医学影像技术(医学高级):CT找答案(每日一练)
2020-05-23 04:02:52 来源:91考试网 作者:www.91exam.org 【
题库试看结束后微信扫下方二维码即可打包下载完整版《★医学影像技术(医学高级)》题库
手机用户可保存上方二维码到手机中,在微信扫一扫中右上角选择“从相册选取二维码”即可。
题库试看结束后微信扫下方二维码即可打包下载完整版《医学影像技术(医学高级):CT》题库,分栏、分答案解析排版、小字体方便打印背记!经广大会员朋友实战检验,此方法考试通过率大大提高!绝对是您考试过关的不二利器
手机用户可保存上方二维码到手机中,在微信扫一扫中右上角选择“从相册选取二维码”即可。

1、单项选择题  患者最近诊断有肾细胞癌,最可能的诊断是()

A.肺炎
B.肺水肿
C.肿瘤淋巴播散
D.结核
E.以上都不是


点击查看答案


2、单项选择题  

女,34岁,咳嗽,咯血半月余,结合影像学检查,最可能的诊断()

A.纵隔畸胎瘤
B.淋巴瘤
C.胸腺瘤
D.神经源性肿瘤
E.肺癌


点击查看答案


3、单项选择题  女,6岁,头痛6个月。CT示小脑蚓部有一4cm×3.5cm的高密度影,明显增强。四脑室受压变窄、前移,第三脑室及双侧脑室扩大,最可能的诊断为()

A.髓母细胞瘤
B.脑膜瘤
C.脉络丛乳头状瘤
D.血管网状细胞瘤
E.结核


点击查看答案


4、单项选择题  CT的放大扫描实际上是()

A.采用了小焦点,而使图像质量保持不变 
B.缩小重建范围的一种扫描方法 
C.缩小了X线源与病人之间的距离 
D.增加了病人辐射剂量的总量 
E.放大倍数越大,图像越清晰


点击查看答案


5、多项选择题  慢性乳突炎分型包括()

A.单纯型
B.肉芽肿型
C.胆酯瘤型
D.弥漫型
E.坏死型


点击查看答案


6、单项选择题  

男婴,11月,咳嗽,结合图像,最可能的诊断是()

A.畸胎瘤
B.肺隔离症
C.肾母细胞瘤
D.嗜咯细胞瘤
E.神经源性肿瘤


点击查看答案


7、单项选择题  CT增强扫描前病人的禁食时间为()

A.1小时 
B.4小时 
C.8小时 
D.12小时 
E.24小时


点击查看答案


8、单项选择题  下列哪项疾病容易发生腹膜腔种植转移()

A.宫颈癌
B.卵巢癌
C.宫体癌
D.直肠癌
E.子宫肌瘤


点击查看答案


9、单项选择题  下列有关副脾的说法错误的是()

A.最常见于脾门附近,单或多发
B.一般小于4.0cm
C.圆或卵圆形,密度均匀
D.增强扫描无强化
E.CT值与脾脏完全相同


点击查看答案


10、单项选择题  脑膜瘤的CT影像,下列描述错误的是()

A.无包膜
B.平扫,与脑组织密度相等或略高
C.常有明显脑水肿
D.脑白质塌陷征
E.瘤内可有钙化


点击查看答案


11、单项选择题  CT值的定义是以下列哪项的衰减系数为标准来计算各种组织的CT值()

A.空气 
B.骨 
C.水 
D.脑组织 
E.以上都不是


点击查看答案


12、单项选择题  膈脚外侧积液提示()

A.腹水
B.肺内结节
C.心包积液
D.胸水+腹水
E.无定位意义


点击查看答案


13、单项选择题  

根据所提供的图像,可除外下列哪种诊断()

A.小肠憩室炎
B.穿孔
C.缺血坏死性肠炎
D.大肠憩室炎
E.以上都不是


点击查看答案


14、单项选择题  胶质母细胞瘤CT的表现描述哪项是错误的()

A.病灶基本不强化
B.病灶密度不均匀
C.病灶呈不均匀强化
D.占位效应较重
E.灶周水肿明显


点击查看答案


15、单项选择题  视神经孔在眼斜位摄影投影在眼眶()

A.内上象限
B.内下象限
C.外上象限
D.外下象限
E.眼眶中心


点击查看答案


16、单项选择题  眼外肌从眶尖的腱环向前行附于()

A.角膜
B.虹膜
C.巩膜
D.视网膜
E.脉络膜


点击查看答案


17、单项选择题  

男,48岁,寒颤高热,右上腹痛1天,CT检查如图所示,最可能的诊断是()

A.原发性肝癌
B.肝脓肿
C.胆管细胞癌
D.肝错构瘤
E.肝转移癌


点击查看答案


18、单项选择题  肾上腺的CT图片,需测量肾上腺的长度及厚度,其主要原因是()

A.肾上腺太小,医生读片时无法测量 
B.除外肾上腺皮质增生 
C.测量其形状,协助诊断 
D.肾上腺很小,可提醒诊断读片时注意 
E.以上都是


点击查看答案


19、单项选择题  肾脏占位性病变,下列哪项是最常见的()

A.肾细胞癌
B.血管平滑肌脂肪瘤
C.肾腺瘤
D.单纯性肾囊肿
E.肾盂癌


点击查看答案


20、单项选择题  

男,30岁,左大腿疼痛1年余,夜间或休息加重,口服止痛药可缓解,结合图像,最可能的诊断是()

A.骨瘤
B.骨样骨瘤
C.骨软骨瘤
D.骨结核
E.骨脓肿


点击查看答案


21、单项选择题  

如图所示,该病最可能的诊断是()

A.移行上皮细胞癌
B.感染
C.以前的外伤后改变
D.输尿管炎
E.结核


点击查看答案


22、单项选择题  

如图所示,该病例的鉴别诊断包括()

A.淋巴瘤
B.硬纤维瘤
C.肉瘤
D.以上都是
E.以上都不是


点击查看答案


23、单项选择题  膀胱肿瘤的CT扫描其主要目的为()

 A.早期诊断
B.显示肿瘤突入腔内的情况
C.良恶性肿瘤鉴别诊断
D.肿瘤与非肿瘤性病变的鉴别
E.显示肿瘤侵犯膀胱周围组织和淋巴结转移


点击查看答案


24、单项选择题  “隐匿性”动静脉畸形的特点是()

A.增强扫描无强化
B.增强扫描有强化
C.等密度
D.局部脑萎缩
E.混杂密度 


点击查看答案


25、单项选择题  团注动态增强扫描与常规增强扫描相比,下列哪一项不是动态增强扫描的优点()

A.提高小病灶的检出率 
B.提高对病灶性质的鉴别能力 
C.显示肝内血管解剖较好 
D.显示血管受侵和癌栓较好 
E.显示肝实质强化程度较好


点击查看答案


26、单项选择题  不能在定位图像上确定:()

A.扫描起始线
B.扫描终止线
C.扫描范围
D.扫描角度
E.扫描参数


点击查看答案


27、单项选择题  鞍区肿瘤平扫示混杂密度影,最可能的诊断是()

A.垂体瘤
B.脑膜瘤
C.颅咽管瘤
D.动脉瘤
E.脊索瘤


点击查看答案


28、单项选择题  

男,56岁,根据所示图像,最可能的诊断是()

A.膀胱癌
B.膀胱结核
C.右侧输尿管结核
D.右侧输尿管乳头状瘤
E.右侧输尿管癌


点击查看答案


29、问答题  何谓CT增强扫描?


点击查看答案


30、单项选择题  下述有关腺病毒肺炎的描述错误的是()

A.病变可坏死
B.气管源性感染
C.累及肺实质较轻
D.早期侵犯大气管
E.吸收较慢


点击查看答案


31、单项选择题  小儿CT增强扫描,76%泛影葡胺用量一般为()

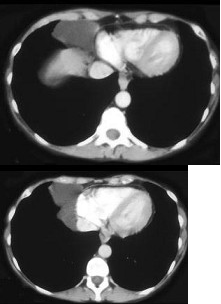
A.1.5~2.0ml/kg 
B.2.5~3.0ml/kg 
C.3.5~4.0ml/kg 
D.0.5~1.0ml/kg 
E.4.5~5.0ml/kg


点击查看答案


32、多项选择题  

男,48岁,蛋白尿多年,CT如图所示,最可能的诊断为肾静脉血栓,肾静脉血栓形成的原因是()

A.膜性肾小球肾炎
B.肾癌
C.胰腺炎
D.外压性
E.创伤、脱水、血小板增多症


点击查看答案


33、单项选择题  

结合图像,该病例胰腺团块,最不可能的诊断为()

A.胰腺癌
B.胰岛细胞瘤
C.胰高血糖素瘤
D.肾癌转移
E.胰腺炎


点击查看答案


34、名词解释  Cushing综合征


点击查看答案


35、单项选择题  

女,56岁,左肩部持续性疼痛,夜间加重1月余,3月前被确诊为肾细胞癌,结合影像学检查,最可能的诊断是()

A.肱骨头骨折
B.肱骨转移瘤
C.肱骨骨肉瘤
D.肱骨骨巨细胞瘤
E.肱骨结核


点击查看答案


36、单项选择题  

根据所提供的图像,最可能的诊断为()

A.肝囊肿
B.肝癌
C.肝血管瘤
D.结节性肝硬化
E.转移癌


点击查看答案


37、单项选择题  下列卵巢癌的CT表现中,不正确的是()

A.盆腔肿块
B.淋巴转移和血行播散也较常见
C.可见腹水
D.腹膜腔播散
E.大网膜转移


点击查看答案


38、单项选择题  

该偶然发现的团块,最可能为()

A.肺癌
B.淋巴瘤
C.神经纤维瘤
D.精原细胞瘤
E.以上都不是


点击查看答案


39、单项选择题  

中年患者,女性,偶然发现肝团块,结合图像,最可能的诊断是()

A.肝癌
B.肝血管平滑肌瘤
C.局灶性结节增生
D.肝腺瘤
E.转移癌


点击查看答案


40、问答题  胆管癌的CT表现有哪些?


