月骨
C.豆骨
D.大多角骨
E.小多角骨


点击查看答案


254、单项选择题  骨性骨痂形成后还需进一步改建,在儿童此过程为()

A.1~2年
B.4~5年
C.6~9个月
D.9~12个月
E.4~6周


点击查看答案


255、单项选择题  在逆行性尿路造影检查中,可能出现下列哪种正常生理性改变()

A.肾盂肾盏不显影
B.肾盂充盈缺损
C.肾盂肾盏痉挛
D.肾盏肾盂边缘不规整
E.肾盏肾盂扩张


点击查看答案


256、多项选择题  关于心脏大小的估测,不正确的为()

A.最常用的方法为心脏最大横径与胸廓最大横径的比率,即"心胸比率"
B.心脏横径是心尖平面心脏最大横径
C.胸廓横径以左膈顶水平的内径为准
D.在充分吸气后摄片,正常成人心胸比率为55%以下
E.未成年人心胸比率可能小些


点击查看答案


257、单项选择题  

男,52岁,胸痛、体重下降2月余,结合胸片,最可能的诊断()

A.包裹性胸腔积液
B.胸膜肥厚
C.化脓性胸膜炎
D.肺癌
E.胸膜间皮瘤


点击查看答案


258、多项选择题  下列有关色素性胆结石描述中,错误的有()

A.主要成分为胆红素钙
B.胆固醇含量达70%以上
C.呈泥沙样或颗粒状
D.剖面常呈多面体影
E.剖面见分层状、结石多发


点击查看答案


259、多项选择题  结核发病与转归过程中,主要涉及的免疫机制有()

A.免疫反应
B.Ⅰ型变态反应
C.Ⅱ型变态反应
D.Ⅲ型变态反应
E.Ⅳ型变态反应


点击查看答案


260、多项选择题  关于副骨的表述,正确的是()

A.某一骨骼的多个骨化中心在发育过程中没有合并所致
B.由一个额外独立的骨化中心发育而来
C.多见于腕骨附近
D.多见于跗骨附近
E.多见于骨骼附近的肌腱中


点击查看答案


261、单项选择题  

男,40岁,黑便1周,半年来呕血两次。查体:脾肋下4cm,结合图像,最可能的诊断为()

A.正常食管
B.食管癌
C.食管静脉曲张
D.贲门癌
E.食管炎


点击查看答案


262、单项选择题  下列哪个部位具有较好的天然对比度()

A.腹部
B.足
C.头颅
D.骨盆
E.胸部


点击查看答案


263、单项选择题  关于静脉肾盂造影中腹部压迫点,正确的是()

A.脐水平两侧
B.第一腰椎水平两侧
C.耻骨联合上方3cm
D.两侧髂前上棘连线水平
E.脐下两侧,骶骨岬水平


点击查看答案


264、单项选择题  诊断肺血管异常的主要造影方法是()

A.左心室造影
B.右心室造影
C.主动脉造影
D.腔静脉造影
E.冠状动脉造影


点击查看答案


265、单项选择题  以下选项中投照汤氏位,X线中心线应()

A.向足侧倾斜45°
B.向头侧倾斜45°
C.向头侧倾斜30°
D.向足侧倾斜30°
E.与床面垂直


点击查看答案


266、单项选择题  脊柱结核典型影像为()

A.椎骨溶骨性破坏、椎旁软组织肿胀
B.椎体呈栅栏状
C.椎管内外哑铃状肿块,椎间孔扩大
D.椎体破坏,椎间盘破坏、椎间隙变窄


点击查看答案


267、单项选择题  消化系统肿瘤转移至肝脏的主要途径是()

A.门静脉
B.肝动脉
C.肝静脉
D.胆管系统
E.下腔静脉


点击查看答案


268、多项选择题  “急性肾静脉栓塞”造影检查,可出现的表现为()

A.输尿管切迹
B.肾影缩小
C.肾影增大
D.肾功能减低
E.杵状肾盏


点击查看答案


269、单项选择题  老年人较特征的食管生理性压迹是()

A.主动脉弓压迹
B.左主支气管压迹
C.降主动脉压迹
D.左心房压迹
E.以上都不是


点击查看答案


270、单项选择题  

男,21岁,1月前触及颈部淋巴结肿大,现有上腔静脉综合征,结合胸片,最可能的诊断()

