手机用户可
保存上方二维码到手机中,在
微信扫一扫中右上角选择“从
相册选取二维码”即可。
1、单项选择题 颞叶底部血肿,出血动脉是()
A.颈内动脉
B.大脑前动脉
C.大脑中动脉
D.大脑前、中动脉
E.大脑后动脉
点击查看答案
本题答案:微信扫下方二维码即可打包下载完整带答案解析版《★放射医学(医学高级)》或《放射医学(医学高级):CT》题库
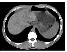
2、单项选择题
根据所提供的图像,最可能的诊断是()
A.胰腺癌
B.肝细胞瘤
C.胆管癌
D.胆囊癌
E.以上都不是
点击查看答案
本题答案:微信扫下方二维码即可打包下载完整带答案解析版《★放射医学(医学高级)》或《放射医学(医学高级):CT》题库
3、单项选择题
患者50岁,女性,腹痛,有肾细胞癌病史,结合图像,最可能的诊断是()
A.肾细胞癌转移
B.胰腺胰岛细胞瘤
C.胰腺腺癌
D.良性肿瘤
E.胃肠间质瘤
点击查看答案
本题答案:微信扫下方二维码即可打包下载完整带答案解析版《★放射医学(医学高级)》或《放射医学(医学高级):CT》题库
4、单项选择题
男,68岁,咳嗽,咯血2月余,吸烟史40余年,结合影像学检查,最可能的诊断是()
A.肺囊肿
B.肺癌
C.肺结核
D.肺脓肿
E.纵隔畸胎瘤
点击查看答案
本题答案:微信扫下方二维码即可打包下载完整带答案解析版《★放射医学(医学高级)》或《放射医学(医学高级):CT》题库
5、单项选择题 下列哪一项不符合胆管结石的CT表现()
A.胆管内环形或圆形致密影
B.中心密度高,周围低密度形成"靶征"
C.梗阻上方胆总管扩张
D.增强扫描见胆总管内强化影
E.可伴有肝内胆管和胆囊结石
点击查看答案
本题答案:微信扫下方二维码即可打包下载完整带答案解析版《★放射医学(医学高级)》或《放射医学(医学高级):CT》题库
6、单项选择题
根据所提供图像,最可能的诊断是()
A.骨髓炎
B.骨梗死
C.蜂窝织炎
D.以上都有可能
E.以上都不是
点击查看答案
本题答案:微信扫下方二维码即可打包下载完整带答案解析版《★放射医学(医学高级)》或《放射医学(医学高级):CT》题库
7、单项选择题
CT示L4椎体后缘有一局限性软组织密度影,硬膜外脂肪层消失,硬膜囊受压,变形,神经根增粗。诊断为()
A.神经纤维瘤
B.神经根囊肿
C.椎间盘突出
D.椎间盘膨出
E.椎小关节病
点击查看答案
本题答案:微信扫下方二维码即可打包下载完整带答案解析版《★放射医学(医学高级)》或《放射医学(医学高级):CT》题库
8、单项选择题 血管瘤CT检查技术的“两快一慢”是指()
A.快速扫描,快速重建,慢速注射
B.快速注药,快速扫描,延迟扫描
C.快速注药,慢速扫描,快速重建
D.快速扫描,快速注药,延迟重建
E.以上都不是
点击查看答案
本题答案:微信扫下方二维码即可打包下载完整带答案解析版《★放射医学(医学高级)》或《放射医学(医学高级):CT》题库
9、多项选择题 以下关于视网膜母细胞瘤的描述,正确的是()
A.肿瘤边界较清
B.婴幼儿最常见的眼球内恶性肿瘤
C.为神经内胚层的恶性肿瘤
D.肿瘤很少向颅内生长
E.瘤内钙化是较特征的表现
点击查看答案
本题答案:微信扫下方二维码即可打包下载完整带答案解析版《★放射医学(医学高级)》或《放射医学(医学高级):CT》题库
10、单项选择题 关于腹部脏器的增强扫描CT检查,错误的是()
A.采用静脉内团注法
B.门脉期延迟扫描时间60~70秒
C.实质期延迟扫描时间85~90秒
D.怀疑肝血管瘤,则实质期的延迟扫描时间为30~50分钟
E.肾脏增强扫描通常应扫描皮质期、髓质期和分泌期
点击查看答案
本题答案:微信扫下方二维码即可打包下载完整带答案解析版《★放射医学(医学高级)》或《放射医学(医学高级):CT》题库
11、单项选择题 膀胱三角区正确的描述是()
A.膀胱底部两侧至膀胱颈部区域
B.膀胱顶部两侧至膀胱颈部区域
C.膀胱底部至输尿管开口区域
D.膀胱底部至膀胱颈部
E.膀胱底部输尿管开口至尿道内口区域
点击查看答案
本题答案:微信扫下方二维码即可打包下载完整带答案解析版《★放射医学(医学高级)》或《放射医学(医学高级):CT》题库
12、单项选择题 下列哪项是诊断肺隔离症的最有特征性的影像学表现()
A.病变多位于下叶后基底段
B.若不充气,表现为膈上椎旁高密度病变
C.若与支气管交通,表现囊性病变,内有液平面
D.增强扫描显示来自主动脉的血管进入病变区
E.必须具备A、B、C、D四项
点击查看答案
本题答案:微信扫下方二维码即可打包下载完整带答案解析版《★放射医学(医学高级)》或《放射医学(医学高级):CT》题库
13、单项选择题 肾上腺腺瘤的CT表现,下列说法错误的是()
A.多数为双侧发病
B.引起原醛症的瘤体较小(1~3cm)
C.皮质醇症的瘤体稍大(2cm以上)
D.类圆形、边缘光滑、清楚、密度均匀
E.注射对比剂后,瘤体轻度增强
点击查看答案
本题答案:微信扫下方二维码即可打包下载完整带答案解析版《★放射医学(医学高级)》或《放射医学(医学高级):CT》题库
14、单项选择题
男,75岁,吞咽有梗阻感,消瘦、乏力、中上腹痛,影像检查如图,最可能的诊断是()
A.食管癌
B.胃窦癌
C.贲门癌
D.慢性胃炎
E.胃淋巴瘤
点击查看答案
本题答案:微信扫下方二维码即可打包下载完整带答案解析版《★放射医学(医学高级)》或《放射医学(医学高级):CT》题库
15、单项选择题 在CT扫描中,以下哪种不能用于消化管对比剂()
A.3.0%~4.0%的医用硫酸钡
B.凉开水
C.1.0%~3.0%的泛影葡胺
D.12.5%~25.0%的乳化玉米油
E.牛奶
点击查看答案
本题答案:微信扫下方二维码即可打包下载完整带答案解析版《★放射医学(医学高级)》或《放射医学(医学高级):CT》题库
16、单项选择题 下列有关AIDS肺部CT征象的描述,错误的是()
A.以双侧肺门淋巴结肿大为特征
B.无特征性征象
C.结节及线网状影
D.双侧不对称分布的斑片影
E.双侧对称的磨玻璃影
点击查看答案
本题答案:微信扫下方二维码即可打包下载完整带答案解析版《★放射医学(医学高级)》或《放射医学(医学高级):CT》题库
17、单项选择题 EBCT是以下哪种CT的缩写()
A.螺旋CT
B.CT血管造影
C.电子束CT
D.高分辨力CT
E.普通CT
点击查看答案
本题答案:微信扫下方二维码即可打包下载完整带答案解析版《★放射医学(医学高级)》或《放射医学(医学高级):CT》题库
18、多项选择题
男,36岁,反复发作的右侧腰背部疼痛伴血尿1年余,CT如图所示,下列说法正确的是()
A.右侧肾盂肾盏扩张
B.右输尿管上段扩张
C.右输尿管内可见沿输尿管走行的高密度影
D.右输尿管结石
E.右输尿管上段钙化
点击查看答案
本题答案:微信扫下方二维码即可打包下载完整带答案解析版《★放射医学(医学高级)》或《放射医学(医学高级):CT》题库
19、单项选择题
患者腹痛,便血,有卵巢癌病史,结合图像,最可能的诊断是()
A.原发性结肠癌
B.卵巢癌种植转移
C.子宫内膜异位
D.髓外造血
E.以上都不是
点击查看答案
本题答案:微信扫下方二维码即可打包下载完整带答案解析版《★放射医学(医学高级)》或《放射医学(医学高级):CT》题库
20、单项选择题 下列与胸部CT增强扫描技术不相关的是()
A.静脉团注对比剂60~70ml
B.流速2~2.5ml/s
C.延迟扫描时间20秒
D.扫描范围和扫描参数同平扫
E.采用螺旋扫描
点击查看答案
本题答案:微信扫下方二维码即可打包下载完整带答案解析版《★放射医学(医学高级)》或《放射医学(医学高级):CT》题库
21、单项选择题 急性脑梗死发病8~24小时内,常见CT表现是()
A.高密度,边界不清,无明显占位效应
B.低密度,边界清楚,轻微占位效应
C.低密度,边界不清,轻微占位效应
D.等密度,占位效应明显
E.混杂密度,占位效应不明显
点击查看答案
本题答案:微信扫下方二维码即可打包下载完整带答案解析版《★放射医学(医学高级)》或《放射医学(医学高级):CT》题库
22、单项选择题 眼眶CT扫描最佳方式为()
A.横扫+矢状扫
B.横扫+冠状扫
C.横扫+薄层扫
D.横扫+增强扫
E.横扫+重叠扫
点击查看答案
本题答案:微信扫下方二维码即可打包下载完整带答案解析版《★放射医学(医学高级)》或《放射医学(医学高级):CT》题库
23、单项选择题 关于肾上腺髓样脂肪瘤的CT表现,不正确的是()
A.边界清楚
B.多为双侧且>5cm甚至达12cm
C.中央有多分隔
D.脂肪密度
E.常见钙化或壳状钙化
点击查看答案
本题答案:微信扫下方二维码即可打包下载完整带答案解析版《★放射医学(医学高级)》或《放射医学(医学高级):CT》题库
24、单项选择题 甲状旁腺功能低下的钙化不分布在()
A.尾状核
B.豆状核
C.脑白质
D.基底池
E.脑室旁
点击查看答案
本题答案:微信扫下方二维码即可打包下载完整带答案解析版《★放射医学(医学高级)》或《放射医学(医学高级):CT》题库
25、单项选择题
如图所示,最可能的诊断为()
A.脂肪肉瘤
B.肠系膜炎纤维化
C.肾血管肌肉脂肪瘤
D.肾出血后
E.以上都不是
点击查看答案
本题答案:微信扫下方二维码即可打包下载完整带答案解析版《★放射医学(医学高级)》或《放射医学(医学高级):CT》题库
26、单项选择题
男,18岁,无明显症状,体检行CT检查如图,最可能的诊断为()

A.左下肺膈疝
B.左下肺肺隔离症
C.左下肺癌
D.神经纤维瘤
E.左下肺肺炎
点击查看答案
本题答案:微信扫下方二维码即可打包下载完整带答案解析版《★放射医学(医学高级)》或《放射医学(医学高级):CT》题库
27、单项选择题
因血尿行栓塞治疗,结合所示图像,最可能的诊断是()
A.肾盂肾炎
B.肾梗死
C.正常栓塞术后改变
D.肾癌
E.肾囊肿
点击查看答案
本题答案:微信扫下方二维码即可打包下载完整带答案解析版《★放射医学(医学高级)》或《放射医学(医学高级):CT》题库
28、单项选择题 关于腹部CT血管造影的检查,错误的是()
A.通常用于腹主动脉及其大分支的血管成像
B.可用于诊断腹主动脉夹层、腹主动脉瘤、肝血管异常及肾动脉狭窄等
C.检查前口服对比剂
D.采用静脉内团注法
E.延迟扫描时间通常为15~20秒
点击查看答案
本题答案:微信扫下方二维码即可打包下载完整带答案解析版《★放射医学(医学高级)》或《放射医学(医学高级):CT》题库
29、单项选择题 下述肝门部胆管癌CT征象,哪项不对()
A.增强早期,肿块无明显强化
B.CT平扫,肝门区等密度或低密度肿块
C.肝内胆管一致性或局限性扩张
D.延迟扫描,肿块呈高密度
E.肝门部胆管形态可无变化
点击查看答案
本题答案:微信扫下方二维码即可打包下载完整带答案解析版《★放射医学(医学高级)》或《放射医学(医学高级):CT》题库
30、单项选择题
男,56岁,骶部包块7月余,持续性隐痛,结合图像,最可能的诊断是()
A.骨巨细胞瘤
B.血管瘤
C.骨转移瘤
D.淋巴瘤
E.脊索瘤
点击查看答案
本题答案:微信扫下方二维码即可打包下载完整带答案解析版《★放射医学(医学高级)》或《放射医学(医学高级):CT》题库
31、单项选择题 男,50岁,因乙肝后肝硬化行原位肝移植术后1个月,抗病毒、保肝及抗排斥治疗。肝功能恢复正常后出院。出院后1周突发黄疸、发热再次住院,检查发现T管引流液内可见絮状物
首先应考虑的诊断为()
A.超急性排斥反应
B.急性排斥反应
C.慢性排斥反应
D.乙肝复发
E.移植肝功能恢复不良
点击查看答案
本题答案:微信扫下方二维码即可打包下载完整带答案解析版《★放射医学(医学高级)》或《放射医学(医学高级):CT》题库
32、单项选择题 甲状腺侧叶上极不超过()
A.第一气管环
B.第二气管环
C.甲状软骨下缘
D.甲状软骨中部
E.甲状软骨上缘
点击查看答案
本题答案:微信扫下方二维码即可打包下载完整带答案解析版《★放射医学(医学高级)》或《放射医学(医学高级):CT》题库
33、单项选择题 不发生脑膜瘤的部位是()
A.大脑镰旁
B.大脑凸面
C.侧脑室外侧白质内
D.桥小脑角区
E.幕切迹
点击查看答案
本题答案:微信扫下方二维码即可打包下载完整带答案解析版《★放射医学(医学高级)》或《放射医学(医学高级):CT》题库
34、单项选择题 下列侧脑室各部位与脑叶的相邻关系正确的是()
A.前角对顶叶
B.体部对额叶
C.三角区对额、顶、枕叶交界区
D.三角区对顶、颞、枕叶交界区
E.三角区对额、顶、颞叶交界区
点击查看答案
本题答案:微信扫下方二维码即可打包下载完整带答案解析版《★放射医学(医学高级)》或《放射医学(医学高级):CT》题库
35、多项选择题 关于胰腺肿瘤的描述,正确的是()
A.胰腺癌占胰腺恶性肿瘤的95%,胰头癌占60%
B.90%胰腺癌为腺癌
C.疼痛伴黄疸为胰头癌最突出的症状
D.胰腺囊性肿瘤主要包括浆液性囊腺瘤和黏液性囊腺瘤或囊腺癌
E.胰岛细胞瘤分为功能性和非功能性
点击查看答案
本题答案:微信扫下方二维码即可打包下载完整带答案解析版《★放射医学(医学高级)》或《放射医学(医学高级):CT》题库
36、单项选择题
女,24岁,近日尿频明显,CT检查如图所示,最可能的诊断是()
A.膀胱癌
B.子宫肌瘤
C.卵巢癌
D.盆腔纤维瘤
E.卵巢囊肿
点击查看答案
本题答案:微信扫下方二维码即可打包下载完整带答案解析版《★放射医学(医学高级)》或《放射医学(医学高级):CT》题库
37、单项选择题 Parkinson病的继发症状为下列哪项()
A.静止性震颤
B.步态缓慢
C.认识能力下降
D.平衡和起步动作困难
E.动作缓慢或不能
点击查看答案
本题答案:微信扫下方二维码即可打包下载完整带答案解析版《★放射医学(医学高级)》或《放射医学(医学高级):CT》题库
38、多项选择题 下列胆道梗阻的征象中,属恶性征象的是()