点击查看答案


41、单项选择题  关于肾上腺外嗜铬细胞瘤,不是常见发生部位的是()

A.脊柱旁两侧
B.后腹膜附近
C.胰腺内
D.下腔静脉前方
E.膀胱


点击查看答案


42、单项选择题  

男,30岁,主诉右大腿肿块年余,逐渐增大,局部胀痛及压痛,根据图像表现,最可能的诊断是()

A.脓肿
B.血管瘤
C.脂肪瘤
D.横纹肌肉瘤
E.神经纤维瘤


点击查看答案


43、单项选择题  

根据所提供的图像,最可能的诊断是()

A.钡灌肠
B.正常多层CT胃肠透明法
C.气钡双重造影
D.以上都是
E.以上都不是


点击查看答案


44、单项选择题  

女,59岁,右侧肩背部持续性隐痛1月余,夜间加重,结合影像学检查,最可能的诊断是()

A.骨肉瘤
B.骨巨细胞瘤
C.骨转移瘤
D.软骨肉瘤
E.骨囊肿


点击查看答案


45、单项选择题  男,55岁,吸烟多年,咳嗽气短。HRCT示两肺弥漫分布囊状影,2~10mm。薄壁,两上肺为著,最可能的诊断为()

A.小叶中心型肺气肿
B.先天性肺囊肿
C.组织细胞增生症
D.支气管扩张症
E.肺淋巴管腺肌瘤病


点击查看答案


46、单项选择题  

男,68岁,呼吸困难,发绀,咯血1周,有40余年采矿史,结合CT检查最可能的诊断是()

A.肺结核
B.矽肺
C.肺癌
D.肺脓肿
E.支气管扩张


点击查看答案


47、单项选择题  关于肝硬化,下列观点哪项不对()

A.肝硬化结节不会癌变
B.肝硬化患者,肝转移癌发生率降低
C.血吸虫性肝硬化,肝裂多增宽
D.结节性肝硬化有家族倾向
E.肝脏体积可不同程度增大或缩小


点击查看答案


48、单项选择题  

根据所提供的图像,该病例最可能的诊断为()

A.胰岛细胞瘤
B.胰腺腺癌
C.胰腺囊腺瘤
D.胰腺转移癌
E.胰腺淋巴瘤


点击查看答案


49、单项选择题  

男,62岁,右上腹痛半年,腹部包块,黄疸较重,AFP阴性,有手术史,CT检查如图,最可能的诊断为()

A.原发性肝癌
B.肝内胆管结石
C.肝囊肿
D.肝脓肿
E.肝错构瘤


点击查看答案


50、单项选择题  输尿管结核的CT表现是()

A.充盈缺损为高密度边缘锐利
B.输尿管呈串珠状的狭窄及扩张
C.软组织密度块影无增强
D.软组织密度块影有增强
E.椎体前肿块影压迫输尿管使其梗阻


点击查看答案


51、单项选择题  

一养鸽女,48岁,发热,咳嗽,咳脓痰带血半月余,结合CT检查,最可能的诊断是()

A.原发性肺结核
B.肺曲菌病
C.肺癌
D.间质性肺炎
E.支气管扩张


点击查看答案


52、单项选择题  

男,63岁,腹胀、双下肢浮肿、乏力、食欲不振,结合图像,最可能的诊断是()

A.酒精性肝硬化
B.血吸虫肝硬化
C.肝炎后肝硬化
D.局限性脂肪肝
E.原发性肝癌


点击查看答案


53、单项选择题  病灶与周围组织密度接近,为突出病灶,CT窗的调整应为()

A.适当调大窗宽 
B.适当调窄窗宽 
C.适当调高窗位 
D.窗宽窗位同时调高 
E.窗宽窗位同时调低


点击查看答案


54、单项选择题  由于部分容积效应所产生的伪影的一般形成是()

A.影像中出现同中心的圆 
B.影像的中心部分出现指压样伪影 
C.骨与软组织边缘出现条纹状伪影 
D.物体的边缘出现星晕样伪影 
E.整个影像模糊


点击查看答案


55、配伍题  翼腭窝下方()
翼腭窝前上方()
翼腭窝内侧()
翼腭窝外侧()
翼腭窝后壁()

A.直接与颞下窝相连
B.经翼腭管孔与口腔相通
C.经蝶腭管孔与鼻腔相通
D.从外向内分别为圆孔、翼管和咽管部分别与中颅窝、破裂孔和咽腭部相连
E.经眶下裂通向眶尖


点击查看答案


56、单项选择题  下列哪项不符合支气管囊肿的CT表现()

A.肿块呈圆形或椭圆形,密度均匀
B.呈水样密度
C.半数可呈软组织密度
D.少数可呈脂肪密度
E.增强扫描无强化


点击查看答案


57、单项选择题  

患者50岁,结合图像,最可能的诊断为()

A.食管癌
B.食道返流
C.食管裂孔疝
D.食道贲门失弛缓症
E.以上都不是


点击查看答案


58、单项选择题  胸部连续扫描,个别层面CT图像出现重复,多见原因是()

A.操作有误 
B.设备故障 
C.床动错误 
D.呼吸运动 
E.心脏搏动


点击查看答案


59、单项选择题  

男,57岁,腰骶部持续性隐痛2月余,结合影像学检查,最可能的诊断是()

A.骨肉瘤
B.骨巨细胞瘤
C.脊索瘤
D.骨样骨瘤
E.骨软骨瘤


点击查看答案


60、配伍题  包膜下血肿为()
肾活检后常并发的血肿为()
肾挫伤是()
严重肾损伤是()
肾周血肿为()

A.血液在肾包膜外吉氏筋膜内
B.局部肾实质损伤,肾内血肿
C.肾实质内出现低密度三角区
D.从肾实质到集合系统的分裂伤
E.血液在肾外及肾包膜内呈新月形


点击查看答案


61、单项选择题  小脑结构不包括()

A.小脑半球
B.小脑上蚓
C.小脑四叠体
D.小脑扁桃体
E.小脑下蚓


点击查看答案


62、单项选择题  

根据所提供的图像,最可能的诊断是()

A.胰腺脂肪瘤
B.正常胰腺
C.胰腺癌
D.胰腺转移癌
E.以上都不是


点击查看答案


63、单项选择题  女性,45岁,CT平扫,右肾影均匀增大,内有多房囊样结构,肾实质变薄,增强扫描对比剂进入囊腔形成“液-液面”,首先考虑的病变为()

A.多囊肾
B.肾盂癌
C.肾盂积水
D.多发性肾囊肿
E.肾结核


点击查看答案


64、单项选择题  

女,63岁,突然出现剧烈头痛6小时,伴呕吐无发热,无高血压病史,右侧瞳孔对光反射消失,上眼睑下垂,眼球向上、下及内侧运动受限,颈项强直,克氏征阳性。CT示右大脑外侧裂,枕大池呈高密度影。

该患者受累的脑神经是()

A.右侧滑车神经
B.右侧三叉神经
C.右侧动眼神经
D.右侧展神经
E.右侧面神经


点击查看答案


65、单项选择题  颅内静脉窦闭塞最常发生于()

A.横窦
B.乙状窦
C.上矢状窦
D.海绵窦
E.下矢状窦


点击查看答案


66、单项选择题  下列关于小肠的描述不正确的是()

A.长度一般5m~7m
B.吸收作用主要在上部小肠
C.空肠可见钟摆运动
D.回肠末端可见逆蠕动
E.回肠管腔壁较空肠厚


点击查看答案


67、单项选择题  脊柱骨转移瘤,CT扫描更重要的是可以明确()

A.有无骨破坏
B.有无软组织肿块
C.有无骨膜反应
D.是否侵犯椎管和硬膜囊
E.有无压缩性骨折


点击查看答案


68、单项选择题  脑室内囊虫除位于第四脑室外多位于()

A.第三脑室
B.中脑导水管
C.侧脑室额角
D.侧脑室三角区
E.侧脑室下角


点击查看答案


69、多项选择题  以下关于脂肪肝病因正确的是()

A.糖尿病
B.肝炎
C.肥胖
D.肝癌
E.营养不良


点击查看答案


70、问答题  鼻咽癌的CT表现有哪些?


点击查看答案


71、单项选择题  异位嗜铬胞瘤多数位于下列哪个部位()

 A.纵隔
B.胃壁
C.腹主动脉旁和肾门
D.肝脏
E.膀胱


点击查看答案


72、单项选择题  豆纹动脉由哪支动脉发出()

A.颈内动脉
B.大脑前动脉
C.大脑中动脉
D.大脑后动脉
E.基底动脉


点击查看答案


73、单项选择题  下列关于腹膜后脂肪肉瘤,错误的是()

A.CT分为实体型、混合型和假囊肿型
B.实体型以纤维组织成分为主
C.假囊肿型为脂肪、纤维和黏液性组织共存
D.测不到脂肪密度可排除脂肪肉瘤
E.CT定性困难时,应做穿刺活检


点击查看答案


74、单项选择题  

男,22岁,下腹疼痛,轻微腹胀,影像检查如图,最可能的诊断是()

A.输尿管结石
B.输尿管结核钙化
C.小肠内结石
D.淋巴结钙化
E.静脉丛结石


点击查看答案


75、多项选择题  

据主动脉CT增强图像,正确的描述或结论是()

A.主动脉血栓
B.主动脉瘤
C.主动脉夹层
D.真腔较假腔小
E.真假腔间线状低密度影为撕裂的内膜片影


点击查看答案


76、单项选择题  内生软骨瘤最好发的部位是()

A.四肢长骨
B.骨盆
C.颅面骨
D.手足短骨
E.脊柱


点击查看答案


77、单项选择题  下面哪项不是典型性肝脓肿的CT表现()

A.平扫示低密度占位,中心区CT值略高于水
B.多为圆或椭圆形,部分腔内有分隔
C.多数病灶边缘不清楚
D.脓肿周围出现不同密度环形带
E.增强扫描脓肿壁有较明显的强化,但强化持续时间很短


点击查看答案


78、单项选择题  CT扫描显示髋关节“积气脂血征”提示()

A.化脓性髋关节炎
B.髋关节脱位
C.关节内骨折
D.髋关节结核
E.绒毛色素结节性滑膜炎


点击查看答案


79、问答题  脾外伤的CT表现有哪些?


