手机用户可
保存上方二维码到手机中,在
微信扫一扫中右上角选择“从
相册选取二维码”即可。
1、多项选择题 属于细胞毒性T细胞表型的肿瘤有()。
A.T淋巴母细胞性淋巴瘤
B.肠病型T细胞淋巴瘤
C.皮下脂膜炎样T细胞淋巴瘤
D.间变大细胞淋巴瘤
E.蕈样霉菌病
点击查看答案
本题答案:微信扫下方二维码即可打包下载完整带答案解析版《★病理学(医学高级)》或《病理学(医学高级):病理学综合》题库
2、单项选择题 下述描述中,哪项不符合慢性粒细胞白血病()。
A.约90%出现Ph染色体
B.周围血白细胞量明显增高
C.骨髓大量原始粒细胞
D.脾大
E.肝大
点击查看答案
本题答案:微信扫下方二维码即可打包下载完整带答案解析版《★病理学(医学高级)》或《病理学(医学高级):病理学综合》题库
3、多项选择题 分化良好型脂肪肉瘤的亚型包括()。
A.脂肪瘤样脂肪肉瘤
B.炎症性脂肪肉瘤
C.硬化性脂肪肉瘤
D.黏液样脂肪肉瘤
E.梭形细胞脂肪肉瘤
点击查看答案
本题答案:微信扫下方二维码即可打包下载完整带答案解析版《★病理学(医学高级)》或《病理学(医学高级):病理学综合》题库
4、单项选择题 患者女,32岁,以往月经规则,末次月经5月1日,5月18日性生活后口服1颗紧急避孕药,6月10日开始少量阴道出血,持续淋漓未净,无组织物排出。6月18日下腹隐痛1d就诊。
最后诊断首先考虑为()。
A.早期完全流产
B.不全流产
C.左输卵管妊娠
D.月经失调
E.滋养细胞疾病
F.难以明确诊断
点击查看答案
本题答案:微信扫下方二维码即可打包下载完整带答案解析版《★病理学(医学高级)》或《病理学(医学高级):病理学综合》题库
5、单项选择题 有关梅毒,哪项不正确()。
A.是由梅毒螺旋体引起的生殖系统病变
B.梅毒螺旋体离体干燥后1~2小时即可死亡
C.可经胎盘屏障,传染给胎儿
D.测定血清反应素敏感性高、结果快,适用于筛查
E.测定血清特异性抗体,准确、灵敏,用于确诊
点击查看答案
本题答案:微信扫下方二维码即可打包下载完整带答案解析版《★病理学(医学高级)》或《病理学(医学高级):病理学综合》题库
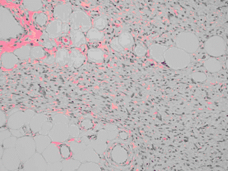
6、单项选择题
患者男,9岁,因“臀部皮下结节2年,近期增大”来诊。患者臀部皮下结节2年,刚开始黄豆大小,生长缓慢,无痛性,近期生长迅速。就诊时结节直径约2.5cm,境界不清,予以局部切除,镜下形态如图所示。

与该肿瘤密切相关的是()。
A.炎性肌成纤维细胞瘤
B.非典型性纤维组织细胞瘤
C.隆突性皮纤维肉瘤
D.丛状纤维组织细胞瘤
E.血管瘤样纤维组织细胞瘤
点击查看答案
本题答案:微信扫下方二维码即可打包下载完整带答案解析版《★病理学(医学高级)》或《病理学(医学高级):病理学综合》题库
7、多项选择题
患者女,65岁,6-2-4-4,绝经10余年,不规则阴道出血6个月。妇科检查:子宫正常大小,无压痛,双侧附件阴性。B型超声:子宫正常大小,宫腔略扩大,少量积液,内膜菲薄,可见点状血流。
最有可能的诊断是()。(提示分段诊断性刮宫刮出少量内膜组织。光镜下,组织形态如图所示。)

A.老年性子宫内膜萎缩
B.受激素影响内膜反应性增生
C.宫腔积脓,内膜良性反应性改变
D.子宫内膜样癌
E.浆液性乳头状癌
F.子宫内膜炎伴腺体非典型增生
G.组织刮碎及制片假象
点击查看答案
本题答案:微信扫下方二维码即可打包下载完整带答案解析版《★病理学(医学高级)》或《病理学(医学高级):病理学综合》题库
8、单项选择题 肾细胞癌可伴有下列哪种表现()。
A.高脂血症
B.脂滴沉积
C.低补体血症
D.红细胞增多症
E.IgA沉积
点击查看答案
本题答案:微信扫下方二维码即可打包下载完整带答案解析版《★病理学(医学高级)》或《病理学(医学高级):病理学综合》题库
9、多项选择题 属于转录因子的标志物有()。
A.SP-A
B.TTF-1
C.Hep-per1
D.MUC
E.CDX-2
点击查看答案
本题答案:微信扫下方二维码即可打包下载完整带答案解析版《★病理学(医学高级)》或《病理学(医学高级):病理学综合》题库
10、单项选择题 以下哪一种疾病血尿相对不明显()。
A.膀胱癌
B.肾细胞癌
C.急性肾盂肾炎
D.慢性硬化性肾炎
E.新月体性肾炎
点击查看答案
本题答案:微信扫下方二维码即可打包下载完整带答案解析版《★病理学(医学高级)》或《病理学(医学高级):病理学综合》题库
11、多项选择题 关于输卵管子宫内膜异位,叙述正确的有()。
A.浆膜或浆膜下子宫内膜异位症最常见,常伴盆腔子宫内膜异位
B.常累及输卵管肌层
C.输卵管间质部及峡部子宫内膜化是指子宫内膜取代输卵管黏膜,可能是生理性改变
D.输卵管切除后子宫内膜异位症形态学改变似子宫腺肌症
E.Warthard巢是输卵管浆膜子宫内膜异位的特殊形式
点击查看答案
本题答案:微信扫下方二维码即可打包下载完整带答案解析版《★病理学(医学高级)》或《病理学(医学高级):病理学综合》题库
12、单项选择题 手足口病的病因是()。
A.单纯疱疹病毒
B.人乳头状瘤病毒
C.痘病毒
D.柯萨奇病毒
E.风疹病毒
点击查看答案
本题答案:微信扫下方二维码即可打包下载完整带答案解析版《★病理学(医学高级)》或《病理学(医学高级):病理学综合》题库
13、单项选择题 细菌性痢疾的典型肠道病变性质为()。
A.化脓性炎
B.卡他性炎
C.蜂窝织炎
D.假膜性炎
E.出血性化脓性炎
点击查看答案
本题答案:微信扫下方二维码即可打包下载完整带答案解析版《★病理学(医学高级)》或《病理学(医学高级):病理学综合》题库
14、多项选择题 与动脉粥样硬化有密切关系的脂蛋白有()。
A.LDL
B.sLDL
C.HDL
D.CM
E.VLDL
点击查看答案
本题答案:微信扫下方二维码即可打包下载完整带答案解析版《★病理学(医学高级)》或《病理学(医学高级):病理学综合》题库
15、单项选择题 关于卵巢生殖细胞肿瘤。
关于卵黄囊瘤,叙述错误的是()。
A.微囊或网状是卵黄囊瘤最常见的结构
B.透明小体和基底膜样物质PAS染色(+)
C.很少发生于40岁以上
D.Call-Exner小体是其特征
E.是向胚外组织分化的生殖细胞肿瘤
点击查看答案
本题答案:微信扫下方二维码即可打包下载完整带答案解析版《★病理学(医学高级)》或《病理学(医学高级):病理学综合》题库
16、单项选择题
患者男,15岁,因“发现阴囊肿物3个月余”来诊。查体:囊肿呈实性结节状。初诊意见:间叶组织恶性肿瘤。
特征性的细胞是()。
A.“蝌蚪样”细胞
B.小圆细胞
C.黏液样细胞
D.梭形细胞
E.“鬼影”样细胞
点击查看答案
本题答案:微信扫下方二维码即可打包下载完整带答案解析版《★病理学(医学高级)》或《病理学(医学高级):病理学综合》题库
17、单项选择题
患者男,42岁,右腘窝无痛性肿块,5cm×4cm×3cm,境界相对较清楚,切除后镜下形态如图所示。


最可能的诊断是()。
A.上皮样黏液纤维肉瘤
B.硬化性横纹肌肉瘤
C.上皮样血管内皮瘤
D.圆细胞脂肪肉瘤
E.黏液样软骨肉瘤
点击查看答案
本题答案:微信扫下方二维码即可打包下载完整带答案解析版《★病理学(医学高级)》或《病理学(医学高级):病理学综合》题库
18、单项选择题 先天性纤维肉瘤中因特异性染色体易位而产生的融合性基因是()。
A.ASPL-TFE3
B.COL1A1-PDGFB
C.CSF1-COL6A3
D.ETV6-NTRK3
E.FUS-ATF1
点击查看答案
本题答案:微信扫下方二维码即可打包下载完整带答案解析版《★病理学(医学高级)》或《病理学(医学高级):病理学综合》题库
19、单项选择题 分泌降钙素的甲状腺癌是()。
A.乳头状癌
B.滤泡性癌
C.髓样癌
D.未分化癌
E.嗜酸细胞癌
点击查看答案
本题答案:微信扫下方二维码即可打包下载完整带答案解析版《★病理学(医学高级)》或《病理学(医学高级):病理学综合》题库
20、单项选择题 关于Ⅰ期梅毒的叙述错误的是()。
A.有不洁性交史
B.可出现硬下疳
C.梅毒血清学阴性
D.有心血管梅毒
E.外阴表面溃疡,有浆液性渗出
点击查看答案
本题答案:微信扫下方二维码即可打包下载完整带答案解析版《★病理学(医学高级)》或《病理学(医学高级):病理学综合》题库
21、单项选择题 诊断黏液样脂肪肉瘤的最可靠形态学依据为()。
A.肿瘤体积较大
B.分支状血管
C.黏液样基质
D.脂肪母细胞
E.位于躯体深部
点击查看答案
本题答案:微信扫下方二维码即可打包下载完整带答案解析版《★病理学(医学高级)》或《病理学(医学高级):病理学综合》题库
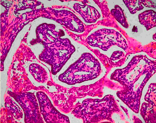
22、单项选择题
患者女,23岁,因“偶然发现颈右侧2个包块,无痛,但逐渐长大”来诊。活检,病理检查为淋巴结,形态学如图所示。


病理诊断考虑为()。
A.经典型霍奇金淋巴瘤,富于淋巴细胞型
B.结节病
C.异位胸腺
D.结节性淋巴细胞为主型霍奇金淋巴瘤
E.经典型霍奇金淋巴瘤,结节硬化型
点击查看答案
本题答案:微信扫下方二维码即可打包下载完整带答案解析版《★病理学(医学高级)》或《病理学(医学高级):病理学综合》题库
23、单项选择题 关于乳腺导管普通型增生(UDH),叙述错误的是()。
A.增生的上皮细胞可形成新月形边窗、筛状或实性、微乳头状
B.增生的上皮细胞呈流水状排列
C.是一种良性导管上皮增生病变
D.增生的上皮细胞可表达CK5/6、CK34βE12
E.可伴有大汗腺化生,常见坏死
点击查看答案
本题答案:微信扫下方二维码即可打包下载完整带答案解析版《★病理学(医学高级)》或《病理学(医学高级):病理学综合》题库
24、单项选择题 患者女,46岁。因“腭部肿物1年,渐增大,影响吞咽”来诊。肿物直径约5cm,有包膜,分叶状,切面见多囊,囊内含黏液。组织学检查:表皮样细胞、黏液细胞和中间细胞;以囊性为主,约占肿瘤40%,有乳头状或实性结构,囊内充满黏液。也有内衬柱状细胞导管样结构以及透明细胞区域。可见浸润周边组织和神经,伴有肿瘤坏死,核分裂6个/10HPF,但细胞间变不明显。
本病与多形性腺瘤的主要区别是()。
A.有表皮细胞成分
B.有囊性结构
C.浸润性生长
D.结构多形性
E.黏液细胞
点击查看答案
本题答案:微信扫下方二维码即可打包下载完整带答案解析版《★病理学(医学高级)》或《病理学(医学高级):病理学综合》题库
25、单项选择题 关于甲状旁腺功能亢进,叙述错误的是()。
A.出现高钙血症和低磷血症
B.引起多发性尿结石
C.导致纤维囊性骨炎
D.多由甲状旁腺腺瘤引起
E.继发性甲状旁腺功能亢进多见
点击查看答案
本题答案:微信扫下方二维码即可打包下载完整带答案解析版《★病理学(医学高级)》或《病理学(医学高级):病理学综合》题库
26、多项选择题 肥厚性心肌病的特点有()。
A.心脏增大
B.心室肌肥厚
C.心室显著扩张
D.心内膜增厚
E.心肌细胞肥大
点击查看答案
本题答案:微信扫下方二维码即可打包下载完整带答案解析版《★病理学(医学高级)》或《病理学(医学高级):病理学综合》题库
27、单项选择题 患者女,48岁,因“左腋下肿物6个月”来诊。查体:肿物边界不清,活动差。无乳腺癌家族史及乳腺疾病史。B型超声显示左腋下多枚肿大淋巴结,相互融合及左乳腺外上象限见最大径1.5cm边界不清肿物。行左乳房单纯切除+腋下淋巴结清扫术。大体检查:乳腺内肿物1.7cm×1.6cm×1.2cm,边界不清,质地硬,切面灰白色。腋下见14枚肿大淋巴结,直径0.3~2.2cm,相互融合,质地硬。
不符合乳腺浸润性微乳头状癌的是()。
A.其特殊的生长方式与其伴有的脉管浸润和淋巴结转移有关
B.淋巴结转移率明显高于非特殊型浸润型导管癌
C.CEA免疫组织化学染色有助于鉴别诊断
D.极向倒转的假腺管和细胞性乳头
E.EMA免疫组织化学染色有助于鉴别诊断
点击查看答案
本题答案:微信扫下方二维码即可打包下载完整带答案解析版《★病理学(医学高级)》或《病理学(医学高级):病理学综合》题库
28、多项选择题 关于乳腺癌的病理组织学淋巴结转移分期(pN),叙述正确的有()。
A.pN1mi是指微转移灶最大径>0.2mm,但<2mm
B.pNx是指没有淋巴结
C.pN2是指患侧腋窝4~9个淋巴结转移或临床表现有患侧内乳淋巴结转移而无腋窝淋巴结转移
D.pN1是指患侧腋窝1~3个淋巴结转移和(或)前哨淋巴结活检发现内乳淋巴结转移,但无临床表现
E.pN3是指患侧腋窝10个或10个以上淋巴结转移;或锁骨下淋巴结转移;或临床表现有患侧内乳淋巴结转移伴1个以上腋窝淋巴结转移;或3个以上腋窝淋巴结转移伴无临床表现的镜下内乳淋巴结转移;或锁骨上淋巴结转移
点击查看答案
本题答案:微信扫下方二维码即可打包下载完整带答案解析版《★病理学(医学高级)》或《病理学(医学高级):病理学综合》题库
29、单项选择题
患者男,27岁,因“不规则发热,颈、腋下及腹股沟等处多发性淋巴结肿大,以及进行性消瘦”来诊,肿大淋巴结直径为1.5~2.5cm,遂行颈淋巴结活检。大体检查:灰白色结节1个,2cm×1cm×1cm,包膜完整,切面呈灰白色,质软;镜检:淋巴结结构大部分破坏,被膜下见少量小淋巴细胞(图1),大片区域内见泡沫样组织细胞成片分布,胞质内见一些细颗粒状物,疑为病原微生物(图2)。


前述泡沫样细胞胞质内的颗粒状物呈六胺银染色阳性(图3),病理诊断应为()。

A.淋巴结立氏曼病
B.淋巴结结核
C.真菌病
D.猫抓病
E.脂质代谢性疾病
点击查看答案
本题答案:微信扫下方二维码即可打包下载完整带答案解析版《★病理学(医学高级)》或《病理学(医学高级):病理学综合》题库
30、单项选择题 某患者体检发现肝大,想查明原因。
如果是脂肪肝,最合适的特殊染色是()。
A.苏丹Ⅲ染色
B.HE染色
C.V-G染色
D.PAS染色
E.AB染色
点击查看答案
本题答案:微信扫下方二维码即可打包下载完整带答案解析版《★病理学(医学高级)》或《病理学(医学高级):病理学综合》题库
31、单项选择题 下列叙述中错误的是()。
A.鼻腔鼻窦内翻性乳头状瘤多为单侧发生
B.小儿喉乳头状瘤多与HPV感染有关
C.咽部血管纤维瘤不发生于成人和女性
D.EBER阳性对鼻NK/T细胞淋巴瘤的诊断十分必要
E.变应性真菌性鼻窦炎是非侵袭性真菌性鼻窦炎
点击查看答案
本题答案:微信扫下方二维码即可打包下载完整带答案解析版《★病理学(医学高级)》或《病理学(医学高级):病理学综合》题库
32、单项选择题 患者女,45岁,因“月经紊乱2个月”来诊。行分段诊断性刮宫术,宫腔、颈管分别刮出少量组织,病理形态相似。
下列描述不符合形态特点的是()。
A.腺体分泌反应,结构基本正常,细胞无异型性
B.腺体杂乱、扭曲、出芽状分支
C.上皮与间质反应明显不同步
D.异型腺体浸润性生长
E.腺上皮分泌特点明显,有异型改变
点击查看答案
本题答案:微信扫下方二维码即可打包下载完整带答案解析版《★病理学(医学高级)》或《病理学(医学高级):病理学综合》题库
33、单项选择题 细胞核呈毛玻璃样的甲状腺癌是()。
A.乳头状癌
B.滤泡性癌
C.髓样癌
D.未分化癌
E.嗜酸细胞癌
点击查看答案
本题答案:微信扫下方二维码即可打包下载完整带答案解析版《★病理学(医学高级)》或《病理学(医学高级):病理学综合》题库
34、单项选择题
患儿男,14岁,右睾丸肿瘤切除,镜下形态如图所示。