A.肝外胆管扩张,肝内胆管不扩张
B.肝内外胆管扩张,呈"软藤"征
C.扩张的胆管自上而下逐渐缩小
D.肝外胆管扩张,肝内胆管轻度扩张,呈"枯枝"征
E.扩张的胆管突然中断
点击查看答案
本题答案:微信扫下方二维码即可打包下载完整带答案解析版《★放射医学(医学高级)》或《放射医学(医学高级):CT》题库
39、多项选择题 关于肝囊肿的CT表现,正确的为()
A.单发或多发
B.圆形水样密度
C.边界光滑锐利
D.平扫囊壁一般不显示
E.增强扫描囊肿内无强化,囊壁强化而显影
点击查看答案
本题答案:微信扫下方二维码即可打包下载完整带答案解析版《★放射医学(医学高级)》或《放射医学(医学高级):CT》题库
40、多项选择题 韦格肉芽肿病CT影像特征为()
A.病灶呈多样性
B.多变性
C.空洞形成
D.多发性
E.肺梗死
点击查看答案
本题答案:微信扫下方二维码即可打包下载完整带答案解析版《★放射医学(医学高级)》或《放射医学(医学高级):CT》题库
41、单项选择题 颅内肿瘤头颅平片表现可以是()
A.正常
B.颅内压增高的征象;反映肿瘤的征象
C.正常;颅内压增高的征象
D.颅内压增高的征象;钙化
E.正常;颅内压增高的征象;钙化
点击查看答案
本题答案:微信扫下方二维码即可打包下载完整带答案解析版《★放射医学(医学高级)》或《放射医学(医学高级):CT》题库
42、单项选择题 关于子宫肌瘤的CT表现,下列哪项说法是错误的()
A.子宫分叶状增大或呈外突的实性肿块
B.宫旁脂肪层多存在
C.肌瘤坏死可形成囊性低密度区
D.增强扫描实性肿块不增强
E.长期存在的肌瘤可发生钙化
点击查看答案
本题答案:微信扫下方二维码即可打包下载完整带答案解析版《★放射医学(医学高级)》或《放射医学(医学高级):CT》题库
43、单项选择题
男,55岁,胸闷气急1周,无发热,结合图像,最可能的诊断是()
A.右侧气胸
B.肺气肿并右侧肺大泡
C.肺气肿
D.间质性肺炎
E.大叶性肺炎
点击查看答案
本题答案:微信扫下方二维码即可打包下载完整带答案解析版《★放射医学(医学高级)》或《放射医学(医学高级):CT》题库
44、多项选择题 慢性胆囊炎的CT表现为()
A.容易穿孔并在肝内形成脓肿
B.胆囊缩小
C.胆囊增大
D.均合并结石
E.胆囊壁增厚可钙化
点击查看答案
本题答案:微信扫下方二维码即可打包下载完整带答案解析版《★放射医学(医学高级)》或《放射医学(医学高级):CT》题库
45、单项选择题 下述“子宫输卵管内膜结核”造影表现,错误的是()
A.子宫腔边缘不规则
B.子宫腔变形、变窄
C.输卵管棒状钙化
D.子宫肌壁间对比剂返流
E.输卵管边缘不规则、僵硬,呈“锈铁丝状”
点击查看答案
本题答案:微信扫下方二维码即可打包下载完整带答案解析版《★放射医学(医学高级)》或《放射医学(医学高级):CT》题库
46、单项选择题 急性脑梗死发病8~24小时内,常见CT表现是()
A.高密度,边界不清,无明显占位效应
B.低密度,边界清楚,轻微占位效应
C.低密度,边界不清,轻微占位效应
D.等密度,占位效应明显
E.混杂密度,占位效应不明显
点击查看答案
本题答案:微信扫下方二维码即可打包下载完整带答案解析版《★放射医学(医学高级)》或《放射医学(医学高级):CT》题库
47、单项选择题
男17岁,发现颈部肿块1月,胸片检查、CT检查如图,最可能的诊断为()

A.胸腺瘤
B.畸胎瘤
C.淋巴瘤
D.胸内甲状腺瘤
E.囊状淋巴管瘤
点击查看答案
本题答案:微信扫下方二维码即可打包下载完整带答案解析版《★放射医学(医学高级)》或《放射医学(医学高级):CT》题库
48、单项选择题 下述肿瘤中常出现散在钙化的是()
A.颅咽管瘤
B.少枝胶质细胞瘤
C.脊索瘤
D.生殖细胞瘤
E.软骨瘤
点击查看答案
本题答案:微信扫下方二维码即可打包下载完整带答案解析版《★放射医学(医学高级)》或《放射医学(医学高级):CT》题库
49、单项选择题
如图所示,最可能的诊断是()
A.转移
B.疲劳骨折
C.骨穿刺后
D.淋巴瘤
E.以上都不是
点击查看答案
本题答案:微信扫下方二维码即可打包下载完整带答案解析版《★放射医学(医学高级)》或《放射医学(医学高级):CT》题库
50、单项选择题 发生在桥小脑角区肿瘤中岩骨有明显骨质增生的是()
A.三叉神经瘤
B.脑膜瘤
C.转移瘤
D.动脉瘤
E.听神经瘤
点击查看答案
本题答案:微信扫下方二维码即可打包下载完整带答案解析版《★放射医学(医学高级)》或《放射医学(医学高级):CT》题库
51、单项选择题 男,30岁,右面部疼痛。CT示右桥小脑角区类椭圆形囊样病变,沿脑池生长,CT值-10HU,无强化,局部脑组织及脑干轻度受压。最可能的诊断为()
A.囊性脑膜瘤
B.蛛网膜囊肿
C.皮样囊肿
D.表皮样囊肿
E.听神经瘤囊变
点击查看答案
本题答案:微信扫下方二维码即可打包下载完整带答案解析版《★放射医学(医学高级)》或《放射医学(医学高级):CT》题库
52、单项选择题
女,50岁,渐进性上肢活动不便伴麻木3个月余,CT及CTM检查,C1~C2水平髓外硬膜下占位性病变,呈软组织密度,病变向右侧椎间孔延伸,最可能的诊断为()
A.星形细胞瘤
B.神经鞘瘤
C.脊膜瘤
D.室管膜瘤
E.血管母细胞瘤
点击查看答案
本题答案:微信扫下方二维码即可打包下载完整带答案解析版《★放射医学(医学高级)》或《放射医学(医学高级):CT》题库
53、单项选择题 女,25岁,双侧突眼6个月。CT示双侧下直肌和内直肌呈梭形增大,增强扫描明显增强,眼环正常,眼球突出1cm,最可能的诊断是()
A.炎性假瘤
B.甲状腺性突眼(格雷夫斯病)
C.细菌性肌炎
D.血管性病变
E.横纹肌瘤
点击查看答案
本题答案:微信扫下方二维码即可打包下载完整带答案解析版《★放射医学(医学高级)》或《放射医学(医学高级):CT》题库
54、单项选择题
女,36岁,右上腹痛,有发热,白细胞计数升高,CT检查如图,最可能的诊断是()
A.原发性肝癌
B.肝淋巴管瘤
C.肝脓肿
D.肝黄色肉芽肿
E.肝胆管细胞癌
点击查看答案
本题答案:微信扫下方二维码即可打包下载完整带答案解析版《★放射医学(医学高级)》或《放射医学(医学高级):CT》题库
55、单项选择题 在扫描过程中,被扫部位随意和不随意的运动,可产生哪种伪影()
A.移动条纹伪影
B.帽状伪影
C.杯状伪影
D.环状伪影
E.以上都可以
点击查看答案
本题答案:微信扫下方二维码即可打包下载完整带答案解析版《★放射医学(医学高级)》或《放射医学(医学高级):CT》题库
56、单项选择题 鼻咽癌的好发部位为()
A.咽鼓管圆枕
B.鼻咽顶壁
C.梨骨后缘
D.咽隐窝
E.以上都不是
点击查看答案
本题答案:微信扫下方二维码即可打包下载完整带答案解析版《★放射医学(医学高级)》或《放射医学(医学高级):CT》题库
57、单项选择题 下列层厚层距扫描参数中,哪项属于连续无间隔扫描()
A.层厚10mm,层距10mm
B.层厚10mm,层距0mm
C.层厚10mm,层距20mm
D.层厚10mm,层距5mm
E.以上都不是
点击查看答案
本题答案:微信扫下方二维码即可打包下载完整带答案解析版《★放射医学(医学高级)》或《放射医学(医学高级):CT》题库
58、单项选择题 指出下列描述中,哪项不属于软组织血管瘤的CT典型表现()
A.软组织内有钙化的静脉石影
B.增强效应显著
C.附近骨骼可有改变
D.软组织内可有环形或斑点状钙化
E.平扫呈不均匀低密度影像
点击查看答案
本题答案:微信扫下方二维码即可打包下载完整带答案解析版《★放射医学(医学高级)》或《放射医学(医学高级):CT》题库
59、多项选择题
男,59岁,反复尿频尿急尿痛4年余,尿常规检查:红细胞(+),白细胞(++),CT扫描如图示,下列说法正确的是()
A.左侧输尿管中下段输尿管管壁增厚,管腔狭窄
B.左侧侧输尿管上段扩张
C.考虑为输尿管结核
D.考虑为慢性输尿管炎
E.考虑为输尿管移行细胞癌
点击查看答案
本题答案:微信扫下方二维码即可打包下载完整带答案解析版《★放射医学(医学高级)》或《放射医学(医学高级):CT》题库
60、单项选择题 肾上腺营养不良主要发生在()
A.儿童
B.青年女性
C.青春期
D.中年
E.老年
点击查看答案
本题答案:微信扫下方二维码即可打包下载完整带答案解析版《★放射医学(医学高级)》或《放射医学(医学高级):CT》题库
61、单项选择题 55岁女性,B超发现,肝右叶内4cm强回声团块,CT平扫为边缘锐利的略低密度灶,增强扫描呈充填式强化,最可能的诊断是()
A.转移性肝癌
B.原发性肝癌
C.肝脏血管瘤
D.肝脓肿
E.肝囊肿
点击查看答案
本题答案:微信扫下方二维码即可打包下载完整带答案解析版《★放射医学(医学高级)》或《放射医学(医学高级):CT》题库
62、单项选择题 男,2岁,头痛。CT轴位平扫示:双侧额顶部颅骨内板下方半月形脑脊液密度影,脑实质受压,中线结构居中。最可能的诊断为()
A.急性硬膜下血肿
B.双侧硬膜下血肿
C.双额顶慢性硬膜下血肿
D.双额顶硬膜下水瘤
E.双额顶蛛网膜囊肿
点击查看答案
本题答案:微信扫下方二维码即可打包下载完整带答案解析版《★放射医学(医学高级)》或《放射医学(医学高级):CT》题库
63、单项选择题
男,36岁,双眼球突出5月余,CT如图所示,最可能的诊断是()
A.眼型Graves病
B.肌炎型炎性假瘤
C.未见异常
D.眶内脑膜瘤
E.眶内淋巴瘤
点击查看答案
本题答案:微信扫下方二维码即可打包下载完整带答案解析版《★放射医学(医学高级)》或《放射医学(医学高级):CT》题库
64、单项选择题 以下哪一代CT,其探测器排列成圆环且固定,仅X线管旋转()
A.第一代CT机
B.第二代CT机
C.第三代CT机
D.第四代CT机
E.第五代CT机
点击查看答案
本题答案:微信扫下方二维码即可打包下载完整带答案解析版《★放射医学(医学高级)》或《放射医学(医学高级):CT》题库
65、单项选择题
根据所提供的图像,可除外下列哪种诊断()
A.类癌瘤
B.淋巴瘤
C.硬化性肠系膜炎
D.憩室炎
E.以上都不是
点击查看答案
本题答案:微信扫下方二维码即可打包下载完整带答案解析版《★放射医学(医学高级)》或《放射医学(医学高级):CT》题库
66、单项选择题
患者50岁,体重减轻,发热,结合所示图像,最可能的诊断是()
A.肾上腺嗜铬细胞瘤
B.肾癌
C.原发性肾上腺癌
D.肾上腺转移癌
E.肾转移癌
点击查看答案
本题答案:微信扫下方二维码即可打包下载完整带答案解析版《★放射医学(医学高级)》或《放射医学(医学高级):CT》题库
67、单项选择题
男,64岁,患糖尿病,最近3天出现发热,伴颈静脉显露,结合CT图像,最可能的诊断是()
A.坏死性纵隔炎
B.纵隔淋巴瘤
C.侵袭性胸腺瘤
D.恶性畸胎瘤
E.纵隔脓肿
点击查看答案
本题答案:微信扫下方二维码即可打包下载完整带答案解析版《★放射医学(医学高级)》或《放射医学(医学高级):CT》题库
68、单项选择题 下列CT基本概念中,哪项描述不正确()
A.矩阵与像素成反比
B.窗宽与密度分辨率成反比
C.窗中心与密度分辨率成反比
D.纯水的CT值为0Hu
E.像素与图像清晰度成反比
点击查看答案
本题答案:微信扫下方二维码即可打包下载完整带答案解析版《★放射医学(医学高级)》或《放射医学(医学高级):CT》题库
69、单项选择题 关于肝门部结构的描述,哪项不正确()
A.门静脉由脾静脉和肠系膜下静脉汇合而成
B.肝动脉位于门静脉的前内侧
C.肝总管在门静脉的前外侧
D.肝静脉在第二肝门处汇入下腔静脉
E.正常时肝内胆管不显示
点击查看答案
本题答案:微信扫下方二维码即可打包下载完整带答案解析版《★放射医学(医学高级)》或《放射医学(医学高级):CT》题库
70、单项选择题
女,12岁,头痛、恶心、呕吐1周,平扫CT检查如图

女,9岁,视力下降1月余,CT检查如图,最可能的诊断为()

A.胶质瘤
B.脑膜瘤
C.脊索瘤
D.垂体瘤
E.颅咽管瘤
点击查看答案
本题答案:微信扫下方二维码即可打包下载完整带答案解析版《★放射医学(医学高级)》或《放射医学(医学高级):CT》题库
71、单项选择题
女,32岁,鼻梁双颊部出现红斑伴发热咳嗽2周,肘腕关节游走性疼痛,结合CT图像,最可能的诊断为()

A.肺部感染
B.结节病
C.肺类风湿病
D.SLE肺部浸润
E.韦格肉芽肿
点击查看答案
本题答案:微信扫下方二维码即可打包下载完整带答案解析版《★放射医学(医学高级)》或《放射医学(医学高级):CT》题库
72、单项选择题 关于CT对肝脏钝性外伤的检查目的,下列哪项是错误的()
A.确定破裂血管
B.确定损伤程度并分级
C.提供手术或保守治疗的依据
D.发现有无撕裂和出血
E.观察治疗的动态变化
点击查看答案
本题答案:微信扫下方二维码即可打包下载完整带答案解析版《★放射医学(医学高级)》或《放射医学(医学高级):CT》题库
73、单项选择题
女,48岁,左腰部胀痛不适2月余,根据所示图像,最可能的诊断是()
A.左侧囊性肾癌
B.左侧肾囊肿
C.左侧多囊肾
D.左侧肾脓肿
E.左侧肾积水
点击查看答案
本题答案:微信扫下方二维码即可打包下载完整带答案解析版《★放射医学(医学高级)》或《放射医学(医学高级):CT》题库
74、单项选择题
女,12岁,膝关节周围可触及硬实性肿块,疼痛不明显,结合图像,最可能的诊断是()
A.软组织钙化
B.维生素D中毒
C.肿瘤样钙盐沉着病
D.软组织错构瘤
E.软组织软骨瘤
点击查看答案
本题答案:微信扫下方二维码即可打包下载完整带答案解析版《★放射医学(医学高级)》或《放射医学(医学高级):CT》题库
75、单项选择题 对于视网膜母细胞瘤,其首选检查方法为()
A.B超
B.MRI
C.CT
D.眼眶平片
E.眼底荧光摄影
点击查看答案
本题答案:微信扫下方二维码即可打包下载完整带答案解析版《★放射医学(医学高级)》或《放射医学(医学高级):CT》题库