点击查看答案


80、单项选择题  对小肝癌(SHCC)与肝血管瘤的鉴别方法是()

A.增加对比剂的注射量
B.动脉期扫描和延迟扫描
C.加快对比剂的注射速度
D.有肝炎和肝硬化病史
E.测量CT值比较病灶的增强程度


点击查看答案


81、填空题  

填写以下箭头所指的解剖学名称:A__________;B__________;C__________。


点击查看答案


82、多项选择题  下列哪项对诊断肝癌意义较大()

A.AFP>500mg/ml持续1月
B.肝区痛,腹胀
C.上腹部肿块
D.AFP200~500mg/ml持续2月
E.黄疸腹水


点击查看答案


83、单项选择题  

根据所提供的图像,最可能的诊断是()

A.肝包虫病
B.肝囊肿并囊壁钙化
C.肝结核
D.肝癌
E.肝血管瘤


点击查看答案


84、单项选择题  下列哪项叙述不符合结核性脑膜炎的CT表现()

A.脑沟及脑池内可见高密度影
B.增强扫描脑沟及脑池内可见结节状强化
C.脑沟及脑池内钙化点
D.脑积水
E.白质片状低密度


点击查看答案


85、单项选择题  关于“颅内错构瘤”,下列描述错误的是()

A.2岁以下男孩多见,常有性早熟
B.鞍上圆形占位,多≤2cm
C.CT平扫密度与脑组织相仿
D.增强扫描明显强化
E.MRI各序列信号特点与脑灰质类似


点击查看答案


86、单项选择题  CT对多发性骨髓瘤检查的首要目的是检出()

A.细小钙化
B.细小骨质增生
C.细小软组织肿块
D.细小骨质破坏
E.细小骨膜反应


点击查看答案


87、单项选择题  关于肾癌CT增强扫描的描述,错误的是()

A.有助于明确病变存在
B.有助于确定病变范围
C.有助于与其他占位病变鉴别
D.有助于发现肾静脉和腔静脉癌栓
E.皮质期未发现明显病变可除外肿瘤


点击查看答案


88、单项选择题  

根据所提供的图像,最可能的诊断是()

A.胰腺癌
B.慢性胰腺炎
C.胰腺转移癌
D.胰岛细胞癌
E.淋巴瘤


点击查看答案


89、单项选择题  “可累及颅骨”的脑肿瘤不包括()

A.听神经瘤
B.转移细胞瘤
C.脑膜瘤
D.垂体瘤
E.松果体瘤


点击查看答案


90、多项选择题  关于Dandy-Walker综合征的CT和MRI表现特征有()

A.小脑蚓部缺如或体积变小
B.第四脑室扩大
C.枕大池扩大
D.枕骨为薄
E.第四脑室侧隐窝消失


点击查看答案


91、单项选择题  第三代CT图像中心出现环状伪影,其产生的原因多见于()

A.X线强度变化 
B.重建图像的中心与扫描旋转的中心重合 
C.数据采集系统故障 
D.高密度结构,如金属 
E.AP重建故障


点击查看答案


92、单项选择题  

男,24岁,左侧髋部肿胀隐痛1月余,结合影像学检查,最可能的诊断是()

A.骨肉瘤
B.动脉瘤样骨囊肿
C.骨结核
D.骨转移瘤
E.骨脓肿


点击查看答案


93、单项选择题  下列关于HRCT的间质性阴影,错误的描述是()

A.正常人HRCT常可见的清晰的小叶间隔影
B.结节病患者的HRCT可见串珠状小叶间隔增厚
C.肺长线状影通常提示明显的间质纤维化
D.胸膜下线也可见于非石棉肺的其他间质性肺疾病
E.与蜂窝阴影相连的胸膜常呈轻度增厚


点击查看答案


94、单项选择题  喉室轴位扫描法确定声带走行时,扫描基线应与()

A.中部颈椎间隙保持一致 
B.舌骨长轴平行 
C.颈部前缘皮肤而垂直 
D.颈1~颈7两中点联线垂直 
E.下颌骨下缘平行


点击查看答案


95、单项选择题  正常输尿管有几个生理性狭窄()

A.3个狭窄
B.2个狭窄
C.5个狭窄
D.4个狭窄
E.6个狭窄


点击查看答案


96、单项选择题  

女,45岁,背部持续性隐痛半月余,6个月前被确诊为乳腺癌,结合影像学检查,最可能的诊断是()

A.骨转移瘤
B.脊椎结核
C.椎体压缩性骨折
D.化脓性脊柱炎
E.脊椎退行性变


点击查看答案


97、判断题  中枢神经系统疾病的CT诊断价值较高,应用较为普遍。


点击查看答案


98、单项选择题  甲状腺癌晚期,诊断价值最高的检查方法()

A.CT
B.MRI
C.放射性核素检查
D.超声
E.平片


点击查看答案


99、单项选择题  脊索瘤好发于()

A.颅骨
B.胸椎
C.颈椎
D.骶椎
E.腰椎


点击查看答案


100、单项选择题  暗室与机房之间建筑防护厚度一般应大于1.5mm铅当量,目的是()

A.胶片防可见光 
B.胶片防潮 
C.胶片防热 
D.胶片防射线 
E.胶片防化学气体


点击查看答案


101、单项选择题  符合骨囊肿的CT表现为()

A.边缘硬化,有液-液平面
B.无钙化
C.无液-液平面、无增强
D.有钙化或骨化影
E.边缘有硬化,无液-液平面


点击查看答案


102、单项选择题  

结合图像,该病例的最可能的诊断为()

A.胰腺腺癌
B.淋巴瘤
C.胰腺转移
D.胰管内乳头状瘤
E.脓肿


点击查看答案


103、单项选择题  先天性颅内动脉瘤最好发于()

A.小脑后下动脉
B.脉络膜动脉
C.Willis环
D.胼周动脉
E.椎基底动脉


点击查看答案


104、单项选择题  黄韧带增厚、钙化主要引起()

A.脊髓受压
B.神经受压
C.椎管狭窄
D.椎板受压
E.椎间孔狭窄


点击查看答案


105、名词解释  体素CT


点击查看答案


106、单项选择题  MP型手提式泡沫灭火器容量一般为()L.

A.7~8.55
B.8~9.55
C.8.55~10


点击查看答案


107、单项选择题  女,47岁,左眼球向外下突出2月余,逐渐加重,伴复视,CT示左侧额窦扩大,窦腔内呈软组织密度,骨壁变薄,左眼球受压移位,最可能的诊断为()

A.额窦癌
B.额窦粘膜下囊肿
C.额窦黏液囊肿
D.额窦骨纤维异常增殖症
E.慢性额窦炎


点击查看答案


108、单项选择题  

女,25岁,左乳痛7天,体温39.5~40C°,局部明显压痛、红肿。

诊断深部急性乳腺炎,最重要的依据是()

A.局部皮肤红
B.体温升高,乳腺疼痛,压痛明显
C.表皮温度较对侧明显升高
D.初产妇
E.有波动


点击查看答案


109、单项选择题  女,2个月。患儿发烧、面黄、哭闹、精神差1周,双目直视。影像学检查如图,最可能的诊断为()

A.脑梗塞
B.脑水肿
C.VitK缺乏颅内出血
D.血管畸形
E.先天性大脑发育不良


点击查看答案


110、单项选择题  

男,28岁,外伤后1小时,胸部CT如图,最可能的诊断为()

A.肺炎
B.肺脓肿
C.肺囊肿
D.肺癌
E.双肺挫伤


点击查看答案


111、问答题  肝创伤的CT表现有哪些?


点击查看答案


112、单项选择题  男,10岁,癫痫。CT示右顶叶表面有一裂隙,向内并延伸到侧脑室体旁,侧脑室外侧壁可见一局限性突起与其相连,最可能的诊断为()

A.穿通畸形
B.空洞脑
C.脑裂畸形
D.脑软化灶
E.蛛网膜囊肿


点击查看答案


113、单项选择题  对多发性骨髓瘤检出率最高的影像检查是()

A.平片
B.断层
C.CT平扫
D.增强CT
E.MRI


点击查看答案


114、单项选择题  关于颅咽管瘤的描述,哪项不正确()

A.小儿及青年多见
B.80%为囊性
C.85%有钙化
D.均见于鞍上
E.肿瘤边界清楚


点击查看答案


115、单项选择题  在脊髓内肿瘤中,下列哪种组织学类型最常见()

A.神经母细胞瘤
B.血管母细胞瘤
C.神经上皮性囊肿
D.胶质瘤
E.错构瘤


点击查看答案


116、单项选择题  女,7岁,左小腿较右侧粗。CT平扫显示左小腿肌肉内有一3cm×8cm低密度肿块,边界清楚,CT值为-100HU。诊断为()

A.软组织脓肿
B.纤维肉瘤
C.脂肪瘤
D.血管瘤
E.淋巴管瘤


点击查看答案


117、单项选择题  深吸气后屏气,常用于的摄片部位是()