首先要考虑的诊断为()。
A.恶性淋巴瘤
B.胚胎性癌
C.未成熟畸胎瘤
D.胚胎性横纹肌肉瘤
E.内胚窦瘤
点击查看答案
本题答案:微信扫下方二维码即可打包下载完整带答案解析版《★病理学(医学高级)》或《病理学(医学高级):病理学综合》题库
35、单项选择题 原发性高血压时脑出血的原因常是()。
A.大脑前动脉破裂
B.大脑后动脉破裂
C.豆纹动脉破裂
D.小脑后动脉破裂
E.脊髓前动脉破裂
点击查看答案
本题答案:微信扫下方二维码即可打包下载完整带答案解析版《★病理学(医学高级)》或《病理学(医学高级):病理学综合》题库
36、多项选择题 多发生于老年人的淋巴瘤类型包括()。
A.慢性淋巴细胞白血病/小淋巴细胞淋巴瘤
B.套细胞淋巴瘤
C.经典型霍奇金淋巴瘤
D.血管免疫母细胞性淋巴瘤
E.毛细胞白血病
点击查看答案
本题答案:微信扫下方二维码即可打包下载完整带答案解析版《★病理学(医学高级)》或《病理学(医学高级):病理学综合》题库
37、单项选择题 关于高级别腹膜假黏液瘤,叙述错误的是()。
A.细胞异型性明显
B.可见印戒细胞
C.细胞内黏液多少不等
D.细胞排列成小的团块状或筛状
E.肿瘤细胞稀疏
点击查看答案
本题答案:微信扫下方二维码即可打包下载完整带答案解析版《★病理学(医学高级)》或《病理学(医学高级):病理学综合》题库
38、单项选择题 弥漫性新月体性肾小球肾炎时构成新月体的主要细胞是()。
A.球囊壁层上皮细胞
B.球囊壁层上皮细胞和单核细胞
C.系膜细胞和内皮细胞
D.球囊脏层上皮细胞和单核细胞
E.球囊脏层上皮细胞
点击查看答案
本题答案:微信扫下方二维码即可打包下载完整带答案解析版《★病理学(医学高级)》或《病理学(医学高级):病理学综合》题库
39、单项选择题 患者男,33岁,因“腹胀、腹部不适3个月”来诊。肠镜检查发现回盲部病变而手术。病理标本大体检查:回肠末端一约5cm×4cm不规则溃疡型病变,周围肠黏膜肉眼观察尚正常。
关于肠结核,叙述正确的是()。
A.大多数肠结核为原发性
B.80%以上的肠结核发生在近端回肠
C.结核性溃疡一般呈横行,与肠管垂直
D.肠结核仅有溃疡型和增殖型2种类型
E.肠梗阻多见于溃疡型肠结核
点击查看答案
本题答案:微信扫下方二维码即可打包下载完整带答案解析版《★病理学(医学高级)》或《病理学(医学高级):病理学综合》题库
40、单项选择题 乳腺浸润性筛状癌是()。
A.筛状型的导管内癌
B.一种预后良好的浸润性癌
C.腺样囊腺癌的亚型
D.一种预后不好的浸润性癌
E.化生性癌的一种
点击查看答案
本题答案:微信扫下方二维码即可打包下载完整带答案解析版《★病理学(医学高级)》或《病理学(医学高级):病理学综合》题库
41、单项选择题 前列腺腺癌最可能表达的标志物有()。
A.p63(+)、PSA(+)、p504(+)
B.p63(+)、PSA(+)、p504(-)
C.p63(+)、PSA(-)、p504(+)
D.p63(-)、PSA(+)、p504(+)
E.p63(-)、PSA(+)、p504(-)
点击查看答案
本题答案:微信扫下方二维码即可打包下载完整带答案解析版《★病理学(医学高级)》或《病理学(医学高级):病理学综合》题库
42、单项选择题 X线显示“靴形心”,见于()。
A.肺动脉瓣狭窄
B.主动脉瓣狭窄
C.二尖瓣狭窄
D.三尖瓣狭窄
E.二尖瓣关闭不全
点击查看答案
本题答案:微信扫下方二维码即可打包下载完整带答案解析版《★病理学(医学高级)》或《病理学(医学高级):病理学综合》题库
43、单项选择题 患者男,19岁,因“颈部肿物2年余”来诊。查体:T36.7℃,P88次/min,右侧颈部可触及3个约2cm×3cm串珠样质韧肿物。
为进一步明确诊断,考虑做的检查是()。
A.肿物活检或细针穿刺病理检查
B.颈部X线片
C.颈部CT
D.颈部MRI
E.颈部肿物B型超声
点击查看答案
本题答案:微信扫下方二维码即可打包下载完整带答案解析版《★病理学(医学高级)》或《病理学(医学高级):病理学综合》题库
44、单项选择题 霍奇金淋巴瘤最常发生的部位是()。
A.腹膜后淋巴结
B.腹股沟淋巴结
C.颈部淋巴结
D.纵隔淋巴结
E.腋下淋巴结
点击查看答案
本题答案:微信扫下方二维码即可打包下载完整带答案解析版《★病理学(医学高级)》或《病理学(医学高级):病理学综合》题库
45、多项选择题
患者男,49岁,因“腰痛2个月”入院。查体:L1~L3椎体破坏,余无明显阳性体征。X线:溶骨性病变;术中冷冻组织活检,镜下几乎未见正常骨质,可见大量片状增生的小淋巴细胞,细胞异型性不明显,组织边缘可见少量体积较大细胞,胞质淡染,核增大,形态略不规则,未见明确坏死灶。
病理诊断考虑为()。(提示经多处取材和石蜡包埋组织,镜下小淋巴细胞增生,见片状及散在分布的异型细胞团,局部细胞排列成小巢状,巢间有纤细的纤维间隔,细胞体积大,但因组织收缩,细胞周围有空隙,部分细胞胞质淡染,核增大,不规则,核膜尚清。)


A.骨非霍奇金淋巴瘤
B.骨霍奇金淋巴瘤
C.椎体的慢性炎性肉芽肿
D.骨嗜酸性肉芽肿
E.骨转移癌
F.骨Ewing肉瘤/PNET
G.骨结核
点击查看答案
本题答案:微信扫下方二维码即可打包下载完整带答案解析版《★病理学(医学高级)》或《病理学(医学高级):病理学综合》题库
46、单项选择题 低级别中心性骨肉瘤与纤维结构不良的最重要区别是()。
A.较成熟的骨质
B.梭形细胞异型性不明显
C.核分裂数
D.影像学显示皮质骨/软组织受累
E.多核巨细胞
点击查看答案
本题答案:微信扫下方二维码即可打包下载完整带答案解析版《★病理学(医学高级)》或《病理学(医学高级):病理学综合》题库
47、单项选择题 流行性脑脊髓膜炎的病变性质属于()。
A.变质性炎
B.渗出性炎
C.化脓性炎
D.肉芽肿性炎
E.增生性炎
点击查看答案
本题答案:微信扫下方二维码即可打包下载完整带答案解析版《★病理学(医学高级)》或《病理学(医学高级):病理学综合》题库
48、单项选择题 下列属于Ⅰ型变态反应的一组疾病是()。
A.链球菌感染后肾小球肾炎、输血反应、血清病
B.哮喘、过敏性休克、皮肤荨麻疹
C.输血反应、皮肤荨麻疹、过敏性鼻炎
D.移植排斥反应、枯草热、哮喘
E.过敏性休克、过敏性鼻炎、结核菌反应
点击查看答案
本题答案:微信扫下方二维码即可打包下载完整带答案解析版《★病理学(医学高级)》或《病理学(医学高级):病理学综合》题库
49、单项选择题 患者女,65岁,因“腭部肿物多年,近来溃疡”来诊。切除肿瘤,长径1.5cm,无包膜,质硬。组织学检查:呈现瘤细胞较一致圆形上皮细胞,胞质少,核分裂少见,瘤细胞构成筛孔状、囊状、小梁状、管状、条索状结构,并见浸润周围神经,间质胶原及黏液成分。
诊断依据是()。
A.细胞单一性和结构多样性
B.浸润神经
C.浸润性生长
D.细胞异型性不明显
E.胶原黏液样间质
点击查看答案
本题答案:微信扫下方二维码即可打包下载完整带答案解析版《★病理学(医学高级)》或《病理学(医学高级):病理学综合》题库
50、单项选择题 糖尿病的肾脏病变不包括()。
A.弥漫性肾小球硬化
B.入球动脉硬化
C.结节性肾小球硬化
D.脂性肾病
E.肾乳头坏死
点击查看答案
本题答案:微信扫下方二维码即可打包下载完整带答案解析版《★病理学(医学高级)》或《病理学(医学高级):病理学综合》题库
51、单项选择题 外阴营养不良及上皮内瘤变中与人乳头瘤病毒(HPV)感染相关的亚型是()。
A.增生性营养不良
B.硬化性苔藓
C.混合性营养不良
D.分化型外阴上皮内瘤变
E.普通型(经典型)VIN
点击查看答案
本题答案:微信扫下方二维码即可打包下载完整带答案解析版《★病理学(医学高级)》或《病理学(医学高级):病理学综合》题库
52、多项选择题 患者男,69岁,因“阴茎包皮出现结节,伴表面破溃”来诊。查体:患者阴茎包皮出现小结节,圆形,直径1cm,表面破溃形成糜烂、浅溃疡,与周围分界清楚。
可能的病理诊断有()。(提示镜下:组织表面被覆鳞状上皮增生,部分上皮坏死、溃疡形成,溃疡处见中性粒细胞浸润;真皮层见大量淋巴细胞、浆细胞及少量单核细胞、中性粒细胞浸润;小血管明显增生,内皮细胞肿胀;血管周围淋巴细胞、浆细胞密集性浸润。)
A.生殖器疱疹
B.软下疳
C.鳞癌
D.恶性淋巴瘤
E.梅毒
F.性病性淋巴肉芽肿
点击查看答案
本题答案:微信扫下方二维码即可打包下载完整带答案解析版《★病理学(医学高级)》或《病理学(医学高级):病理学综合》题库
53、单项选择题 关于咽扁桃体肥大,叙述错误的是()。
A.细菌或病毒感染所致
B.可见腺样体充血肿大,表面有渗出物
C.为儿童常见疾病,以3~10岁多见
D.镜下可见咽扁桃体淋巴组织增生,伴淋巴滤泡反应性增生
E.镜下所见属于高级别上皮内瘤变
点击查看答案
本题答案:微信扫下方二维码即可打包下载完整带答案解析版《★病理学(医学高级)》或《病理学(医学高级):病理学综合》题库
54、单项选择题 根据你所学的创伤愈合的病理知识,请回答下列问题。
影响创伤愈合的局部因素不包括()。
A.感染与异物
B.局部血液循环
C.年龄和营养
D.神经支配
E.电离辐射
点击查看答案
本题答案:微信扫下方二维码即可打包下载完整带答案解析版《★病理学(医学高级)》或《病理学(医学高级):病理学综合》题库
55、单项选择题 急性蜂窝织炎性阑尾炎的病变特点是阑尾()。
A.全层弥漫性中性粒细胞浸润
B.局部发生坏疽
C.黏膜坏死伴中性粒细胞浸润
D.闭塞、脓液潴留
E.纤维组织增生伴炎细胞浸润
点击查看答案
本题答案:微信扫下方二维码即可打包下载完整带答案解析版《★病理学(医学高级)》或《病理学(医学高级):病理学综合》题库
56、多项选择题
患者男,42岁,因“牙龈肿胀2个月”来诊。查体:局部牙龈肿胀,质韧,触之出血。行活检。镜检形态学表现如图所示。

病理鉴别诊断应考虑()。
A.弥漫大B细胞淋巴瘤
B.间变大细胞淋巴瘤
C.淋巴母细胞淋巴瘤
D.急性髓系白血病浸润
E.低分化癌浸润
F.恶性黑色素瘤
点击查看答案
本题答案:微信扫下方二维码即可打包下载完整带答案解析版《★病理学(医学高级)》或《病理学(医学高级):病理学综合》题库
57、单项选择题 关于多发性内分泌肿瘤2型,叙述错误的是()。
A.多发性内分泌肿瘤2型(MEN2)是常染色体显性遗传的遗传性肿瘤综合征
B.由RET基因种系突变引起
C.病变由甲状腺、肾上腺、甲状旁腺等不同的内分泌肿瘤共同组成
D.本综合征还包含了外分泌器官/组织(如:肠、黏膜、角膜、骨骼)的疾病
E.在临床上,MEN2型分为2组
点击查看答案
本题答案:微信扫下方二维码即可打包下载完整带答案解析版《★病理学(医学高级)》或《病理学(医学高级):病理学综合》题库
58、多项选择题
患者女,48岁。绝经2年,体检发现子宫肿瘤。术中见子宫肌壁间一不规则肿物,8cm×7cm×5cm,切面淡黄色,质软,鱼肉状,肿物边界尚清。光镜形态如图所示。

诊断可能是()。
A.富于细胞性平滑肌瘤
B.子宫内膜间质肿瘤
C.未分化子宫内膜肉瘤
D.子宫内膜小细胞癌
E.PEcoma
F.原始神经外胚层肿瘤
G.未分化癌
点击查看答案
本题答案:微信扫下方二维码即可打包下载完整带答案解析版《★病理学(医学高级)》或《病理学(医学高级):病理学综合》题库
59、单项选择题
患者女,20岁,因停经2个月,阴道流血,血HCG水平较高,行刮宫术。宫腔刮出物肉眼未见明显水泡。刮宫标本显微镜检查如图所示。




点击查看答案
本题答案:微信扫下方二维码即可打包下载完整带答案解析版《★病理学(医学高级)》或《病理学(医学高级):病理学综合》题库
60、单项选择题 下列哪些症状与膀胱癌无关()。
A.肾盂积水
B.尿频、尿急
C.血尿
D.疼痛
E.酸性磷酸酶增高
点击查看答案
本题答案:微信扫下方二维码即可打包下载完整带答案解析版《★病理学(医学高级)》或《病理学(医学高级):病理学综合》题库
61、单项选择题 下列病变不属于Ⅳ型变态反应的是()。
A.单核细胞浸润为主的炎症
B.结核样型麻风
C.假结核结节
D.新型隐球菌感染
E.重症肌无力
点击查看答案
本题答案:微信扫下方二维码即可打包下载完整带答案解析版《★病理学(医学高级)》或《病理学(医学高级):病理学综合》题库
62、单项选择题 引起人类血吸虫病感染的主要是()。
A.虫卵
B.毛蚴
C.胞蚴
D.尾蚴
E.成虫
点击查看答案
本题答案:微信扫下方二维码即可打包下载完整带答案解析版《★病理学(医学高级)》或《病理学(医学高级):病理学综合》题库
63、单项选择题 慢性硬化性肾小球肾炎的肾脏表现为()。
A.大红肾
B.蚤咬肾
C.大白肾
D.颗粒性固缩肾
E.大瘢痕性固缩肾
点击查看答案
本题答案:微信扫下方二维码即可打包下载完整带答案解析版《★病理学(医学高级)》或《病理学(医学高级):病理学综合》题库
64、单项选择题 出现柏油样便时首先应考虑()。
A.痔疮
B.溃疡病
C.直肠癌
D.肠结核
E.痢疾
点击查看答案
本题答案:微信扫下方二维码即可打包下载完整带答案解析版《★病理学(医学高级)》或《病理学(医学高级):病理学综合》题库
65、单项选择题 细胞损伤时,最严重的标志是()。
A.细胞排列的破坏
B.细胞之间大小不等
C.细胞膜损伤
D.细胞器损伤
E.细胞核损伤
点击查看答案
本题答案:微信扫下方二维码即可打包下载完整带答案解析版《★病理学(医学高级)》或《病理学(医学高级):病理学综合》题库
66、单项选择题
患者男,37岁,因“颞骨岩部后面发现肿物3个月,并向后颅窝扩展,波及小脑脑桥角”来诊。
镜下组织形态如图所示。最有可能的诊断是()。

A.中耳腺瘤
B.耵聍腺腺癌
C.内淋巴囊低度恶性腺癌
D.颈静脉鼓室球瘤
E.转移性甲状腺乳头状癌
点击查看答案
本题答案:微信扫下方二维码即可打包下载完整带答案解析版《★病理学(医学高级)》或《病理学(医学高级):病理学综合》题库
67、单项选择题 患者女,22岁,左大腿深部肌肉组织内一直径约8.5cm肿块,结节状,切面呈灰白暗红色,灶区出血、囊性变。
最不可能的病理诊断是()。
A.神经鞘瘤
B.滑膜肉瘤
C.脊索瘤
D.骨外尤文肉瘤/外周原始神经外胚层肿瘤
E.纤维肉瘤
点击查看答案
本题答案:微信扫下方二维码即可打包下载完整带答案解析版《★病理学(医学高级)》或《病理学(医学高级):病理学综合》题库
68、单项选择题 霍奇金淋巴瘤的瘤细胞最具诊断意义的细胞是()。
A.霍奇金细胞
B."爆米花"细胞
C.陷窝细胞
D.多形性R-S细胞
E.镜影细胞
点击查看答案
本题答案:微信扫下方二维码即可打包下载完整带答案解析版《★病理学(医学高级)》或《病理学(医学高级):病理学综合》题库
69、单项选择题 患者男,70岁,因“不规则发热及全身淋巴结肿大4个月,伴多浆膜腔积液及体重下降”来诊。
最不可能的疾病诊断是()。
A.溶血性贫血
B.非霍奇金淋巴瘤
C.粟粒性结核
D.转移性癌
E.深部真菌病
点击查看答案
本题答案:微信扫下方二维码即可打包下载完整带答案解析版《★病理学(医学高级)》或《病理学(医学高级):病理学综合》题库
70、单项选择题 患者发热、无力、食欲不振、腹痛,以左下腹明显,腹泻早期稀便,大便次数增多后转为粘液脓血便,并有里急后重。应诊断为()。
A.急性胃肠炎
B.急性细菌性痢疾
C.肠伤寒
D.食物中毒
E.肠阿米巴痢疾
点击查看答案
本题答案:微信扫下方二维码即可打包下载完整带答案解析版《★病理学(医学高级)》或《病理学(医学高级):病理学综合》题库
71、单项选择题 “蚤咬肾”见于下列哪种疾病()。
A.急性肾盂积水
B.慢性硬化性肾小球肾炎
C.急性弥漫性增生性肾小球肾炎
D.毛细血管外增生性肾小球肾炎
E.脂性肾病
点击查看答案
本题答案:微信扫下方二维码即可打包下载完整带答案解析版《★病理学(医学高级)》或《病理学(医学高级):病理学综合》题库
72、多项选择题 急性非特异性淋巴结炎可表现为()。
A.局部淋巴结肿大及疼痛
B.淋巴滤泡增生,生发中心扩大
C.淋巴结局部或整个受累,坏死及脓肿形成
D.窦组织细胞增生
E.可见真菌
点击查看答案
本题答案:微信扫下方二维码即可打包下载完整带答案解析版《★病理学(医学高级)》或《病理学(医学高级):病理学综合》题库
73、单项选择题 门脉性肝硬化与坏死后性肝硬化的病变区别哪项除外()。
A.假小叶的大小
B.纤维间隔的厚薄
C.炎细胞浸润的轻重
D.肝细胞坏死的多少
E.肝内小血管改建的有无
点击查看答案
本题答案:微信扫下方二维码即可打包下载完整带答案解析版《★病理学(医学高级)》或《病理学(医学高级):病理学综合》题库
74、单项选择题 关于绒毛膜癌,叙述错误的是()。
A.任何绒毛膜癌中均无绒毛存在
B.子宫中有单个或多个出血性结节
C.滋养细胞和合体滋养细胞异型性显著,核分裂象多
D.HCG水平持续升高,瘤细胞HCG免疫组织化学染色阳性
E.有水泡状胎块病史
点击查看答案
本题答案:微信扫下方二维码即可打包下载完整带答案解析版《★病理学(医学高级)》或《病理学(医学高级):病理学综合》题库
75、多项选择题 属于骨瘤样病变的是()。
A.骨化性纤维瘤
B.胸壁错构瘤
C.动脉瘤样骨囊肿
D.骨韧带状瘤
E.纤维结构不良
点击查看答案
本题答案:微信扫下方二维码即可打包下载完整带答案解析版《★病理学(医学高级)》或《病理学(医学高级):病理学综合》题库
76、多项选择题
患者男,55岁,因“粪带血,伴疼痛2个月”来诊。直肠指检:肛管齿状线处一息肉性肿块,指套染血。
可能的诊断有()。(提示术后病理检查:肿物2.5cm×2.0cm,表面溃疡,切面质脆,与周围组织界限不清。镜下组织学如图所示。)