76、单项选择题 胶质母细胞瘤的鉴别诊断包括()
A.转移瘤
B.脑脓肿
C.吸收期血肿
D.梗死
E.以上都是
点击查看答案
本题答案:微信扫下方二维码即可打包下载完整带答案解析版《★放射医学(医学高级)》或《放射医学(医学高级):CT》题库
77、单项选择题 胸部CT扫描时,病人最佳呼吸状态应是()
A.深呼气后屏气扫描
B.深吸气后屏气扫描
C.捏捂病人鼻口扫描
D.平静口式呼吸扫描
E.采用腹式呼吸扫描
点击查看答案
本题答案:微信扫下方二维码即可打包下载完整带答案解析版《★放射医学(医学高级)》或《放射医学(医学高级):CT》题库
78、多项选择题 下列胸部CT检查特点的描述,错误的是()
A.CT是肺部疾病诊断的首选方法
B.对纵隔旁、横膈周围及胸膜下病灶显示较胸片好
C.横断面显示,克服胸片上的影像重叠
D.冠状面和矢状面重建像分辨率较低
E.对纵隔内软组织分辨率不高
点击查看答案
本题答案:微信扫下方二维码即可打包下载完整带答案解析版《★放射医学(医学高级)》或《放射医学(医学高级):CT》题库
79、单项选择题
女,55岁,指尖部轻微肿痛,结合图像,最可能的诊断是()
A.指骨滑膜肉瘤
B.指骨上皮样囊肿
C.指甲下血管瘤
D.指甲下脂肪瘤
E.以上都不是
点击查看答案
本题答案:微信扫下方二维码即可打包下载完整带答案解析版《★放射医学(医学高级)》或《放射医学(医学高级):CT》题库
80、单项选择题 女,54岁,血尿1年余,右腰痛10天余,CT右肾下极60mm×70mm肿块,突出肾外,中心有不规则低密度区,增强扫描早期病灶明显强化,中心低密度区无强化。最可能的诊断为()
A.肾癌
B.肾血管肌肉脂肪瘤
C.肾腺瘤
D.肾脓肿
E.肾转移癌
点击查看答案
本题答案:微信扫下方二维码即可打包下载完整带答案解析版《★放射医学(医学高级)》或《放射医学(医学高级):CT》题库
81、单项选择题 患者,女,50岁,既往左耳中耳炎史多年,流脓2年余。CT显示外耳道棘骨消失,鼓室内有软组织密度灶,明显强化,听小骨及鼓室骨壁破坏,最可能的诊断为()
A.血管球瘤
B.胆脂瘤
C.转移瘤
D.中耳癌
E.面神经纤维瘤
点击查看答案
本题答案:微信扫下方二维码即可打包下载完整带答案解析版《★放射医学(医学高级)》或《放射医学(医学高级):CT》题库
82、单项选择题 室壁瘤的CT征象有()
A.局部心室壁增厚,并见反向运动
B.局部心室壁变薄,并见反向运动
C.室壁向内凹陷,无反向运动
D.室壁向外膨隆,无反向运动
E.室壁变薄,无反向运动
点击查看答案
本题答案:微信扫下方二维码即可打包下载完整带答案解析版《★放射医学(医学高级)》或《放射医学(医学高级):CT》题库
83、单项选择题 当肾癌侵犯下腔静脉形成瘤栓,而无淋巴结或远处转移,应分期为()
A.Ⅱ期
B.Ⅲc期
C.Ⅲb期
D.Ⅲa期
E.Ⅳa期
点击查看答案
本题答案:微信扫下方二维码即可打包下载完整带答案解析版《★放射医学(医学高级)》或《放射医学(医学高级):CT》题库
84、单项选择题 膈脚外侧积液提示()
A.腹水
B.肺内结节
C.心包积液
D.胸水+腹水
E.无定位意义
点击查看答案
本题答案:微信扫下方二维码即可打包下载完整带答案解析版《★放射医学(医学高级)》或《放射医学(医学高级):CT》题库
85、单项选择题 X线穿透人体组织,从易到难的顺序是()
A.肺,脂肪,肌肉,骨
B.肺,肌肉,脂肪,骨
C.肺,肌肉,骨,脂肪
D.肌肉,肺,脂肪,骨
E.脂肪,肺,肌肉,骨
点击查看答案
本题答案:微信扫下方二维码即可打包下载完整带答案解析版《★放射医学(医学高级)》或《放射医学(医学高级):CT》题库
86、单项选择题
女,39岁,低热、乏力,腹胀,下腹触及明显肿块,体重减轻,影像检查如图,最可能的诊断是()
A.小肠结核
B.小肠Crohn病
C.小肠淋巴瘤
D.小肠癌
E.小肠重复畸形
点击查看答案
本题答案:微信扫下方二维码即可打包下载完整带答案解析版《★放射医学(医学高级)》或《放射医学(医学高级):CT》题库
87、单项选择题 在肺不张内可见不规则钙化、空洞和支气管扩张,多见于()
A.肺癌
B.肺炎
C.肺结核
D.矽肺
E.组织胞浆菌病
点击查看答案
本题答案:微信扫下方二维码即可打包下载完整带答案解析版《★放射医学(医学高级)》或《放射医学(医学高级):CT》题库
88、单项选择题 下面哪种CT征象最有助于中耳胆脂瘤诊断()
A.鼓膜增厚内陷
B.中耳腔扩大
C.外耳道棘破坏
D.中耳内软组织影
E.听骨链移位
点击查看答案
本题答案:微信扫下方二维码即可打包下载完整带答案解析版《★放射医学(医学高级)》或《放射医学(医学高级):CT》题库
89、单项选择题
男,57岁,腹部隐痛不适伴低热2月余,腋下可触及数个肿大的淋巴结,结合所示图像,最可能的诊断是()
A.左侧肾上腺癌并胃脾转移
B.左侧恶性嗜铬细胞瘤侵及胃脾
C.左侧肾上腺淋巴瘤且胃脾受累
D.左侧肾上腺腺瘤
E.左侧肾上腺转移癌
点击查看答案
本题答案:微信扫下方二维码即可打包下载完整带答案解析版《★放射医学(医学高级)》或《放射医学(医学高级):CT》题库
90、单项选择题 有关颞骨矢状扫描体位摆法中,叙述错误的是()
A.患者俯卧
B.头向一侧旋转枕于20°头架上
C.矢状面前后对应点距床面等距
D.扫描架向头侧倾斜20°,平行矢状面
E.球管围绕头颅前后轴旋转
点击查看答案
本题答案:微信扫下方二维码即可打包下载完整带答案解析版《★放射医学(医学高级)》或《放射医学(医学高级):CT》题库
91、单项选择题 膀胱癌好发于()
A.三角区
B.膀胱底
C.膀胱顶
D.膀胱后壁
E.膀胱侧壁
点击查看答案
本题答案:微信扫下方二维码即可打包下载完整带答案解析版《★放射医学(医学高级)》或《放射医学(医学高级):CT》题库
92、多项选择题 以下关于脂肪肝病因正确的是()
A.糖尿病
B.肝炎
C.肥胖
D.肝癌
E.营养不良
点击查看答案
本题答案:微信扫下方二维码即可打包下载完整带答案解析版《★放射医学(医学高级)》或《放射医学(医学高级):CT》题库
93、单项选择题 患者,女,26岁,无明显不适,CT平扫发现肝右叶低密度病灶,呈圆形,边界清晰,增强扫描动脉期病灶明显强化,静脉期密度下降,延迟扫描呈稍低密度。
根据以上影像学表现,以下最需要鉴别诊断的是()
A.肝脓肿与肝血管瘤鉴别
B.肝腺瘤与肝细胞癌鉴别
C.肝细胞癌与肝血管瘤鉴别
D.肝腺瘤与肝血管瘤鉴别
E.肝局灶性结节性增生与肝血管瘤鉴别
点击查看答案
本题答案:微信扫下方二维码即可打包下载完整带答案解析版《★放射医学(医学高级)》或《放射医学(医学高级):CT》题库
94、单项选择题 下面对颈部CT扫描技术的描述错误的是()
A.平扫,使颈部与床面平行,两外耳孔与床面等距
B.摄取颈部侧位定位像,在定位像上选择从胸腔入口至下颌角区域进行扫描
C.甲状腺扫描范围从第5颈椎下缘至第1胸椎
D.甲状腺的扫描层厚与层间距可用10mm
E.扫描方式为螺旋或非螺旋均可
点击查看答案
本题答案:微信扫下方二维码即可打包下载完整带答案解析版《★放射医学(医学高级)》或《放射医学(医学高级):CT》题库
95、单项选择题 下面关于眼及眼眶CT扫描技术的叙述错误的是()
A.横断位扫描,听眶线与床面垂直
B.横断位扫描,扫描基线为听眶线或听眦线
C.扫描范围一般从眶底至眶顶
D.冠状位扫描听眶线与床面平行
E.冠状位扫描,扫描范围从眼球前部至鞍底
点击查看答案
本题答案:微信扫下方二维码即可打包下载完整带答案解析版《★放射医学(医学高级)》或《放射医学(医学高级):CT》题库
96、单项选择题 关于鼻咽部纤维血管瘤的表述,下列说法不正确的是()
A.该病起源于蝶、枕骨间纤维软骨膜或骨膜
B.内含丰富血管,损伤后不易收缩,常致大出血
C.瘤体呈肌组织相仿密度,注射对比剂后,瘤体则呈明显强化
D.瘤体内常含钙化灶或静脉石
E.对周围组织表现为推挤压迫改变,使骨结构受压变形
点击查看答案
本题答案:微信扫下方二维码即可打包下载完整带答案解析版《★放射医学(医学高级)》或《放射医学(医学高级):CT》题库
97、单项选择题
男,28岁,无意中发现左下颌骨较对侧隆起,CT如图所示,最可能的诊断是()
A.下颌骨齿釉细胞瘤
B.下颌骨巨细胞瘤
C.下颌骨角化囊肿
D.下颌骨根端囊肿
E.下颌骨含牙囊肿
点击查看答案
本题答案:微信扫下方二维码即可打包下载完整带答案解析版《★放射医学(医学高级)》或《放射医学(医学高级):CT》题库
98、多项选择题 小脑星形细胞瘤CT检查时,可见下列哪些征象()
A.多位于小脑半球,少数在小脑蚓部
B.肿瘤可为囊性或实性
C.囊性瘤平扫为均匀的低密度
D.实性瘤平扫为均匀的高密度
E.多有水肿,第三脑室受压移位、闭塞
点击查看答案
本题答案:微信扫下方二维码即可打包下载完整带答案解析版《★放射医学(医学高级)》或《放射医学(医学高级):CT》题库
99、单项选择题
患者15岁,男性,高血压,行CT检查,结合图像,最可能的诊断是()
A.淋巴瘤
B.副神经节瘤
C.肾上腺癌
D.转移癌
E.以上都不是
点击查看答案
本题答案:微信扫下方二维码即可打包下载完整带答案解析版《★放射医学(医学高级)》或《放射医学(医学高级):CT》题库
100、单项选择题
男,25岁,头颅外伤,昏迷,意识丧失,结合CT图像,最可能的诊断是()
A.结节性硬化病
B.脑剪切伤
C.脑囊虫病
D.脑实质钙化灶
E.脑转移瘤
点击查看答案
本题答案:微信扫下方二维码即可打包下载完整带答案解析版《★放射医学(医学高级)》或《放射医学(医学高级):CT》题库
101、单项选择题 动态增强扫描加延迟扫描最常用于的诊断和鉴别诊断()
A.肝硬化和脂肪肝
B.肝囊肿和肝癌
C.肝硬化和血管瘤
D.脂肪肝和肝囊肿
E.肝癌和肝血管瘤
点击查看答案
本题答案:微信扫下方二维码即可打包下载完整带答案解析版《★放射医学(医学高级)》或《放射医学(医学高级):CT》题库
102、多项选择题 CT扫描的优点包括()
A.密度分辨力高
B.真正的断面图像
C.空间分辨力高
D.图像无层面以外的结构干扰
E.极限分辨力高
点击查看答案
本题答案:微信扫下方二维码即可打包下载完整带答案解析版《★放射医学(医学高级)》或《放射医学(医学高级):CT》题库
103、单项选择题
女,71岁,咳嗽,咳痰,胸部隐痛2月余,结合影像学检查,最可能的诊断是()
A.肺癌
B.肺结核
C.肺错构瘤
D.结节病
E.肺转移瘤
点击查看答案
本题答案:微信扫下方二维码即可打包下载完整带答案解析版《★放射医学(医学高级)》或《放射医学(医学高级):CT》题库
104、单项选择题 CT平扫时,正常脑灰质的CT值为()
A.20HU
B.25~32HU
C.0~10HU
D.30~40HU
E.50~70HU
点击查看答案
本题答案:微信扫下方二维码即可打包下载完整带答案解析版《★放射医学(医学高级)》或《放射医学(医学高级):CT》题库
105、单项选择题
如图所示,该青少年的最可能的诊断是()
A.尤文肉瘤
B.淋巴瘤
C.软骨肉瘤
D.转移瘤
E.骨肉瘤
点击查看答案
本题答案:微信扫下方二维码即可打包下载完整带答案解析版《★放射医学(医学高级)》或《放射医学(医学高级):CT》题库
106、单项选择题 在多囊肝的描述中,错误的是()
A.是一先天性疾病
B.早期可无明显症状
C.肝脏体积增大,密布大小不等的囊腔
D.囊壁不均匀增厚,并可见乳头状突起
E.常合并肾脏等其他脏器的多囊性病灶
点击查看答案
本题答案:微信扫下方二维码即可打包下载完整带答案解析版《★放射医学(医学高级)》或《放射医学(医学高级):CT》题库
107、单项选择题 脑脊液鼻漏,常见于()
A.筛骨骨折
B.额骨骨折
C.蝶骨骨折
D.颞骨骨折
E.鼻骨骨折
点击查看答案
本题答案:微信扫下方二维码即可打包下载完整带答案解析版《★放射医学(医学高级)》或《放射医学(医学高级):CT》题库
108、多项选择题 关于脊椎椎体爆裂骨折,正确的表述为()
A.骨折累及脊柱前、中柱,同时可累及后柱
B.是常见的不稳定骨折
C.常引起椎体后壁骨折
D.骨折碎片移位常突入椎管,压迫脊髓,引起神经症状
E.可仅累及脊柱前柱,而中、后柱结构完整
点击查看答案
本题答案:微信扫下方二维码即可打包下载完整带答案解析版《★放射医学(医学高级)》或《放射医学(医学高级):CT》题库
109、多项选择题
男,45岁,心悸气促乏力,下肢肿胀半年余,胸部CT如图,最可能的诊断是()
A.考虑为缩窄性心包炎
B.心包钙化显著时也可称之为“盔甲心”
C.心包钙化多见于结核
D.X线、CT为常用检查方法
E.MRI显示增厚的心包较X线、CT优越,但显示心包钙化不敏感
点击查看答案
本题答案:微信扫下方二维码即可打包下载完整带答案解析版《★放射医学(医学高级)》或《放射医学(医学高级):CT》题库
110、单项选择题 CT平扫时,下列哪种肿瘤CT值最低()
A.脑膜瘤
B.胶质瘤
C.胆脂瘤
D.听神经瘤
E.转移瘤
点击查看答案
本题答案:微信扫下方二维码即可打包下载完整带答案解析版《★放射医学(医学高级)》或《放射医学(医学高级):CT》题库
111、单项选择题
女,39岁,发热、咳嗽1周,WBC:15×109/L,胸部CT平扫如图

图中所示的支持此诊断的征象为()
A.印戒征
B.按叶段分布的片絮状影
C.轨道征
D.葡萄状影
E.支气管黏液充填
点击查看答案
本题答案:微信扫下方二维码即可打包下载完整带答案解析版《★放射医学(医学高级)》或《放射医学(医学高级):CT》题库
112、单项选择题 男,20岁,癫痫发作4次。CT示脑实质多发高密度点状影和片状不规则低密度灶,部分低密度区呈0.5~1.0cm环形增强,最可能的诊断为()
A.多发性硬化
B.结节性硬化
C.脑囊虫病
D.脑脓肿
E.病毒性脑炎
点击查看答案