A.结节病
B.淋巴结核
C.转移性淋巴结肿大
D.淋巴瘤
E.胸腺瘤


点击查看答案


271、单项选择题  

女,根据其正常骨盆影像图像,判断其最可能的年龄()

A.28岁左右
B.18岁左右
C.38岁左右
D.78岁左右
E.58岁左右


点击查看答案


272、单项选择题  下列哪项是阴性造影剂()

A.空气
B.40%碘化油
C.钡剂
D.5%碘化钠溶液
E.泛影葡胺


点击查看答案


273、单项选择题  风湿性心脏病单纯性二尖瓣狭窄,X线定性诊断的依据是()

A.二尖瓣型心脏
B.左心房高度增大
C.左房左室均增大
D.左房增大,左室不大
E.左,右心室均增大


点击查看答案


274、多项选择题  引起胸椎椎旁软组织肿胀的疾患有()

A.强直性脊柱炎
B.胸椎结核
C.胸椎肿瘤
D.嗜酸性肉芽肿
E.胸椎退行性变


点击查看答案


275、单项选择题  

女,41岁,2小时前跌倒后手掌着地,右腕部肿痛。根据右腕关节正侧位片,应诊断为()

A.Colles骨折
B.Smith骨折
C.Barton骨折
D.Monteggia骨折
E.Galeazzi骨折


点击查看答案


276、单项选择题  来自细支气管Clara细胞和Ⅱ型肺泡细胞的癌为()

A.腺癌
B.细支气管肺泡癌
C.大细胞癌
D.类癌
E.小细胞癌


点击查看答案


277、多项选择题  胸片上,空洞可见于下列哪些疾病()

A.转移性肺癌
B.原发性肺癌
C.韦格肉芽肿
D.原发性肺结核
E.嗜酸性肉芽肿


点击查看答案


278、单项选择题  下述室间隔缺损的X线表现,错误的是()

A.缺损小者,可无异常
B.左心房增大
C.左右心室扩大
D.肺动脉段突出
E.主动脉结增大


点击查看答案


279、单项选择题  

女,5岁,耳鸣,常开口呼吸,睡眠时打鼾,鼻腔分泌物多。X线检查如图所示,最可能的诊断是()

A.鼻息肉
B.扁桃体炎
C.腺样体肥大
D.鼻炎
E.鼻窦炎


点击查看答案


280、单项选择题  X线透过被照体后形成的X线强度的差异,称为()

A.人工对比度
B.天然对比度
C.射线对比度
D.胶片对比度
E.照片对比度


点击查看答案


281、单项选择题  肾区前后位摄影,中心线经()

A.肚脐
B.脐下3cm
C.剑突与脐连线中点
D.脐与耻骨联合连线中点
E.剑突与耻骨联合连线中点


点击查看答案


282、单项选择题  下列有关扩张型心肌病的X线表现中,哪项不正确()

A.两心室均增大,以左心室扩大较显著
B.左心缘搏动减低且不规则,而右心缘搏动正常,甚至增强
C.肺动脉无明显变化或轻度凸出
D.主动脉结明显突出
E.肺血管的表现一般在正常范围


点击查看答案


283、单项选择题  

男,23岁,跛行,外展受限,两下肢不等长,结合图像,最可能的诊断是()

A.髋关节中心脱位
B.髋关节后脱位
C.髋关节前脱位
D.先天性髋内翻
E.髋关节结核


点击查看答案


284、单项选择题  下列有关成骨细胞瘤的X线表现中,哪项不正确()

A.肿瘤大小为2~10cm不等
B.多为类圆形膨胀性骨质破坏
C.边缘不清楚,周围常无骨增生硬化
D.可有少量骨膜反应
E.肿瘤周围的软组织可有局限性肿胀


点击查看答案


285、单项选择题  男,24岁,低热2周,咳少量痰。胸片示右上肺不均密度增高影,其中有空洞形成,血沉45mm/h。 最可能的诊断是()

A.右上肺炎
B.右上肺结核
C.右上肺癌
D.右上肺囊肿
E.右上肺脓肿


点击查看答案


286、单项选择题  胃恶性溃疡典型X线表现是()

A.龛影位于腔外
B.黏膜向龛影集中逐渐变细
C.无环堤征
D.充盈缺损
E.半月征


点击查看答案


287、单项选择题  腹部透视诊断肠梗阻的主要依据是()