A.躯干 
B.头颅 
C.肺部 
D.心脏 
E.手


点击查看答案


118、单项选择题  关于髓母细胞瘤的描述,下列哪项错误()

A.好发于四脑室(小脑蚓部)
B.可见斑点样高密度钙化
C.大片坏死
D.大片出血
E.均一性中度增强


点击查看答案


119、单项选择题  有关中耳胆脂瘤的描述,哪项是错误的()

A.CT显示为鼓室内占位
B.CT值可为脂肪密度
C.CT呈软组织密度时,不支持胆脂瘤的诊断
D.听小骨破坏移位
E.乳突窦口可有扩大


点击查看答案


120、单项选择题  

女,51岁,上腹部隐痛不适,CT检查如图,可最能的诊断是()

A.胃癌
B.胃息肉
C.胃腺瘤
D.胃溃疡
E.胃间质瘤


点击查看答案


121、单项选择题  

患者腹痛,便血,有卵巢癌病史,结合图像,最可能的诊断是()

A.原发性结肠癌
B.卵巢癌种植转移
C.子宫内膜异位
D.髓外造血
E.以上都不是


点击查看答案


122、单项选择题  

根据所提供的图像,最可能的诊断为()

A.胰腺腺癌
B.胰岛细胞瘤
C.胰腺假性囊肿
D.胰腺囊腺瘤
E.以上都不是


点击查看答案


123、单项选择题  有关椎间盘变性的叙述,错误的是()

A.多发生于中老年人
B.髓核含气量增加
C.椎间盘以低信号为主
D.椎间盘内信号可不均匀
E.可伴有椎间盘突出


点击查看答案


124、单项选择题  下述支气管扩张的影像特点,错误的是()

A.胸片正常可排除本病
B.环状或蜂窝状影
C.斑片状、索条样影
D.可有葡萄征、手套征
E.局部肺纹理增多


点击查看答案


125、单项选择题  乳腺纤维腺瘤的CT表现中,下列哪项描述错误()

A.多数肿瘤边缘可呈分叶状
B.当其周围有低密度脂肪环绕时边缘清楚
C.平扫表现为圆形或椭圆形高密度影
D.平扫可清楚显示肿瘤内的钙化
E.伴有钙化的纤维腺瘤CT值可达40~50HU


点击查看答案


126、单项选择题  

女,52岁,腰部酸胀,结合所示图像,最可能的诊断是()

A.多房性肾囊肿
B.肾细胞癌
C.多囊肾
D.肾脓肿
E.肾盂癌伴出血


点击查看答案


127、单项选择题  

男,49岁,右上腹痛半年,轻度黄疸,AFP阴性,CT检查如图,最可能的诊断为()

A.原发性肝癌
B.胆管细胞癌
C.局灶性脂肪肝
D.肝脓肿
E.肝淋巴管瘤


点击查看答案


128、单项选择题  

女,34岁,血肌酐、尿素氮增高,根据所示图像,最可能的诊断是()

A.双肾脓肿
B.多囊肾
C.囊性肾癌
D.双侧多发性肾囊肿
E.多发囊肿性肾发育不全


点击查看答案


129、单项选择题  

男,36岁,呼吸困难,咳嗽,咳黏稠痰,糖原PAS染色阳性,结合CT图像,最可能的诊断是()

A.肺泡性肺水肿
B.肺泡蛋白沉积症
C.肺泡癌
D.系统性红斑狼疮
E.肺泡微石症


点击查看答案


130、单项选择题  等密度硬膜下血肿诊断征象中,下列哪项是错误的()

A.单侧脑沟,脑裂变窄,甚至消失
B.脑室受压变形,中线结构移位
C.额叶内出现低密度影
D.增强扫描血肿无增强
E.脑白质挤压征


点击查看答案


131、单项选择题  以脑室扩大表现为主的“脑萎缩”称为()

A.皮质型脑萎缩
B.外周型脑萎缩
C.混合型脑萎缩
D.髓质型脑萎缩
E.以上都不对


点击查看答案


132、单项选择题  

艾滋病患者,腹痛,结合图像,最可能的诊断是 ( )



 

A.胃炎
B.胃卡波西肉瘤
C.淋巴瘤
D.转移癌
E.以上都不是


点击查看答案


133、单项选择题  关于胰腺在CT图像上的识别标志,下述哪项是错误的()

A.十二指肠水平部横跨于下腔静脉和腹主动脉前方,标志着胰头消失
B.腹主动脉左前壁是区分胰颈与胰体的标志
C.门静脉或肠系膜上静脉右壁是区分胰头与胰颈的标志
D.一般认为钩突向左延伸部分超过肠系膜上动脉属异常
E.钩突位于肠系膜上动静脉与下腔静脉之间


点击查看答案


134、单项选择题  下列哪项不支持鼓室血管球瘤()

A.搏动性耳鸣
B.蓝色鼓膜
C.神经性耳聋
D.CT示鼓室内软组织小肿块
E.颈动脉管与颈静脉管骨性边缘清晰


点击查看答案


135、多项选择题  

女,57岁,右腰部胀痛6月余,触及右侧腹部包块2月,CT平扫及增强如图所示,下列说法正确的是()

A.平扫时可见右侧腹部巨大的软组织肿块影,其内可见小片状的低密度影
B.增强扫描肿块强化明显,其内可见无强化的低密度坏死灶
C.考虑肿块来源于肝脏,是原发性肝癌,并挤压推移右肾
D.考虑肿块来源于右肾,是巨大的肾癌,并挤压推移右肝,与其分界欠清
E.考虑肿块来源于右肾,是肾血管平滑肌脂肪瘤,并挤压推移右肝,与其分界欠清


点击查看答案


136、单项选择题  增强扫描对比剂需要量最大的部位是()

A.肾脏增强 
B.肾上腺增强 
C.颅脑增强 
D.肝脏增强 
E.腮腺增强


点击查看答案


137、单项选择题  星形细胞瘤的CT表现描述,下列哪项错误()

A.肿瘤与水肿不易区分
B.病灶几乎不强化
C.病灶无占位效应
D.病灶边缘清楚
E.占位效应较轻


点击查看答案


138、单项选择题  

外伤后的患者,根据所提供的图像,最可能的诊断是()

A.肾梗死
B.肾脓肿
C.肾盂肾炎
D.肾挫伤
E.肾裂伤


点击查看答案


139、多项选择题  外伤性CCF最常见的三大临床表现为()

A.搏动性突眼
B.球结膜充血水肿
C.进行性视力下降
D.颅内杂音
E.视野缺损


点击查看答案


140、单项选择题  

女,35岁,根据所示图像,最可能的诊断是()

A.多囊肾
B.多发性肾囊肿
C.肾癌
D.囊性肾癌
E.单纯性肾囊肿


点击查看答案


141、多项选择题  有关局灶性肝脂肪浸润,以下哪些是正确的()

A.病灶呈球状
B.与正常肝组织分界不清
C.无占位效应
D.周围血管无推移受压现象
E.增强后病灶区CT值升高不及正常肝组织


点击查看答案


142、单项选择题  

急腹症患者突发腹痛,影像检查如图,最可能的诊断为()

A.出血坏死性胰腺炎
B.尿路梗阻
C.小肠梗阻
D.主动脉瘤破裂
E.以上都不是


点击查看答案


143、单项选择题  

男,51岁,右上腹隐痛2月余,CT扫描如图,最可能的诊断是()

A.胆囊癌伴肝门胰头周围转移
B.胆囊息肉
C.胆囊黄色肉芽肿
D.慢性胰腺炎并胆囊息肉
E.胆囊腺瘤及慢性胰腺炎


点击查看答案


144、单项选择题  Meckel腔内有()

A.颈内动脉
B.三叉神经节
C.滑车神经
D.舌下神经
E.颈外动脉


点击查看答案


145、单项选择题  下列哪一项属于多发性创伤()

A.颅骨骨折、头皮血肿
B.脊柱骨折伴神经系统损伤
C.肋骨骨折伴脾破裂
D.骨盆骨折伴腹膜后血肿、休克
E.肝、脾破裂


点击查看答案


146、单项选择题  下列关于乳腺癌CT平扫哪项不正确()

A.瘤体密度一般低于腺体密度
B.CT值多为25~56HU
C.肿瘤内有坏死液化后可出现低密度区
D.明显显示肿瘤内的短杆状、泥沙样钙化
E.累及胸壁者可见乳腺后间隙消失


点击查看答案


147、单项选择题  支气管囊肿CT值不正确者的是()

A.黏液性囊肿CT值为30~40HU
B.浆液性囊肿CT值为0~20HU
C.囊肿合并感染或囊内出血CT值为30HU以上
D.内容物为钙乳者CT值在100HU以上
E.内容物为草酸盐结晶者CT值在100HU以下


点击查看答案


148、单项选择题  右肝下间隙脓肿主要是()

A.网膜囊上隐窝脓肿
B.网膜囊下隐窝脓肿
C.肝肾隐窝脓肿
D.道格拉斯窝脓肿
E.盆腔外侧隐窝脓肿


点击查看答案


149、单项选择题  

根据所提供的图像,最可能的诊断是()

A.肝转移癌
B.多囊肝
C.血管瘤
D.肝癌
E.多发的肝囊肿


点击查看答案


150、多项选择题  

男,58岁,尿频,尿痛伴低热乏力2月,CT如图所示,下列说法正确的是()

A.左侧肾盂肾盏扩张,其边缘不整
B.左侧输尿管多发性狭窄
C.左侧肾结核
D.左侧输尿管结核
E.左侧输尿管癌


点击查看答案


151、单项选择题  支气管肺炎最易发生于()

A.两肺上叶
B.右肺中叶
C.两肺下叶
D.左肺舌叶
E.两肺尖


点击查看答案


152、问答题  小肠平滑肌瘤和平滑肌肉瘤的CT表现有哪些?