A.淋巴瘤
B.痔
C.梅毒
D.神经内分泌肿瘤
E.管状腺瘤
F.恶性黑色素瘤
G.未分化癌
H.大汗腺腺瘤
点击查看答案
本题答案:微信扫下方二维码即可打包下载完整带答案解析版《★病理学(医学高级)》或《病理学(医学高级):病理学综合》题库
77、单项选择题 一侧肾体积缩小,且有瘢痕形成最可能的诊断是()。
A.肾压迫性萎缩
B.原发性固缩肾
C.慢性肾盂肾炎
D.肾动脉粥样硬化
E.慢性硬化性肾小球肾炎
点击查看答案
本题答案:微信扫下方二维码即可打包下载完整带答案解析版《★病理学(医学高级)》或《病理学(医学高级):病理学综合》题库
78、多项选择题 关于急性肾盂肾炎,叙述正确的有()。
A.肾小管管腔内有浓稠、红染的胶样管型,形似甲状腺滤泡
B.肾肿大,表面可见黄色小脓肿
C.多累及肾小球
D.肾间质充血水肿,中性粒细胞浸润
E.肾小管上皮细胞变性、坏死
点击查看答案
本题答案:微信扫下方二维码即可打包下载完整带答案解析版《★病理学(医学高级)》或《病理学(医学高级):病理学综合》题库
79、单项选择题 下述哪项支持胃的恶性溃疡()。
A.溃疡呈圆形、椭圆形
B.边缘整齐,不隆起
C.底部平坦
D.火山口状,底部凸凹不平
E.皱襞向溃疡集中
点击查看答案
本题答案:微信扫下方二维码即可打包下载完整带答案解析版《★病理学(医学高级)》或《病理学(医学高级):病理学综合》题库
80、单项选择题 关于B-CLL/SLL,叙述错误的是()。
A.成熟B细胞来源的肿瘤
B.ZAP-70和CD38的表达都提示患者预后不良
C.存在“假滤泡”结构对该肿瘤具有一定的诊断意义
D.瘤细胞一般不表达CD23和CD5抗原
E.好发于老年人
点击查看答案
本题答案:微信扫下方二维码即可打包下载完整带答案解析版《★病理学(医学高级)》或《病理学(医学高级):病理学综合》题库
81、多项选择题
患者女,58岁。因“体检发现脾大5年,腹胀1年”来诊。5年前,体检发现脾大,无腹痛、腹胀,贫血,皮肤淤斑和牙龈出血等,未予重视。2个月前,腹胀加剧。近10个月来患者体重下降约15kg。血常规:Hb74g/L,PLT80×109/L,WBC7.49×109/L。B型超声:脾大,脾肋间厚约6.3cm,肋缘下约4.0cm,内缘距中线约2.0cm,实质回声均匀,未见占位。脾门淋巴结肿大。患者接受了择期脾切除术。术中:脾体积为25cm×20cm×7cm,质硬,表面有灰褐色斑点,并见1个副脾,直径约1cm。肝胃韧带、小肠系膜上见多枚肿大的淋巴结(具体数值不详)。曾行骨髓活检2次。脾、淋巴结和骨髓活检的形态学改变如图所示。



该病例的病理诊断应考虑()。
A.骨髓增生性肿瘤(MPN)
B.急性粒细胞白血病
C.系统性肥大细胞增生症
D.转移性癌
E.骨髓异常增生综合征(MDS)
F.继发性骨髓纤维化
点击查看答案
本题答案:微信扫下方二维码即可打包下载完整带答案解析版《★病理学(医学高级)》或《病理学(医学高级):病理学综合》题库
82、单项选择题 患者男,65岁,因“不明原因右侧腹部不适,隐痛,食欲减退2个月”来诊。发病以来,患者体重自65kg降至52kg。患者自幼居住南方,无外地居住史。血清学检查:AFP不高,CA19-9及CA125复查3次,均明显增高。
大体检查:肝肿物3个,切面灰白色,质韧,与周围界限清楚,周围肝组织无肝硬化。显微镜下可见肿瘤边界清楚,瘤细胞异型性小,呈腺管状排列,腺管腔内可见少量黏液样分泌物,无胆汁,间质纤维组织增生显著。此时,不需要鉴别的肿瘤是()。
A.肝细胞癌
B.结肠腺癌肝转移
C.塌陷部位胆管增生
D.胆管腺瘤
E.胆管纤维腺瘤
点击查看答案
本题答案:微信扫下方二维码即可打包下载完整带答案解析版《★病理学(医学高级)》或《病理学(医学高级):病理学综合》题库
83、单项选择题 患者女,58岁,体检发现直肠黏膜息肉状隆起,广基无蒂,约1.2cm×1.0cm,表面黏膜光滑,切面质实。
高倍镜:肿瘤细胞核分裂象1个/10HPF。免疫组织化学染色:CK(+),CGA(+),SYN(+),CD56(+),Ki-67指数约1%。按2010年WHO神经内分泌肿瘤(NETs)分级,此瘤为()。
A.神经内分泌肿瘤1级(NETG1)类癌
B.神经内分泌肿瘤2级(NETG2)
C.神经内分泌肿瘤3级(NETG3)
D.神经内分泌癌(NEC.
E.混合性腺癌神经内分泌癌(MANEC.
点击查看答案
本题答案:微信扫下方二维码即可打包下载完整带答案解析版《★病理学(医学高级)》或《病理学(医学高级):病理学综合》题库
84、多项选择题 术中冷冻切片快速诊断的报告发出人可以是()。
A.住院医师
B.副高级职称的进修医师
C.冷冻技术培训过的主治医师
D.副主任医师
E.主任医师
点击查看答案
本题答案:微信扫下方二维码即可打包下载完整带答案解析版《★病理学(医学高级)》或《病理学(医学高级):病理学综合》题库
85、单项选择题 存在t(X;18)(p11;q11)的肿瘤是()。
A.纤维肉瘤
B.Ewing肉瘤
C.滑膜肉瘤
D.平滑肌肉瘤
E.恶性神经鞘膜瘤
点击查看答案
本题答案:微信扫下方二维码即可打包下载完整带答案解析版《★病理学(医学高级)》或《病理学(医学高级):病理学综合》题库
86、单项选择题 病毒性肺炎和支原体肺炎的共同特点是()。
A.病变主要发生在肺间质
B.易发生出血性肺炎
C.肺泡表面易形成透明膜
D.上皮细胞可融合成巨细胞
E.以中性粒细胞浸润为主
点击查看答案
本题答案:微信扫下方二维码即可打包下载完整带答案解析版《★病理学(医学高级)》或《病理学(医学高级):病理学综合》题库
87、单项选择题 急性肾盂肾炎的主要病变特点是()。
A.以肾盂为主的急性化脓性炎
B.以肾间质为主的化脓性炎和肾小管坏死
C.以肾间质为主的非化脓性炎
D.单发性肾脓肿
E.以上都是
点击查看答案
本题答案:微信扫下方二维码即可打包下载完整带答案解析版《★病理学(医学高级)》或《病理学(医学高级):病理学综合》题库
88、单项选择题 关于结节性甲状腺肿,叙述错误的是()。
A.结节可有完整的包膜
B.结节对周围甲状腺组织无明显的压迫作用
C.可有明显的乳头状增生
D.常有出血、坏死及纤维增生
E.可有肉芽肿形成
点击查看答案
本题答案:微信扫下方二维码即可打包下载完整带答案解析版《★病理学(医学高级)》或《病理学(医学高级):病理学综合》题库
89、单项选择题
患者女,43岁,因“左胸壁肿块”来诊。行穿刺活检,镜下形态如图所示。


该病涉及的信号传递通道是()。
A.TNF/FAS-L转导通路
B.酪氨酸激酶受体介导的信号转导系统
C.JAK-STAT信号转导途径
D.Wnt
E.TGF-β转导通路
点击查看答案
本题答案:微信扫下方二维码即可打包下载完整带答案解析版《★病理学(医学高级)》或《病理学(医学高级):病理学综合》题库
90、单项选择题 心肌梗死室壁瘤形成最多发于()。
A.左心室侧壁
B.室间隔
C.右心室
D.左心室前壁近心尖处
E.左心室后壁
点击查看答案
本题答案:微信扫下方二维码即可打包下载完整带答案解析版《★病理学(医学高级)》或《病理学(医学高级):病理学综合》题库
91、单项选择题
患者女,76岁,因“发现脾大2周”来诊。查体:腹部扪诊可触及脾,Ⅰ线14cm,Ⅱ线16cm,因诊断不明而行择期脾切除术。术中:脾体积约20cm×15cm×9cm,表面光滑,未扪及确切包块。脾门淋巴结肿大,直径为3cm。病理:全切脾,重1250g,被膜光滑,切面暗红色,质中,呈均匀的细颗粒状。“脾门淋巴结”1枚,体积为3.5cm×1.5cm×0.8cm。脾及脾门淋巴结病变如图所示。


最支持的病理诊断是()。(提示免疫组织化学染色:CD20(+),CD3(-),CD5(-),CD10(-),CD23(-),CD43(-),bcl-2(+),cyclinD1(-),Ki-675%~10%。)
A.毛细胞白血病
B.滤泡淋巴瘤
C.套细胞淋巴瘤
D.脾边缘区B细胞淋巴瘤
E.髓外造血
F.霍奇金淋巴瘤累及
点击查看答案
本题答案:微信扫下方二维码即可打包下载完整带答案解析版《★病理学(医学高级)》或《病理学(医学高级):病理学综合》题库
92、单项选择题 女性,35岁。在夏季旅游途中突然发热、头痛、昏迷,两天后死于呼吸循环衰竭。解剖发现脑充血水肿明显,小脑扁桃体疝形成。患者的疾病诊断应为()。
A.脑以外其他器官的感染性疾病,导致神经系统受损
B.流行性乙型脑炎
C.脊髓灰质炎
D.流行性脑脊髓膜炎
E.脑肿瘤
点击查看答案
本题答案:微信扫下方二维码即可打包下载完整带答案解析版《★病理学(医学高级)》或《病理学(医学高级):病理学综合》题库
93、单项选择题 浆细胞骨髓瘤的表现除外()。
A.多发性溶骨性病变
B.系统性淀粉样变
C.Bence-Jones蛋白尿
D.细胞免疫功能明显降低
E.贫血
点击查看答案
本题答案:微信扫下方二维码即可打包下载完整带答案解析版《★病理学(医学高级)》或《病理学(医学高级):病理学综合》题库
94、单项选择题 患者女,35岁。患者自述4个月前发现耳后一肿物,开始约花生大小,现略增大,无不适。大体检查:灰红肿块,3.0cm×2.3cm×2.0cm,其切面灰红,质地中等,境界较清。低倍镜检:可见增生的血管,伴明显淋巴细胞及嗜酸粒细胞浸润。
此时最佳诊断为()。(提示中倍及高倍镜检:嗜酸粒细胞增生明显,沿着增生的小血管发展,并可见嗜酸性脓肿及嗜酸性淋巴滤泡形成,血管内皮增生不明显而且没有上皮样改变。)
A.淋巴瘤样肉芽肿
B.Kimuradisease
C.非特异性嗜酸细胞性炎症
D.上皮样血管瘤
E.寄生虫感染性肉芽肿
F.血管免疫母T细胞性淋巴瘤
点击查看答案
本题答案:微信扫下方二维码即可打包下载完整带答案解析版《★病理学(医学高级)》或《病理学(医学高级):病理学综合》题库
95、单项选择题 不符合瘢痕性类天疱疮的病变是()。
A.愈后可遗留萎缩性瘢痕
B.表皮下大疱形成
C.部分患者可失明
D.表皮内棘突松解
E.真皮浅层明显纤维化
点击查看答案
本题答案:微信扫下方二维码即可打包下载完整带答案解析版《★病理学(医学高级)》或《病理学(医学高级):病理学综合》题库
96、单项选择题 X线显示“梨形心”,见于()。
A.主动脉瓣狭窄
B.主动脉瓣关闭不全
C.二尖瓣狭窄
D.三尖瓣关闭不全
E.二尖瓣关闭不全
点击查看答案
本题答案:微信扫下方二维码即可打包下载完整带答案解析版《★病理学(医学高级)》或《病理学(医学高级):病理学综合》题库
97、单项选择题 患者女,60岁,因“外阴发现赘生物6个月”来诊。妇科检查:左侧大阴唇外见赘生物,3cm×3cm×2cm,淡红色,似菜花样。
影响外阴及阴道黑色素瘤预后的不良因素是()。
A.患者年龄
B.肿瘤发生部位
C.Breslow测量厚度小于0.8mm
D.Clark浸润水平4级
E.Clark浸润水平3级
F.核分裂象计数大于5个/mm2
点击查看答案
本题答案:微信扫下方二维码即可打包下载完整带答案解析版《★病理学(医学高级)》或《病理学(医学高级):病理学综合》题库
98、单项选择题
患者女,23岁,因“偶然发现颈右侧2个包块,无痛,但逐渐长大”来诊。活检,病理检查为淋巴结,形态学如图所示。


该肿瘤细胞的常见免疫表型是()。
A.CD20(-)、CD30(+)、CD15(+)、EBV(+)
B.CD20(-)、CD30(+)、CD15(+)、EBV(-)
C.CD20(+)、CD30(-)、CD15(-)、EBV(-)
D.CD20(-)、CD30(-)、CD15(-)、EBV(+)
E.CD20(+)、CD30(+)、CD15(+)、EBV(+)
点击查看答案
本题答案:微信扫下方二维码即可打包下载完整带答案解析版《★病理学(医学高级)》或《病理学(医学高级):病理学综合》题库
99、单项选择题
患者男,18岁,会阴肿块,影像学表现如图所示。

诊断可能是()。
A.滑膜肉瘤
B.骨外EWS/pPNET
C.脊索瘤
D.腺泡状软组织肉瘤
E.横纹肌肉瘤
点击查看答案
本题答案:微信扫下方二维码即可打包下载完整带答案解析版《★病理学(医学高级)》或《病理学(医学高级):病理学综合》题库
100、多项选择题 慢性化脓性骨髓炎的表现包括()。
A.窦道流脓,经久不愈
B.感染性骨腔与死骨存在
C.骨腔内有慢性炎性肉芽组织或脓液
D.窦道附近软组织形成瘢痕
E.骨皮质外骨膜下新骨增生,形成双层骨皮质
点击查看答案
本题答案:微信扫下方二维码即可打包下载完整带答案解析版《★病理学(医学高级)》或《病理学(医学高级):病理学综合》题库
101、单项选择题 最有助于鉴别促结缔组织增生性恶性间皮瘤和纤维瘤病的是()。
A.丰富的胶原
B.表达actin
C.表达钙视网膜蛋白(calretinin)
D.轮辐状排列
E.细胞形态温和
点击查看答案
本题答案:微信扫下方二维码即可打包下载完整带答案解析版《★病理学(医学高级)》或《病理学(医学高级):病理学综合》题库
102、多项选择题 患者男,56岁,因“消瘦、食欲减退及右上腹痛”来诊。查体:巩膜及全身皮肤黄染,肝大,腹腔积液。实验室检查:AFP升高,乙肝表面抗原阳性。CT:肝内巨大结节,约10cm×8cm。肝穿刺组织学:细胞呈小梁状排列,小梁之间为肝窦样血管,细胞异型性明显,核分裂象易见。
肝细胞癌的细胞类型有()。
A.肝样细胞
B.透明细胞
C.梭形细胞
D.巨细胞
E.泡沫样细胞
点击查看答案
本题答案:微信扫下方二维码即可打包下载完整带答案解析版《★病理学(医学高级)》或《病理学(医学高级):病理学综合》题库
103、多项选择题 低度恶性纤维黏液样肉瘤与黏液纤维肉瘤的不同之处在于()。
A.好发于青年人
B.无假脂肪母细胞
C.弧线状血管不明显
D.瘤细胞无明显异型性
E.核分裂象罕见
点击查看答案
本题答案:微信扫下方二维码即可打包下载完整带答案解析版《★病理学(医学高级)》或《病理学(医学高级):病理学综合》题库
104、单项选择题 属于肿瘤相关抗原的标志物是()。
A.PLAP
B.TG
C.HMB-45
D.PSA
E.GCDFP-15
点击查看答案
本题答案:微信扫下方二维码即可打包下载完整带答案解析版《★病理学(医学高级)》或《病理学(医学高级):病理学综合》题库
105、单项选择题 就分子通路而言,卵巢癌的发病存在二元模式。
下列肿瘤中常出现砂粒体的是()。
A.高分化黏液性腺癌
B.癌肉瘤
C.恶性苗勒管混合瘤
D.低分化浆液性腺癌
E.未分化癌
点击查看答案
本题答案:微信扫下方二维码即可打包下载完整带答案解析版《★病理学(医学高级)》或《病理学(医学高级):病理学综合》题库
106、单项选择题 一15岁男孩发生颈左侧淋巴结肿大,并伴高热,可能发生的疾病除外()。
A.急性非特异性淋巴结炎
B.淋巴结猫抓病
C.经典型霍奇金淋巴瘤
D.血管免疫母细胞性淋巴瘤
E.淋巴母细胞淋巴瘤/急性淋巴母细胞白血病
点击查看答案
本题答案:微信扫下方二维码即可打包下载完整带答案解析版《★病理学(医学高级)》或《病理学(医学高级):病理学综合》题库
107、多项选择题 组成甲状旁腺腺瘤的细胞有()。
A.水样透明细胞
B.嗜酸粒细胞
C.主细胞
D.过渡性细胞
E.脂肪细胞
点击查看答案
本题答案:微信扫下方二维码即可打包下载完整带答案解析版《★病理学(医学高级)》或《病理学(医学高级):病理学综合》题库
108、单项选择题 关于Lynch综合征,叙述错误的是()。
A.是常染色体显性遗传性疾病
B.分子遗传学基础是DNA错配修复基因突变或功能失活
C.息肉数多少不等,多为绒毛状腺瘤
D.肠癌多位于左半结肠,单发
E.常为黏液腺癌或髓样癌
点击查看答案
本题答案:微信扫下方二维码即可打包下载完整带答案解析版《★病理学(医学高级)》或《病理学(医学高级):病理学综合》题库
109、单项选择题 有关乙型脑炎的主要病理变化错误的是()。
A.神经细胞的变性、坏死
B.筛状软化灶形成
C.淋巴细胞套袖状浸润
D.病变以小脑、延髓和脑桥最严重
E.胶质结节
点击查看答案
本题答案:微信扫下方二维码即可打包下载完整带答案解析版《★病理学(医学高级)》或《病理学(医学高级):病理学综合》题库
110、单项选择题 患者女,65岁,因“肛门周围皮肤见细小乳头状突起,淡红色,有痒感”来诊。
光镜:表皮疣状、乳头状增生,表皮角化不全,角化不全细胞核较大、轻度异型;棘层肥厚,可见核分裂象;棘层中部见散在挖空细胞,其核圆、深染、边缘不齐呈毛虫样;基底细胞增生,真皮乳头和乳头下层血管增生,单核淋巴细胞浸润。最有可能的诊断是()。
A.乳头状瘤
B.尖锐湿疣
C.疣状癌
D.传染性软疣
E.纤维上皮性息肉
点击查看答案
本题答案:微信扫下方二维码即可打包下载完整带答案解析版《★病理学(医学高级)》或《病理学(医学高级):病理学综合》题库
111、单项选择题 细菌性痢疾的肠道病变属于()。
A.出血性炎
B.蜂窝组织炎
C.假膜性炎
D.肉芽肿性炎
E.浆液性炎
点击查看答案
本题答案:微信扫下方二维码即可打包下载完整带答案解析版《★病理学(医学高级)》或《病理学(医学高级):病理学综合》题库
112、单项选择题 患者女,39岁,行阑尾手术切除时,发现阑尾尖端有一直径0.8cm的灰白色肿物,质硬,界限清楚,但无薄膜,经甲醛固定后肿物呈淡黄色。镜下:肿瘤内细胞大小一致,呈立方形或矮柱状,免疫组织化学染色SY阳性。
首先考虑的诊断是()。
A.阑尾囊肿
B.阑尾腺瘤
C.阑尾类癌
D.化脓性阑尾炎
E.阑尾脂肪瘤
点击查看答案
本题答案:微信扫下方二维码即可打包下载完整带答案解析版《★病理学(医学高级)》或《病理学(医学高级):病理学综合》题库
113、单项选择题 对结核病最有诊断价值的基本病理变化是()。
A.含大量淋巴细胞和巨噬细胞的渗出液
B.灰白色、半透明状的粟粒大小结节
C.找到Langhans巨细胞
D.干酪样坏死
E.类上皮细胞
点击查看答案
本题答案:微信扫下方二维码即可打包下载完整带答案解析版《★病理学(医学高级)》或《病理学(医学高级):病理学综合》题库
114、单项选择题 患者女,33岁人,结婚5年未孕,月经不规则多年,已闭经4个月,B型超声:内膜增厚1.0cm,内膜回声不均,双侧卵巢多囊性改变。尿妊娠试验阴性。
首选的治疗方案为()。
A.子宫全切除+双附件切除
B.广泛子宫切除+双附件切除+盆腔淋巴结清扫
C.子宫内膜电切割术
D.大剂量孕激素治疗及随访观察
E.人工周期治疗及随访观察
点击查看答案
本题答案:微信扫下方二维码即可打包下载完整带答案解析版《★病理学(医学高级)》或《病理学(医学高级):病理学综合》题库
115、多项选择题 关于毛囊角化病,叙述正确的有()。
A.皮损好发于富含皮脂腺区域
B.常表现为冬重夏轻
C.表皮细胞松解形成不规则松解性裂隙状疱
D.疱腔内有松解脱落的角化不全细胞和角化不良细胞
E.多为常染色体隐性遗传
点击查看答案
本题答案:微信扫下方二维码即可打包下载完整带答案解析版《★病理学(医学高级)》或《病理学(医学高级):病理学综合》题库
116、单项选择题 关于Barrett食管,叙述正确的是()。
A.确切的诊断无须内镜所见
B.发病率无性别和地域差异
C.大体检查黏膜呈黄白色斑块样
D.黏膜腺体出现化生的柱状上皮和杯状细胞,但没有潘氏细胞和吸收细胞
E.食管远端黏膜的鳞状上皮被化生的柱状上皮替代即为Barrett食管
点击查看答案
本题答案:微信扫下方二维码即可打包下载完整带答案解析版《★病理学(医学高级)》或《病理学(医学高级):病理学综合》题库
117、单项选择题 符合乳腺浸润性乳头状癌的是()。
A.大部分发生于绝经后女性
B.各种年龄都可发生
C.大部分发生于青春期女性
D.大部分发生于绝经前女性
E.多发生于白种人女性
点击查看答案
本题答案:微信扫下方二维码即可打包下载完整带答案解析版《★病理学(医学高级)》或《病理学(医学高级):病理学综合》题库
118、单项选择题
患者女,35岁。患者自述4个月前发现耳后一肿物,开始约花生大小,现略增大,无不适。大体检查:灰红肿块,3.0cm×2.3cm×2.0cm,其切面灰红,质地中等,境界较清。低倍镜检:可见增生的血管,伴明显淋巴细胞及嗜酸粒细胞浸润。
病理诊断考虑为()。(提示光镜下形态如图所示。)