本题答案:微信扫下方二维码即可打包下载完整带答案解析版《★放射医学(医学高级)》或《放射医学(医学高级):CT》题库
113、单项选择题
女,54岁,因反复左髋、左下肢痛伴左下肢活动障碍约半年,结合所提供的图像,最可能的诊断是()
A.骨髓瘤
B.滑膜肉瘤
C.骨转移瘤
D.尤文肉瘤
E.骨巨细胞瘤
点击查看答案
本题答案:微信扫下方二维码即可打包下载完整带答案解析版《★放射医学(医学高级)》或《放射医学(医学高级):CT》题库
114、多项选择题 MSCT血管造影可用于显示主动脉夹层的()
A.内膜片
B.内破口
C.主动脉真腔
D.主动脉假腔
E.假腔内血栓
点击查看答案
本题答案:微信扫下方二维码即可打包下载完整带答案解析版《★放射医学(医学高级)》或《放射医学(医学高级):CT》题库
115、单项选择题
下面一组图像应考虑为()
A.正常的肋间动脉
B.正常的双乳动脉
C.肋间动脉钙化
D.双乳动脉钙化
E.双乳动脉狭窄
点击查看答案
本题答案:微信扫下方二维码即可打包下载完整带答案解析版《★放射医学(医学高级)》或《放射医学(医学高级):CT》题库
116、单项选择题
男,49岁,进行性消瘦、肝区不适、皮肤巩膜黄染2月,乙肝检查:HbsAg(+),Anti-Hbe(+),Anti-HbcIgG(+),肝功能及AFP均正常,CT检查如图,最可能的诊断是()
A.肝转移癌
B.肝血管内皮瘤
C.肝血管瘤
D.胆管细胞癌
E.肝淋巴管瘤
点击查看答案
本题答案:微信扫下方二维码即可打包下载完整带答案解析版《★放射医学(医学高级)》或《放射医学(医学高级):CT》题库
117、单项选择题 下列关于HRCT的间质性阴影,描述不准确的是()
A.小叶间隔增厚呈肺外围10~20mm长的线状影或多边形条状影
B.蜂窝阴影可见于早期间质性淋巴管炎
C.串珠状小叶间隔增厚常见于癌性淋巴管炎
D.光滑性小叶间隔增厚常见于间质性肺水肿
E.胸膜下线最初见于石棉肺
点击查看答案
本题答案:微信扫下方二维码即可打包下载完整带答案解析版《★放射医学(医学高级)》或《放射医学(医学高级):CT》题库
118、单项选择题 特征性肝包虫囊肿壁的钙化是()
A.小点状
B.大片状
C.无规则状
D.弧形或蛋壳状
E.以上都不是
点击查看答案
本题答案:微信扫下方二维码即可打包下载完整带答案解析版《★放射医学(医学高级)》或《放射医学(医学高级):CT》题库
119、单项选择题
患者,男,33岁,左股骨肿块半年余,无明显症状,查体一般情况良好,结合所提供的图像,最可能的诊断是()
A.骨巨细胞瘤
B.骨囊肿
C.骨纤维异常增殖症
D.动脉瘤样骨囊肿
E.非骨化性纤维瘤
点击查看答案
本题答案:微信扫下方二维码即可打包下载完整带答案解析版《★放射医学(医学高级)》或《放射医学(医学高级):CT》题库
120、单项选择题
男,32岁,右髂骨区疼痛、肿胀,结合图像,最可能的诊断是()
A.骨囊肿
B.骨巨细胞瘤
C.动脉瘤样骨囊肿
D.成软骨细胞瘤
E.骨肉瘤
点击查看答案
本题答案:微信扫下方二维码即可打包下载完整带答案解析版《★放射医学(医学高级)》或《放射医学(医学高级):CT》题库
121、单项选择题 肾复合性囊肿不包括()
A.钙化性囊肿
B.不典型囊肿
C.感染性囊肿
D.出血性囊肿
E.囊性肿瘤
点击查看答案
本题答案:微信扫下方二维码即可打包下载完整带答案解析版《★放射医学(医学高级)》或《放射医学(医学高级):CT》题库
122、单项选择题 厚壁空洞的壁厚应大于()
A.2mm
B.2.5mm
C.3mm
D.3.5mm
E.4mm
点击查看答案
本题答案:微信扫下方二维码即可打包下载完整带答案解析版《★放射医学(医学高级)》或《放射医学(医学高级):CT》题库
123、单项选择题
该偶然发现的团块,最可能为()
A.肺癌
B.淋巴瘤
C.神经纤维瘤
D.精原细胞瘤
E.以上都不是
点击查看答案
本题答案:微信扫下方二维码即可打包下载完整带答案解析版《★放射医学(医学高级)》或《放射医学(医学高级):CT》题库
124、单项选择题 肩关节脱位最常见的类型是()
A.肩关节前脱位
B.肩关节后脱位
C.肩关节半脱位
D.肩关节脱位合并外科颈骨折
E.肩关节脱位合并肱骨头骨折
点击查看答案
本题答案:微信扫下方二维码即可打包下载完整带答案解析版《★放射医学(医学高级)》或《放射医学(医学高级):CT》题库
125、单项选择题
男,78岁,糖尿病17年,低热、右侧胸痛伴咳嗽两月余,常规抗炎治疗,症状改善不明显,痰培养结核菌(-),胸部CT平扫如图

最可能的诊断为()
A.肺脓肿
B.结核空洞
C.肺曲菌病
D.肺棘球蚴病
E.大叶性肺炎
点击查看答案
本题答案:微信扫下方二维码即可打包下载完整带答案解析版《★放射医学(医学高级)》或《放射医学(医学高级):CT》题库
126、单项选择题
根据所提供的图像,该病例最可能的诊断为()

A.胰腺假性囊肿
B.十二指肠血肿
C.十二指肠癌
D.十二指肠憩室
E.胰腺癌
点击查看答案
本题答案:微信扫下方二维码即可打包下载完整带答案解析版《★放射医学(医学高级)》或《放射医学(医学高级):CT》题库
127、单项选择题 侧脑室三角区对应的脑叶是()
A.额颞顶叶交界区
B.额颞枕叶交界区
C.颞顶枕叶交界区
D.颞枕叶和小脑半球交界区
E.颞枕岛叶交界区
点击查看答案
本题答案:微信扫下方二维码即可打包下载完整带答案解析版《★放射医学(医学高级)》或《放射医学(医学高级):CT》题库
128、单项选择题 关于脾恶性淋巴瘤的CT表现,错误的是()
A.不均匀囊实性肿块边缘强化
B.边缘可不规则隆起
C.脾肿大
D.增强扫描结节显示清楚
E.多发或单发低密度结节
点击查看答案
本题答案:微信扫下方二维码即可打包下载完整带答案解析版《★放射医学(医学高级)》或《放射医学(医学高级):CT》题库
129、单项选择题
女,9岁,视力下降1月余,CT检查如图,最可能的诊断为()

A.胶质瘤
B.脑膜瘤
C.脊索瘤
D.垂体瘤
E.颅咽管瘤
点击查看答案
本题答案:微信扫下方二维码即可打包下载完整带答案解析版《★放射医学(医学高级)》或《放射医学(医学高级):CT》题库
130、单项选择题
男,75岁,右侧肢体麻木无力,言语含糊,CT检查如下,最可能的诊断是()

A.脑腔隙灶
B.大面积脑梗死
C.脑萎缩
D.脑白质稀疏
E.皮层下动脉硬化性脑病
点击查看答案
本题答案:微信扫下方二维码即可打包下载完整带答案解析版《★放射医学(医学高级)》或《放射医学(医学高级):CT》题库
131、单项选择题 眼和眼眶通常扫描的层厚是()
A.2mm
B.5mm
C.10mm
D.15mm
E.20mm
点击查看答案
本题答案:微信扫下方二维码即可打包下载完整带答案解析版《★放射医学(医学高级)》或《放射医学(医学高级):CT》题库
132、单项选择题 已婚妇女,盆腔CT扫描为了显示阴道和宫颈的部位,应放置()
A.避孕环
B.碘油
C.纱布塞子或阴道栓
D.硫酸钡
E.碘水
点击查看答案
本题答案:微信扫下方二维码即可打包下载完整带答案解析版《★放射医学(医学高级)》或《放射医学(医学高级):CT》题库
133、单项选择题
女,33岁。低热、乏力、右腰痛3个月余。CT双期扫描如下图所示,应首先考虑的病变为()
A.右肾盂癌
B.右肾脓肿
C.右肾错构瘤
D.右肾囊肿
E.右肾结核
点击查看答案
本题答案:微信扫下方二维码即可打包下载完整带答案解析版《★放射医学(医学高级)》或《放射医学(医学高级):CT》题库
134、单项选择题
根据所提供的图像,该病例的最可能的诊断为()
A.2条肾动脉
B.肾动脉狭窄
C.肾细胞癌
D.肾梗死
E.以上都不是
点击查看答案
本题答案:微信扫下方二维码即可打包下载完整带答案解析版《★放射医学(医学高级)》或《放射医学(医学高级):CT》题库
135、单项选择题 外耳孔与同侧眼外眦的连线称为()
A.听眦线
B.听眶线
C.听鼻线
D.听口线
E.瞳间线
点击查看答案
本题答案:微信扫下方二维码即可打包下载完整带答案解析版《★放射医学(医学高级)》或《放射医学(医学高级):CT》题库
136、单项选择题 关于嗜铬细胞瘤的常见表现,下列说法哪项不正确()
A.均有血清儿茶酚胺增高
B.90%发生于肾上腺区
C.CT及血管造影均有明显染色和增强
D.可有钙化
E.可有中心区坏死及瘢痕
点击查看答案
本题答案:微信扫下方二维码即可打包下载完整带答案解析版《★放射医学(医学高级)》或《放射医学(医学高级):CT》题库
137、单项选择题 关于胆管系统功能紊乱,下列叙述哪项是错误的()
A.胆囊收缩功能减低
B.多为功能性,个别可为器质性
C.胆汁排出延迟、胆管扩张
D.胆囊浓缩功能减低
E.胆总管末端括约肌痉挛、肥大、炎症、纤维化
点击查看答案
本题答案:微信扫下方二维码即可打包下载完整带答案解析版《★放射医学(医学高级)》或《放射医学(医学高级):CT》题库
138、单项选择题 下列哪种疾病一般不会出现空洞()
A.大叶性肺炎
B.肺结核
C.转移性鳞癌
D.肺吸虫病
E.韦格纳肉芽肿
点击查看答案
本题答案:微信扫下方二维码即可打包下载完整带答案解析版《★放射医学(医学高级)》或《放射医学(医学高级):CT》题库
139、单项选择题
女,25岁,上腹疼痛不适,低热,有阿米巴痢疾病史,CT检查发现肝右叶低密度病变,如图,最可能的诊断是()
A.原发性肝癌
B.肝血管瘤
C.肝错构瘤
D.阿米巴肝脓肿
E.肝转移癌
点击查看答案
本题答案:微信扫下方二维码即可打包下载完整带答案解析版《★放射医学(医学高级)》或《放射医学(医学高级):CT》题库
140、单项选择题 以下哪项CT表现不支持视网膜母细胞瘤的诊断()
A.病变眼球小
B.病变内钙化
C.视网膜弥漫性增厚
D.相邻视网膜剥离
E.病变增强明显
点击查看答案
本题答案:微信扫下方二维码即可打包下载完整带答案解析版《★放射医学(医学高级)》或《放射医学(医学高级):CT》题库
141、单项选择题 眼眶CT扫描采用()
A.听眦线25°横轴位和冠状位
B.听眦线30°横轴位和冠状位
C.听眦线横轴位和冠状位
D.听眦线横轴位和矢状位
E.听眦线20°横轴位和冠状位
点击查看答案
本题答案:微信扫下方二维码即可打包下载完整带答案解析版《★放射医学(医学高级)》或《放射医学(医学高级):CT》题库
142、单项选择题 患者无痛性血尿数周,肾盂造影示肾盂内不规则充盈缺损,首先考虑以下哪种疾病()
A.乳头状瘤
B.移行细胞癌
C.鳞状细胞癌
D.肾腺癌
E.肾腺瘤
点击查看答案
本题答案:微信扫下方二维码即可打包下载完整带答案解析版《★放射医学(医学高级)》或《放射医学(医学高级):CT》题库
143、单项选择题 以下哪种CT表现更倾向于硬膜外血肿而不是硬膜下血肿()
A.血肿为等密度
B.血肿不超越颅缝
C.血肿不超过中线
D.边缘清楚
E.占位效应更重
点击查看答案
本题答案:微信扫下方二维码即可打包下载完整带答案解析版《★放射医学(医学高级)》或《放射医学(医学高级):CT》题库
144、单项选择题 下述胆囊切除术后综合征CT表现,错误的是()
A.胆管内结石
B.胆总管内软组织肿块影,可强化
C.胆总管扩张,通而不畅
D.胆总管节段性狭窄
E.胆总管端膨大
点击查看答案
本题答案:微信扫下方二维码即可打包下载完整带答案解析版《★放射医学(医学高级)》或《放射医学(医学高级):CT》题库
145、单项选择题 最常见的腰椎黄韧带增厚、钙化的原因是()
A.转移瘤
B.肿瘤
C.结核
D.外伤
E.退行性改变
点击查看答案
本题答案:微信扫下方二维码即可打包下载完整带答案解析版《★放射医学(医学高级)》或《放射医学(医学高级):CT》题库
146、单项选择题 下面哪项不是颅脑CT扫描的适应证()
A.颅脑外伤
B.脑血管意外
C.新生儿缺氧缺血性脑病
D.头晕
E.脑萎缩
点击查看答案
本题答案:微信扫下方二维码即可打包下载完整带答案解析版《★放射医学(医学高级)》或《放射医学(医学高级):CT》题库
147、单项选择题
急腹症患者,结合图像,最可能的诊断为()
A.结肠积气症
B.胃幽门梗阻
C.气肿性胃炎
D.胃癌
E.以上都不是
点击查看答案
本题答案:微信扫下方二维码即可打包下载完整带答案解析版《★放射医学(医学高级)》或《放射医学(医学高级):CT》题库
148、单项选择题 以下哪一项CT表现提示直肠癌失去手术机会()
A.肿块外缘毛糙
B.直肠全周受累
C.直肠周围脂肪内肿大淋巴结
D.直肠周围筋膜增厚
E.直肠周围脂肪密度增高
点击查看答案
本题答案:微信扫下方二维码即可打包下载完整带答案解析版《★放射医学(医学高级)》或《放射医学(医学高级):CT》题库
149、单项选择题
男,12岁,手指细长,手臂弯曲,全身多发骨折,蓝色巩膜,结合图像,最可能的诊断是()


A.马方综合征
B.成骨不全
C.软骨发育不全
D.石骨症
E.特发性骨质溶解症
点击查看答案
本题答案:微信扫下方二维码即可打包下载完整带答案解析版《★放射医学(医学高级)》或《放射医学(医学高级):CT》题库
150、单项选择题 关于“腮腺混合瘤”的诊断要点,错误的是()
A.最常见的腮腺肿瘤
B.边界清楚锐利
C.可均匀强化
D.平扫呈低密度
E.肿块分叶状、边缘模糊可为良性表现
点击查看答案
本题答案:微信扫下方二维码即可打包下载完整带答案解析版《★放射医学(医学高级)》或《放射医学(医学高级):CT》题库
151、单项选择题
男,32岁,上腹部持续性疼痛,放射至胸背部,高热,恶心呕吐,上腹部压痛反跳痛,CT检查如图,最可能的诊断是()
A.急性单纯性胰腺炎
B.出血坏死性胰腺炎
C.慢性胰腺炎
D.慢性胰腺炎急性发作
E.胰腺癌
点击查看答案
本题答案:微信扫下方二维码即可打包下载完整带答案解析版《★放射医学(医学高级)》或《放射医学(医学高级):CT》题库
152、多项选择题 急性单纯性胰腺炎的CT表现有()
A.少数轻型患者,CT可无阳性表现