点击查看答案


153、单项选择题  关于腺样体的表述正确的是()

A.又称腭扁桃腺,位于咽侧壁的扁桃腺腺窝内
B.又称咽扁桃腺,位于咽侧壁的扁桃腺腺窝内
C.又称咽扁桃腺,位于咽顶壁,为一团淋巴组织
D.又称腭扁桃腺,位于咽顶壁,为一团淋巴组织
E.健康成人无腺样体


点击查看答案


154、多项选择题  螺旋CT的特点包括()

A.不使用滑环技术 
B.扫描时X线连续发生 
C.扫描时探测器间断采集数据 
D.扫描时床面带动病人连续匀速移动 
E.扫描时病人一次屏气可完成一个区段扫描


点击查看答案


155、单项选择题  眼球异物定位方法中定位最准确的是()

A.巴尔金氏定位法 
B.角膜缘定位环法 
C.吸盘式定位器法 
D.薄骨位摄片法 
E.无骨位摄片法


点击查看答案


156、单项选择题  关于视神经的解剖部位描述,下列哪项正确()

A.视乳头至视交叉
B.黄斑至视交叉
C.视交叉至视束
D.视乳头至视束
E.黄斑至视束


点击查看答案


157、填空题  特发性肺间质纤维化的CT主要表现为_________、_______________、____________、___________、________________、_________和_______________。


点击查看答案


158、单项选择题  

男,71岁,消瘦、咳嗽、胸痛,结合胸片和CT,最可能的诊断是()

A.脂肪肉瘤
B.心包脂肪垫
C.脂肪蓄积症
D.胸腺脂肪瘤
E.胸腺囊肿


点击查看答案


159、单项选择题  颅内肿瘤头颅平片表现可以是()

A.正常
B.正常;反映肿瘤的征象
C.正常;颅内压增高征象;反映肿瘤的征象
D.颅内压增高的征象;钙化
E.正常;颅内压增高征象;钙化


点击查看答案


160、单项选择题  

胸部X线影像上见团块,最可能的诊断是()

A.心包囊肿
B.肺癌
C.淋巴瘤
D.结核
E.以上都不是


点击查看答案


161、单项选择题  

女,26岁,全身不适,发热,咳嗽,咯血,有吸毒史,结合CT图像,最可能的诊断是()

A.卡波济肉瘤
B.肺癌
C.肺转移癌
D.肺结节病
E.肺结核


点击查看答案


162、单项选择题  患者背痛,诊断是()

A.骶椎疲劳骨折
B.转移瘤
C.骨岛
D.骨髓瘤
E.以上都不是


点击查看答案


163、单项选择题  鼻窦黏液囊肿CT的典型征象为()

A.轮廓规则锐利
B.骨壁变薄外移或部分消失,可吸收破坏
C.腔内密度均匀而偏低
D.窦腔膨大,有环形均匀薄层囊壁包围
E.增强检查无强化效应


点击查看答案


164、单项选择题  CT示咽旁间隙向外移位,提示占位性病变来源于()

A.腮腺
B.鼻咽
C.颌下腺
D.腺样体
E.颈深淋巴结


点击查看答案


165、单项选择题  男,60岁,头痛,前额部局部隆起。查体:前额部局部隆起处可触及乒乓球样肿块。CT显示:额窦腔扩大,内为低密度软组织影,边缘光滑呈弧形,可见细线样囊壁,其内CT值为20HU。拟诊为()

A.额窦黏液囊肿
B.额窦黏膜下囊肿
C.额窦急性炎症
D.额窦脓肿
E.额窦癌囊变


点击查看答案


166、单项选择题  

男,68岁,右下腹包块伴腹痛腹胀,右侧睾丸缺如,左侧正常,影像检查如图,最可能的诊断是()

A.腹膜后间质瘤
B.精原细胞瘤
C.阑尾脓肿
D.腹腔畸胎瘤
E.腹膜后淋巴瘤


点击查看答案


167、单项选择题  螺旋CT与传统CT最主要的区别是()

A.动态扫描 
B.体积扫描 
C.快速扫描 
D.同层扫描 
E.以上都不是


点击查看答案


168、单项选择题  腔隙性脑梗死最常发生下列哪个部位()

A.枕叶
B.基底节区
C.脑干
D.顶叶
E.小脑半球


点击查看答案


169、单项选择题  化脓性脑膜炎的病理过程,下列哪项是错误的()

A.细菌进入颅内引起脑膜急性炎症
B.感染源不可能来自上呼吸道感染
C.小血管常有阻塞,常伴发邻近皮层的脑炎与小梗死灶
D.儿童可发生硬膜下积液或积脓
E.晚期产生脑膜粘连,引起交通性脑积水


点击查看答案


170、单项选择题  关节结核主要是指()

A.关节破坏伴软组织肿胀
B.关节肿胀并有瘘管形成
C.骨端破坏,并有少量增生改变
D.关节软骨和骨关节面破坏并累及滑膜
E.以上都不是


点击查看答案


171、配伍题  中纵隔最常见的肿瘤是()
前纵隔最常见的肿瘤是()
后纵隔最常见的肿瘤是()

A.畸胎瘤
B.胸腺瘤
C.淋巴瘤
D.神经源性肿瘤
E.甲状腺瘤


点击查看答案


172、单项选择题  囊肿的CT值()

A.0~20HU 
B.30~60HU 
C.-60~-90HU 
D.1000HU 
E.-1000HU


点击查看答案


173、单项选择题  局限性胸膜间皮瘤的CT征象中,错误的是()

A.多发生于肋胸膜,也可发生于胸膜的其他部位
B.呈类圆形或分叶状的肿块,边缘光滑锐利
C.与胸膜可呈锐角或钝角相交
D.肿瘤内偶可见钙化及出血坏死
E.胸膜呈较广泛的结节状或不规则状增厚


点击查看答案


174、单项选择题  面神经管分()

A.2段
B.3段
C.4段
D.5段
E.6段


点击查看答案


175、单项选择题  54岁男性,右侧面部肿胀、麻木2个月余,伴流涕,CT示右侧上颌窦内软组织密度,伴钙化,后外侧壁骨质消失,最可能的诊断是()

A.上颌窦黏液囊肿
B.上颌窦骨化性纤维瘤
C.上颌窦炎
D.上颌窦血管瘤
E.上颌窦癌


点击查看答案


176、单项选择题  类风湿肺与特发性肺间质纤维化的鉴别点是()

A.空洞性结节
B.线网状影
C.蜂窝状改变
D.片状影
E.细线影


点击查看答案


177、单项选择题  CT导向穿刺活检拔针后扫描目的在于()

A.观察病灶有无缩小 
B.观察穿刺针眼有无闭合 
C.观察有无早期合并症 
D.观察出血量的多少 
E.观察穿刺层面是否标准


点击查看答案


178、单项选择题  

根据所提供的图像,最可能的诊断是()

A.穿孔后气腹
B.正常结构
C.肝炎
D.胰腺炎
E.以上都不是


点击查看答案


179、单项选择题  

男,76岁,全身浅表淋巴结肿大,结合所示图像,最可能的诊断是()

A.肾上腺腺瘤
B.肾上腺癌
C.肾上腺嗜铬细胞瘤
D.肾上腺转移癌
E.肾上腺淋巴瘤


点击查看答案


180、单项选择题  对CT工作原理的叙述,哪项是正确的()

A.利用锥束X线穿透受检部位 
B.透过被检查的X线被探测器接收直接成像 
C.X线穿透被照体时,其强度呈指数关系衰减 
D.A/D转换是将数字信号变为电流信号输送至监视屏显示 
E.计算机将模拟信号变成数字信号,再重建图像


点击查看答案


181、单项选择题  

男,28岁,高热,肛门坠胀,频有便意,直肠指诊时触及直肠粘膜下饱满,柔软,压痛的肿块,CT检查如图,最可能的诊断是()

A.直肠癌
B.直肠炎性息肉
C.直肠粘膜下脓肿
D.直肠绒毛状腺瘤
E.直肠粘膜下瘘


点击查看答案


182、单项选择题  产生弥漫性肺结节的疾病不包括()

A.结节病
B.支气管肺炎
C.嗜酸性肉芽肿
D.尘肺
E.肺泡蛋白沉着症


点击查看答案


183、单项选择题  

女,34岁,发热,背部疼痛1个月余,结合影像学检查,最可能的诊断是()

A.椎体压缩骨折
B.脊椎结核
C.骨髓炎
D.脊椎转移瘤
E.骨髓瘤


点击查看答案


184、配伍题  甲状腺癌()
成骨肉瘤()
头颈部肿瘤()
肾脏透明癌()
消化系统癌()

A.肺部转移灶类似炎症样浸润影
B.淋巴管型转移
C.肺部转移灶内可见团块状或斑片状钙化
D.肺部转移瘤可见空洞
E.肺部转移灶以粟粒型多见


点击查看答案


185、单项选择题  肺结节病中,肺部有病变但不伴淋巴结肿大,属结节病哪一期()

A.0期
B.Ⅰ期
C.ⅡA期
D.ⅡB期
E.Ⅲ期


点击查看答案


186、单项选择题  前列腺癌发生部位主要是()

A.70%发生于后部及周边区
B.70%发生于前部和中央部
C.90%发生于周边区
D.5%发生于前部并突至膀胱
E.5%发生于周边部突至直肠前凹


点击查看答案


187、单项选择题  男,30岁,头颅CT示左小脑半球一3cm×4cm囊样低密度区伴壁结节,结节明显增强,四脑室受压变形、右移,最可能的诊断是()

A.胶质母细胞瘤
B.髓母细胞瘤
C.星形细胞瘤
D.血管网状细胞瘤
E.淋巴瘤


点击查看答案


188、判断题  肺不张合并支扩,或支扩合并肺炎、肺大泡等,CT均能明确显示。


点击查看答案


189、单项选择题  

根据所提供的图像,最可能的诊断是()

A.多发肝囊肿
B.多发肝转移癌
C.肝右叶下段肝癌并肝内转移
D.多发肝脓肿
E.多囊肝


点击查看答案


190、问答题  什么是U值?