A.淋巴瘤样肉芽肿
B.Kimuradisease
C.非特异性嗜酸细胞性炎症
D.上皮样血管瘤(血管淋巴样增生伴嗜酸粒细胞增多症)
E.寄生虫感染性肉芽肿
F.血管免疫母T细胞性淋巴瘤
点击查看答案
本题答案:微信扫下方二维码即可打包下载完整带答案解析版《★病理学(医学高级)》或《病理学(医学高级):病理学综合》题库
119、多项选择题
患者男,55岁,因“腹胀、腹部不适3个月”来诊。胃镜:胃体部占位。拟行手术。病理标本大体检查:胃体部一直径约4cm结节状肿物,突出于浆膜面。
病理诊断考虑为()。(提示光镜下组织形态如图所示。)

A.平滑肌肉瘤
B.胃肠道间质瘤(GIST)
C.脂肪瘤
D.平滑肌瘤
E.神经鞘瘤
F.颗粒细胞瘤
点击查看答案
本题答案:微信扫下方二维码即可打包下载完整带答案解析版《★病理学(医学高级)》或《病理学(医学高级):病理学综合》题库
120、多项选择题 关于胰腺神经内分泌肿瘤(NETs),叙述正确的是()。
A.均具有恶性潜能
B.根据免疫组织化学染色结果可判断功能性内分泌肿瘤分泌激素的细胞类型
C.低分化神经内分泌癌分为大细胞性和小细胞性两类
D.出现导管腺癌成分即可诊断混合性导管-神经内分泌癌
E.神经内分泌标志物2个以上阳性方可诊断
点击查看答案
本题答案:微信扫下方二维码即可打包下载完整带答案解析版《★病理学(医学高级)》或《病理学(医学高级):病理学综合》题库
121、多项选择题 Langerhans组织细胞增生症可表达的标志物有()。
A.CD1α
B.CD21
C.CD35
D.CD207
E.S-100
点击查看答案
本题答案:微信扫下方二维码即可打包下载完整带答案解析版《★病理学(医学高级)》或《病理学(医学高级):病理学综合》题库
122、单项选择题 血液中,白细胞减少见于()。
A.大叶性肺炎
B.小叶性肺炎
C.流脑
D.伤寒
E.菌痢
点击查看答案
本题答案:微信扫下方二维码即可打包下载完整带答案解析版《★病理学(医学高级)》或《病理学(医学高级):病理学综合》题库
123、单项选择题 患者女,56岁,因“右乳外上象限肿物1周”来诊。查体:肿物活动度差,局部皮肤凹陷,右腋下可触及多枚肿大淋巴结。术前粗针穿刺活检诊断为右乳浸润性癌,右腋下淋巴结内转移性低分化腺癌,行右侧乳房切除+右腋下淋巴结清扫术。大体检查:乳腺肿物2.5cm×1.9cm×1.3cm,边界不清呈放射状,质硬,切面灰白色。
确诊依据除外()。
A.肿瘤细胞推挤周围乳腺组织形成较清楚的边界
B.肿瘤细胞有异型性,形态不一,缺乏规律性的结构特征
C.肿瘤细胞排列成簇状、小梁状
D.没有坏死
E.见腺管样结构
点击查看答案
本题答案:微信扫下方二维码即可打包下载完整带答案解析版《★病理学(医学高级)》或《病理学(医学高级):病理学综合》题库
124、多项选择题 关于腱鞘巨细胞瘤,叙述正确的是()。
A.良性肿瘤,切除后不复发
B.可见黄色瘤细胞及多核巨细胞
C.可见滑膜样单个核细胞增生
D.不复发
E.最常发生于手指
点击查看答案
本题答案:微信扫下方二维码即可打包下载完整带答案解析版《★病理学(医学高级)》或《病理学(医学高级):病理学综合》题库
125、多项选择题 梭形细胞横纹肌肉瘤好发于()。
A.头颈部
B.躯干
C.四肢
D.睾丸旁
E.腹膜后
点击查看答案
本题答案:微信扫下方二维码即可打包下载完整带答案解析版《★病理学(医学高级)》或《病理学(医学高级):病理学综合》题库
126、单项选择题 前列腺增生是指()。
A.前列腺腺体肥大
B.前列腺腺体增生
C.前列腺间质纤维组织增生
D.前列腺腺体、平滑肌和纤维组织都增生
E.主要指前列腺平滑肌增生
点击查看答案
本题答案:微信扫下方二维码即可打包下载完整带答案解析版《★病理学(医学高级)》或《病理学(医学高级):病理学综合》题库
127、单项选择题 患者女,28岁,3年来反复乏力、食欲减退、肝区隐痛,血清氨基转移酶反复升高,胆红素偏高,血清球蛋白升高,血清ANA抗体,anti-dsDNA抗体均阳性,近来晨起常出现颜面部水肿。查体:背部红色突起盘状红斑,陈旧皮损有萎缩性瘢痕。
最可能的诊断是()。
A.慢性迁延性肝炎
B.慢性活动性肝炎
C.慢性重型肝炎
D.胆道感染
E.系统性红斑狼疮
点击查看答案
本题答案:微信扫下方二维码即可打包下载完整带答案解析版《★病理学(医学高级)》或《病理学(医学高级):病理学综合》题库
128、单项选择题 患者女,56岁,因“腹胀、腰部不适”来诊。CT:左上腹部占位性病变。大体检查:病变12cm×11cm,结节状,界清。组织学检查:肿瘤以梭形细胞为主,呈交错条索状排列,细胞密集,细胞胞质中等界限尚清。部分区域肿瘤细胞呈上皮样,片状分布,细胞胞质丰富,界限清楚。间质胶原轻度增生,伴有炎症细胞浸润。
该病例免疫组织化学检查CD117表达阳性时,首选的病理诊断是()。
A.转移性子宫内膜间质肿瘤
B.转移性恶性黑色素瘤
C.滑膜肉瘤
D.肥大细胞肉瘤
E.胃肠道间质肿瘤
点击查看答案
本题答案:微信扫下方二维码即可打包下载完整带答案解析版《★病理学(医学高级)》或《病理学(医学高级):病理学综合》题库
129、多项选择题 关于小管癌,叙述正确的有()。
A.与非特殊型浸润性导管癌相比更易发生于老年女性
B.肿瘤体积较小
C.常与一些上皮增生性病变共存
D.易发生淋巴结转移
E.小管由单层腺上皮细胞组成
点击查看答案
本题答案:微信扫下方二维码即可打包下载完整带答案解析版《★病理学(医学高级)》或《病理学(医学高级):病理学综合》题库
130、单项选择题 患者男,16岁,因“运动后上腹部胀痛”来诊。胃镜:胃体部后壁隆起性肿块,约3cm×5cm;胃镜超声:肿块累及胃壁肌层.行肿块穿刺组织学检查:病变由较单一的梭形细胞组成,细胞间质缺乏胶原,血管扩张。
当该病例诊断发生意见不一致时,首选的辅助诊断技术是()
A.特殊染色检查糖原
B.电镜检查神经内分泌颗粒
C.分子生物学技术检查KIT基因突变
D.FISH检查PDGFR基因扩增
E.免疫组织化学检查CD117
点击查看答案
本题答案:微信扫下方二维码即可打包下载完整带答案解析版《★病理学(医学高级)》或《病理学(医学高级):病理学综合》题库
131、单项选择题
患者女,43岁,因“左胸壁肿块”来诊。行穿刺活检,镜下形态如图所示。


该病最具特征性的染色体异常为()。
A.+5
B.+6
C.+7
D.+8
E.+9
点击查看答案
本题答案:微信扫下方二维码即可打包下载完整带答案解析版《★病理学(医学高级)》或《病理学(医学高级):病理学综合》题库
132、单项选择题 最多见的乳腺癌病理组织学类型是()。
A.浸润性导管癌非特殊型
B.浸润性微乳头状癌
C.浸润性小叶癌
D.黏液癌
E.髓样癌
点击查看答案
本题答案:微信扫下方二维码即可打包下载完整带答案解析版《★病理学(医学高级)》或《病理学(医学高级):病理学综合》题库
133、多项选择题 常表达MUM1抗原的肿瘤包括()。
A.经典型霍奇金淋巴瘤
B.大B细胞淋巴瘤
C.浆细胞骨髓瘤
D.结外浆细胞瘤
E.淋巴母细胞淋巴瘤
点击查看答案
本题答案:微信扫下方二维码即可打包下载完整带答案解析版《★病理学(医学高级)》或《病理学(医学高级):病理学综合》题库
134、单项选择题 与肝细胞癌的发生无关的是()。
A.HBV感染
B.卫氏并殖吸虫感染
C.HCV感染
D.黄曲霉毒素
E.肝硬化
点击查看答案
本题答案:微信扫下方二维码即可打包下载完整带答案解析版《★病理学(医学高级)》或《病理学(医学高级):病理学综合》题库
135、单项选择题 较常发生双侧乳腺癌的病理组织学类型是()。
A.浸润性导管癌非特殊型
B.浸润性微乳头状癌
C.浸润性小叶癌
D.黏液癌
E.髓样癌
点击查看答案
本题答案:微信扫下方二维码即可打包下载完整带答案解析版《★病理学(医学高级)》或《病理学(医学高级):病理学综合》题库
136、单项选择题 患者女,35岁,十二指肠乳头下方3cm处发现一个直径约1.5cm肿块,呈息肉状生长。切面见肿块淡黄色,位于黏膜下,与周围界限欠清;表面黏膜大多光滑,中央可见浅溃疡形成。
关于小肠胰腺异位,叙述错误的是()。
A.最多见于空肠Meckel憩室
B.多位于肠黏膜下
C.胰腺腺泡和导管为主要成分
D.胰腺导管和平滑肌构成主要成分
E.可发生急、慢性胰腺炎及胰岛细胞瘤
点击查看答案
本题答案:微信扫下方二维码即可打包下载完整带答案解析版《★病理学(医学高级)》或《病理学(医学高级):病理学综合》题库
137、多项选择题 阴道腺病的腺上皮组织学类型为()。
A.宫颈内膜型
B.透明细胞型
C.子宫内膜型
D.中肾管型
E.输卵管上皮型
点击查看答案
本题答案:微信扫下方二维码即可打包下载完整带答案解析版《★病理学(医学高级)》或《病理学(医学高级):病理学综合》题库
138、单项选择题
患者男,65岁,因“无痛性血尿2个月”来诊。膀胱镜:黏膜菜花样肿块。低倍镜观察如图所示。

首先考虑的诊断是()。
A.尿路上皮乳头状增生
B.内翻性乳头状瘤
C.尿路上皮乳头状瘤
D.尿路上皮乳头状肿瘤,低度恶性潜能或非浸润性乳头状尿路上皮癌,低级别
E.非浸润性乳头状尿路上皮癌,高级别
点击查看答案
本题答案:微信扫下方二维码即可打包下载完整带答案解析版《★病理学(医学高级)》或《病理学(医学高级):病理学综合》题库
139、单项选择题 GIST可发生在消化道的任何部位,从食管中段至肛门。GIST的最好发部位是()。
A.食管
B.胃
C.小肠
D.结肠
E.直肠
点击查看答案
本题答案:微信扫下方二维码即可打包下载完整带答案解析版《★病理学(医学高级)》或《病理学(医学高级):病理学综合》题库
140、单项选择题 致密沉积物病属于下列哪种肾小球肾炎()。
A.膜性肾小球肾炎
B.急进性肾小球肾炎
C.系膜增生性肾小球肾炎
D.膜性增生性肾小球肾炎
E.毛细血管内增生性肾小球肾炎
点击查看答案
本题答案:微信扫下方二维码即可打包下载完整带答案解析版《★病理学(医学高级)》或《病理学(医学高级):病理学综合》题库
141、单项选择题 关于前列腺增生,叙述错误的是()。
A.其发生可能与性激素平衡失调有关
B.常见于老年男性
C.中叶增生,可产生严重的排尿障碍
D.可以发展为前列腺癌
E.肉眼观察多呈结节状
点击查看答案
本题答案:微信扫下方二维码即可打包下载完整带答案解析版《★病理学(医学高级)》或《病理学(医学高级):病理学综合》题库
142、单项选择题 大多数肾小球肾炎发病是由于()。
A.Ⅰ型变态反应
B.Ⅱ型变态反应
C.Ⅲ型变态反应
D.Ⅳ型变态反应
E.细菌直接感染
点击查看答案
本题答案:微信扫下方二维码即可打包下载完整带答案解析版《★病理学(医学高级)》或《病理学(医学高级):病理学综合》题库
143、单项选择题
患者女,38岁,因“月经量增多、经期延长6个月”来诊。末前次月经8月1日,末次月经9月1日,9月8日阴道出血量仍多,有血块。诊断性刮宫刮出少量血凝块及内膜组织,部分呈息肉状。镜下见破碎子宫内膜,有的呈增生期反应,有的呈不规则增生,有的伴分泌反应,可见厚壁血管丛。
镜下局部腺体如图所示,诊断考虑为()。

A.子宫内膜不规则增生
B.局部复杂性增生
C.嗜酸性乳头状化生
D.嗜酸性不典型乳头状化生
E.子宫内膜上皮内瘤变
点击查看答案
本题答案:微信扫下方二维码即可打包下载完整带答案解析版《★病理学(医学高级)》或《病理学(医学高级):病理学综合》题库
144、单项选择题 硬化性横纹肌肉瘤的特征为弥漫性表达()。
A.myogenin
B.desmin
C.MSA
D.MyoD1
E.myoglobin
点击查看答案
本题答案:微信扫下方二维码即可打包下载完整带答案解析版《★病理学(医学高级)》或《病理学(医学高级):病理学综合》题库
145、单项选择题 股静脉血栓脱落常栓塞于()。
A.脑动脉
B.肺动脉
C.肝动脉
D.肾动脉
E.冠状动脉
点击查看答案
本题答案:微信扫下方二维码即可打包下载完整带答案解析版《★病理学(医学高级)》或《病理学(医学高级):病理学综合》题库
146、单项选择题 对Hale胶体铁染色呈蓝色阳性反应的肾细胞癌是()。
A.透明细胞肾细胞癌
B.乳头状肾细胞癌
C.嫌色细胞肾细胞癌
D.Bellini集合管癌
E.肾髓质癌
点击查看答案
本题答案:微信扫下方二维码即可打包下载完整带答案解析版《★病理学(医学高级)》或《病理学(医学高级):病理学综合》题库
147、单项选择题 肾细胞癌来源于()。
A.移行上皮
B.鳞状上皮
C.肾小管上皮
D.球囊壁层上皮
E.足细胞
点击查看答案
本题答案:微信扫下方二维码即可打包下载完整带答案解析版《★病理学(医学高级)》或《病理学(医学高级):病理学综合》题库
148、多项选择题 患者男,69岁,因“阴茎包皮出现结节,伴表面破溃”来诊。查体:患者阴茎包皮出现小结节,圆形,直径1cm,表面破溃形成糜烂、浅溃疡,与周围分界清楚。
该患者可能的病变有()。
A.生殖器疱疹
B.尖锐湿疣
C.鳞癌
D.恶性淋巴瘤
E.梅毒
F.性病性淋巴肉芽肿
G.软下疳
H.淋病
点击查看答案
本题答案:微信扫下方二维码即可打包下载完整带答案解析版《★病理学(医学高级)》或《病理学(医学高级):病理学综合》题库
149、单项选择题 流行性脑脊髓膜炎典型的病理变化是()。
A.神经细胞变性坏死
B.脑软化灶形成
C.噬神经细胞现象
D.蛛网膜下腔脓性渗出物堆积
E.淋巴细胞袖套状浸润
点击查看答案
本题答案:微信扫下方二维码即可打包下载完整带答案解析版《★病理学(医学高级)》或《病理学(医学高级):病理学综合》题库
150、多项选择题
患者男,42岁,因“牙龈肿胀2个月”来诊。查体:局部牙龈肿胀,质韧,触之出血。行活检。镜检形态学表现如图所示。

临床上还需要进行的实验室检查有()。
A.血常规
B.骨髓穿刺检查/活检
C.流式细胞术
D.染色体核型分析
E.PET-CT
F.嗜异性凝集试验
点击查看答案
本题答案:微信扫下方二维码即可打包下载完整带答案解析版《★病理学(医学高级)》或《病理学(医学高级):病理学综合》题库
151、单项选择题 患者男,32岁,因“昏迷”来诊。查体:T38.9℃,可触及脾尖,左侧肘窝可见点状或线状出血点,心脏听诊可闻及杂音。患者为静脉吸毒者。后经抢救无效死亡。
该患者心肌病变:病灶中间可见紫蓝色细颗粒状团块,周围主要为中性粒细胞及变性坏死的粒细胞;局部心肌大部分被溶解破坏,邻近小血管壁结构被破坏但尚可辨认,小血管中充满白细胞和脓细胞。最可能的诊断为()。
A.心肌梗死
B.血栓形成
C.心脏弓形虫病变
D.心肌细胞凋亡
E.心肌小脓肿
点击查看答案
本题答案:微信扫下方二维码即可打包下载完整带答案解析版《★病理学(医学高级)》或《病理学(医学高级):病理学综合》题库
152、单项选择题 关于阴道上皮内瘤变,叙述错误的是()。
A.发病与人乳头瘤病毒(HPV)感染有关
B.常在以前或诊断时伴有宫颈病变
C.病理组织学表现及分级与VIN类似
D.发生于阴道的上1/3
E.细胞学检查有一定诊断意义
点击查看答案
本题答案:微信扫下方二维码即可打包下载完整带答案解析版《★病理学(医学高级)》或《病理学(医学高级):病理学综合》题库
153、单项选择题 患者男,2岁,因“左侧面瘫2个月”来诊。MRI:左小脑脑桥角巨大占位。
根据病史和影像学表现,首先考虑的诊断是()。
A.畸胎瘤
B.神经鞘瘤
C.脑膜瘤
D.非典型畸胎样/横纹肌样瘤
E.血管母细胞瘤
点击查看答案
本题答案:微信扫下方二维码即可打包下载完整带答案解析版《★病理学(医学高级)》或《病理学(医学高级):病理学综合》题库
154、单项选择题 痰涂片阳性率最高的肺癌类型是()。
A.鳞状细胞癌
B.腺癌
C.小细胞癌
D.大细胞癌
E.瘢痕癌
点击查看答案
本题答案:微信扫下方二维码即可打包下载完整带答案解析版《★病理学(医学高级)》或《病理学(医学高级):病理学综合》题库
155、多项选择题 Gram染色呈阴性反应的细菌有()。
A.金黄色葡萄球菌
B.溶血性链球菌
C.结核杆菌
D.麻风杆菌
E.梅毒螺旋体
点击查看答案
本题答案:微信扫下方二维码即可打包下载完整带答案解析版《★病理学(医学高级)》或《病理学(医学高级):病理学综合》题库
156、单项选择题 钩端螺旋体的主要传播途径是()。
A.经飞沫传播
B.经消化道传播
C.经接触传播
D.经血液传播
E.经胎盘传播
点击查看答案
本题答案:微信扫下方二维码即可打包下载完整带答案解析版《★病理学(医学高级)》或《病理学(医学高级):病理学综合》题库
157、单项选择题 患者女,63岁,胃体部发现一个直径约1.5cm的肿块,呈息肉状生长,表面黏膜大多光滑,局部见浅表溃疡形成。切面见肿块呈灰白、灰黄色,位于黏膜下,界限尚清。
最不可能的病理诊断是()
A.腺瘤
B.脂肪瘤
C.胰腺异位
D.平滑肌瘤
E.神经内分泌肿瘤
点击查看答案
本题答案:微信扫下方二维码即可打包下载完整带答案解析版《★病理学(医学高级)》或《病理学(医学高级):病理学综合》题库
158、单项选择题
患者女,48岁,因“左乳内上象限肿物1周”来诊。查体:肿物活动度差,触诊及B型超声均未发现同侧腋下淋巴结肿大。其姐患乳腺癌,母亲患卵巢癌。术前乳腺内肿物粗针穿刺组织病理诊断浸润性癌,行乳房切除手术。大体检查:乳腺肿瘤呈圆形,2.9 cm×1.9 cm×1.8 cm,边界清楚,质软,切面灰白色。
光镜下病理组织学形态及细胞角蛋白免疫组织化学染色结果如下图所示。最有可能的病理诊断是()。