B.胰腺体积呈弥漫性增大
C.胰腺密度正常或轻度下降
D.胰腺轮廓清楚或模糊
E.增强扫描胰腺均匀增强,无坏死区域
点击查看答案
本题答案:微信扫下方二维码即可打包下载完整带答案解析版《★放射医学(医学高级)》或《放射医学(医学高级):CT》题库
153、多项选择题 CT检查适应证的三级表征是()
A.主要适应证
B.一般适应证
C.非适应证
D.次要适应证
E.特别适应证
点击查看答案
本题答案:微信扫下方二维码即可打包下载完整带答案解析版《★放射医学(医学高级)》或《放射医学(医学高级):CT》题库
154、单项选择题 大脑半球纵裂前2/3至侧脑室外侧壁之间的供血动脉为()
A.大脑前动脉
B.大脑后动脉
C.大脑中动脉
D.大脑前、中动脉
E.脉络膜前动脉
点击查看答案
本题答案:微信扫下方二维码即可打包下载完整带答案解析版《★放射医学(医学高级)》或《放射医学(医学高级):CT》题库
155、单项选择题 CT机将X射线锥形射束转化为扇形射束的部件是()
A.滤过器
B.准直器
C.窗口
D.探测器
E.定位系统
点击查看答案
本题答案:微信扫下方二维码即可打包下载完整带答案解析版《★放射医学(医学高级)》或《放射医学(医学高级):CT》题库
156、单项选择题 男,50岁,因乙肝后肝硬化行原位肝移植术后1个月,抗病毒、保肝及抗排斥治疗。肝功能恢复正常后出院。出院后1周突发黄疸、发热再次住院,检查发现T管引流液内可见絮状物
首选检查方法()
A.B超
B.腹部CT
C.T管造影
D.肝动脉造影
E.肝穿活检
点击查看答案
本题答案:微信扫下方二维码即可打包下载完整带答案解析版《★放射医学(医学高级)》或《放射医学(医学高级):CT》题库
157、单项选择题
女,45岁,急性上腹部持续性疼痛,程度剧烈,放射到胸背部,恶心、呕吐,白细胞计数增高,血尿淀粉酶升高,影像所见如图,最可能的诊断是()
A.急性单纯性胰腺炎
B.急性出血坏死性胰腺炎
C.慢性胰腺炎
D.胰腺癌
E.胰腺脓肿
点击查看答案
本题答案:微信扫下方二维码即可打包下载完整带答案解析版《★放射医学(医学高级)》或《放射医学(医学高级):CT》题库
158、单项选择题 颅咽管瘤的诊断要点,下列描述哪项错误()
A.儿童多见
B.好发于鞍上
C.囊变者高达80%
D.常有钙化
E.增强扫描不强化
点击查看答案
本题答案:微信扫下方二维码即可打包下载完整带答案解析版《★放射医学(医学高级)》或《放射医学(医学高级):CT》题库
159、单项选择题 肝脏CTA检查时,导管应置于()
A.肠系膜上动脉内
B.脾动脉内
C.肝动脉内
D.腹主动脉内
E.肾动脉内
点击查看答案
本题答案:微信扫下方二维码即可打包下载完整带答案解析版《★放射医学(医学高级)》或《放射医学(医学高级):CT》题库
160、单项选择题
CT血管造影如图,最可能的诊断为()
A.A型夹层动脉瘤
B.B型夹层动脉瘤
C.流动假像
D.运动假像
E.以上都不是
点击查看答案
本题答案:微信扫下方二维码即可打包下载完整带答案解析版《★放射医学(医学高级)》或《放射医学(医学高级):CT》题库
161、单项选择题
男,45岁,尿频、尿急、尿痛1月余,根据所示图像,最可能的诊断是()
A.膀胱血块
B.膀胱结石
C.膀胱息肉
D.膀胱癌
E.膀胱炎
点击查看答案
本题答案:微信扫下方二维码即可打包下载完整带答案解析版《★放射医学(医学高级)》或《放射医学(医学高级):CT》题库
162、单项选择题 眼外肌从眶尖的腱环向前行附于()
A.角膜
B.虹膜
C.巩膜
D.视网膜
E.脉络膜
点击查看答案
本题答案:微信扫下方二维码即可打包下载完整带答案解析版《★放射医学(医学高级)》或《放射医学(医学高级):CT》题库
163、单项选择题 关于鼻咽癌的CT特点,下列说法哪项正确()
A.咽隐窝变浅
B.两侧咽腔对称
C.咽肌局限性变薄
D.咽旁间隙向内移位
E.椎前淋巴结肿大
点击查看答案
本题答案:微信扫下方二维码即可打包下载完整带答案解析版《★放射医学(医学高级)》或《放射医学(医学高级):CT》题库
164、单项选择题
患者,女,83岁,胸部CT图像如下。则最确定的诊断为()
A.食管裂孔疝
B.胸主动脉瘤
C.胸主动脉夹层破裂
D.后纵隔囊实性占位性病变
E.无明显异常
点击查看答案
本题答案:微信扫下方二维码即可打包下载完整带答案解析版《★放射医学(医学高级)》或《放射医学(医学高级):CT》题库
165、单项选择题 在颌骨骨化性纤维瘤CT征象中,下列哪项不正确()
A.病灶呈良性局限性缓慢生长
B.无完整的骨壳
C.呈等或高密度软组织肿块
D.局部骨皮质膨胀变薄
E.病灶内可见斑点状骨化影
点击查看答案
本题答案:微信扫下方二维码即可打包下载完整带答案解析版《★放射医学(医学高级)》或《放射医学(医学高级):CT》题库
166、单项选择题 512×512表示方式,表示的是()
A.像素
B.矩阵
C.体素
D.视野
E.灰阶
点击查看答案
本题答案:微信扫下方二维码即可打包下载完整带答案解析版《★放射医学(医学高级)》或《放射医学(医学高级):CT》题库
167、单项选择题 根据我国小肝癌的诊断标准,两个瘤结节的最大直径总和应是()
A.≤2.5cm
B.≤3.0cm
C.≤4.0cm
D.≤5.0cm
E.≤6.0cm
点击查看答案
本题答案:微信扫下方二维码即可打包下载完整带答案解析版《★放射医学(医学高级)》或《放射医学(医学高级):CT》题库
168、单项选择题 关于肾脏CT检查方法,下列哪项是错误的()
A.普通扫描可以发现钙化及结节
B.扫描前禁服钡剂、含钙或金属药物
C.扫描前30分钟口服15%泛影葡胺500ml
D.扫描前6小时禁食
E.一般不需要增强扫描
点击查看答案
本题答案:微信扫下方二维码即可打包下载完整带答案解析版《★放射医学(医学高级)》或《放射医学(医学高级):CT》题库
169、单项选择题
男,16岁,咳嗽十余年,结合图像,最可能的诊断是()
A.胸廓内骨软骨瘤
B.周围型肺癌
C.陈旧性肺结核
D.胸膜粘连
E.以上都不是
点击查看答案
本题答案:微信扫下方二维码即可打包下载完整带答案解析版《★放射医学(医学高级)》或《放射医学(医学高级):CT》题库
170、单项选择题 以纵隔7分区为例,下列哪种肿瘤好发生于中上纵隔()
A.胸腺瘤
B.生殖细胞瘤
C.神经鞘瘤
D.表皮样囊肿
E.恶性淋巴瘤
点击查看答案
本题答案:微信扫下方二维码即可打包下载完整带答案解析版《★放射医学(医学高级)》或《放射医学(医学高级):CT》题库
171、单项选择题 以下对CT值的描述,哪一项不正确()
A.调整窗宽不影响组织的CT值
B.CT值受部分容积效应影响
C.CT值受管电压影响
D.特定组织的CT值是恒定的
E.调整窗中心不影响组织的CT值
点击查看答案
本题答案:微信扫下方二维码即可打包下载完整带答案解析版《★放射医学(医学高级)》或《放射医学(医学高级):CT》题库
172、单项选择题 构成骨组织的是()
A.骨细胞
B.软骨细胞
C.骨细胞、基质纤维和矿物质
D.骨细胞、脂肪细胞
E.基质、纤维
点击查看答案
本题答案:微信扫下方二维码即可打包下载完整带答案解析版《★放射医学(医学高级)》或《放射医学(医学高级):CT》题库
173、单项选择题 CT观察椎间盘一般使用()
A.增强窗
B.骨窗
C.肺窗
D.软组织窗
E.无特殊窗技术
点击查看答案
本题答案:微信扫下方二维码即可打包下载完整带答案解析版《★放射医学(医学高级)》或《放射医学(医学高级):CT》题库
174、单项选择题 骨巨细胞瘤与动脉瘤样骨囊肿CT鉴别诊断中,最有意义的征象为()
A.前者可见骨性包壳,后者无
B.前者有明显膨胀性改变,后者无
C.前者病灶内可见分隔,后者无
D.前者病变中心可见坏死、液化,后者无
E.前者病变周围可见软组织肿块,后者无
点击查看答案
本题答案:微信扫下方二维码即可打包下载完整带答案解析版《★放射医学(医学高级)》或《放射医学(医学高级):CT》题库
175、单项选择题
根据所提供的图像,患者右下象限病灶的最可能的诊断为()
A.阑尾炎
B.阑尾脓肿
C.盲肠癌
D.盲肠癌并阑尾梗阻
E.以上都不是
点击查看答案
本题答案:微信扫下方二维码即可打包下载完整带答案解析版《★放射医学(医学高级)》或《放射医学(医学高级):CT》题库
176、单项选择题 球形增大的肝右叶下段称为()
A.獭尾肝
B.尾状叶
C.利德尔叶
D.右前叶
E.右后叶
点击查看答案
本题答案:微信扫下方二维码即可打包下载完整带答案解析版《★放射医学(医学高级)》或《放射医学(医学高级):CT》题库
177、单项选择题
男,35岁,有乙肝病史多年,AFP阳性,影像检查如图,最可能的诊断是()
A.肝硬化腹水
B.肝血管瘤
C.肝脓肿
D.肝癌、肝硬化、腹水
E.肝硬化,结节性增生
点击查看答案
本题答案:微信扫下方二维码即可打包下载完整带答案解析版《★放射医学(医学高级)》或《放射医学(医学高级):CT》题库
178、单项选择题 骨样骨瘤特征性X线、CT表现为()
A.好发于胫骨和股骨干骺端
B.骨质破坏形成圆形或卵圆形低密度、透亮瘤巢,直径不超过2cm,周围有反应性骨硬化,其中央常见斑点状钙化或骨化影
C.发生于松质骨,很少出现钙化
D.起源于骨膜下者表现为紧贴骨皮质的软组织肿块
E.好发于颅骨
点击查看答案
本题答案:微信扫下方二维码即可打包下载完整带答案解析版《★放射医学(医学高级)》或《放射医学(医学高级):CT》题库
179、单项选择题 急性胆囊炎最常见的病因是()
A.胆囊管过长、扭曲
B.螺旋瓣异常
C.肿瘤压迫
D.胆石嵌顿
E.蛔虫阻塞
点击查看答案
本题答案:微信扫下方二维码即可打包下载完整带答案解析版《★放射医学(医学高级)》或《放射医学(医学高级):CT》题库
180、单项选择题 下述“卵巢囊性病变”影像,不正确的是()
A.CT能准确区分浆液性、粘液性囊腺瘤
B.滤泡囊肿多小于3cm
C.单纯囊肿多为单房性
D.单纯囊肿多小于5cm
E.多囊卵巢病,双侧卵巢常同时受累
点击查看答案
本题答案:微信扫下方二维码即可打包下载完整带答案解析版《★放射医学(医学高级)》或《放射医学(医学高级):CT》题库
181、单项选择题 女,30岁,闭经,溢乳1年。CT检查技术采用()
A.头颅轴位平扫
B.头颅冠状位平扫
C.蝶鞍矢状位增强扫描
D.蝶鞍冠状位薄层增强扫描
E.蝶鞍矢状位薄层增强扫描
点击查看答案
本题答案:微信扫下方二维码即可打包下载完整带答案解析版《★放射医学(医学高级)》或《放射医学(医学高级):CT》题库
182、单项选择题 关于基底节的描述正确的是()
A.基底节是白质结构
B.基底节包括尾状核,豆状核,屏状核、杏仁核
C.基底节包括丘脑
D.基底节又称纹状体
E.基底节包括内囊
点击查看答案
本题答案:微信扫下方二维码即可打包下载完整带答案解析版《★放射医学(医学高级)》或《放射医学(医学高级):CT》题库
183、单项选择题
男,28岁,胸闷气急,伴干咳,查体见颈静脉显露,CT如图,最可能的诊断为()
A.心包肥厚
B.心包积液
C.心肌炎
D.贫血性心脏病
E.心包转移瘤
点击查看答案
本题答案:微信扫下方二维码即可打包下载完整带答案解析版《★放射医学(医学高级)》或《放射医学(医学高级):CT》题库
184、单项选择题 垂体型艾迪生病最常见的原因为()
A.垂体肿瘤
B.颅咽管瘤
C.产后大出血
D.下丘脑附近肿瘤
E.脑膜炎
点击查看答案
本题答案:微信扫下方二维码即可打包下载完整带答案解析版《★放射医学(医学高级)》或《放射医学(医学高级):CT》题库
185、单项选择题 男,8岁,头痛CT示松果体区有一1.5×1.5cm稍高密度影,中等增强,侧脑室室管膜明显增厚,增强,最可能的诊断是()
A.松果体细胞瘤
B.恶性胶质瘤
C.生殖细胞瘤
D.淋巴瘤
E.脑膜瘤
点击查看答案
本题答案:微信扫下方二维码即可打包下载完整带答案解析版《★放射医学(医学高级)》或《放射医学(医学高级):CT》题库
186、单项选择题 对于视网膜母细胞瘤的常见CT表现,下列描述错误的是()
A.肿瘤密度较低
B.位于眼球壁上
C.肿瘤呈轻中度强化
D.肿瘤内团块状钙化
E.肿瘤可向眼球外突出
点击查看答案
本题答案:微信扫下方二维码即可打包下载完整带答案解析版《★放射医学(医学高级)》或《放射医学(医学高级):CT》题库
187、单项选择题 下述中,关于像素和体素的不准确的概念是哪项()
A.CT图像的基本组成单元称为体素
B.像素大小与图像的分辨率高低成反比
C.体素是一个三维概念
D.体素是被按矩阵排列分隔的基本成像单元
E.像素实际上是体素在成像时的表现
点击查看答案
本题答案:微信扫下方二维码即可打包下载完整带答案解析版《★放射医学(医学高级)》或《放射医学(医学高级):CT》题库
188、单项选择题 女性生殖器结核最常见的是()
A.子宫内膜结核
B.卵巢结核
C.结核性子宫内膜炎合并卵巢结核
D.输卵管结核
E.子宫颈结核
点击查看答案
本题答案:微信扫下方二维码即可打包下载完整带答案解析版《★放射医学(医学高级)》或《放射医学(医学高级):CT》题库
189、单项选择题 下列易出现钙化性转移的盆腔内肿瘤是()
A.卵巢癌
B.宫颈癌
C.前列腺癌
D.膀胱癌
E.精囊癌
点击查看答案
本题答案:微信扫下方二维码即可打包下载完整带答案解析版《★放射医学(医学高级)》或《放射医学(医学高级):CT》题库
190、单项选择题
女,25岁,颈部疼痛2年。CT示颈5右侧椎旁有一2cm×3cm软组织密度肿块,呈“哑铃”形,颈5~6右侧椎间孔扩大,诊断为()
A.神经源性肿瘤
B.淋巴瘤
C.巨细胞瘤
D.转移瘤
E.椎间盘突出
点击查看答案
本题答案:微信扫下方二维码即可打包下载完整带答案解析版《★放射医学(医学高级)》或《放射医学(医学高级):CT》题库
191、单项选择题 CT鉴别小脑星形细胞瘤与血管网状细胞瘤的主要依据是()