点击查看答案


191、单项选择题  脾肿大的诊断标准是()

A.上下>12cm,前后>5个肋单元
B.上下>14cm,前后>4个肋单元
C.上下>14cm,前后>6个肋单元
D.上下>15cm,前后>6个肋单元
E.上下>15cm,前后>5个肋单元


点击查看答案


192、单项选择题  有关鼻咽纤维血管瘤描述,错误的是()

A.多有鼻出血史
B.好发于男性青少年
C.良性肿瘤
D.瘤体呈深红色或暗红色
E.术前宜活检


点击查看答案


193、单项选择题  鉴别听神经瘤与三叉神经瘤最重要的征象是()

A.瘤体与颅板呈锐角
B.增强幅度
C.合并出血、坏死
D.中、颅后窝骑跨生长
E.岩骨尖骨质破坏


点击查看答案


194、单项选择题  

男,32岁,干咳,呼吸困难半月余,2月前被诊断为艾滋病,结合影像学检查,最可能的诊断是()

A.肺结核
B.卡氏肺囊虫性肺炎
C.肺癌
D.大叶性肺炎
E.间质性肺炎


点击查看答案


195、单项选择题  正常乳腺CT表现中,不包括()

A.乳腺后间隙
B.乳腺悬韧带
C.皮下脂肪
D.导管
E.淋巴结肿大


点击查看答案


196、判断题  一般来说,脑脓肿急性期,因灰质血运丰富,故炎症首先在灰质发展。


点击查看答案


197、单项选择题  乳腺皮下脂肪的CT值为()

A.-40~-100HU
B.-50~-70HU
C.-40~-70HU
D.-20~-50HU
E.30~50HU


点击查看答案


198、单项选择题  CT图像中从白到黑的灰度影像,称为()

A.密度分辨率高 
B.空间分辨率高 
C.灰阶 
D.窗宽窗位 
E.噪声


点击查看答案


199、单项选择题  CT对于诊断前列腺癌的主要意义在于()

A.早期诊断
B.与良性前列腺增生肥大鉴别
C.确定晚期病变范围
D.确定肿瘤是否穿破包膜
E.判断有无骨转移


点击查看答案


200、单项选择题  下列哪项说法与卵巢癌无关()

A.盆腔、腹腔巨大多发囊实性肿块
B.腹水
C.腹腔不规则肿块,肠袢边缘不清
D.盆腔脂肪增多
E.肝周、盆壁、网膜有细小钙化


点击查看答案


201、判断题  X线的电流越大,噪声越小;探测器的转换率越高,噪声也就越低。


点击查看答案


202、多项选择题  

男,5岁,消瘦、贫血、纳差和腹部包块3月余,CT检查如图,下列说法正确的是()

A.右侧腹腔内可见一巨大软组织肿块影,其边界欠清楚
B.肿块密度不均匀,可见片状的较高密度,考虑为出血,也可见点状的钙化影
C.该病灶来源于肝脏,考虑为肝母细胞瘤
D.该病灶来源于右肾上腺,考虑为神经母细胞瘤
E.该病灶来源于右肾,考虑为肾胚胎瘤


点击查看答案


203、单项选择题  有关肝硬化的CT表现,不正确的是()

A.肝左叶及尾状叶增大较为常见
B.肝实质密度一般与正常肝无明显变化
C.肝表面凹凸不平,肝缘变钝
D.肝硬化再生结节CT动态增强扫描无明显强化
E.胃底部可见小球形或扭曲的条虫样影


点击查看答案


204、单项选择题  十二指肠憩室好发于()

A.球部
B.球后
C.壶腹部
D.水平部
E.升部


点击查看答案


205、单项选择题  

根据所提供的图像,最可能的诊断是()

A.胰腺癌
B.肝细胞瘤
C.胆管癌
D.胆囊癌
E.以上都不是


点击查看答案


206、单项选择题  

男,38岁,咳嗽伴咳白色泡沫痰3周,呼吸困难,CT如图,最可能的诊断是()

A.金葡菌肺炎
B.大叶性肺炎
C.两肺多发段性不张
D.肺泡细胞癌
E.非典型肺炎


点击查看答案


207、单项选择题  膀胱癌的起始症状不会有()

A.血尿
B.尿频尿痛
C.排尿困难
D.充溢性尿失禁
E.下腹部肿块


点击查看答案


208、单项选择题  

男,34岁,发热,背部疼痛,不能直立,局部软组织肿胀,结合图像,最可能的诊断是()

A.化脓性骨髓炎
B.脊柱结核
C.脊柱转移瘤
D.骨肉瘤
E.成骨肉瘤


点击查看答案


209、单项选择题  

根据所提供的图像,最可能的诊断是()

A.脾转移癌
B.脾囊肿
C.脾多发良性肿瘤
D.脾淋巴瘤
E.多囊脾


点击查看答案


210、问答题  骨样骨瘤的CT表现有哪些?


点击查看答案


211、单项选择题  男,60岁,突然剧烈头痛,CT平扫示脑沟、脑池密度增高,以脚间池为明显,最可能的诊断是()

A.基底动脉瘤破裂出血
B.大脑中动脉瘤破裂出血
C.大脑前动脉瘤破裂出血
D.大脑后动脉瘤破裂出血
E.后交通动脉瘤破裂出血


点击查看答案


212、单项选择题  

根据所提供的图像,这两个连体双胎的最可能的诊断是()

A.分开的血液供给
B.单一的血供
C.共同结肠
D.肝脏没有融合
E.以上都不是


点击查看答案


213、单项选择题  目前,胃肠道疾病检查最佳的方法是()

A.X线摄片 
B.数字胃肠 
C.MRI扫描 
D.CT扫描 
E.纤维内镜


点击查看答案


214、单项选择题  下面哪项不是典型门静脉瘤栓的表现()

A.平扫时瘤栓密度与门静脉无大差异
B.门静脉扩大或不规则
C.平扫时门静脉显示高密度
D.增强扫描瘤栓呈低密度充盈缺损
E.可向两侧延伸至肝内和(或)肠系膜上静脉


点击查看答案


215、单项选择题  疑股骨头无菌坏死,CT检查不易显示()

A.小囊性变
B.骨质疏松
C.小裂纹骨折
D.小梁密度增高
E.关节面软骨破坏


点击查看答案


216、问答题  骨巨细胞瘤的CT表现有哪些?


点击查看答案


217、多项选择题  化脓性脑膜炎的CT表现是()

A.脑室系统扩大
B.脑内不规则形低密度区
C.软脑膜、蛛网膜可见线形强化
D.基底池及脑沟显影模糊
E.颅骨内板下新月形低密度区


点击查看答案


218、单项选择题  

淋巴瘤患者放疗后3月出现气急咳嗽,CT如图,最可能的诊断是()

A.陈旧性结核
B.放射性肺炎
C.浸润型肺结核
D.瘢痕癌
E.矽肺结节


点击查看答案


219、单项选择题  不属于睾丸内结构的是()

A.睾丸小隔
B.睾丸网
C.精曲小管
D.输精管
E.精直小管


点击查看答案


220、单项选择题  

男,35岁,胸部外伤,CT图像如图,最可能的诊断为()

A.支气管囊肿并感染
B.畸胎瘤
C.右侧气胸
D.右侧液气胸
E.右侧脓胸


点击查看答案


221、问答题  肝脓肿的CT表现有哪些?


点击查看答案


222、多项选择题  诊断缩窄性心包炎最重要的三种征象为()

A.上腔静脉扩张
B.心包增厚
C.心包钙化
D.右心房血栓形成
E.室间隔扭曲成角


点击查看答案


223、单项选择题  原发腹膜后恶性肿瘤中应除外()

A.脂肪肉瘤
B.平滑肌肉瘤
C.恶性畸胎瘤
D.横纹肌肉瘤
E.神经鞘瘤


点击查看答案


224、判断题  CT诊断肺栓塞最可靠的直接征象是肺动脉内栓子的显示。


点击查看答案


225、单项选择题  关于"球后炎性假瘤"的知识,下述说法哪项不对()

A.单侧突眼常见原因之一
B.肾上腺皮质激素疗效差
C.泪腺型预后较好
D.眼外肌型者,肌腱、肌腹都肿大
E.不宜手术


点击查看答案


226、单项选择题  松果体区最常见的肿瘤是()

A.畸胎瘤
B.表皮样囊肿
C.胶质瘤
D.生殖细胞瘤
E.松果体细胞瘤


点击查看答案


227、单项选择题  肺不张病人行CT检查的价值在于()

A.证实X线胸片的病变与诊断
B.明确肺不张的病因
C.明确X线胸片上不典型的表现及特殊类型的肺不张
D.发现轻微或隐匿性不张
E.以上都正确


点击查看答案


228、单项选择题  47岁女性,左眼球向外下突出2个月余,逐渐加重,伴复视。CT示左侧额窦扩大,窦腔内呈软组织密度,骨壁变薄,左眼球受压移位,最可能的诊断是()

A.额窦恶性肿瘤
B.额窦黏膜下囊肿
C.额窦骨纤维异常增殖症
D.额窦黏液囊肿
E.慢性额窦炎


点击查看答案


229、单项选择题  关于脾包膜下血肿的描述,错误的是()

A.沿脾边缘呈半月形或圆形突出阴影
B.急性期呈等或稍高密度
C.随时间推移血肿密度降低
D.增强扫描不易识别
E.慢性期平扫即可发现


点击查看答案


230、单项选择题  与X线吸收衰减系数μ无关的是:()