A.浸润性导管癌非特殊型
B.浸润性导管癌特殊型
C.髓样癌
D.浸润性小叶癌变异型
E.黏液癌
点击查看答案
本题答案:微信扫下方二维码即可打包下载完整带答案解析版《★病理学(医学高级)》或《病理学(医学高级):病理学综合》题库
159、多项选择题 需要与淋巴结的间变大细胞淋巴瘤相鉴别的疾病有()。
A.经典型霍奇金淋巴瘤
B.转移性低分化癌
C.大B细胞淋巴瘤
D.滤泡树突状细胞肿瘤
E.转移性黑色素瘤
点击查看答案
本题答案:微信扫下方二维码即可打包下载完整带答案解析版《★病理学(医学高级)》或《病理学(医学高级):病理学综合》题库
160、多项选择题 可作为诊断前列腺癌独立指征的病理特征有()。
A.增生的腺上皮细胞异型性明显
B.神经周围侵犯(绕神经侵犯)
C.伴有较明显的纤维组织增生
D.黏液样纤维组织形成(产生胶原的微结节)
E.筛状增生形成附于腺体一侧,形成肾小球样结构
点击查看答案
本题答案:微信扫下方二维码即可打包下载完整带答案解析版《★病理学(医学高级)》或《病理学(医学高级):病理学综合》题库
161、单项选择题 患者女,72岁,因“绝经25年后阴道少量出血1周”来诊。B型超声:宫腔肿块,侵犯深肌层。
不属于Ⅱ型癌的是()。
A.浆液性乳头状腺癌
B.透明细胞癌
C.神经内分泌癌
D.未分化癌
E.癌肉瘤
点击查看答案
本题答案:微信扫下方二维码即可打包下载完整带答案解析版《★病理学(医学高级)》或《病理学(医学高级):病理学综合》题库
162、单项选择题 患者男,65岁,因“不明原因右侧腹部不适,隐痛,食欲减退2个月”来诊。发病以来,患者体重自65kg降至52kg。患者自幼居住南方,无外地居住史。血清学检查:AFP不高,CA19-9及CA125复查3次,均明显增高。
该肿瘤的癌前病变最常见于()。
A.胆管上皮内瘤变
B.胆管内乳头状瘤
C.VonMeyenburg病
D.胆管腺瘤
E.胆管周围腺体增生
点击查看答案
本题答案:微信扫下方二维码即可打包下载完整带答案解析版《★病理学(医学高级)》或《病理学(医学高级):病理学综合》题库
163、单项选择题 慢性硬化性肾小球肾炎的尿液变化是()。
A.蛋白尿
B.少尿、无尿
C.多尿、夜尿
D.管型尿
E.血尿
点击查看答案
本题答案:微信扫下方二维码即可打包下载完整带答案解析版《★病理学(医学高级)》或《病理学(医学高级):病理学综合》题库
164、多项选择题 子宫内膜腺体与间质反应不同步,常出现于()。
A.子宫内膜息肉
B.子宫内膜分泌期
C.子宫内膜复杂性不典型增生
D.口服避孕药
E.激素类药物治疗
点击查看答案
本题答案:微信扫下方二维码即可打包下载完整带答案解析版《★病理学(医学高级)》或《病理学(医学高级):病理学综合》题库
165、多项选择题
患者女,40岁,因“劳累时心悸、气促10年,反复水肿3年”来诊。患者去年病情开始加剧,不能平卧,尿少,腹部肿大,双下肢水肿,咳粉红色泡沫痰。既往10岁时患关节炎,有喉咙痛、扁桃体炎病史。查体:面色、口唇发绀,呼吸加快,脉搏、血压检查不满意,双肺大量湿性啰音,心律不齐,140次/min,心尖处闻及舒张期隆隆样杂音,心界扩大,有腹腔积液征,肝肋下9cm,双下肢凹陷性水肿,颈静脉怒张。血WBC14×109/L,入院后治疗、抢救无效死亡,行尸体解剖。
病理诊断是()。
A.左房室瓣狭窄
B.高血压肾病
C.冠心病
D.左侧心力衰竭
E.右侧心力衰竭
F.左房室瓣关闭不全
G.门脉性肝硬化
点击查看答案
本题答案:微信扫下方二维码即可打包下载完整带答案解析版《★病理学(医学高级)》或《病理学(医学高级):病理学综合》题库
166、单项选择题 恶性高血压最具有特征性的病变是()。
A.细动脉的玻璃样变
B.细动脉的纤维素性坏死
C.细小动脉内膜炎
D.动脉粥样硬化
E.动脉中层钙化
点击查看答案
本题答案:微信扫下方二维码即可打包下载完整带答案解析版《★病理学(医学高级)》或《病理学(医学高级):病理学综合》题库
167、多项选择题 尿路上皮原位癌的组织学亚型包括()。
A.大细胞原位癌
B.小细胞原位癌
C.Paget样原位癌
D.微乳头型原位癌
E.伴鳞状或腺样分化的原位癌
点击查看答案
本题答案:微信扫下方二维码即可打包下载完整带答案解析版《★病理学(医学高级)》或《病理学(医学高级):病理学综合》题库
168、单项选择题
患者男,28岁,因“发现颈左侧结节1个月余,渐长大”来诊。经抗生素治疗无效。行活检,大体检查:灰白色结节1个,有完整包膜,切面灰白色,质地细腻。显微镜检查如图所示。

病理诊断是()。(提示免疫表型检测结果:CD45(-),CD20(-),CD3(-),EMA(+),PCK(-),CD30(+),粒酶B(+),ALK(+),Ki-6750%。)
A.转移性低分化癌
B.间变大B细胞淋巴瘤
C.透明细胞肉瘤
D.间变大细胞淋巴瘤,ALK(+)
E.恶性黑色素瘤
F.Ewing肉瘤/PNET
G.间变大细胞淋巴瘤,ALK(-)
点击查看答案
本题答案:微信扫下方二维码即可打包下载完整带答案解析版《★病理学(医学高级)》或《病理学(医学高级):病理学综合》题库
169、单项选择题 患者男,38岁,因“肛门区肿块1个月”来诊。患者为同性恋。
查体:肛门口疣状肿物2.5cm×2.0cm,切面肿物基底与间质界限尚清,镜下:鳞状上皮呈乳头状增生,表面角化不全,底部钉突呈杵状向间质推进式浸润。该患者最有可能的诊断是()。
A.梅毒
B.尖锐湿疣
C.肛管基底细胞癌
D.疣状癌
E.鳞状细胞癌
点击查看答案
本题答案:微信扫下方二维码即可打包下载完整带答案解析版《★病理学(医学高级)》或《病理学(医学高级):病理学综合》题库
170、单项选择题 消化性溃疡底部不具有()。
A.炎症渗出
B.肉芽组织
C.肉芽肿
D.瘢痕组织
E.组织坏死
点击查看答案
本题答案:微信扫下方二维码即可打包下载完整带答案解析版《★病理学(医学高级)》或《病理学(医学高级):病理学综合》题库
171、多项选择题 已被认为是孤立性纤维性肿瘤的特殊类型的是()。
A.血管纤维瘤
B.富于细胞性血管纤维瘤
C.巨细胞血管纤维瘤
D.巨细胞成纤维细胞瘤
E.脂肪瘤样血管外皮瘤
点击查看答案
本题答案:微信扫下方二维码即可打包下载完整带答案解析版《★病理学(医学高级)》或《病理学(医学高级):病理学综合》题库
172、单项选择题 膀胱移行细胞乳头状瘤的特点是()。
A.细胞有一定程度的异型性
B.无痛性血尿是主要表现
C.不发生癌变
D.好发于膀胱颈
E.切除后不复发
点击查看答案
本题答案:微信扫下方二维码即可打包下载完整带答案解析版《★病理学(医学高级)》或《病理学(医学高级):病理学综合》题库
173、单项选择题 肠阿米巴最常引起的并发症为()。
A.肺脓肿
B.脑脓肿
C.肝脓肿
D.心包炎
E.脓胸
点击查看答案
本题答案:微信扫下方二维码即可打包下载完整带答案解析版《★病理学(医学高级)》或《病理学(医学高级):病理学综合》题库
174、单项选择题 下列哪项不是系统性自身免疫病()。
A.系统性硬化
B.重症肌无力
C.结节性多动脉炎
D.类风湿关节炎
E.SLE
点击查看答案
本题答案:微信扫下方二维码即可打包下载完整带答案解析版《★病理学(医学高级)》或《病理学(医学高级):病理学综合》题库
175、单项选择题 患者女,65岁,因“肛门周围皮肤见细小乳头状突起,淡红色,有痒感”来诊。
采用免疫组织化学染色,有助于诊断的阳性标志物为()。
A.HSV
B.HPV
C.p16
D.p53
E.Ki-67
点击查看答案
本题答案:微信扫下方二维码即可打包下载完整带答案解析版《★病理学(医学高级)》或《病理学(医学高级):病理学综合》题库
176、单项选择题 肾小球的基膜伸出突起与基膜垂真相连,形似梳齿,见于下列哪种疾病()。
A.Ⅰ型膜性增生性肾小球肾炎
B.Ⅱ型膜性增生性肾小球肾炎
C.膜性肾小球肾炎
D.微小病变性肾小球肾炎
E.新月体性肾小球肾炎
点击查看答案
本题答案:微信扫下方二维码即可打包下载完整带答案解析版《★病理学(医学高级)》或《病理学(医学高级):病理学综合》题库
177、单项选择题 根据损伤修复的有关知识,请辨别如下问题。
不属于细胞有丝分裂间期的是()。
A.G0期
B.G1期
C.M期
D.S期
E.G2期
点击查看答案
本题答案:微信扫下方二维码即可打包下载完整带答案解析版《★病理学(医学高级)》或《病理学(医学高级):病理学综合》题库
178、多项选择题
患者女,14岁,未婚,因“血样白带6个月余,阴道出血24d”来诊。查体:宫腔肿物自阴道脱出。取出部分组织活检。大体检查:碎肿瘤组织12cm×11cm×3cm,部分呈葡萄状、分叶状。送检组织如图所示。

通过大体检查首先考虑为()。
A.子宫葡萄簇肉瘤
B.子宫内膜癌
C.子宫恶性Müllerian混合瘤
D.神经外胚层肿瘤
E.恶性黑色素瘤
F.软组织肉瘤
点击查看答案
本题答案:微信扫下方二维码即可打包下载完整带答案解析版《★病理学(医学高级)》或《病理学(医学高级):病理学综合》题库
179、单项选择题 患者女,63岁,胃体部发现一个直径约1.5cm的肿块,呈息肉状生长,表面黏膜大多光滑,局部见浅表溃疡形成。切面见肿块呈灰白、灰黄色,位于黏膜下,界限尚清。
高倍镜显示肿瘤细胞核分裂象约15个/10HPF,Ki-67指数10%。免疫组织化学染色:CK(+),CGA(+),SYN(+),CD56(+)。按WHO神经内分泌肿瘤(NETs)分级,此瘤为()
A.神经内分泌肿瘤1级(NETG1)
B.神经内分泌肿瘤2级(NETG2)
C.神经内分泌肿瘤3级(NETG3)
D.神经内分泌癌(NEC.
E.混合性腺癌神经内分泌癌(MANEC.
点击查看答案
本题答案:微信扫下方二维码即可打包下载完整带答案解析版《★病理学(医学高级)》或《病理学(医学高级):病理学综合》题库
180、单项选择题 患者女,55岁,右乳乳腺癌术后1年余,右侧胸部及右手臂肿胀,局部皮下触及隆起性肿块,边界不清,表面皮肤紫红色。
最不可能的病理诊断是()。
A.机化血栓
B.脂肪瘤
C.血管肉瘤
D.肉芽肿
E.血管瘤
点击查看答案
本题答案:微信扫下方二维码即可打包下载完整带答案解析版《★病理学(医学高级)》或《病理学(医学高级):病理学综合》题库
181、单项选择题 患者男,56岁,因“消瘦、食欲减退及右上腹痛”来诊。查体:巩膜及全身皮肤黄染,肝大,腹腔积液。实验室检查:AFP升高,乙肝表面抗原阳性。CT:肝内巨大结节,约10cm×8cm。肝穿刺组织学:细胞呈小梁状排列,小梁之间为肝窦样血管,细胞异型性明显,核分裂象易见。
该患者最有可能患的疾病是()。
A.结节性肝硬化
B.肝细胞腺瘤
C.肝细胞癌
D.肝内胆管癌
E.结节性再生性增生
点击查看答案
本题答案:微信扫下方二维码即可打包下载完整带答案解析版《★病理学(医学高级)》或《病理学(医学高级):病理学综合》题库
182、单项选择题 免疫组织化学Leu-M1(CD15)弥漫阳性的是()。
A.颗粒细胞瘤
B.黏液性腺癌
C.无性细胞瘤
D.透明细胞腺癌
E.硬化性间质瘤
点击查看答案
本题答案:微信扫下方二维码即可打包下载完整带答案解析版《★病理学(医学高级)》或《病理学(医学高级):病理学综合》题库
183、单项选择题 同时性双侧乳腺癌是指()。
A.在6个月内发生的双侧乳腺原发癌
B.在2个月内发生的双侧乳腺原发癌
C.在2年内发生的双侧乳腺原发癌
D.在1年内发生的双侧乳腺原发癌
E.在3年内发生的双侧乳腺原发癌
点击查看答案
本题答案:微信扫下方二维码即可打包下载完整带答案解析版《★病理学(医学高级)》或《病理学(医学高级):病理学综合》题库
184、单项选择题 患者男,因“近期咽部干燥刺痛和异物感”来诊。患者有不同程度的吞咽疼痛、吞咽困难,伴干咳。患者患糖尿病10年。胸部X线片未见异常,血常规未见白细胞增高。服用抗生素治疗无效,临床怀疑为咽部真菌感染,行活体组织病理学检查。显微镜下检查可见非特异性炎症改变。
若诊断念珠菌病,则病理检查确诊的依据是()。
A.病变组织中检出真菌
B.病变组织中见呈抗酸染色阳性的短棒状杆菌
C.炎性肉芽肿和炎性肉芽组织内见PAS或六胺银染色阳性的有隔分枝菌丝
D.病变组织中巨噬细胞内外见PAS或阿辛蓝染色阳性的有荚膜的球菌
E.病变组织中见呈PAS染色阳性的真菌孢子和假菌丝
点击查看答案
本题答案:微信扫下方二维码即可打包下载完整带答案解析版《★病理学(医学高级)》或《病理学(医学高级):病理学综合》题库
185、单项选择题
患者男,45岁,因“右小腿皮下肿块6个月,伴轻微疼痛”来诊。大体检查:肿块3cm×2cm×2cm,边界不清。
最可能的诊断是()。(提示光镜下,肿瘤细胞呈圆形或者略呈梭形,排列成短条索状或实性细胞巢,肿瘤细胞形成小的细胞内管腔,看似细胞内空泡,使得瘤细胞核偏位,印戒样,其微血管腔内偶见红细胞(下图)。)


A.上皮样肉瘤
B.上皮样血管瘤
C.血管肉瘤
D.皮肤隆突性纤维肉瘤
E.上皮样血管内皮瘤
F.肌内黏液瘤
G.血管球瘤
点击查看答案
本题答案:微信扫下方二维码即可打包下载完整带答案解析版《★病理学(医学高级)》或《病理学(医学高级):病理学综合》题库
186、多项选择题 患者男,54岁,因“胃部不适6个月”来诊。胃镜:胃体大弯后侧壁见一黏膜皱襞肥大区,呈脑回状,表面颗粒样粗糙不平,面积约30mm×40mm。
可能的病变是()。
A.慢性肥厚性胃炎
B.胃息肉
C.旺炽性胃炎
D.淋巴瘤
E.Crohn病
F.胃腺癌
G.胃结核
点击查看答案
本题答案:微信扫下方二维码即可打包下载完整带答案解析版《★病理学(医学高级)》或《病理学(医学高级):病理学综合》题库
187、多项选择题 肛管上皮内瘤变包括()。
A.肛管白斑
B.鲍温样丘疹病
C.Bowen病
D.Paget病
E.疣状癌
点击查看答案
本题答案:微信扫下方二维码即可打包下载完整带答案解析版《★病理学(医学高级)》或《病理学(医学高级):病理学综合》题库
188、单项选择题 患者男,51岁,因“胸痛1年,爬楼梯或运动后胸痛加重”来诊。自述有吸烟史,每天10支。体重超重。胆固醇筛查:总胆固醇6.46mmol/L,HDL0.65mmol/L;空腹血糖8.05mmol/L。遂送往医院接受治疗,发病后出现胸骨后“压榨性”严重胸痛。后住院期间并发感染死亡。
冠状血管的横断面显示血管壁局部增厚,增厚处可见棕黄色沉积物。则病变最可能是()。
A.冠状动脉粥样硬化
B.冠状动脉血栓
C.冠状动脉狭窄
D.冠状动脉破裂
E.冠状动脉管壁动脉瘤
点击查看答案
本题答案:微信扫下方二维码即可打包下载完整带答案解析版《★病理学(医学高级)》或《病理学(医学高级):病理学综合》题库
189、单项选择题 患者男,33岁,因“腹胀、腹部不适3个月”来诊。肠镜检查发现回盲部病变而手术。病理标本大体检查:回肠末端一约5cm×4cm不规则溃疡型病变,周围肠黏膜肉眼观察尚正常。
切面见坏死,周围肠壁质地偏韧。光镜:表面黏膜溃疡,肠壁大片坏死,周围纤维组织增生伴大量淋巴样细胞浸润,并可见少量上皮样细胞、朗格汉斯巨细胞聚集。最可能的诊断是()。
A.肠结核
B.溃疡性结肠炎
C.淋巴瘤
D.假膜性肠炎
E.Crohn病
点击查看答案
本题答案:微信扫下方二维码即可打包下载完整带答案解析版《★病理学(医学高级)》或《病理学(医学高级):病理学综合》题库
190、单项选择题 患者女,50岁,因“右侧腹部隐痛,轻度黄疸4个月”来诊。B型超声:肝脏一直径10cm肿物。肿瘤为多房囊性,囊腔较大。
可能的诊断为()。
A.浆液性囊腺瘤
B.黏液性囊腺瘤
C.胆管腺瘤
D.肝海绵状血管瘤
E.肝多发性囊肿
点击查看答案
本题答案:微信扫下方二维码即可打包下载完整带答案解析版《★病理学(医学高级)》或《病理学(医学高级):病理学综合》题库
191、单项选择题 肾母细胞瘤又称()。
A.Wilms瘤
B.Ewing瘤
C.Krukenberg瘤
D.Burkitt瘤
E.以上都不是
点击查看答案
本题答案:微信扫下方二维码即可打包下载完整带答案解析版《★病理学(医学高级)》或《病理学(医学高级):病理学综合》题库
192、多项选择题
患者男,49岁,因“腰痛2个月”入院。查体:L1~L3椎体破坏,余无明显阳性体征。X线:溶骨性病变;术中冷冻组织活检,镜下几乎未见正常骨质,可见大量片状增生的小淋巴细胞,细胞异型性不明显,组织边缘可见少量体积较大细胞,胞质淡染,核增大,形态略不规则,未见明确坏死灶。
冷冻切片时需要考虑的病变有()。
A.椎骨结核
B.椎体的慢性骨髓炎
C.骨纤维结构不良
D.骨嗜酸性肉芽肿
E.骨霍奇金淋巴瘤
F.骨非霍奇金淋巴瘤
G.骨转移癌
H.骨Ewing肉瘤/PNET
I.骨母细胞瘤
点击查看答案
本题答案:微信扫下方二维码即可打包下载完整带答案解析版《★病理学(医学高级)》或《病理学(医学高级):病理学综合》题库
193、多项选择题
患者女,35岁,近6个月月经紊乱、经期延长。B型超声:宫腔赘生物约3cm×3cm×2cm。宫腔镜下行电切割术。大体观察:中量灰黄色碎软组织,质较细腻。光镜下组织图像如图所示。