A.囊性变特点
B.有无壁结节
C.肿瘤钙化量
D.瘤周水肿
E.壁结节增强程度
点击查看答案
本题答案:微信扫下方二维码即可打包下载完整带答案解析版《★放射医学(医学高级)》或《放射医学(医学高级):CT》题库
192、单项选择题 下列关于CT检查的防护措施与原则,哪项错误()
A.掌握适应证
B.不随意加大扫描条件
C.减少不必要的重复扫描
D.尽可能扩大扫描野
E.应做好病人扫描区以外部位的遮盖
点击查看答案
本题答案:微信扫下方二维码即可打包下载完整带答案解析版《★放射医学(医学高级)》或《放射医学(医学高级):CT》题库
193、单项选择题
在肾上腺CT检查中,下列哪种说法是正确的()
A.左肾上腺常呈斜线状
B.右肾上腺常呈三角状
C.肾上腺侧支厚度小于5mm
D.肾上腺侧支面积小于100mm2
E.肾上腺侧支厚度小于10mm
点击查看答案
本题答案:微信扫下方二维码即可打包下载完整带答案解析版《★放射医学(医学高级)》或《放射医学(医学高级):CT》题库
194、单项选择题
女,66岁,全身性骨骼疼痛2月余,以骶部为重,结合影像学检查,最可能的诊断是()
A.骨转移瘤
B.骨髓瘤
C.骨质疏松
D.骨巨细胞瘤
E.骨囊肿
点击查看答案
本题答案:微信扫下方二维码即可打包下载完整带答案解析版《★放射医学(医学高级)》或《放射医学(医学高级):CT》题库
195、多项选择题 有关髋臼的解剖,正确的表述为()
A.由髂骨、坐骨和耻骨的体部共同合成
B.髂骨体构成髋臼的上2/5
C.坐骨体构成髋臼的下2/5
D.耻骨体构成髋臼的后下1/5
E.耻骨体构成髋臼的前下1/5
点击查看答案
本题答案:微信扫下方二维码即可打包下载完整带答案解析版《★放射医学(医学高级)》或《放射医学(医学高级):CT》题库
196、单项选择题
根据所提供的图像,最可能的诊断为()
A.肝癌
B.肝血管瘤
C.局灶性结节增生
D.肝硬化再生结节
E.以上都不是
点击查看答案
本题答案:微信扫下方二维码即可打包下载完整带答案解析版《★放射医学(医学高级)》或《放射医学(医学高级):CT》题库
197、单项选择题 颈椎椎管前后径的正常下限是()
A.15mm
B.14mm
C.13mm
D.12mm
E.11mm
点击查看答案
本题答案:微信扫下方二维码即可打包下载完整带答案解析版《★放射医学(医学高级)》或《放射医学(医学高级):CT》题库
198、多项选择题 肝包虫病CT表现()
A.囊肿边缘光整清晰
B.增强后有强化
C.囊内囊
D.水百合花征
E.可有钙化、感染
点击查看答案
本题答案:微信扫下方二维码即可打包下载完整带答案解析版《★放射医学(医学高级)》或《放射医学(医学高级):CT》题库
199、单项选择题
女性,60岁,意识不清1小时,血压:118/88mmHg,颅脑CT如下图,最可能的诊断为()
A.脑挫裂伤
B.脑室出血
C.脑出血
D.硬膜下出血
E.蛛网膜下腔出血
点击查看答案
本题答案:微信扫下方二维码即可打包下载完整带答案解析版《★放射医学(医学高级)》或《放射医学(医学高级):CT》题库
200、单项选择题 浸润型肺结核最常见的病理改变是()
A.肺腺泡结节
B.纤维组织增生
C.空洞形成
D.干酪性肺炎
E.结核球
点击查看答案
本题答案:微信扫下方二维码即可打包下载完整带答案解析版《★放射医学(医学高级)》或《放射医学(医学高级):CT》题库
201、单项选择题 下面哪项不是CT的扫描方法()
A.普通扫描
B.增强扫描
C.重叠扫描
D.动感扫描
E.目标扫描
点击查看答案
本题答案:微信扫下方二维码即可打包下载完整带答案解析版《★放射医学(医学高级)》或《放射医学(医学高级):CT》题库
202、单项选择题 中颅窝脑膜瘤是()
A.球形肿瘤
B.脑外肿瘤
C.良性肿瘤
D.恶性肿瘤
E.脑内肿瘤
点击查看答案
本题答案:微信扫下方二维码即可打包下载完整带答案解析版《★放射医学(医学高级)》或《放射医学(医学高级):CT》题库
203、单项选择题
女,15岁,右大腿下段不适,结合所提供的图像,最可能的诊断是()
A.纤维性骨皮质缺损
B.非骨化性骨纤维瘤
C.骨囊肿
D.良性骨肿瘤
E.骨结核
点击查看答案
本题答案:微信扫下方二维码即可打包下载完整带答案解析版《★放射医学(医学高级)》或《放射医学(医学高级):CT》题库
204、单项选择题 急性出血坏死型胰腺炎的并发症不包括()
A.蜂窝织炎
B.脓肿
C.假性囊肿
D.胰腺管扩张
E.门静脉系统血管闭塞和血栓形成
点击查看答案
本题答案:微信扫下方二维码即可打包下载完整带答案解析版《★放射医学(医学高级)》或《放射医学(医学高级):CT》题库
205、单项选择题 患者,男性,71岁。主诉:发作性头晕、恶心、面色苍白伴高血压半年,入院观察,当时测量血压180/80mmHg,上腹部CT示:双侧少量胸腔积液,右侧肾上腺区有直径5cm大小圆形稍高密度影,边缘清晰,内部密度不均,病灶侵及肝尾叶。最可能的诊断为()
A.肾上腺囊肿
B.肾上腺转移瘤
C.肾上腺髓样脂肪瘤
D.肾上腺腺瘤
E.嗜铬细胞瘤
点击查看答案
本题答案:微信扫下方二维码即可打包下载完整带答案解析版《★放射医学(医学高级)》或《放射医学(医学高级):CT》题库
206、单项选择题 外伤性CCF是指()
A.颈内动脉海绵窦段分支与海绵窦直接沟通
B.颈内动脉岩骨段与海绵窦直接沟通
C.颈内动脉海绵窦段与海绵窦直接沟通
D.颈内动脉岩骨段分支与海绵窦直接沟通
E.颈外动脉与海绵窦直接沟通
点击查看答案
本题答案:微信扫下方二维码即可打包下载完整带答案解析版《★放射医学(医学高级)》或《放射医学(医学高级):CT》题库
207、多项选择题 下列动静脉畸形(AVM)的CT征象哪些正确()
A.脑内血肿常呈不均匀高密度
B.血肿常不规则,可呈团块状
C.位置常较表浅,多见于额、顶、枕叶
D.血肿周围有脑水肿和占位表现
E.血肿附近有时可见钙化、小的软化灶
点击查看答案
本题答案:微信扫下方二维码即可打包下载完整带答案解析版《★放射医学(医学高级)》或《放射医学(医学高级):CT》题库
208、单项选择题 男,60岁,2个月前经CT诊断为右额顶急性硬膜下血肿现CT示病变范围增大,出现上部低密度,下部高密度平面,诊断()
A.硬膜下血肿部分吸收
B.慢性硬膜下血肿
C.亚急性硬膜下血肿
D.急性硬膜下血肿
E.慢性硬膜下血肿突发急性出血
点击查看答案
本题答案:微信扫下方二维码即可打包下载完整带答案解析版《★放射医学(医学高级)》或《放射医学(医学高级):CT》题库
209、单项选择题 下面对腹部CT扫描技术的描述错误的是()
A.患者仰卧,也可根据观察部位的需要采用侧卧位或俯卧位
B.摄取一个正位定位像
C.肝脏和脾脏以AM顶为扫描基线
D.胆囊和胰腺以肾门为扫描基线
E.腹膜后腔以肝门为扫描基线
点击查看答案
本题答案:微信扫下方二维码即可打包下载完整带答案解析版《★放射医学(医学高级)》或《放射医学(医学高级):CT》题库
210、单项选择题 输尿管结石与盆腔静脉石的鉴别要点是()
A.盆腔内高密度灶的CT值大小
B.输尿管扩张
C.输尿管扩张后突然截断闭塞
D.输尿管走形区高密度灶
E.高密度结石灶周围有软组织密度环包绕
点击查看答案
本题答案:微信扫下方二维码即可打包下载完整带答案解析版《★放射医学(医学高级)》或《放射医学(医学高级):CT》题库
211、多项选择题
女,38岁,左腰部胀痛不适,CT平扫+增强如图所示,下列说法正确的是()
A.平扫时可见左肾一类圆形囊性病灶
B.病灶边界清晰,表面光整
C.增强扫描皮质期和实质期该病灶均未见强化
D.考虑为左肾囊性肾癌
E.考虑为左肾囊肿
点击查看答案
本题答案:微信扫下方二维码即可打包下载完整带答案解析版《★放射医学(医学高级)》或《放射医学(医学高级):CT》题库
212、单项选择题
男,52岁,双眼突出2-3年,结合图像,最可能的诊断是()

A.淋巴瘤
B.肌炎型炎性假瘤
C.眼肌发育异常
D.眼型Graves病
E.眼眶血管畸型
点击查看答案
本题答案:微信扫下方二维码即可打包下载完整带答案解析版《★放射医学(医学高级)》或《放射医学(医学高级):CT》题库
213、单项选择题 下列“脑脓肿”影像表现中,哪项正确()
A.第1周,边缘清晰低密度影
B.第2周,水肿最明显,无强化
C.第3周,水肿最明显,有“气液面”
D.多数病灶可结节样强化
E.常为单发
点击查看答案
本题答案:微信扫下方二维码即可打包下载完整带答案解析版《★放射医学(医学高级)》或《放射医学(医学高级):CT》题库
214、单项选择题 先天性支气管囊肿与后天性囊肿的区别在于前者()
A.上叶多见
B.下叶多见
C.壁内无尘埃沉着
D.囊内无液平面
E.直径多小于3cm
点击查看答案
本题答案:微信扫下方二维码即可打包下载完整带答案解析版《★放射医学(医学高级)》或《放射医学(医学高级):CT》题库
215、单项选择题 关于肾结核肾脏外形改变的描述,错误的是()
A.若有肾盂、肾盏积水时,肾脏体积增大,且变形
B.病变早期肾脏形态饱满,体积增大
C.病变晚期肾体积缩小、变形
D.病变进展时可见局限性凸出
E.病变晚期呈弥漫性钙化
点击查看答案
本题答案:微信扫下方二维码即可打包下载完整带答案解析版《★放射医学(医学高级)》或《放射医学(医学高级):CT》题库
216、单项选择题
如图所示,根据这两个时相分析,最可能的诊断是()
A.肾淋巴瘤
B.急性肾盂肾炎
C.肾梗死
D.肾癌
E.肾囊肿
点击查看答案
本题答案:微信扫下方二维码即可打包下载完整带答案解析版《★放射医学(医学高级)》或《放射医学(医学高级):CT》题库
217、单项选择题 鼻窦粘膜液囊肿描述,正确的是()
A.系鼻窦开口阻塞后,窦内黏液潴积导致窦腔膨胀扩大
B.多见于青少年
C.不易侵及眼眶
D.囊壁稀薄不被造影剂增强
E.窦壁骨质增生
点击查看答案
本题答案:微信扫下方二维码即可打包下载完整带答案解析版《★放射医学(医学高级)》或《放射医学(医学高级):CT》题库
218、单项选择题
女,12岁,右腰部疼痛10天,尿检可见大量的脓细胞,CT平扫+增强如图所示,最可能的诊断是()
A.右肾脓肿
B.右侧感染性肾囊肿
C.右肾转移癌
D.右侧肾癌
E.右肾结核
点击查看答案
本题答案:微信扫下方二维码即可打包下载完整带答案解析版《★放射医学(医学高级)》或《放射医学(医学高级):CT》题库
219、单项选择题 下列哪项不属于脑脓肿与肿瘤中心坏死的鉴别点()
A.病灶内壁是否光整
B.强化的壁厚度是否均匀
C.壁的强化是否均匀
D.瘤周水肿的轻重
E.强化的环是否完整
点击查看答案
本题答案:微信扫下方二维码即可打包下载完整带答案解析版《★放射医学(医学高级)》或《放射医学(医学高级):CT》题库
220、单项选择题
患者中年,大便次数增多,结合图像,最可能的诊断为()
A.十二指肠癌
B.结肠肝曲癌
C.胰腺癌
D.直肠癌
E.以上都不是
点击查看答案
本题答案:微信扫下方二维码即可打包下载完整带答案解析版《★放射医学(医学高级)》或《放射医学(医学高级):CT》题库
221、多项选择题 关于嗜铬细胞瘤的诊断方法,正确的有()
A.肿瘤较大但密度均匀
B.CT检查是首选
C.临床符合者,应加扫肾门、腹主动脉旁
D.增强扫描肿瘤不强化
E.必要时可进行肾上腺髓质显像
点击查看答案
本题答案:微信扫下方二维码即可打包下载完整带答案解析版《★放射医学(医学高级)》或《放射医学(医学高级):CT》题库
222、单项选择题 超声发现肾实质内2cm占位,进一步检查应首选()
A.静脉尿路造影
B.尿路平片
C.同位素扫描
D.CT
E.血管造影
点击查看答案
本题答案:微信扫下方二维码即可打包下载完整带答案解析版《★放射医学(医学高级)》或《放射医学(医学高级):CT》题库
223、单项选择题
男,44岁,患乙肝多年,现腹痛,腹胀,AFP增高,消瘦、乏力,影像检查如图,最可能的诊断是()
A.肝血管瘤
B.肝腺瘤
C.肝转移癌
D.肝硬化、肝癌
E.肝局灶性结节增生
点击查看答案
本题答案:微信扫下方二维码即可打包下载完整带答案解析版《★放射医学(医学高级)》或《放射医学(医学高级):CT》题库
224、单项选择题
男,5岁,有尿路感染伴急性发热,CT增强扫描如图所示,最可能的诊断是()
A.左侧肾炎
B.左侧肾脓肿
C.左侧急性肾盂肾炎
D.左侧黄色肉芽肿性肾盂肾炎
E.左侧慢性肾盂肾炎
点击查看答案
本题答案:微信扫下方二维码即可打包下载完整带答案解析版《★放射医学(医学高级)》或《放射医学(医学高级):CT》题库
225、单项选择题 “结核性脑膜炎”CT征象,下列描述哪项错误()
A.梗阻性脑积水表现
B.增强,基底池、脑表面强化
C.脑内散在粟粒状病灶
D.CT平扫难以显示脑内病灶
E.平扫,基底池、大脑外侧裂密度增高
点击查看答案
本题答案:微信扫下方二维码即可打包下载完整带答案解析版《★放射医学(医学高级)》或《放射医学(医学高级):CT》题库
226、单项选择题 有关窗技术的理解,下列哪个不妥()
A.利用窗技术,将人体组织分为的2000个分度,调整到人眼所能辨别的16个灰阶中
B.窗位是指窗宽上限、下限CT值的平均数
C.窗位、窗中心是指一个概念
D.为显示不同组织影像,应在规范的范围调整
E.窗口技术调整的目的,是为了拍摄出一张对比良好的照片
点击查看答案
本题答案:微信扫下方二维码即可打包下载完整带答案解析版《★放射医学(医学高级)》或《放射医学(医学高级):CT》题库
227、单项选择题 横轴位鼻咽腔CT图像表现为双梯形的层面位于()
A.咽隐窝水平
B.软腭上水平
C.咽旁间隙水平
D.硬腭水平
E.咽鼓管隆突水平
点击查看答案
本题答案:微信扫下方二维码即可打包下载完整带答案解析版《★放射医学(医学高级)》或《放射医学(医学高级):CT》题库
228、单项选择题
结合所示图像,最可能的诊断是()
A.肾细胞癌