A.膈下游离气体
B.间位结肠
C.肠腔气液平
D.肠壁钙化
E.肠管扩张


点击查看答案


288、单项选择题  关于输尿管,错误的是()

A.输尿管全长25~30cm
B.输尿管无节律性蠕动
C.输尿管分三段
D.输尿管有三个生理狭窄
E.静脉注入对比剂后30分钟,松开腹压,即可见双侧输尿管充盈对比剂


点击查看答案


289、单项选择题  溃疡病的并发症中最严重、紧急的是()

A.幽门梗阻
B.胃出血
C.溃疡恶变
D.穿孔
E.胃窦胃炎


点击查看答案


290、单项选择题  关于肾结核影像特点,下列哪项错误()

A.早期肾影正常
B.肾影可增大
C.早期就有肾盂破坏
D.晚期可为肾自截
E.多为一侧肾脏侵犯


点击查看答案


291、单项选择题  胸片显示为双侧性弧形肿块,密度均匀,且无钙化,可能是以下哪种肿瘤()

A.胸内甲状腺肿
B.神经源性肿瘤
C.胸腺瘤
D.淋巴瘤
E.畸胎瘤


点击查看答案


292、多项选择题  输尿管结石易停留的部位是()

A.肾盂与输尿管交界处
B.膀胱三角区
C.肾盏
D.输尿管与髂总动脉交界处
E.输尿管的膀胱开口处


点击查看答案


293、单项选择题  慢性化脓性中耳乳突炎单纯型X线表现中,下列说法哪项错误()

A.乳突窦及其周围骨质硬化增生
B.锤骨或砧骨骨质破坏
C.乳突气房透光度减低
D.气房间隔骨质增厚、结构模糊
E.乳突气房外围骨质有明显增生


点击查看答案


294、单项选择题  

男,36岁,从高处摔下,足部受伤,结合图像,最可能的诊断是()

A.距骨骨折
B.跟骨骨折
C.骰骨骨折
D.舟状骨骨折
E.楔骨骨折


点击查看答案


295、单项选择题  关于尤因肉瘤的表述,错误的是()

A.好发年龄为5~15岁
B.20岁以前好发于干骺端和骨干,20岁以后好发于扁骨
C.全身症状常似骨感染.如高热、白细胞增多
D.一般不发生骨骼和肺的转移
E.肿瘤对放射线极为敏感


点击查看答案


296、多项选择题  下列哪些是进展性结肠癌的X线表现()

A.粘膜皱襞迂曲
B.粘膜皱襞破坏
C.充盈缺损
D.龛影
E.环形狭窄


点击查看答案


297、单项选择题  骨转移瘤的转移途径中,下列哪一项最多见()

A.直接侵犯
B.血行转移
C.淋巴转移
D.原发性骨肿瘤的骨转移
E.皮肤癌骨转移


点击查看答案


298、单项选择题  早期胃癌的分型依肉眼形态为()

A.2型和4亚型
B.3型和3亚型
C.3型和4亚型
D.4型和3亚型
E.5型和2亚型


点击查看答案


299、多项选择题  眶下壁由下列哪些结构组成()

A.上颌骨眶面
B.蝶骨小翼
C.泪骨
D.颧骨眶面
E.腭骨眶突


点击查看答案


300、单项选择题  下列肺隔离症影像表现,错误的是()

A.多位于左下叶
B.多为类圆形影
C.病变实质密度,不含气
D.早期明显强化
E.边缘清晰


点击查看答案


题库试看结束后微信扫下方二维码即可打包下载完整版《★放射医学(医学高级)》题库
手机用户可保存上方二维码到手机中,在微信扫一扫中右上角选择“从相册选取二维码”即可。
题库试看结束后微信扫下方二维码即可打包下载完整版《放射医学(医学高级):X线》题库,分栏、分答案解析排版、小字体方便打印背记!经广大会员朋友实战检验,此方法考试通过率大大提高!绝对是您考试过关的不二利器
手机用户可保存上方二维码到手机中,在微信扫一扫中右上角选择“从相册选取二维码”即可。
】【打印繁体】 【关闭】 【返回顶部
下一篇会计电算化:电子表格软件在会计..

问题咨询请搜索关注"91考试网"微信公众号后留言咨询