病理诊断为()。(提示免疫组织化学检测:CD10(+)、SMA(-)、desmin(-)、caldesmon(-)、calretinin(-)、CK(-)、inhibin(-)、HMB-45(-)。)
A.子宫内膜间质结节
B.子宫内膜间质肉瘤
C.未分化子宫内膜肉瘤
D.子宫黏膜下平滑肌瘤
E.子宫腺肌病
F.子宫转移性肿瘤
点击查看答案
本题答案:微信扫下方二维码即可打包下载完整带答案解析版《★病理学(医学高级)》或《病理学(医学高级):病理学综合》题库
194、单项选择题 患者女,63岁,胃体部发现一个直径约1.5cm的肿块,呈息肉状生长,表面黏膜大多光滑,局部见浅表溃疡形成。切面见肿块呈灰白、灰黄色,位于黏膜下,界限尚清。
关于胃神经内分泌肿瘤,叙述错误的是()。
A.大部分为高分化非功能性肠嗜铬样(ECL)细胞类癌
B.常发生于胃体和胃底黏膜
C.ECL细胞类癌中Ⅱ型最多见
D.可伴发外分泌肿瘤
E.大细胞内分泌癌最少见
点击查看答案
本题答案:微信扫下方二维码即可打包下载完整带答案解析版《★病理学(医学高级)》或《病理学(医学高级):病理学综合》题库
195、单项选择题 患者男,因“近期咽部干燥刺痛和异物感”来诊。患者有不同程度的吞咽疼痛、吞咽困难,伴干咳。患者患糖尿病10年。胸部X线片未见异常,血常规未见白细胞增高。服用抗生素治疗无效,临床怀疑为咽部真菌感染,行活体组织病理学检查。显微镜下检查可见非特异性炎症改变。
若诊断咽结核,则病理检查确诊的依据是()。
A.病变组织中检出真菌
B.病变组织中见呈抗酸染色阳性的短棒状杆菌
C.炎性肉芽肿和炎性肉芽组织内见PAS或六胺银染色阳性的有隔分枝菌丝
D.病变组织中巨噬细胞内外见PAS或阿辛蓝染色阳性的有荚膜的球菌
E.病变组织中见呈PAS染色阳性的真菌孢子和假菌丝
点击查看答案
本题答案:微信扫下方二维码即可打包下载完整带答案解析版《★病理学(医学高级)》或《病理学(医学高级):病理学综合》题库
196、单项选择题 患者女,54岁,右乳腺浸润性小叶癌(经典型)术后3年,右腋下淋巴结(0/18),ER及PR均阳性,CerbB-2阴性,术后内分泌治疗中。现发现左乳内上象限肿物1周,活动度差,粗针穿刺活检诊断为浸润性癌,左腋下可触及肿大淋巴结。行乳房切除及同侧腋下淋巴结清扫术。大体检查:左乳肿瘤形态不规则,3.9cm×3.1cm×2.8cm,边界不清,质硬,切面灰白色。
浸润性小叶癌更为常见的转移部位是()。
A.骨
B.肺
C.子宫、卵巢
D.脑膜以及其他的浆膜性组织
E.胃肠道
点击查看答案
本题答案:微信扫下方二维码即可打包下载完整带答案解析版《★病理学(医学高级)》或《病理学(医学高级):病理学综合》题库
197、单项选择题 肾小球肾炎属于()。
A.化脓性炎
B.纤维素性炎
C.肉芽肿性炎
D.出血性炎
E.增生性炎
点击查看答案
本题答案:微信扫下方二维码即可打包下载完整带答案解析版《★病理学(医学高级)》或《病理学(医学高级):病理学综合》题库
198、多项选择题 患者女,42岁,因“左乳溢液1个月余”入院。大体检查:乳腺组织切面未见确切结节,见多个囊腔。
黏液囊肿样病变与黏液癌的鉴别要点是()。
A.准确判断黏液囊肿样病变内衬上皮的性质
B.明确漂浮于外溢黏液中的细胞性质
C.漂浮于外溢黏液中细胞的量
D.漂浮细胞与囊肿/导管壁相延续
E.患者发病年龄
F.病变大体呈黏液胶冻样外观
点击查看答案
本题答案:微信扫下方二维码即可打包下载完整带答案解析版《★病理学(医学高级)》或《病理学(医学高级):病理学综合》题库
199、单项选择题
患者男,40岁,因“呼吸困难、胸痛”来诊。患者从事采矿工作20余年。CT:左侧壁层胸膜5.0cm×4.8cm肿物,累及脏层胸膜和肺组织。术中见肿物单发,直径约5cm,实性,灰白,与脏层胸膜粘连。镜下:肿瘤细胞呈成纤维细胞样,大部分异型性不明显,细胞稀少区和细胞丰富区之间有粗的玻璃样变胶原和分支状血管分隔,如图所示。

最可能的诊断是()。
A.纤维肉瘤
B.血管周细胞瘤
C.间皮瘤
D.神经鞘瘤
E.孤立性纤维性肿瘤
点击查看答案
本题答案:微信扫下方二维码即可打包下载完整带答案解析版《★病理学(医学高级)》或《病理学(医学高级):病理学综合》题库
200、单项选择题 下列哪项符合肠伤寒时形成的溃疡的形态特点()。
A.呈烧瓶状,口小底大
B.呈椭圆形,其长轴平行于肠的长轴
C.呈浅表的地图形
D.不规则,边缘呈火山口样隆起
E.呈环形、带状包绕肠管
点击查看答案
本题答案:微信扫下方二维码即可打包下载完整带答案解析版《★病理学(医学高级)》或《病理学(医学高级):病理学综合》题库
201、单项选择题 关于继发性肺结核病下列哪一项是正确的()。
A.病变在肺内无一定好发部位
B.肺门淋巴结常有明显结核病变
C.不经治疗大多数能自然痊愈
D.不易有纤维空洞形成
E.咯血是最常见的死亡原因之一
点击查看答案
本题答案:微信扫下方二维码即可打包下载完整带答案解析版《★病理学(医学高级)》或《病理学(医学高级):病理学综合》题库
202、单项选择题 纤维组织细胞瘤可发生肺转移的亚型是()。
A.上皮样型
B.动脉瘤样型
C.斑块样CD34(+)真皮纤维瘤
D.富于细胞型
E.透明细胞型
点击查看答案
本题答案:微信扫下方二维码即可打包下载完整带答案解析版《★病理学(医学高级)》或《病理学(医学高级):病理学综合》题库
203、单项选择题 患者女,36岁,多年吸烟史,临床表现为进展缓慢的呼吸功能障碍。X线:双肺底可见毛玻璃样不透光区。肺活检:间质纤维化伴轻度慢性炎症,肺泡腔内见巨噬细胞聚集,上述病变最可能的诊断为()。
A.非特异性间质性肺炎
B.呼吸性支气管炎
C.肺气肿伴慢性支气管炎
D.脱屑型间质性肺炎
E.普通型间质性肺炎
点击查看答案
本题答案:微信扫下方二维码即可打包下载完整带答案解析版《★病理学(医学高级)》或《病理学(医学高级):病理学综合》题库
204、单项选择题 风湿性心内膜炎最易侵犯的心瓣膜是()。
A.主动脉瓣
B.肺动脉瓣
C.二尖瓣
D.三尖瓣
E.二尖瓣和三尖瓣
点击查看答案
本题答案:微信扫下方二维码即可打包下载完整带答案解析版《★病理学(医学高级)》或《病理学(医学高级):病理学综合》题库
205、单项选择题 炎症性癌是()。
A.化生性癌的一种
B.是一种炎症性病变
C.具有特殊临床表现的一种特殊形式乳腺癌
D.多见于老年女性
E.依据病理改变才能诊断的乳腺癌
点击查看答案
本题答案:微信扫下方二维码即可打包下载完整带答案解析版《★病理学(医学高级)》或《病理学(医学高级):病理学综合》题库
206、多项选择题 患者男,20岁,因“高热10余天”来诊。查体:肝、脾均在肋下1.0cm,质软,轻度腹痛及腹泻。1周后突然发生急性腹膜炎。
患者目前应考虑的疾病可能有()。
A.病毒性肝炎
B.肠伤寒病
C.血吸虫病
D.肠结核
E.淋巴瘤
F.细菌性痢疾
点击查看答案
本题答案:微信扫下方二维码即可打包下载完整带答案解析版《★病理学(医学高级)》或《病理学(医学高级):病理学综合》题库
207、多项选择题 不符合子宫内膜上皮内瘤变(EIN)形态学诊断标准的是()。
A.局部间质内腺体过度增生
B.局部密集腺体和背景腺体的细胞特征明显不同
C.病变最大线性直径小于1mm
D.迷路样腺体、显著的筛状结构或复杂性乳头
E.嗜酸性乳头状化生
点击查看答案
本题答案:微信扫下方二维码即可打包下载完整带答案解析版《★病理学(医学高级)》或《病理学(医学高级):病理学综合》题库
208、单项选择题
患者男,3岁,因“腹痛”来诊。剖腹探查:肠系膜上有一肿块,累及小肠。镜下形态如图所示。


最可能的诊断是()。
A.炎性纤维性息肉
B.炎性肌成纤维细胞瘤
C.胃肠道间质瘤
D.硬化性肠系膜炎
E.滤泡树突细胞肿瘤
F.先天性纤维肉瘤
点击查看答案
本题答案:微信扫下方二维码即可打包下载完整带答案解析版《★病理学(医学高级)》或《病理学(医学高级):病理学综合》题库
209、单项选择题 预后较好的乳腺癌是()。
A.浸润性导管癌非特殊型
B.浸润性微乳头状癌
C.浸润性小叶癌
D.小管癌
E.化生性癌
点击查看答案
本题答案:微信扫下方二维码即可打包下载完整带答案解析版《★病理学(医学高级)》或《病理学(医学高级):病理学综合》题库
210、多项选择题 患者女,60岁,因“外阴发现赘生物6个月”来诊。妇科检查:左侧大阴唇外见赘生物,3cm×3cm×2cm,淡红色,似菜花样。
可能的病理诊断有()。
A.尖锐湿疣
B.鳞状上皮内瘤变(VIN)
C.鳞状细胞癌
D.乳头状瘤
E.疣状癌
F.角化棘皮瘤
G.纤维上皮性黏膜息肉
点击查看答案
本题答案:微信扫下方二维码即可打包下载完整带答案解析版《★病理学(医学高级)》或《病理学(医学高级):病理学综合》题库
211、单项选择题
患者男,35岁,送检切片为前额皮下结节,自述从小就有,并且耳后、手指和膝盖下也有相似结节,镜下形态如图所示。

会呈阳性反应的特殊染色是()。
A.PAS
B.PTAH
C.甲苯胺蓝
D.刚果红
E.Gimsa
点击查看答案
本题答案:微信扫下方二维码即可打包下载完整带答案解析版《★病理学(医学高级)》或《病理学(医学高级):病理学综合》题库
212、单项选择题 原因不明的机化性肺炎较特异的病理学表现为()。
A.间质纤维化
B.肺泡腔内巨噬细胞聚集
C.透明膜
D.细支气管周围肉芽肿
E.细支气管腔内含成纤维细胞的机化物
点击查看答案
本题答案:微信扫下方二维码即可打包下载完整带答案解析版《★病理学(医学高级)》或《病理学(医学高级):病理学综合》题库
213、单项选择题 PAS染色阳性,淀粉酶消化后仍阳性时,最可能的肿瘤是()。
A.胃腺癌
B.结肠腺癌
C.肾嫌色细胞癌
D.黏液瘤
E.骨外黏液样软骨肉瘤
点击查看答案
本题答案:微信扫下方二维码即可打包下载完整带答案解析版《★病理学(医学高级)》或《病理学(医学高级):病理学综合》题库
214、单项选择题
患者女,43岁,因“左胸壁肿块”来诊。行穿刺活检,镜下形态如图所示。


对该病相对比较特异性的标志物为()。
A.α-SMA
B.β-catenin
C.desmin
D.CD34
E.Calponin
点击查看答案
本题答案:微信扫下方二维码即可打包下载完整带答案解析版《★病理学(医学高级)》或《病理学(医学高级):病理学综合》题库
215、多项选择题 患者男,52岁,因“间断腹部不适,轻微腹痛伴腹泻10年,症状加重6个月”来诊。患者自述腹部有包块,粪呈糊状、有黏液、有时发黑。
可能的诊断是()。
A.急性感染性结肠炎
B.慢性肠血吸虫病
C.溃疡性结肠炎
D.Crohn病
E.肠结核
F.先天性巨结肠
G.结肠癌
点击查看答案
本题答案:微信扫下方二维码即可打包下载完整带答案解析版《★病理学(医学高级)》或《病理学(医学高级):病理学综合》题库
216、单项选择题 患者女,50岁,因“左大腿红、肿、痛,呈线状分布”来诊。经检查,诊断为左下肢表浅静脉炎。
该处血栓脱落最常栓塞的部位是()。
A.脑
B.心
C.肾
D.肠系膜
E.肺
点击查看答案
本题答案:微信扫下方二维码即可打包下载完整带答案解析版《★病理学(医学高级)》或《病理学(医学高级):病理学综合》题库
217、多项选择题 淋巴结反应性增生的常见组织形态学表现有()。
A.淋巴滤泡增生
B.形态一致的淋巴细胞在淋巴结被膜及被膜外软组织中浸润
C.窦组织细胞增生
D.淋巴滤泡、滤泡间区及窦组织细胞均增生
E.滤泡间区增生
点击查看答案
本题答案:微信扫下方二维码即可打包下载完整带答案解析版《★病理学(医学高级)》或《病理学(医学高级):病理学综合》题库
218、单项选择题 患者女,60岁,因“右腋下皮肤先后出现红斑、大疱,部分大疱破裂、糜烂”来诊。
最不可能的病理诊断是()。
A.天疱疮
B.大疱性类天疱疮
C.瘢痕性类天疱疮
D.家族性良性慢性天疱疮
E.掌跖脓疱病
点击查看答案
本题答案:微信扫下方二维码即可打包下载完整带答案解析版《★病理学(医学高级)》或《病理学(医学高级):病理学综合》题库
219、单项选择题
患者男,35岁,送检切片为前额皮下结节,自述从小就有,并且耳后、手指和膝盖下也有相似结节,镜下形态如图所示。