B.移行上皮细胞癌
C.肾静脉栓塞
D.急性肾盂肾炎
E.肾梗死
点击查看答案
本题答案:微信扫下方二维码即可打包下载完整带答案解析版《★放射医学(医学高级)》或《放射医学(医学高级):CT》题库
229、单项选择题 70岁,女性,间断性咳嗽10余年,近来加重,有少量粘痰,CT扫描示双肺纹理增多,胸膜下区纹理更明显,呈网格状,结构欠清,肺内未见明显肿块影,最可能的诊断是()
A.慢性支气管炎
B.支气管扩张
C.间质性肺炎
D.特发性间质纤维化
E.矽肺
点击查看答案
本题答案:微信扫下方二维码即可打包下载完整带答案解析版《★放射医学(医学高级)》或《放射医学(医学高级):CT》题库
230、单项选择题 下列哪项不符合胆管结石的CT表现()
A.胆管内环行或圆形致密影
B.中心密度高,周围低密度形成“靶征”
C.梗阻上方胆总管扩张
D.增强扫描见胆总管强化影
E.可伴有肝内胆管和胆囊结石
点击查看答案
本题答案:微信扫下方二维码即可打包下载完整带答案解析版《★放射医学(医学高级)》或《放射医学(医学高级):CT》题库
231、单项选择题 男,52岁,呼吸困难伴咳嗽1年余,逐渐加重,无咳痰,轻度杵状指。HRCT示双侧中下肺毛玻璃状斑片影伴细网状影,最可能的诊断是()
A.支气管肺炎
B.特发性肺间质纤维化
C.肺炎型肺泡癌
D.过敏性肺炎
E.成人呼吸窘迫综合征
点击查看答案
本题答案:微信扫下方二维码即可打包下载完整带答案解析版《★放射医学(医学高级)》或《放射医学(医学高级):CT》题库
232、单项选择题 男性,40岁,左眼胀痛,眼球外凸3个月余,体检时发现低头时左眼球外凸加重。最有可能的诊断为()
A.眶内炎性假瘤
B.眶内皮样囊肿
C.眶内血管瘤
D.眶内神经鞘瘤
E.眶内脑膜瘤
点击查看答案
本题答案:微信扫下方二维码即可打包下载完整带答案解析版《★放射医学(医学高级)》或《放射医学(医学高级):CT》题库
233、单项选择题 生殖细胞瘤最常发生部位是()
A.四叠体区
B.松果体区
C.垂体漏斗部
D.基底节区
E.三脑室底部
点击查看答案
本题答案:微信扫下方二维码即可打包下载完整带答案解析版《★放射医学(医学高级)》或《放射医学(医学高级):CT》题库
234、单项选择题 关于“颅内错构瘤”,下列描述错误的是()
A.2岁以下男孩多见,常有性早熟
B.鞍上圆形占位,多≤2cm
C.CT平扫密度与脑组织相仿
D.增强扫描明显强化
E.MRI各序列信号特点与脑灰质类似
点击查看答案
本题答案:微信扫下方二维码即可打包下载完整带答案解析版《★放射医学(医学高级)》或《放射医学(医学高级):CT》题库
235、单项选择题 CT图像中,肿瘤的直接征象不包括()
A.病灶大小
B.病灶密度
C.病灶边缘
D.病灶占位效应
E.病灶增强程度
点击查看答案
本题答案:微信扫下方二维码即可打包下载完整带答案解析版《★放射医学(医学高级)》或《放射医学(医学高级):CT》题库
236、单项选择题 CT诊断前列腺增生的标准是()
A.超过耻骨联合上缘
B.超过耻骨联合上缘10mm
C.超过耻骨联合上缘15mm
D.超过耻骨联合上缘20~30mm
E.超过耻骨联合上缘30~40mm
点击查看答案
本题答案:微信扫下方二维码即可打包下载完整带答案解析版《★放射医学(医学高级)》或《放射医学(医学高级):CT》题库
237、单项选择题 关于Chiari畸形的描述,错误的是()
A.后脑先天发育异常
B.小脑扁桃体过长、变形,经枕骨大孔伸入椎管内
C.延髓及第四脑室亦向下延伸
D.常伴发脑积水与脊柱裂
E.ChiariI型常伴有脊髓脊膜膨出
点击查看答案
本题答案:微信扫下方二维码即可打包下载完整带答案解析版《★放射医学(医学高级)》或《放射医学(医学高级):CT》题库
238、单项选择题 关于增强扫描腹部脏器的CT检查,错误的是()
A.增强扫描通常在平扫后进行
B.采用静脉内团注法
C.对比剂用量60~80ml,流速2~3ml/s
D.肝脏、脾脏增强通常采用三期扫描
E.肝动脉期延迟扫描时间60秒
点击查看答案
本题答案:微信扫下方二维码即可打包下载完整带答案解析版《★放射医学(医学高级)》或《放射医学(医学高级):CT》题库
239、单项选择题 肝转移癌少血供者常见表现为()
A.病理血管
B.供血血管增粗
C.血管受压弯曲
D.肿瘤染色
E.动静脉瘘
点击查看答案
本题答案:微信扫下方二维码即可打包下载完整带答案解析版《★放射医学(医学高级)》或《放射医学(医学高级):CT》题库
240、单项选择题 诊断鼻窦霉菌时,下列哪种检查方法最好()
A.X线平片
B.MRI平扫
C.CT增强扫描
D.CT平扫
E.B超
点击查看答案
本题答案:微信扫下方二维码即可打包下载完整带答案解析版《★放射医学(医学高级)》或《放射医学(医学高级):CT》题库
241、单项选择题 关于“脑膜瘤”的病理、影像描述,下列哪项不对()
A.是最常见的脑外肿瘤
B.易引起颅骨增厚,破坏,变薄
C.不发生于脑室内
D.脑膜中动脉供血为主,脉络膜动脉次之
E.囊变、坏死与肿瘤良恶性无关
点击查看答案
本题答案:微信扫下方二维码即可打包下载完整带答案解析版《★放射医学(医学高级)》或《放射医学(医学高级):CT》题库
242、单项选择题 下列肿瘤中,常出现囊状扩张型骨转移的是()
A.甲状腺癌
B.肺癌
C.胃癌
D.直肠癌
E.宫颈癌
点击查看答案
本题答案:微信扫下方二维码即可打包下载完整带答案解析版《★放射医学(医学高级)》或《放射医学(医学高级):CT》题库
243、单项选择题 骨关节CT检查,一般采用()
A.平扫加增强扫描
B.仰卧患侧横轴位
C.定位像代替平片
D.俯卧双侧横轴位
E.骨窗和软组织窗并双侧骨关节对比观察
点击查看答案
本题答案:微信扫下方二维码即可打包下载完整带答案解析版《★放射医学(医学高级)》或《放射医学(医学高级):CT》题库
244、单项选择题 关于颅咽管瘤的病理特征,下列描述不正确的是()
A.80%为囊性
B.20%为实性
C.85%有钙化
D.囊内含胆固醇结晶液体或浓稠脱屑物
E.肿瘤边界模糊不清
点击查看答案
本题答案:微信扫下方二维码即可打包下载完整带答案解析版《★放射医学(医学高级)》或《放射医学(医学高级):CT》题库
245、单项选择题 耳部冠状位扫描,患者的体位是()
A.坐位
B.左侧卧位
C.右侧卧位
D.俯卧或仰卧
E.侧斜卧位
点击查看答案
本题答案:微信扫下方二维码即可打包下载完整带答案解析版《★放射医学(医学高级)》或《放射医学(医学高级):CT》题库
246、单项选择题 中年女性,右上腹隐痛半年,伴黄疸2月。肝内胆管轻度扩张,正常胆囊未显示。其局部见与肝密度相似的软组织肿块影,肿块轻度增强,最可能的诊断是()
A.急性胆囊炎
B.慢性胆囊炎
C.胆囊结石
D.肝癌
E.胆囊癌
点击查看答案
本题答案:微信扫下方二维码即可打包下载完整带答案解析版《★放射医学(医学高级)》或《放射医学(医学高级):CT》题库
247、单项选择题 有关脑动静脉畸形CT表现的描述,下列哪项是错误的()
A.约80%平扫无阳性征象
B.一般无占位表现
C.一般不出现周围水肿现象
D.表现为混杂密度影
E.约50%的动静脉畸形合并出血
点击查看答案
本题答案:微信扫下方二维码即可打包下载完整带答案解析版《★放射医学(医学高级)》或《放射医学(医学高级):CT》题库
248、单项选择题
男,36岁,头痛,CT检查,最可能的诊断为()
A.透明隔囊肿
B.血管母细胞瘤
C.胼胝体发育不良
D.第五脑室
E.脑软化灶
点击查看答案
本题答案:微信扫下方二维码即可打包下载完整带答案解析版《★放射医学(医学高级)》或《放射医学(医学高级):CT》题库
249、单项选择题
男,58岁,头痛、恶心、行走不稳,肺和脑CT检查如图,最可能的诊断为()
A.星形细胞瘤
B.脑脓肿
C.肺癌脑转移
D.脑膜瘤
E.脑梗死
点击查看答案
本题答案:微信扫下方二维码即可打包下载完整带答案解析版《★放射医学(医学高级)》或《放射医学(医学高级):CT》题库
250、单项选择题 女,56岁,突感眩晕呕吐,言语不清。查:声音嘶哑,吞咽困难,左眼裂,瞳孔变小,左面部和右半身痛觉减退,左侧指鼻试验不准。
为了明确诊断,最有意义的检查为()
A.颅脑CT
B.颈动脉多普勒检查
C.颅脑X线平片
D.脑血管造影
E.腰穿
点击查看答案
本题答案:微信扫下方二维码即可打包下载完整带答案解析版《★放射医学(医学高级)》或《放射医学(医学高级):CT》题库
251、单项选择题
男,54岁,发热、胸痛1月余,继往有酗酒史,结合CT图像,最可能的诊断是()
A.脓胸
B.肺脓肿
C.大叶性肺炎
D.肺囊虫病
E.肺癌
点击查看答案
本题答案:微信扫下方二维码即可打包下载完整带答案解析版《★放射医学(医学高级)》或《放射医学(医学高级):CT》题库
252、单项选择题
男,23岁,近日感头痛、头晕,CT检查如图,最可能的诊断为()
A.脑萎缩
B.脑室出血
C.正常颅脑
D.脑水肿
E.胶质瘤
点击查看答案
本题答案:微信扫下方二维码即可打包下载完整带答案解析版《★放射医学(医学高级)》或《放射医学(医学高级):CT》题库
253、单项选择题 关于原发性硬化性胆管炎,下列观点错误的是()
A.肝内外胆管无明显扩张
B.反复发作性黄疸、发热
C.胆管造影示“枯枝征”
D.只影响肝外胆管
E.常见于溃疡性结肠炎、克罗恩病患者
点击查看答案
本题答案:微信扫下方二维码即可打包下载完整带答案解析版《★放射医学(医学高级)》或《放射医学(医学高级):CT》题库
254、单项选择题 “罕见于成人”的脑肿瘤是()
A.胶质瘤
B.转移瘤
C.垂体瘤
D.髓母细胞瘤
E.脑膜瘤
点击查看答案
本题答案:微信扫下方二维码即可打包下载完整带答案解析版《★放射医学(医学高级)》或《放射医学(医学高级):CT》题库
255、单项选择题 注入对比剂后到扫描延迟时间最长的是()
A.氙气增强CT
B.颅脑增强CT
C.关节造影CT
D.肝脏增强CT
E.脊髓造影CT
点击查看答案
本题答案:微信扫下方二维码即可打包下载完整带答案解析版《★放射医学(医学高级)》或《放射医学(医学高级):CT》题库
256、单项选择题
女,17岁,发现左侧颈部包块半年余,PE:病灶质软,境界不清,无压痛,CT如图所示,最可能的诊断是()
A.颈部脂肪瘤
B.颈部畸胎瘤
C.颈部错构瘤
D.颈部淋巴管瘤
E.颈部陈旧性血肿
点击查看答案
本题答案:微信扫下方二维码即可打包下载完整带答案解析版《★放射医学(医学高级)》或《放射医学(医学高级):CT》题库
257、多项选择题 心肌梗死的CT主要表现有()
A.局部心肌变薄
B.局部心肌增厚
C.阶段性室壁收缩期增厚率下降
D.阶段性室壁收缩期增厚率增加
E.室壁运动异常
点击查看答案
本题答案:微信扫下方二维码即可打包下载完整带答案解析版《★放射医学(医学高级)》或《放射医学(医学高级):CT》题库
258、单项选择题 结节性硬化的特征性钙化结节发生在()
A.侧脑室周围
B.第三、四脑室周围
C.皮层下皮质
D.皮层
E.脑沟、脑室
点击查看答案
本题答案:微信扫下方二维码即可打包下载完整带答案解析版《★放射医学(医学高级)》或《放射医学(医学高级):CT》题库
259、单项选择题 关于过敏性肺炎,下列哪项不是其诊断要点()
A.症状轻或无症状
B.血中嗜酸性粒细胞增多
C.病灶具有迁移性
D.病灶易形成空洞
E.病变短期内吸收
点击查看答案
本题答案:微信扫下方二维码即可打包下载完整带答案解析版《★放射医学(医学高级)》或《放射医学(医学高级):CT》题库
260、单项选择题
根据所提供的图像,最可能的诊断是()
A.淋巴瘤
B.腹膜后纤维化
C.胰腺癌
D.肝癌
E.以上都不是
点击查看答案
本题答案:微信扫下方二维码即可打包下载完整带答案解析版《★放射医学(医学高级)》或《放射医学(医学高级):CT》题库
261、单项选择题
女,24岁,发热畏寒数天,右眼睛疼痛,PE:右眼睑肿胀,结膜充血,伴右眼突出,CT如图所示,最可能的诊断是()
A.Coats病
B.炎性假瘤
C.淋巴瘤
D.眼眶蜂窝织炎
E.眼型Graves病
点击查看答案
本题答案:微信扫下方二维码即可打包下载完整带答案解析版《★放射医学(医学高级)》或《放射医学(医学高级):CT》题库
262、单项选择题
女性,21岁,上切牙后方发现一囊性突起1年,无明显疼痛。CT表现如下图所示,最可能的诊断为()
A.上颌骨含牙囊肿
B.上颌骨造釉细胞瘤
C.牙根囊肿并感染
D.腭正中囊肿
E.始基囊肿
点击查看答案
本题答案:微信扫下方二维码即可打包下载完整带答案解析版《★放射医学(医学高级)》或《放射医学(医学高级):CT》题库
263、单项选择题
男,67岁,呼吸困难半月余,结合影像学检查,最可能的诊断是()
A.胸骨后甲状腺肿
B.淋巴瘤
C.间皮囊肿
D.纵隔畸胎瘤
E.胸腺瘤
点击查看答案
本题答案:微信扫下方二维码即可打包下载完整带答案解析版《★放射医学(医学高级)》或《放射医学(医学高级):CT》题库
264、单项选择题 关于CT扫描方法的叙述错误的是()
A.低剂量扫描:指在保证诊断要求的前提下,降低螺旋CT的扫描参数,降低了病人X线的剂量
B.动态扫描:指静脉团注对比剂后,在极短的时间内对某一组织器官进行快速连续扫描,一边扫描一边重建图像的方法
C.目标扫描:又称靶扫描或放大扫描,是对兴趣区进行扫描的一种方法
D.延迟扫描:指注射对比剂后,等待数分钟,甚至数小时后再行扫描的一种CT检查方法
E.重叠扫描:指层间距小于层厚,使相邻的扫描层面部分重叠的CT扫描
点击查看答案
本题答案:微信扫下方二维码即可打包下载完整带答案解析版《★放射医学(医学高级)》或《放射医学(医学高级):CT》题库
265、单项选择题 对该病术前评价和术后随访的最佳方法是()
A.X线平片
B.DSA
C.MSCTA
D.超声成像
E.MRI
点击查看答案