A.物质密度
B.物质厚度
C.物质原子序数
D.X线能谱
E.探测器类型


点击查看答案


231、单项选择题  提示颅底骨折的CT征象是()

A.硬膜外血肿
B.气颅
C.头皮血肿
D.颅缝增宽
E.脑血肿


点击查看答案


232、单项选择题  

根据所提供的图像表现,推测这个患者的下一步措施是()

A.潜血测定
B.1年后复查
C.结肠镜息肉切除
D.CEA水平测定


点击查看答案


233、单项选择题  

女,63岁,突然出现剧烈头痛6小时,伴呕吐无发热,无高血压病史,右侧瞳孔对光反射消失,上眼睑下垂,眼球向上、下及内侧运动受限,颈项强直,克氏征阳性。CT示右大脑外侧裂,枕大池呈高密度影。

该患者受累的脑神经是()

A.右侧滑车神经
B.右侧三叉神经
C.右侧动眼神经
D.右侧展神经
E.右侧面神经


点击查看答案


234、单项选择题  

女,56岁,突感眩晕呕吐,言语不清。查:声音嘶哑,吞咽困难,左眼裂,瞳孔变小,左面部和右半身痛觉减退,左侧指鼻试验不准。
 

为了明确诊断,最有意义的检查为()

A.颅脑CT
B.颈动脉多普勒检查
C.颅脑X线平片
D.脑血管造影
E.腰穿


点击查看答案


235、单项选择题  

女,22岁,躯体不成比例,结合影像学检查,最可能的诊断是()

A.蜡油骨病
B.成骨不全
C.马方综合征
D.软骨发育不全
E.石骨症


点击查看答案


236、单项选择题  关于维纳频谱的叙述,错误的是()

A.维纳频谱即Wienerspectrum(WS) 
B.ΔD(x)的自相关函数的传氏变换为WS 
C.用WS分析形成X线照片斑点的原因 
D.维纳频谱可以确定不同频率的RMS 
E.维纳频谱也称量子检出效率


点击查看答案


237、单项选择题  女,42岁,经常头痛,近两个月出现抽搐四次,MRA检查如图,最可能的诊断为()

A.颅咽管瘤
B.脑膜瘤
C.动脉瘤
D.垂体瘤
E.颅内血肿


点击查看答案


238、单项选择题  关于脾钝性外伤CT检查,下列哪项说法错误()

A.伤后即行CT平扫检查阴性,可除外脾破裂
B.脾内血肿的密度随时间而变化
C.增强扫描易发现包膜下血肿
D.脾撕裂伤时可见脾边缘裂纹
E.脾破裂出血多储积于左侧结肠旁沟


点击查看答案


239、单项选择题  

女,35岁,发现血压高,实验室检查:血和尿中醛固酮水平增高,结合图像,最可能的诊断是()

A.右肾上腺增生
B.右肾上腺Cushing腺瘤
C.右肾上腺Conn腺瘤
D.右肾上腺转移癌
E.右肾上腺囊肿


点击查看答案


240、单项选择题  ①肺动脉、②支气管动脉、③肺淋巴管、④肺静脉、⑤支气管静脉,属于肺功能性血管的是()

A.①②
B.①②③
C.①④
D.②⑤
E.③④⑤


点击查看答案


241、单项选择题  下列关于肝静脉的描述错误的是()

A.肝静脉包括肝左、中、右静脉
B.肝静脉包括肝左、中、右静脉,肝右后静脉和尾状叶静脉
C.肝左、中、右静脉出肝处称为第二肝门
D.肝右后下静脉和尾状叶静脉出肝处称为第三肝门
E.第二和第三肝门是相互移行的


点击查看答案


242、问答题  结节性甲状腺肿的CT表现有哪些?


点击查看答案


243、单项选择题  

女,37岁,反复下腹痛1月余加重数天,B超:膀胱前方探及一无回声包块,疑为膀胱憩室,CT检查如图所示,膀胱前上方与脐孔水平处见一囊性占位,有较为完整的包膜,最佳选项是()

A.膀胱憩室
B.卵巢囊肿
C.盆腔积液
D.脐尿管囊肿
E.膀胱结核并瘘道形成


点击查看答案


244、单项选择题  

患者35岁,有HIV感染史,结合图像,最可能的诊断为()

A.细胞淋巴瘤
B.组织胞浆菌病
C.肺癌转移
D.结核
E.以上都不是


点击查看答案


245、单项选择题  

女,39岁,低热、乏力,腹胀,下腹触及明显肿块,体重减轻,影像检查如图,最可能的诊断是()

A.小肠结核
B.小肠Crohn病
C.小肠淋巴瘤
D.小肠癌
E.小肠重复畸形


点击查看答案


246、单项选择题  男,32岁,反复咳嗽咳痰多年,加重3月,伴咯血10天。CT示左下肺串珠状软组织结节影,可见一小液平,诊断为()

A.肺动静脉瘘
B.癌性淋巴管炎
C.支气管肺癌
D.肺内转移癌
E.支气管扩张症


点击查看答案


247、填空题  结肠癌的CT分期可分为______、_______、_______、______及______五型。


点击查看答案


248、单项选择题  

男,54岁,无痛性血尿1月余,根据所示图像,最可能的诊断是()

A.多发性肾囊肿
B.多囊肾
C.左侧肾癌并右肾转移
D.右侧肾囊肿合并左侧肾癌
E.多发性肾癌合并肾囊肿


点击查看答案


249、名词解释  高分辨力CT


点击查看答案


250、单项选择题  有关腔隙性脑梗死错误的描述是()

A.好发于大脑深部、基底节区
B.皮层支动脉梗死
C.大小为0.5~1.5cm
D.临床症状可为纯运动或纯感觉障碍
E.常多发


点击查看答案


251、单项选择题  下腰椎黄韧带增厚、钙化主要引起()

A.脊髓受压
B.神经受压
C.椎板受压
D.椎管狭窄
E.椎间孔狭窄


点击查看答案


252、单项选择题  甲状腺侧叶上极不超过()

A.第一气管环
B.第二气管环
C.甲状软骨下缘
D.甲状软骨中部
E.甲状软骨上缘


点击查看答案


253、单项选择题  有关像素和体素不准确的概念是()

A.像素实际上是体素在成像时的表现 
B.体素是被按矩阵排列分隔的基本成像单位 
C.体素是一个三维概念 
D.像素越小,图像的分辨率相对越高 
E.CT图像的基本组成单元称为体素


点击查看答案


254、问答题  子宫肌瘤的CT表现有哪些?


点击查看答案


255、单项选择题  男,60岁,双髋部疼痛2个月。CT示双侧股骨头塌陷变形,股骨头骨小梁密度增高,最可能的诊断是()

A.股骨头无菌性坏死
B.化脓性关节炎
C.结核性关节炎
D.类风湿性关节炎
E.强直性关节炎


点击查看答案


256、单项选择题  

男,67岁,呼吸急促3月,结合胸片,最可能的诊断是()

A.包裹性胸腔积液
B.胸膜肥厚
C.化脓性胸膜炎
D.肺癌
E.胸膜间皮瘤


点击查看答案


257、单项选择题  喉腔最狭窄的部位为()

A.喉前庭
B.假声带
C.喉室
D.声门
E.声门下腔


点击查看答案


258、单项选择题  男,44岁,车祸伤及右侧眉弓和头部,半月后右眼球结膜高度水肿,视力下降,右眼球突出,CT检查如图,最可能的诊断为()

A.眶内静脉曲张
B.颈内动脉海绵窦段动脉瘤
C.海绵窦动静脉瘘
D.脑动静脉畸形
E.硬脑膜动静脉瘘


点击查看答案


259、单项选择题  

男,68岁,呼吸困难、轻度吞咽困难3月余,结合CT图像,最可能的诊断是()

A.气管乳头状瘤
B.气管脓肿
C.气管炎性假瘤
D.食管癌
E.甲状腺癌


点击查看答案


260、多项选择题  应与石棉肺鉴别的疾病有()

A.胸膜肥厚
B.煤尘肺
C.胸膜间皮瘤
D.矽肺
E.肺癌


点击查看答案


261、单项选择题  我国肝癌协作病理组诊断小肝癌,单个癌结节最大直径的标准是()

A.≤1.5cm
B.≤2.0cm
C.≤2.5cm
D.≤3.0cm
E.≤5.0cm


点击查看答案


262、单项选择题  关于"鼻咽癌"的特点,下列说法哪项错误()

A.临床无"颈静脉窝综合征"
B.鼻咽癌以鳞癌居多
C.肿瘤多位于咽隐窝
D.咽后淋巴结最易受累
E.咽旁间隙多向外移位


点击查看答案


263、单项选择题  关于高分辨力CT扫描技术的特点,错误的是()

A.与肺功能检查有更好的相关性 
B.扫描时不需增强 
C.扫描层多、层薄、条件大 
D.完全可替代常规CT 
E.具有好的空间分辨力


点击查看答案


264、单项选择题  

根据所提供的图像,可除外下列哪种诊断()

A.TAXE术后
B.肝癌
C.结肠癌转移
D.血管瘤
E.以上都不是


点击查看答案


265、单项选择题  

男性,27岁,侏儒,因脱水曾在数家医院住过院,结合所示图像,最可能的诊断是()

A.先天性肾上腺增生肥大
B.库欣综合征
C.肾上腺癌
D.腺瘤状增生肥大
E.嗜铬细胞瘤


点击查看答案


266、单项选择题  

男,13岁,右髋部疼痛不适,无红肿,结合所提供的图像,最可能的诊断是()

A.非骨化性纤维瘤
B.骨巨细胞瘤
C.畸形性骨炎
D.内生软骨瘤
E.骨纤维结构不良


点击查看答案


267、单项选择题  患者60岁,女性,吞咽困难,正确的答案是()