最可能的诊断是()。
A.纤维组织增生
B.瘢痕疙瘩
C.间质玻璃样变性
D.间质淀粉样变性
E.玻璃样变纤维瘤病
点击查看答案
本题答案:微信扫下方二维码即可打包下载完整带答案解析版《★病理学(医学高级)》或《病理学(医学高级):病理学综合》题库
220、单项选择题 关于食管癌的描述中,哪项是错误的()。
A.食管上段最常见
B.鳞状细胞癌多见
C.可见原位癌
D.亚硝胺与食管癌发生有关
E.可以多灶发生
点击查看答案
本题答案:微信扫下方二维码即可打包下载完整带答案解析版《★病理学(医学高级)》或《病理学(医学高级):病理学综合》题库
221、多项选择题 患者女,65岁,因“腹胀、腰部不适”来诊。CT:左上腹部占位性病变。病变7.5cm×6.8cm,呈结节状。
对患者诊断为肾源性血管平滑肌脂肪瘤有指导意义的是()。
A.血尿
B.CD117(+)
C.HMB-45(+)
D.CD34(-)
E.S100P(-)
F.DES
点击查看答案
本题答案:微信扫下方二维码即可打包下载完整带答案解析版《★病理学(医学高级)》或《病理学(医学高级):病理学综合》题库
222、单项选择题 黏液炎性成纤维细胞性肉瘤好发于()。
A.头颈部
B.躯干
C.肢体近端
D.肢体远端
E.盆腔腹膜后
点击查看答案
本题答案:微信扫下方二维码即可打包下载完整带答案解析版《★病理学(医学高级)》或《病理学(医学高级):病理学综合》题库
223、单项选择题 患者男,54岁,因“无规律性上腹痛,伴食欲减退3个月”来诊。患者有胃溃疡病史15年。胃肠钡餐:胃窦部可见直径2.5~3.5cm的龛影,边缘不齐。粪隐血试验多次阳性。
大体检查:胃窦部见一直径2.5~3.5cm的溃疡,周边黏膜隆起、僵硬。镜下:溃疡周边黏膜固有层腺体增生,密集排列,腺体形态不规则,可见分支和折叠,细胞有明显的不典型性,间质纤维化,伴淋巴细胞、浆细胞和嗜酸粒细胞浸润。最可能的诊断是()
A.胃溃疡癌变(早期胃癌)
B.溃疡型胃癌
C.胃溃疡并低级别上皮内肿瘤
D.胃溃疡并高级别上皮内肿瘤
E.胃溃疡
点击查看答案
本题答案:微信扫下方二维码即可打包下载完整带答案解析版《★病理学(医学高级)》或《病理学(医学高级):病理学综合》题库
224、多项选择题 横纹肌肉瘤的常用标志物为()。
A.α-SMA
B.myogenin
C.β-catenin
D.desmin
E.MSA
点击查看答案
本题答案:微信扫下方二维码即可打包下载完整带答案解析版《★病理学(医学高级)》或《病理学(医学高级):病理学综合》题库
225、多项选择题 关于外阴营养不良,叙述正确的有()。
A.病因复杂多样、临床表现不一,病变名称繁多
B.与感染HPV有关
C.外阴瘙痒和伴有界限清楚的白色(或暗红色)散在性斑片状病损为临床特点
D.萎缩性硬化性苔藓细胞缺乏非典型性
E.是一种癌前病变
点击查看答案
本题答案:微信扫下方二维码即可打包下载完整带答案解析版《★病理学(医学高级)》或《病理学(医学高级):病理学综合》题库
226、单项选择题 CD117(+)/DOG1(+)/SMA(+)的最可能间叶源性肿瘤是()。
A.平滑肌肉瘤
B.横纹肌肉瘤
C.恶性神经鞘膜瘤
D.纤维肉瘤
E.胃肠道间质瘤
点击查看答案
本题答案:微信扫下方二维码即可打包下载完整带答案解析版《★病理学(医学高级)》或《病理学(医学高级):病理学综合》题库
227、多项选择题 关于小细胞肺癌与不典型类癌的鉴别,叙述正确的有()。
A.小细胞肺癌多核分裂指数高
B.小细胞肺癌坏死更广泛
C.均表达神经内分泌标记
D.小细胞肺癌表达TTF-1
E.不典型类癌不表达TTF-1
点击查看答案
本题答案:微信扫下方二维码即可打包下载完整带答案解析版《★病理学(医学高级)》或《病理学(医学高级):病理学综合》题库
228、单项选择题 快速进行性肾小球肾炎的病理学特征是()。
A.中性粒细胞渗出
B.球囊壁层上皮细胞增生
C.球囊脏层上皮细胞增生
D.毛细血管壁纤维素样坏死
E.基底膜增厚
点击查看答案
本题答案:微信扫下方二维码即可打包下载完整带答案解析版《★病理学(医学高级)》或《病理学(医学高级):病理学综合》题库
229、多项选择题 关于淋巴细胞性胃炎,叙述正确的有()。
A.与胃黏膜对于局部抗原的异常免疫反应有关
B.多累及胃窦
C.胃黏膜表面上皮和小凹上皮内大量成熟B淋巴细胞浸润
D.黏膜固有腺体常不同程度萎缩
E.大量淋巴细胞增生、浸润,导致胃黏膜肥厚
点击查看答案
本题答案:微信扫下方二维码即可打包下载完整带答案解析版《★病理学(医学高级)》或《病理学(医学高级):病理学综合》题库
230、多项选择题 下列属于早期食管癌的病变是()。
A.黏膜内癌
B.原位癌
C.黏膜下癌
D.食管鳞状细胞癌侵犯浅肌层,无淋巴结转移
E.低级别上皮内肿瘤
点击查看答案
本题答案:微信扫下方二维码即可打包下载完整带答案解析版《★病理学(医学高级)》或《病理学(医学高级):病理学综合》题库
231、单项选择题 不符合母细胞性浆母细胞样树突状细胞肿瘤诊断的是()。
A.其肿瘤细胞形似淋巴母细胞,形态较一致
B.可以皮肤病变为首发表现
C.肿瘤常累及外周血和骨髓组织
D.瘤细胞的表型是CD4(+)、CD56(+)、CD123(+)
E.EB病毒相关淋巴增生性疾病
点击查看答案
本题答案:微信扫下方二维码即可打包下载完整带答案解析版《★病理学(医学高级)》或《病理学(医学高级):病理学综合》题库
232、单项选择题 10岁儿童发生在小脑的囊性肿瘤最有可能是()。
A.星形细胞瘤
B.胶质母细胞瘤
C.室管膜瘤
D.髓母细胞瘤
E.脑膜瘤
点击查看答案
本题答案:微信扫下方二维码即可打包下载完整带答案解析版《★病理学(医学高级)》或《病理学(医学高级):病理学综合》题库
233、多项选择题 关于Barrett食管,叙述正确的有()。
A.是远端食管腺癌的癌前病变
B.内镜下病变处黏膜呈橘红色天鹅绒样
C.其发生主要是由于长期胃食管反流造成的黏膜损伤
D.镜下必须有肠上皮化生才能诊断
E.组织学上可存在不完全肠上皮化生或完全肠上皮化生
点击查看答案
本题答案:微信扫下方二维码即可打包下载完整带答案解析版《★病理学(医学高级)》或《病理学(医学高级):病理学综合》题库
234、单项选择题 非典型性纤维黄色瘤好发于()。
A.头颈部
B.胸腹壁
C.肢体
D.臀部
E.会阴
点击查看答案
本题答案:微信扫下方二维码即可打包下载完整带答案解析版《★病理学(医学高级)》或《病理学(医学高级):病理学综合》题库
235、单项选择题
患者女,14岁,因“刺激性咳嗽3个月,痰少,头颈及躯干上部皮肤肿胀,并逐渐加重”来诊。胸部CT:前上纵隔占位,如图所示。

免疫组织化染色:上述细胞呈CD20(-),CD3(-),CD99(+),TdT(+),Ki-67指数>90%,该结果支持的诊断是()。
A.胸腺瘤
B.淋巴母细胞性淋巴瘤
C.生殖细胞肿瘤
D.恶性外周神经鞘膜瘤
E.纵隔(胸腺)原发大B细胞淋巴瘤
点击查看答案
本题答案:微信扫下方二维码即可打包下载完整带答案解析版《★病理学(医学高级)》或《病理学(医学高级):病理学综合》题库
236、多项选择题 患者男,62岁,因“排黑粪1个月”来诊。胃镜:十二指肠下段局部黏膜隆起,部分黏膜呈污絮色。手术标本大体检查:肿块呈结节状,位于肠壁,5.1cm×4.9cm。肠壁结构完整。组织学检查:肿瘤由梭形细胞组成,呈条索状或交错条索状排列,核分裂象6个/50HPF。间质血管丰富,间质胶原纤维增生。免疫组织化学检查:CD34(+),SMA(-),S100P(++)。
如果肿瘤复发,需使用靶向药物治疗,有指导价值的检查指标是()。
A.KIT
B.EGFR
C.HER2
D.PDGFRa
E.Ras
F.BRAF
点击查看答案
本题答案:微信扫下方二维码即可打包下载完整带答案解析版《★病理学(医学高级)》或《病理学(医学高级):病理学综合》题库
237、多项选择题 患者男,68岁,因“腹部饱胀、食欲减退”来诊。查体:上腹部触及包块。胃镜:胃底部前壁占位,局灶性黏膜溃疡。大体检查:肿瘤5.8cm×6.9cm,切面灰白、灰红色,界限清楚。组织学检查:肿瘤由胖梭形细胞组成,条索状排列,间质中等量,部分呈变性坏死。细胞核分裂象5个/50HPF。
对排除梭形细胞癌有指导意义的有()。
A.p63(-)
B.CD117(-)
C.Cytokeratin(-)
D.Vimentin(-)
E.SMA(-)
F.CD34(-)
点击查看答案
本题答案:微信扫下方二维码即可打包下载完整带答案解析版《★病理学(医学高级)》或《病理学(医学高级):病理学综合》题库
238、单项选择题 能并发结肠癌的肠道寄生虫病为()。
A.钩虫病
B.阿米巴病
C.血吸虫病
D.蛔虫病
E.蛲虫病
点击查看答案
本题答案:微信扫下方二维码即可打包下载完整带答案解析版《★病理学(医学高级)》或《病理学(医学高级):病理学综合》题库
239、单项选择题 电镜下肾小球基底膜增厚并出现虫蚀状空隙的肾炎是()。
A.急性肾小球肾炎
B.快速进行性肾小球肾炎
C.膜性肾小球肾炎
D.急性肾盂肾炎
E.膜性增生性肾小球肾炎
点击查看答案
本题答案:微信扫下方二维码即可打包下载完整带答案解析版《★病理学(医学高级)》或《病理学(医学高级):病理学综合》题库
240、单项选择题 以下哪一种疾病不属于变质性炎()。
A.蜂窝织性阑尾炎
B.中毒性心肌炎
C.乙型脑炎
D.病毒性肝炎
E.干酪样肺炎
点击查看答案
本题答案:微信扫下方二维码即可打包下载完整带答案解析版《★病理学(医学高级)》或《病理学(医学高级):病理学综合》题库
241、多项选择题 图像分析技术可应用于()。
A.诊断骨代谢性疾病,如骨质疏松症
B.肿瘤DNA倍体分析
C.肿瘤治疗反应监测
D.多药耐药基因产物定量分析
E.肿瘤相关基因产物定量分析
点击查看答案
本题答案:微信扫下方二维码即可打包下载完整带答案解析版《★病理学(医学高级)》或《病理学(医学高级):病理学综合》题库
242、多项选择题
患者女,55岁,因“全程无痛性肉眼血尿5d”来诊。B型超声:膀胱内实质性团块。盆腔CT:膀胱轮廓不光整,膀胱前壁不规则增厚,呈软组织团块影,增强后轻度强化。病理检查:肿瘤组织3cm×2cm×1cm。显微镜:肿瘤细胞长梭形,呈束状、旋状排列,间质富于黏液。肿瘤细胞浸润性生长,浸润至肌层,如图所示。

可能的诊断为()。
A.肉瘤样癌
B.平滑肌肉瘤
C.恶性外周神经鞘膜瘤
D.炎性肌成纤维细胞瘤
E.平滑肌瘤
F.血管周上皮样细胞肿瘤
点击查看答案
本题答案:微信扫下方二维码即可打包下载完整带答案解析版《★病理学(医学高级)》或《病理学(医学高级):病理学综合》题库
243、单项选择题 下列肺癌的描述中哪项正确()。
A.腺癌最多见
B.小细胞癌多呈弥漫型
C.鳞状细胞癌多有吸烟史
D.周围型多为鳞癌
E.细支气管肺泡癌多为中央型
点击查看答案
本题答案:微信扫下方二维码即可打包下载完整带答案解析版《★病理学(医学高级)》或《病理学(医学高级):病理学综合》题库
244、单项选择题 患者男,37岁,因“颞骨岩部后面发现肿物3个月,并向后颅窝扩展,波及小脑脑桥角”来诊。
可能性最小的诊断是()。
A.中耳腺瘤
B.耵聍腺腺癌
C.内淋巴囊低度恶性腺癌
D.听神经瘤
E.中耳胆脂瘤
点击查看答案
本题答案:微信扫下方二维码即可打包下载完整带答案解析版《★病理学(医学高级)》或《病理学(医学高级):病理学综合》题库
245、多项选择题 患者女,12岁,因“颈右侧疼痛”来诊。查体:颈右侧及颌下区肿胀,可扪及一肿物,体积约4cm×5cm×3cm,边界不清楚,有轻触痛,皮温略高。患儿无其他不适。肝不大,骨髓及外周血均未发现异常。
该患儿可能发生的疾病有()。
A.急性非特异性淋巴结炎
B.淋巴结结核
C.淋巴组织肿瘤
D.急性粒细胞白血病
E.囊性水瘤
F.浆细胞骨髓瘤
G.传染性单核细胞增多症
点击查看答案
本题答案:微信扫下方二维码即可打包下载完整带答案解析版《★病理学(医学高级)》或《病理学(医学高级):病理学综合》题库
246、单项选择题 光镜检查显示肾小球毛细血管壁均匀增厚,无明显炎症,最可能的诊断是()。
A.脂性肾病
B.膜性肾病
C.膜性增生性肾小球肾炎
D.系膜增生性肾小球肾炎
E.毛细血管内增生性肾小球肾炎
点击查看答案
本题答案:微信扫下方二维码即可打包下载完整带答案解析版《★病理学(医学高级)》或《病理学(医学高级):病理学综合》题库
247、单项选择题 患者男,40岁。3个月前发现左臂皮下一直径1cm的结节,患者自述无疼痛、无瘙痒,活动度可。大体检查:蓝紫色结节1枚,1.0cm×1.0cm×0.8cm,境界清楚,无明显浸润性生长,质地中等。低倍镜:有血管腔,其周围包绕卵圆形及梭形肿瘤细胞。
如果要排除肌周细胞瘤,最有价值的免疫组织化学检测是()。
A.SMA
B.S-100
C.CD31
D.HHF35
E.H-caldesmon
点击查看答案
本题答案:微信扫下方二维码即可打包下载完整带答案解析版《★病理学(医学高级)》或《病理学(医学高级):病理学综合》题库
248、单项选择题 患者女,22岁,左大腿深部肌肉组织内一直径约8.5cm肿块,结节状,切面呈灰白暗红色,灶区出血、囊性变。
关于该肿瘤,叙述错误的是()。
A.好发于青少年
B.颈部软组织多见
C.瘤细胞上皮呈器官样及腺泡状排列
D.腺泡间见窦样毛细血管网
E.容易发生肺或脑的转移
点击查看答案
本题答案:微信扫下方二维码即可打包下载完整带答案解析版《★病理学(医学高级)》或《病理学(医学高级):病理学综合》题库
249、单项选择题 原发性高血压最常受损的血管是()。
A.全身中、小动脉
B.全身大、中动脉
C.全身细、小静脉
D.全身中、小静脉
E.全身细、小动脉
点击查看答案
本题答案:微信扫下方二维码即可打包下载完整带答案解析版《★病理学(医学高级)》或《病理学(医学高级):病理学综合》题库
250、单项选择题 介导Ⅰ型变态反应的抗体是()。
A.IgA
B.IgG
C.IgD
D.IgM
E.IgE
点击查看答案
本题答案:微信扫下方二维码即可打包下载完整带答案解析版《★病理学(医学高级)》或《病理学(医学高级):病理学综合》题库
251、单项选择题 下列抗原中哪个不是内源性抗原()。
A.肿瘤抗原
B.基底膜抗原
C.异种血清
D.核抗原
E.系膜细胞膜抗原
点击查看答案
本题答案:微信扫下方二维码即可打包下载完整带答案解析版《★病理学(医学高级)》或《病理学(医学高级):病理学综合》题库
252、单项选择题 大叶性肺炎与肺肉质变发生关系最密切的因素可能是()。
A.细菌毒力过强
B.肺组织结构被炎症破坏
C.中性粒细胞渗出过少
D.单核细胞浸润过多
E.病程太长
点击查看答案
本题答案:微信扫下方二维码即可打包下载完整带答案解析版《★病理学(医学高级)》或《病理学(医学高级):病理学综合》题库
253、单项选择题 下列平滑肌瘤中可发生于远处转移的是()。
A.深部平滑肌瘤
B.血管平滑肌瘤
C.竖毛肌平滑肌瘤
D.子宫平滑肌瘤
E.外生殖区平滑肌瘤
点击查看答案
本题答案:微信扫下方二维码即可打包下载完整带答案解析版《★病理学(医学高级)》或《病理学(医学高级):病理学综合》题库
254、多项选择题 卵巢肿瘤中恶性比良性更多见的有()。
A.浆液性肿瘤
B.黏液性肿瘤
C.透明细胞肿瘤
D.子宫内膜样肿瘤
E.移行细胞肿瘤
点击查看答案
本题答案:微信扫下方二维码即可打包下载完整带答案解析版《★病理学(医学高级)》或《病理学(医学高级):病理学综合》题库
255、单项选择题 有吸烟史的男性易发生肺的()。
A.腺癌
B.鳞状细胞癌
C.小细胞癌
D.大细胞癌
E.肉瘤样癌
点击查看答案
本题答案:微信扫下方二维码即可打包下载完整带答案解析版《★病理学(医学高级)》或《病理学(医学高级):病理学综合》题库
256、单项选择题
患者男,9岁,因“臀部皮下结节2年,近期增大”来诊。患者臀部皮下结节2年,刚开始黄豆大小,生长缓慢,无痛性,近期生长迅速。就诊时结节直径约2.5cm,境界不清,予以局部切除,镜下形态如图所示。

最可能的诊断是()。
A.孤立性纤维性肿瘤
B.弥漫性神经纤维瘤
C.多形性纤维瘤
D.巨细胞血管纤维瘤
E.巨细胞成纤维细胞瘤
点击查看答案
本题答案:微信扫下方二维码即可打包下载完整带答案解析版《★病理学(医学高级)》或《病理学(医学高级):病理学综合》题库
257、多项选择题 心肌梗死的常见并发症有()。
A.心功能不全
B.心包积液
C.附壁血栓形成
D.动脉系统栓塞
E.室壁瘤形成
点击查看答案
本题答案:微信扫下方二维码即可打包下载完整带答案解析版《★病理学(医学高级)》或《病理学(医学高级):病理学综合》题库
258、单项选择题 病理切片的常规染色方法是()。
A.苏木素染色
B.伊红染色
C.瑞氏染色
D.巴氏染色
E.苏木素--伊红染色
点击查看答案
本题答案:微信扫下方二维码即可打包下载完整带答案解析版《★病理学(医学高级)》或《病理学(医学高级):病理学综合》题库
259、多项选择题 患者女,11岁,因“烦渴多饮、多尿3年,明显肥胖及身高停滞2年”来诊。MRI:鞍区异常信号影,等T1,长T2,周边有水肿,可强化。
根据病史和影像学表现,患者的诊断考虑为()。
A.嗜酸性肉芽肿
B.生殖细胞瘤
C.Rosai-Dorfman病
D.垂体瘤
E.Hand-Schuller-Christian病
F.颅咽管瘤
点击查看答案
本题答案:微信扫下方二维码即可打包下载完整带答案解析版《★病理学(医学高级)》或《病理学(医学高级):病理学综合》题库
260、单项选择题 患者女,20岁,因“高热2周”来诊。查体:扁桃体及鼻咽部黏膜肿胀。取米粒大扁桃体组织活检,镜下可见淋巴组织增生,增生的淋巴细胞有异型性,部分区坏死,免疫组织化学染色:CD45RO、CD20、及CD68均可见部分细胞阳性,CD56散在阳性,EBER部分细胞核阳性。
首先应考虑的诊断是()。
A.鼻型NK/T细胞淋巴瘤
B.传染性单核细胞增生症
C.Burkitt淋巴瘤
D.鼻咽癌累及
E.霍奇金淋巴瘤累及
点击查看答案
本题答案:微信扫下方二维码即可打包下载完整带答案解析版《★病理学(医学高级)》或《病理学(医学高级):病理学综合》题库
261、单项选择题
患者男,39岁,因“偶然发现颈右侧淋巴结肿大”来诊。入院后行淋巴结活检。大体检查:1个灰白色有完整包膜的结节,直径为2cm。切面呈灰白色,灶性区域似有坏死,质地中等,形态学表现如图所示。


最支持的疾病诊断是()。(提示抗酸染色阴性;免疫组织化学染色:CD68(+),S100(+),CD1a(+),Langerin(+),CD21(-),CD35(-),PCK(-),HMB-45(-)。)
A.结核
B.淋巴结反应性增生,以窦组织细胞增生为主
C.Langerhans细胞组织细胞增生症
D.滤泡树突状细胞肉瘤
E.组织细胞肉瘤
F.皮病性淋巴结炎
点击查看答案
本题答案:微信扫下方二维码即可打包下载完整带答案解析版《★病理学(医学高级)》或《病理学(医学高级):病理学综合》题库
262、单项选择题 浆膜梭形细胞肿瘤中,CD34(+)、CD117(-)提示()。
A.腹膜腺瘤样瘤
B.孤立性纤维性肿瘤
C.腹膜播散性平滑肌瘤病
D.腹膜恶性间皮瘤
E.转移癌
点击查看答案
本题答案:微信扫下方二维码即可打包下载完整带答案解析版《★病理学(医学高级)》或《病理学(医学高级):病理学综合》题库
263、单项选择题 涎腺肿瘤小活检标本或穿刺标本中出现软骨样或黏液样病灶和导管成分时,下列处理正确的是()。
A.一般不存在困难,即可做出多形性腺瘤诊断
B.难以概括全貌
C.提示多形性腺瘤的诊断,建议完全切除肿瘤送检
D.良性肿瘤诊断
E.难以做出良性或恶性诊断
点击查看答案
本题答案:微信扫下方二维码即可打包下载完整带答案解析版《★病理学(医学高级)》或《病理学(医学高级):病理学综合》题库
264、单项选择题 EMA阳性见于()。
A.间质肉瘤
B.梭形细胞血管肉瘤
C.胃肠道间质瘤
D.滑膜肉瘤
E.梭形细胞恶性黑色素瘤
点击查看答案
本题答案:微信扫下方二维码即可打包下载完整带答案解析版《★病理学(医学高级)》或《病理学(医学高级):病理学综合》题库
265、多项选择题
患者女,50岁,因“上腹部闷胀感”来诊。B型超声:胆囊结石,胆囊壁轻度增厚。行腹腔镜胆囊切除术。送检标本胆囊9cm×4cm×4cm,内见1个结石,充满胆囊。胆囊壁厚0.4cm,灰白、半透明、质韧,局灶增厚达0.8cm,质稍硬。黏膜粗糙,上皮基本脱落。
鉴别诊断应考虑()。(提示光镜下胆囊壁形态如图所示。)