本题答案:微信扫下方二维码即可打包下载完整带答案解析版《★放射医学(医学高级)》或《放射医学(医学高级):CT》题库
266、单项选择题 正常生理性基底节钙化主要分布在()
A.尾状核头部
B.尾状核体部
C.壳核
D.红核
E.苍白球
点击查看答案
本题答案:微信扫下方二维码即可打包下载完整带答案解析版《★放射医学(医学高级)》或《放射医学(医学高级):CT》题库
267、单项选择题 下列哪项不是肺气肿分型()
A.全小叶型
B.泡性气肿型
C.小叶中心型
D.小叶间隔旁型
E.瘢痕旁型
点击查看答案
本题答案:微信扫下方二维码即可打包下载完整带答案解析版《★放射医学(医学高级)》或《放射医学(医学高级):CT》题库
268、单项选择题 不属于良性星形细胞瘤征象的是()
A.位置表浅
B.轻度增强
C.轻度水肿
D.钙化
E.有出血,坏死
点击查看答案
本题答案:微信扫下方二维码即可打包下载完整带答案解析版《★放射医学(医学高级)》或《放射医学(医学高级):CT》题库
269、单项选择题
该患儿肺门增大的团块为()
A.腺瘤
B.转移瘤
C.肺动脉瘤
D.KaWaski病
E.以上都不是
点击查看答案
本题答案:微信扫下方二维码即可打包下载完整带答案解析版《★放射医学(医学高级)》或《放射医学(医学高级):CT》题库
270、单项选择题 髂动脉狭窄经皮穿刺动脉成形术的适应症是()
A.髂动脉闭塞并严重钙化
B.髂动脉串珠状多发性长段狭窄
C.髂动脉狭窄并肢体溃疡形成
D.髂动脉狭窄但无血流动力学意义
E.髂动脉附近存在动脉瘤
点击查看答案
本题答案:微信扫下方二维码即可打包下载完整带答案解析版《★放射医学(医学高级)》或《放射医学(医学高级):CT》题库
271、单项选择题 CT显示颈前三角区囊性占位,可见钙化,囊壁有轻度增强,颈动脉受压与颈内静脉分离,最可能的诊断为()
A.动脉体瘤
B.鳃裂囊肿
C.神经鞘瘤
D.颈淋巴瘤
E.颌下腺混合瘤
点击查看答案
本题答案:微信扫下方二维码即可打包下载完整带答案解析版《★放射医学(医学高级)》或《放射医学(医学高级):CT》题库
272、单项选择题 下面关于颈部肿瘤的描述中,不正确的是()
A.颈动脉体瘤位于颈总动脉分叉处颈动脉间隙,可导致颈内外动脉移位,呈杯口状扩大
B.颈部海绵状血管瘤多见于婴幼儿,常见于皮下或颈深部,可单发或多发
C.若为神经鞘瘤,CT可显示囊性变和钙化,可以强化
D.颈部恶性肿瘤中80%的为转移瘤,其中80%来源于头颈部恶性肿瘤
E.由于神经纤维瘤血供丰富,可显著强化,藉此易与神经鞘瘤鉴别
点击查看答案
本题答案:微信扫下方二维码即可打包下载完整带答案解析版《★放射医学(医学高级)》或《放射医学(医学高级):CT》题库
273、单项选择题 老年患者,心后区发现囊性肿物,其内可见少量气液平面,提示可能性较大的诊断()
A.后纵隔神经源性肿瘤
B.肠源性囊肿
C.肺内肿瘤
D.食管平滑肌瘤
E.食管裂孔疝
点击查看答案
本题答案:微信扫下方二维码即可打包下载完整带答案解析版《★放射医学(医学高级)》或《放射医学(医学高级):CT》题库
274、单项选择题
男,70岁,上腹痛不适伴黄疸1个月余,AFP阴性。肝脏增强CT扫描如下图所示,该患者最可能的诊断为()
A.肝细胞癌
B.肝脓肿
C.慢性胆管炎
D.胆管细胞癌
E.肝血管瘤
点击查看答案
本题答案:微信扫下方二维码即可打包下载完整带答案解析版《★放射医学(医学高级)》或《放射医学(医学高级):CT》题库
275、单项选择题 CT增强扫描,脏器组织被增强的原因是()
A.对比剂在血管内与血红蛋白结合进入细胞内
B.对比剂进入血管和细胞外腔间隙
C.对比剂在血管内与红细胞结合进入细胞内
D.对比剂进入血管,因渗透压高进入细胞
E.对比剂随血液进入脏器的空腔内
点击查看答案
本题答案:微信扫下方二维码即可打包下载完整带答案解析版《★放射医学(医学高级)》或《放射医学(医学高级):CT》题库
276、单项选择题 男,41岁,颈部持续性疼痛1月余,夜间加重,3月前确诊为鼻咽癌,结合影像学检查,最可能的诊断是()
A.椎体压缩性骨折
B.脊椎结核
C.脊椎转移瘤
D.化脓性脊柱炎
E.骨髓瘤
点击查看答案
本题答案:微信扫下方二维码即可打包下载完整带答案解析版《★放射医学(医学高级)》或《放射医学(医学高级):CT》题库
277、单项选择题 关于胆管结石的CT表现,下列哪项是错误的()
A.出现靶征或新月征
B.胆管内环型或圆形致密影
C.扩张的胆总管逐渐变细中断,未见肿块
D.胆管结石只含有胆固醇成分
E.同时可以有肝内外胆管结石和胆囊结石
点击查看答案
本题答案:微信扫下方二维码即可打包下载完整带答案解析版《★放射医学(医学高级)》或《放射医学(医学高级):CT》题库
278、单项选择题 CT扫描的优点不包括()
A.密度分辨力高
B.极限分辨力高
C.可作定量分析
D.真正的断面图像
E.图像无层面以外结构的干扰
点击查看答案
本题答案:微信扫下方二维码即可打包下载完整带答案解析版《★放射医学(医学高级)》或《放射医学(医学高级):CT》题库
279、单项选择题 有关腰椎椎管CT检查和测量,错误的是()
A.前后径指测量椎体后缘中点至棘突基底部中线部位的距离
B.横径指测量两椎弓根内缘之间距离
C.前后径正常范围在15~20mm
D.横径正常范围在20~30mm
E.CT增强扫描较平扫更精确
点击查看答案
本题答案:微信扫下方二维码即可打包下载完整带答案解析版《★放射医学(医学高级)》或《放射医学(医学高级):CT》题库
280、多项选择题 急性咽部脓肿常表现为()
A.椎前软组织一致性肿胀
B.咽后壁软组织呈弧形膨隆
C.可见骨质破坏,椎间隙变窄
D.生理曲度变直或后突
E.有时表现为环状强化
点击查看答案
本题答案:微信扫下方二维码即可打包下载完整带答案解析版《★放射医学(医学高级)》或《放射医学(医学高级):CT》题库
281、单项选择题 女,28岁,产后突发剧烈头疼,视物模糊,一侧肢体轻偏瘫。CT平扫示双侧脑白质大片低密度改变,皮层斑点状出血,脑室变小。最可能的诊断为()
A.静脉窦血栓形成
B.脑梗死
C.出血性脑梗死
D.多发性硬化活动期
E.脑炎
点击查看答案
本题答案:微信扫下方二维码即可打包下载完整带答案解析版《★放射医学(医学高级)》或《放射医学(医学高级):CT》题库
282、单项选择题 星形细胞瘤据其组成的细胞类型可分四型,不属于其类型为()
A.纤维细胞型
B.毛发细胞型
C.原浆细胞型
D.肥胖细胞型
E.生殖细胞型
点击查看答案
本题答案:微信扫下方二维码即可打包下载完整带答案解析版《★放射医学(医学高级)》或《放射医学(医学高级):CT》题库
283、单项选择题 患者,女,32岁,右下颌骨膨隆。CT示下颌角有一分叶状囊实性肿块,大小2.5cm×3cm。最大可能是()
A.骨肉瘤
B.含齿囊肿
C.右上颌窦癌
D.软骨瘤
E.造釉细胞瘤
点击查看答案
本题答案:微信扫下方二维码即可打包下载完整带答案解析版《★放射医学(医学高级)》或《放射医学(医学高级):CT》题库
284、单项选择题 关于脾转移癌的说法,错误的是()
A.单发或多发低密度区
B.转移途径为血行和种植性转移
C.偶见钙化
D.脾血管丰富转移癌多见
E.脾转移癌多为少血供肿瘤
点击查看答案
本题答案:微信扫下方二维码即可打包下载完整带答案解析版《★放射医学(医学高级)》或《放射医学(医学高级):CT》题库
285、单项选择题 脑转移瘤最常见的部位是()
A.大脑灰质
B.大脑白质
C.灰白质交界
D.小脑半球
E.脑干和脑膜
点击查看答案
本题答案:微信扫下方二维码即可打包下载完整带答案解析版《★放射医学(医学高级)》或《放射医学(医学高级):CT》题库
286、多项选择题 下列关于心室长轴面的描述,哪些是正确的()
A.电子束CT可直接显示心室长轴面
B.多层螺旋CT通道容积数据的重组获得心室长轴面
C.多层螺旋CT也可通过多时相重建获得心脏运动的信息
D.长轴面有利于显示瓣膜、左室流出道及心尖
E.常用层面包括升主动脉根部层面、左室流出道层面和左心室膈面
点击查看答案
本题答案:微信扫下方二维码即可打包下载完整带答案解析版《★放射医学(医学高级)》或《放射医学(医学高级):CT》题库
287、多项选择题 肝静脉阻塞(Budd-Chiari)综合征CT表现()
A.肝弥漫性肿大
B.可有肝区域性密度不均
C.肝段下腔静脉阻塞
D.常见肝静脉扩张
E.增强后可见脐静脉增粗
点击查看答案
本题答案:微信扫下方二维码即可打包下载完整带答案解析版《★放射医学(医学高级)》或《放射医学(医学高级):CT》题库
288、单项选择题 女,40岁,腹部不适。CT示胰腺略小,胰管轻度扩张,可见较多细微钙化灶,最有可能的诊断是()
A.胰腺结核
B.慢性胰腺炎
C.急性胰腺炎
D.胰腺癌
E.动脉硬化钙化
点击查看答案
本题答案:微信扫下方二维码即可打包下载完整带答案解析版《★放射医学(医学高级)》或《放射医学(医学高级):CT》题库
289、单项选择题 青年女性,盆腔内囊实性肿块,以囊性为主,含脂肪和钙化。最可能的诊断是()
A.囊性畸胎瘤
B.卵巢囊肿
C.滤泡囊肿
D.卵巢囊腺瘤
E.卵巢囊腺癌
点击查看答案
本题答案:微信扫下方二维码即可打包下载完整带答案解析版《★放射医学(医学高级)》或《放射医学(医学高级):CT》题库
290、单项选择题 急性化脓性骨髓炎主要感染途径是()
A.开放性骨折直接感染
B.关节感染直接蔓延
C.医源性
D.血源性感染
E.以上都不是
点击查看答案
本题答案:微信扫下方二维码即可打包下载完整带答案解析版《★放射医学(医学高级)》或《放射医学(医学高级):CT》题库
291、单项选择题 关于听神经瘤的CT表现,下列哪项说法错误()
A.常发生梗阻性脑积水
B.增强后明显强化
C.同侧岩骨骨质增生
D.同侧桥小脑角池增宽
E.可以双侧发病
点击查看答案
本题答案:微信扫下方二维码即可打包下载完整带答案解析版《★放射医学(医学高级)》或《放射医学(医学高级):CT》题库
292、单项选择题 视神经鞘膜常发生的病变为()
A.胶质瘤
B.神经鞘瘤
C.脑膜瘤
D.炎症
E.神经纤维瘤
点击查看答案
本题答案:微信扫下方二维码即可打包下载完整带答案解析版《★放射医学(医学高级)》或《放射医学(医学高级):CT》题库
293、单项选择题 正常侧隐窝的前后径不小于()
A.2mm
B.3mm
C.4mm
D.5mm
E.6mm
点击查看答案
本题答案:微信扫下方二维码即可打包下载完整带答案解析版《★放射医学(医学高级)》或《放射医学(医学高级):CT》题库
294、单项选择题 有癫痫史,CT示脑内多发囊性病灶,无灶周水肿,同时可见多发钙化灶,查体发现皮下多发结节,最可能的诊断为()
A.脑囊虫病
B.结核性脑膜炎
C.转移瘤
D.化脓性脑膜炎
E.结核瘤
点击查看答案
本题答案:微信扫下方二维码即可打包下载完整带答案解析版《★放射医学(医学高级)》或《放射医学(医学高级):CT》题库
295、单项选择题
女,35岁,咳嗽,咳痰,发热3月余,胸部CT如图,最可能的诊断为()
A.类风湿肺炎
B.红斑狼疮性肺炎
C.间质性肺炎
D.肺结节病
E.肺部感染
点击查看答案
本题答案:微信扫下方二维码即可打包下载完整带答案解析版《★放射医学(医学高级)》或《放射医学(医学高级):CT》题库
296、单项选择题 肾上腺区示有含脂肪性肿块,边缘整齐,内有钙化,CT示有轻度强化,应首先诊断为()
A.肾上腺腺瘤
B.血管平滑肌脂肪瘤
C.肾上腺纤维瘤
D.髓样脂肪瘤
E.脂肪瘤
点击查看答案
本题答案:微信扫下方二维码即可打包下载完整带答案解析版《★放射医学(医学高级)》或《放射医学(医学高级):CT》题库
297、多项选择题 关于肾血管平滑肌脂肪瘤,叙述错误的是()
A.肿瘤含血管、横纹肌、脂肪成分
B.肿瘤可发生破裂出血
C.为独立的肿瘤,不属于其他综合征
D.肿瘤多以脂肪为基本成分
E.肿瘤内均会显示脂肪成分
点击查看答案
本题答案:微信扫下方二维码即可打包下载完整带答案解析版《★放射医学(医学高级)》或《放射医学(医学高级):CT》题库
298、单项选择题
男性,70岁。行腹部CT增强扫描,发现腹主动脉异常如下图。

对该病术前评价和术后随访的最佳方法是()
A.X线平片
B.DSA
C.MSCTA
D.超声成像
E.MRI
点击查看答案
本题答案:微信扫下方二维码即可打包下载完整带答案解析版《★放射医学(医学高级)》或《放射医学(医学高级):CT》题库
299、单项选择题 下面对胸部CT扫描技术叙述正确的是()
A.患者仰卧、头先进,两臂放在身体侧边
B.指示灯侧面定位线对正中矢状面
C.驼背病人可改为俯卧位
D.常规扫描一个胸部侧位像做定位像
E.扫描范围从肺尖开始,一直扫描到膈顶
点击查看答案
本题答案:微信扫下方二维码即可打包下载完整带答案解析版《★放射医学(医学高级)》或《放射医学(医学高级):CT》题库
300、单项选择题 下列关于肝静脉的描述错误的是()
A.肝静脉包括肝左、中、右静脉
B.肝静脉包括肝左、中、右静脉,肝右后静脉和尾状叶静脉
C.肝左、中、右静脉出肝处称为第二肝门
D.肝右后下静脉和尾状叶静脉出肝处称为第三肝门
E.第二和第三肝门是相互移行的
点击查看答案
本题答案:微信扫下方二维码即可打包下载完整带答案解析版《★放射医学(医学高级)》或《放射医学(医学高级):CT》题库
题库试看结束后
微信扫下方二维码即可打包下载完整版《
★放射医学(医学高级)》题库
手机用户可保存上方二维码到手机中,在微信扫一扫中右上角选择“从相册选取二维码”即可。
题库试看结束后
微信扫下方二维码即可打包下载完整版《
放射医学(医学高级):CT》题库,
分栏、分答案解析排版、小字体方便打印背记!经广大会员朋友实战检验,此方法考试通过率大大提高!绝对是您考试过关的不二利器!
手机用户可
保存上方二维码到手机中,在
微信扫一扫中右上角选择“从
相册选取二维码”即可。