A.甲状腺肿
B.前肠副囊肿
C.异位副甲状腺腺瘤
D.神经源性肿瘤
E.以上都不是


点击查看答案


268、单项选择题  男,69岁,于1天前饮酒后突发左侧肢体无力,CT检查,最可能的诊断是()

A.右侧基底节及顶枕叶多发梗死
B.星形细胞瘤
C.脑脓肿
D.少枝胶质细胞瘤
E.脑囊肿


点击查看答案


269、单项选择题  

男,25岁,右腰部疼痛伴血尿,有外伤史,CT扫描如图所示,应诊断为()

A.右肾挫伤并包膜下血肿
B.右肾血管平滑肌脂肪瘤
C.右肾癌
D.右肾梗死
E.右肾脓肿


点击查看答案


270、判断题  注射对比剂后,乳腺内各正常组织可轻度增强。


点击查看答案


271、单项选择题  每日开机进行CT球管校准的目的在于()

A.升高球管温度 
B.启动旋转阳极 
C.防止阳极靶面龟裂 
D.保护X线管,防止损坏 
E.增加阴极电子


点击查看答案


272、单项选择题  易出现骨转移的盆腔内肿瘤是()

A.卵巢癌
B.子宫癌
C.膀胱癌
D.前列腺癌
E.精囊癌


点击查看答案


273、单项选择题  关于高分辨率CT技术条件,不正确的是()

A.薄层扫描 
B.软组织算法重建 
C.高KVP 
D.宽窗宽(>1000) 
E.低窗位(<-600)


点击查看答案


274、配伍题  包膜下血肿为()
肾活检后常并发的血肿为()
肾挫伤是()
严重肾损伤是()
肾周血肿为()

A.血液在肾包膜外吉氏筋膜内
B.局部肾实质损伤,肾内血肿
C.肾实质内出现低密度三角区
D.从肾实质到集合系统的分裂伤
E.血液在肾外及肾包膜内呈新月形


点击查看答案


275、单项选择题  放射状伪影多见于:()

A.病人的随意运动
B.病人的不随意运动
C.病人体内外有高密度结构
D.采集系统故障
E.图像重建故障


点击查看答案


276、多项选择题  肝脏密度异常包括()

A.肝内胆管积气 
B.肝实质积气 
C.门静脉积气 
D.肝弥漫性密度增高 
E.肝内局限钙化


点击查看答案


277、单项选择题  关于肾解剖描述,错误的是()

A.位于腹膜腔内
B.肾实质外有肾包膜一脂肪一肾筋膜
C.实质分皮质和髓质
D.肾前间隙内有胰腺、十二指肠和升、降结肠
E.后肾间隙只有脂肪组织


点击查看答案


278、问答题  女,25岁。右侧乳疼痛、红肿,伴寒战、发热6天。查体:体温38.6℃,右侧乳腺外上象限有4cm×4cm肿块,触痛明显,拒按,局部皮肤红肿、有波动感,皮肤温度高于对侧,右侧腋窝有2枚质韧、触痛明显的淋巴结,该病例最可能的诊断是什么?诊断依据是什么?治疗原则和预防方法如何?


点击查看答案


279、单项选择题  鼻和鼻窦最常用的检查方法()

A.平片
B.断层摄影
C.MRI
D.CT横冠状扫描
E.CT横断面扫描


点击查看答案


280、单项选择题  CT显示右上肺内3cm类圆形软组织密度结节,边缘分叶状,有毛刺,可见胸膜尾征,外侧可见钙化斑,病灶周围数个软组织密度小结节影,最可能的诊断是()

A.周围型肺癌
B.结核球
C.炎性假瘤
D.球形肺不张
E.非典型性肺炎


点击查看答案


281、多项选择题  CT在肺癌诊断中的价值是()

A.肺癌术前分期
B.显示隐匿性病灶
C.为纤维支气管镜检作向导
D.筛选行纵隔镜检查的病例
E.CT导向经皮穿刺


点击查看答案


282、单项选择题  35岁男性,右眼痛2个月。CT示有泪腺增大,边缘模糊,眶壁骨质正常,增强扫描示泪腺轻度增强,最可能的诊断是()

A.泪腺混合瘤
B.泪腺型炎性假瘤
C.格雷夫斯肩(Grave's病))
D.泪腺癌
E.泪腺血管瘤


点击查看答案


283、单项选择题  

男,48岁,反复腰酸、腰痛伴镜下血尿2年,加重3天,无尿频、尿急、尿痛,无低热、盗汗、咳嗽,右肾区叩击痛,CT检查如图所示,应诊断为()

A.右肾动脉瘤
B.右肾癌
C.急性右肾内血肿
D.右肾错构瘤
E.右肾盂癌


点击查看答案


284、单项选择题  

精索内筋膜对应于腹壁的哪一层()

A.scarpa筋膜
B.腹横筋膜
C.腹横肌腱膜
D.腹内斜肌腱膜
E.腹外斜肌腱膜


点击查看答案


285、单项选择题  关于灰阶与CT值关系的叙述,正确的是()

A.高CT值部分被转换为黑色 
B.高CT值部分被转换为白色 
C.X线衰减越大,转换成灰阶后颜色越深 
D.图像中X线未被衰减,将显示为白色图像 
E.改变窗宽,也可改变被显示物体的CT值


点击查看答案


286、单项选择题  CT扫描发现第10胸椎体骨小梁稀少、粗大、低密度背景中有圆点状致密影,附件也受累,骨皮质尚完整,应考虑的诊断为()

A.血管瘤
B.转移瘤
C.多发性骨髓瘤
D.骨质疏松
E.嗜酸性肉芽肿


点击查看答案


287、单项选择题  关于“胶质母细胞瘤”的描述,错误的是()

A.增强扫描呈明显强化
B.多位于幕上
C.平扫密度不均匀
D.儿童多见
E.瘤周水肿明显,占位征象显著


点击查看答案


288、单项选择题  脑脓肿CT表现第三期脓肿壁形成早期是()

A.4~5天
B.5~8天
C.8~10天
D.10~14天
E.14~18天


点击查看答案


289、单项选择题  胸部扫描,病人确实屏气困难,最好的措施是:()

A.给病人做手式指令
B.捏捂病人鼻口
C.令患者口式呼吸
D.令患者腹式呼吸
E.增大mA,减短曝光时间


点击查看答案


290、单项选择题  哪项不是脊柱动脉瘤样骨囊肿的CT表现()

A.多为囊性、膨胀性改变
B.可见囊肿骨壳
C.病变内部可见分隔改变
D.附件常受累
E.骨外可见软组织肿块


点击查看答案


291、单项选择题  男,65岁,右侧肢体力弱,CT示左额顶有一3.5×4cm混杂密度,可见索条状钙化,中线右移,增强扫描示不均匀强化,有的呈结节样,最可能的诊断是()

A.脑膜瘤
B.少枝胶质细胞瘤
C.胶质母细胞瘤
D.出血性脑梗死
E.淋巴瘤


点击查看答案


292、多项选择题  Parkinson病一般继发于以下哪些病因()

A.脑炎
B.药物中毒性脑病
C.脑瘤
D.脑外伤
E.脑血管病


点击查看答案


293、单项选择题  

此两患者患同种疾病,如图所示,最可能的诊断为()

A.肝囊肿
B.肝癌
C.血管瘤
D.胆汁性囊腺瘤
E.肝脓肿


点击查看答案


294、单项选择题  

女,51岁,右上腹隐痛1月余,CT扫描如图,最可能的诊断是()

A.胆囊癌(肿块型)侵犯肝脏
B.肝癌侵及胆囊
C.肝转移癌
D.胆囊周围肝脓肿
E.肝血管瘤


点击查看答案


295、单项选择题  关于卵巢良性畸胎瘤的影像,下列哪项不对()

A.囊性病变,囊壁厚薄不均,有钙化
B.TWI、皮样囊肿为高信号
C.可见骨、牙齿
D.CT可见到脂液面
E.以上都不是


点击查看答案


296、单项选择题  大脑半球弓状纤维连接()

A.外囊
B.相邻脑回
C.内囊
D.基底节
E.丘脑


点击查看答案


297、单项选择题  关于霉菌性上颌窦炎表述中,不正确的是()

A.多见于成年人
B.女性多见
C.单侧发病
D.上颌窦最多见
E.霉菌性上颌窦炎均以窦壁骨质破坏为特点


点击查看答案


298、单项选择题  正常室间孔呈()

A.“Y”字形
B.方形
C.长方形
D.三角形
E.梭形


点击查看答案


299、单项选择题  下述纵隔肿瘤中常与重症肌无力、低球蛋白血症等伴发的是()

A.淋巴瘤
B.胸内甲状腺肿
C.巨淋巴增生症
D.胸腺瘤
E.畸胎瘤


点击查看答案


300、单项选择题  关于颅底孔裂的描述正确的是()

A.舌下神经管内口位于中颅窝
B.棘孔位于后颅窝
C.内耳道通过听神经
D.茎乳孔通过迷走神经
E.卵圆孔通过三叉神经第二支


点击查看答案


题库试看结束后微信扫下方二维码即可打包下载完整版《★医学影像技术(医学高级)》题库
手机用户可保存上方二维码到手机中,在微信扫一扫中右上角选择“从相册选取二维码”即可。
题库试看结束后微信扫下方二维码即可打包下载完整版《医学影像技术(医学高级):CT》题库,分栏、分答案解析排版、小字体方便打印背记!经广大会员朋友实战检验,此方法考试通过率大大提高!绝对是您考试过关的不二利器
手机用户可保存上方二维码到手机中,在微信扫一扫中右上角选择“从相册选取二维码”即可。
】【打印繁体】 【关闭】 【返回顶部
下一篇中药学专业知识一:常用中药的鉴..

问题咨询请搜索关注"91考试网"微信公众号后留言咨询