A.瓷化胆囊伴反应性上皮增生
B.瓷化胆囊伴上皮异型增生(BilIN)
C.瓷化胆囊伴胆囊腺癌
D.胆囊腺肌瘤伴反应性上皮增生
E.胆囊腺肌瘤伴上皮异型增生(BilIN)
F.低级别囊内乳头状肿瘤
点击查看答案
本题答案:微信扫下方二维码即可打包下载完整带答案解析版《★病理学(医学高级)》或《病理学(医学高级):病理学综合》题库
266、多项选择题 重度慢性肝炎的病变特点有()。
A.广泛肝细胞脂肪变性
B.肝细胞不规则再生
C.淤胆明显,常有胆汁湖形成
D.常有碎片状坏死和桥接坏死
E.肝小叶结构常有破坏
点击查看答案
本题答案:微信扫下方二维码即可打包下载完整带答案解析版《★病理学(医学高级)》或《病理学(医学高级):病理学综合》题库
267、单项选择题 患者女,40岁,因“咳嗽、咯血、胸痛”来诊。近来经常午后发热、大汗、疲乏无力、食欲减退、盗汗。入院后查胸部X线片:左肺上叶有斑片状阴影,红细胞沉降率为60mm/h。
确诊该病的特征性病变是()。
A.成纤维细胞
B.淋巴细胞
C.结核结节
D.朗格汉斯多核巨细胞
E.上皮样细胞
点击查看答案
本题答案:微信扫下方二维码即可打包下载完整带答案解析版《★病理学(医学高级)》或《病理学(医学高级):病理学综合》题库
268、单项选择题
患者女,63岁,胃体部发现一个直径约1.5cm的肿块,呈息肉状生长,表面黏膜大多光滑,局部见浅表溃疡形成。切面见肿块呈灰白、灰黄色,位于黏膜下,界限尚清。
光镜下组织形态如图所示。最有可能的诊断是()。

A.绒毛状腺瘤
B.高分化腺癌
C.胰腺异位
D.管状腺瘤
E.神经内分泌肿瘤
点击查看答案
本题答案:微信扫下方二维码即可打包下载完整带答案解析版《★病理学(医学高级)》或《病理学(医学高级):病理学综合》题库
269、单项选择题 风湿性关节炎的临床特征为()。
A.侵犯大关节,易致关节畸形
B.侵犯大关节,不易致关节畸形
C.侵犯小关节,易致关节畸形
D.侵犯小关节,不易致关节畸形
E.游走性,侵犯大、小关节,易致关节畸形
点击查看答案
本题答案:微信扫下方二维码即可打包下载完整带答案解析版《★病理学(医学高级)》或《病理学(医学高级):病理学综合》题库
270、单项选择题 关于血管免疫母细胞性T细胞淋巴瘤,叙述错误的是()。
A.瘤细胞表达CXCL13和PD-1
B.患者多为60岁以上的老年人
C.是滤泡辅助T细胞来源的一种成熟T细胞肿瘤
D.患者常有机体免疫功能异常的表现和全身淋巴结肿大
E.部分瘤细胞呈EBER阳性
点击查看答案
本题答案:微信扫下方二维码即可打包下载完整带答案解析版《★病理学(医学高级)》或《病理学(医学高级):病理学综合》题库
271、单项选择题 乳腺癌的病理组织学大小(pT)是指()。
A.镜下浸润性癌的最大径
B.镜下浸润性癌的最大径与非浸润性癌的最大径之和
C.大体检查时测量的肿瘤最大径
D.镜下非浸润性癌的最大径
E.乳腺内原发癌的最大径与淋巴结内转移癌的最大径之和
点击查看答案
本题答案:微信扫下方二维码即可打包下载完整带答案解析版《★病理学(医学高级)》或《病理学(医学高级):病理学综合》题库
272、单项选择题 患急性普通型肝炎时肝区疼痛的主要病理机制是()。
A.肝细胞广泛水肿
B.肝细胞广泛嗜酸性变
C.肝细胞广泛坏死
D.门管区炎细胞浸润
E.间质反应性增生
点击查看答案
本题答案:微信扫下方二维码即可打包下载完整带答案解析版《★病理学(医学高级)》或《病理学(医学高级):病理学综合》题库
273、多项选择题 患者男,22岁,因“头痛1年,加重15d”来诊。CT和MRI:右侧额叶占位,伴钙化形成。
根据病史和影像学表现,诊断考虑为()。
A.胶质母细胞瘤
B.室管膜瘤
C.脑室外神经细胞瘤
D.少突胶质细胞瘤
E.毛细胞型星形细胞瘤
F.脊索瘤
点击查看答案
本题答案:微信扫下方二维码即可打包下载完整带答案解析版《★病理学(医学高级)》或《病理学(医学高级):病理学综合》题库
274、单项选择题 符合肺硅沉着病特点的是()。
A.吸入的二氧化硅尘粒越大,密度越高,致病力越强
B.早期病变发生于两肺下叶和背侧
C.早期硅结节是一种肉芽肿性病变
D.硅肺性空洞是合并结核病的结果
E.离开硅尘作业环境,病变可停止发展
点击查看答案
本题答案:微信扫下方二维码即可打包下载完整带答案解析版《★病理学(医学高级)》或《病理学(医学高级):病理学综合》题库
275、多项选择题 患者男,62岁,长期嗜酒,并患有高血压20余年,多次住院治疗,效果不佳,常感胸闷、头昏、头痛,夜尿,右肝区疼痛,消瘦。某天晚上陪朋友饮酒后突然感到头部剧烈疼痛,倒地死亡。家属要求尸体解剖,尸体解剖时发现脑基底核和内囊出血。
尸检时,可能会发生萎缩性改变的是()。
A.心肌
B.肝
C.脾
D.肺
E.肾
F.胃黏膜
点击查看答案
本题答案:微信扫下方二维码即可打包下载完整带答案解析版《★病理学(医学高级)》或《病理学(医学高级):病理学综合》题库
276、单项选择题 不符合乳腺腺样囊性癌的是()。
A.低度侵袭潜能
B.组织学特征与发生在唾液腺的同类肿瘤相似
C.也称圆柱瘤样癌
D.多与唾液腺肿瘤伴发
E.两侧乳房的发生概率相等
点击查看答案
本题答案:微信扫下方二维码即可打包下载完整带答案解析版《★病理学(医学高级)》或《病理学(医学高级):病理学综合》题库
277、单项选择题 患者女,3岁,因“阴道口不适伴新生物3个月”来诊。妇科检查:阴道口部位淡红色息肉状肿瘤,直径2cm,质软脆,有蒂,表面尚光滑。
该肿瘤最正确的免疫组织化学标志物结果是()。
A.desmin(+)、binmetin(+)、bcl-2(+)
B.actin(+)、desmin(+)、myoglobin(+)和myosin(+)
C.CD34(+),desmin(-)和actin(+)
D.actin(+)、desmin(+),myoglobin(-)和myosin(-)
E.actin(-)、desmin(-),myoglobin(+)、myosin(+)
点击查看答案
本题答案:微信扫下方二维码即可打包下载完整带答案解析版《★病理学(医学高级)》或《病理学(医学高级):病理学综合》题库
278、单项选择题 患者女,48岁,因“左乳内上象限肿物2周”来诊。肿物活动度差,伴有乳头单乳管血性溢液。无乳腺癌家族史及乳腺疾病史。同侧腋下可触及肿大淋巴结,粗针穿刺活检诊断为淋巴结内转移性低分化腺癌。行乳房切除+腋下淋巴结清扫术。大体检查:乳腺肿物4.6cm×3.9cm×3.6cm,边界不清,质硬,切面灰白,有灰黄色斑点,挤压有粉刺样物。
确诊依据除外()。
A.浸润性癌周围伴有大量的导管原位癌成分
B.肿瘤细胞异型性明显
C.间质中浸润的肿瘤细胞排列成簇状
D.粉刺型的导管原位癌
E.间质内有淋巴细胞浸润
点击查看答案
本题答案:微信扫下方二维码即可打包下载完整带答案解析版《★病理学(医学高级)》或《病理学(医学高级):病理学综合》题库
279、单项选择题
患者男,68岁,因“食欲减退,饭后饱胀,体重减轻”来诊。胃镜:胃窦下弯处隆起,黏膜皱襞变平坦。行胃大部切除术,大体检查:肿瘤位于胃壁,4.5cm×4.8cm,切面呈灰红鱼肉状,界限清楚,无明确包膜;组织学检查:肿瘤由上皮样细胞组成,呈团巢状排列,细胞异型性轻,胞质中等量,嗜伊红色。核分裂象偶见。间质血管丰富。
对诊断胃肠道间质肿瘤有一定价值的免疫组织化学表型是()。
A.SMA表达阴性
B.DES表达弱阳性
C.S100P表达阳性
D.CD34表达阴性
E.CD117表达呈核旁点状阳性
点击查看答案
本题答案:微信扫下方二维码即可打包下载完整带答案解析版《★病理学(医学高级)》或《病理学(医学高级):病理学综合》题库
280、单项选择题 肝细胞大片坏死,伴肝细胞结节状再生见于()。
A.急性普通型肝炎
B.轻度慢性肝炎
C.中、重度慢性肝炎
D.亚急性重型肝炎
E.急性重型肝炎
点击查看答案
本题答案:微信扫下方二维码即可打包下载完整带答案解析版《★病理学(医学高级)》或《病理学(医学高级):病理学综合》题库
281、单项选择题 有Ph染色体标志的主要是哪一种白血病()。
A.急性粒细胞性白血病
B.慢性粒细胞性白血病
C.急性淋巴细胞性白血病
D.慢性淋巴细胞性白血病
E.急性单核细胞性白血病
点击查看答案
本题答案:微信扫下方二维码即可打包下载完整带答案解析版《★病理学(医学高级)》或《病理学(医学高级):病理学综合》题库
282、单项选择题 患者女,因“左胸部皮肤出现红斑及成簇的小水疱,伴局部疼痛”来诊。
光镜:表皮细胞气球样变性、网状变性和棘层松解,表皮内水疱形成;水疱内有蛋白性渗出物、炎细胞及松解细胞;水疱内及其周围上皮细胞的核内可见嗜酸性包涵体;真皮乳头层轻度充血、水肿,血管周围见淋巴单核细胞浸润;小神经周围也见炎细胞浸润。最可能的诊断是()。
A.天疱疮
B.带状疱疹
C.Hailey-Hailey病
D.疱疹样皮炎
E.类天疱疮
点击查看答案
本题答案:微信扫下方二维码即可打包下载完整带答案解析版《★病理学(医学高级)》或《病理学(医学高级):病理学综合》题库
283、多项选择题 乳腺富脂质癌的特征有()。
A.90%肿瘤细胞质内含有中性脂质
B.也称脂质分泌性癌
C.钙化多见
D.苏丹Ⅲ冷冻切片染色显示胞质内脂滴
E.应与其他伴有透明空泡胞质的癌鉴别
点击查看答案
本题答案:微信扫下方二维码即可打包下载完整带答案解析版《★病理学(医学高级)》或《病理学(医学高级):病理学综合》题库
284、多项选择题 属于错构瘤的是()。
A.Peutz-Jeghers息肉
B.Brunner腺瘤
C.幼年性息肉
D.Gardner综合征的肠道息肉
E.Cowden病的肠道息肉
点击查看答案
本题答案:微信扫下方二维码即可打包下载完整带答案解析版《★病理学(医学高级)》或《病理学(医学高级):病理学综合》题库
285、多项选择题 患者女,65岁,因“腹胀、腰部不适”来诊。CT:左上腹部占位性病变。病变7.5cm×6.8cm,呈结节状。
以下对诊断胃肠道间质肿瘤有决定性作用的是()。
A.组织学检查肿瘤由梭形细胞组成
B.免疫组织化学检查(CD117,DOG1,CD34)
C.电镜(致密核心颗粒,中间丝,糖原)
D.DNA-PCR-核苷酸序列分析(KIT,PDGFRA.
E.RT-PCR定量分析(EGFR,HER2)
F.FISH检测HER2扩增
点击查看答案
本题答案:微信扫下方二维码即可打包下载完整带答案解析版《★病理学(医学高级)》或《病理学(医学高级):病理学综合》题库
286、单项选择题 慢性支气管炎患者咳痰的病变基础是()。
A.支气管黏膜上皮细胞变性、坏死脱落
B.支气管壁腺体肥大、增生,浆液腺上皮的黏液化
C.支气管壁充血、水肿,淋巴细胞浸润
D.软骨萎缩、钙化
E.支气管壁瘢痕形成
点击查看答案
本题答案:微信扫下方二维码即可打包下载完整带答案解析版《★病理学(医学高级)》或《病理学(医学高级):病理学综合》题库
287、单项选择题 恶性高血压患者死于尿毒症的主要原因是()。
A.肾小管坏死
B.肾小球纤维化
C.肾间质出血
D.肾细动脉纤维素样坏死
E.肾小动脉增生性动脉内膜炎
点击查看答案
本题答案:微信扫下方二维码即可打包下载完整带答案解析版《★病理学(医学高级)》或《病理学(医学高级):病理学综合》题库
288、单项选择题 患者男,53岁,左臀部皮下发现孤立性肿块3年,肿块直径约3.5cm。大体检查:肿瘤卵圆形,边界清楚,似有纤维性包膜,质硬,切面呈灰白色石灰样。
最不可能的诊断是()。
A.软组织骨肉瘤
B.神经鞘黏液瘤
C.骨外黏液性软骨肉瘤
D.隆突性皮肤纤维肉瘤
E.神经鞘瘤
点击查看答案
本题答案:微信扫下方二维码即可打包下载完整带答案解析版《★病理学(医学高级)》或《病理学(医学高级):病理学综合》题库
289、单项选择题 临床表现为Cushing综合征,肢端肥大,糖尿病,抑郁症、失眠、记忆力下降和皮肤色素沉着的是()。
A.GH细胞腺瘤
B.PRL细胞腺瘤
C.ACTH细胞腺瘤
D.TSH细胞腺瘤
E.GTH细胞腺瘤
点击查看答案
本题答案:微信扫下方二维码即可打包下载完整带答案解析版《★病理学(医学高级)》或《病理学(医学高级):病理学综合》题库
290、单项选择题 急性肾盂肾炎最常见的病原体是()。
A.变形杆菌
B.产气杆菌
C.大肠杆菌
D.葡萄球菌
E.链球菌
点击查看答案
本题答案:微信扫下方二维码即可打包下载完整带答案解析版《★病理学(医学高级)》或《病理学(医学高级):病理学综合》题库
291、单项选择题 患者女,33岁人,结婚5年未孕,月经不规则多年,已闭经4个月,B型超声:内膜增厚1.0cm,内膜回声不均,双侧卵巢多囊性改变。尿妊娠试验阴性。
血内分泌检查FSH7.8U/L,LH26U/L,E2287pmol/L,P2.8nmol/L,TTE3nmol/L,临床诊断为()。
A.下丘脑或垂体性闭经
B.卵巢功能不全
C.子宫性闭经
D.多囊卵巢综合征
E.卵巢早衰
点击查看答案
本题答案:微信扫下方二维码即可打包下载完整带答案解析版《★病理学(医学高级)》或《病理学(医学高级):病理学综合》题库
292、单项选择题 关于含牙囊肿,叙述错误的是()。
A.囊壁内衬为复层鳞状上皮,表面无角化
B.纤维囊壁内可有牙源性上皮岛
C.囊液内含有脱落的上皮细胞及胆固醇
D.该病变手术不能完全切除,可复发
E.未发现该病变发生恶性病变的报道
点击查看答案
本题答案:微信扫下方二维码即可打包下载完整带答案解析版《★病理学(医学高级)》或《病理学(医学高级):病理学综合》题库
293、单项选择题 关于木村(Kimura)病,叙述错误的是()。
A.实验室检查示外周血嗜酸性粒细胞增多
B.也称“血管淋巴增生伴嗜酸粒细胞增多”
C.病变组织中常见嗜酸性脓肿
D.可累及淋巴结及结外组织
E.病因不明
点击查看答案
本题答案:微信扫下方二维码即可打包下载完整带答案解析版《★病理学(医学高级)》或《病理学(医学高级):病理学综合》题库
294、多项选择题 关于外阴上皮内瘤变的诊治重点,叙述正确的有()。
A.确认或除外年轻女性外阴生殖道疣
B.浸润前病变(外阴上皮内瘤变)的确认和分类
C.明确外阴上皮内瘤变的分级
D.确定早期浸润性鳞癌的分类和治疗
E.确定鳞状细胞癌亚型和恰当治疗
点击查看答案
本题答案:微信扫下方二维码即可打包下载完整带答案解析版《★病理学(医学高级)》或《病理学(医学高级):病理学综合》题库
295、多项选择题 胚胎性横纹肌肉瘤相对最为好发的部位包括()。
A.头颈部
B.呼吸道
C.消化道
D.四肢
E.泌尿生殖道
点击查看答案
本题答案:微信扫下方二维码即可打包下载完整带答案解析版《★病理学(医学高级)》或《病理学(医学高级):病理学综合》题库
296、多项选择题 胃肠道间质肿瘤的表型特征之一是免疫组织化学检查CD117表达阳性,其主要的表型有()。
A.细胞膜
B.细胞质
C.细胞核和核旁点状阳性
D.细胞膜和细胞质均阳性
E.细胞质和细胞核均阳性
点击查看答案
本题答案:微信扫下方二维码即可打包下载完整带答案解析版《★病理学(医学高级)》或《病理学(医学高级):病理学综合》题库
297、单项选择题 前列腺癌最常见于前列腺的()。
A.双侧叶
B.后叶
C.中叶
D.前叶
E.两叶以上
点击查看答案
本题答案:微信扫下方二维码即可打包下载完整带答案解析版《★病理学(医学高级)》或《病理学(医学高级):病理学综合》题库
298、单项选择题 患者男,2岁,因“左侧面瘫2个月”来诊。MRI:左小脑脑桥角巨大占位。
下列器官的类似肿瘤中,在组织学和分子学上常与本病有关联的是()。
A.肝
B.心
C.皮肤
D.胃
E.肾
点击查看答案
本题答案:微信扫下方二维码即可打包下载完整带答案解析版《★病理学(医学高级)》或《病理学(医学高级):病理学综合》题库
299、单项选择题 医源性因素会引起某些子宫内膜的病理改变,包括药物、放置节育环、手术等。
与子宫内膜变化不对应的是()。
A.含孕激素的宫内节育器可使子宫内膜腺体萎缩和间质蜕膜变化
B.口服避孕药抑制内膜增殖,使内膜分泌不良
C.持续雌激素刺激可能导致内膜不规则增生及息肉形成
D.大剂量孕激素会导致内膜增厚,发生不典型增生的危险性增加
E.长期应用他莫昔芬,并发内膜息肉和内膜增殖症以及腺癌的比例增加
点击查看答案
本题答案:微信扫下方二维码即可打包下载完整带答案解析版《★病理学(医学高级)》或《病理学(医学高级):病理学综合》题库
300、多项选择题 关于小肠胰腺异位,叙述正确的是()。
A.多位于肠黏膜下
B.可见于空肠Meckel憩室
C.胰腺腺泡和导管为主要成分
D.胰腺导管和平滑肌构成主要成分
E.可发生急慢性胰腺炎及胰岛细胞瘤
点击查看答案
本题答案:微信扫下方二维码即可打包下载完整带答案解析版《★病理学(医学高级)》或《病理学(医学高级):病理学综合》题库
题库试看结束后
微信扫下方二维码即可打包下载完整版《
★病理学(医学高级)》题库
手机用户可保存上方二维码到手机中,在微信扫一扫中右上角选择“从相册选取二维码”即可。
题库试看结束后
微信扫下方二维码即可打包下载完整版《
病理学(医学高级):病理学综合》题库,
分栏、分答案解析排版、小字体方便打印背记!经广大会员朋友实战检验,此方法考试通过率大大提高!绝对是您考试过关的不二利器!
手机用户可
保存上方二维码到手机中,在
微信扫一扫中右上角选择“从
相册选取二维码”即可。