医学影像技术(医学高级):CT考点巩固(题库版)
2024-11-09 08:15:02 来源:91考试网 作者:www.91exam.org 【
题库试看结束后微信扫下方二维码即可打包下载完整版《★医学影像技术(医学高级)》题库
手机用户可保存上方二维码到手机中,在微信扫一扫中右上角选择“从相册选取二维码”即可。
题库试看结束后微信扫下方二维码即可打包下载完整版《医学影像技术(医学高级):CT》题库,分栏、分答案解析排版、小字体方便打印背记!经广大会员朋友实战检验,此方法考试通过率大大提高!绝对是您考试过关的不二利器
手机用户可保存上方二维码到手机中,在微信扫一扫中右上角选择“从相册选取二维码”即可。

1、单项选择题  慢性硬膜下血肿与硬膜下积液(水瘤)的鉴别点不正确的是()

A.血肿密度常略高于积液
B.强化后扫描血肿常可见包膜
C.血肿常有外伤史
D.血肿多为双侧发病
E.血肿的占位效应常较明显


点击查看答案


2、单项选择题  胃憩室的好发部位是()

A.胃小弯
B.胃大弯
C.胃窦部
D.幽门部
E.以上都不是


点击查看答案


3、单项选择题  脑梗死CT水肿高峰发生于发病后()

A.12小时
B.24小时
C.2~5天
D.1周
E.10天左右


点击查看答案


4、单项选择题  CT机房安装空调,主要原因是()

A.病人和工作人员舒适 
B.不设窗户,使射线屏蔽更安全 
C.设备贵重,保护机器 
D.使计算功能正常工作 
E.不开窗户,避免灰尘进入


点击查看答案


5、单项选择题  CT示颅底中线占位病变,斜坡及鞍背骨质破坏,瘤体密度不均匀,可见钙化和(或)骨质成分,应先考虑为()

A.三叉神经纤维瘤
B.脑膜瘤
C.脊索瘤
D.畸胎瘤
E.神经纤维瘤病


点击查看答案


6、单项选择题  以下哪项不是骨关节创伤CT检查的目的()

A.明确诊断
B.了解有无软组织血肿
C.X线平片无法检查和观察不清楚时,了解创伤情况
D.了解有无韧带损伤
E.为手术提供方案


点击查看答案


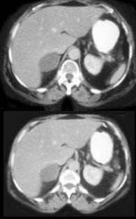
7、单项选择题  

根据所提供的图像,最可能的诊断是()

A.急性肾盂肾炎
B.肾癌
C.黄色肉芽肿性肾盂肾炎
D.肾梗死
E.肾血管平滑肌脂肪瘤


点击查看答案


8、单项选择题  典型肝脓肿壁出现三层环状结构,腔内可有分隔,增强扫描时强化最明显的是()

A.水肿带
B.炎性坏死组织
C.纤维肉芽组织
D.脓肿内分隔
E.以上都不是


点击查看答案


9、单项选择题  

女,30岁,腹痛腹泻、恶心呕吐、皮肤瘙痒,影像检查如图,最可能的诊断是()

A.恶性淋巴瘤
B.腹膜后淋巴结核
C.腹膜后转移癌
D.神经纤维瘤
E.神经鞘瘤


点击查看答案


10、单项选择题  因探测器灵敏度不一致,采集系统故障造成的伪影形态为:()

A.移动条纹伪影
B.放射状伪影
C.模糊伪影
D.帽状伪影
E.环状伪影


点击查看答案


11、单项选择题  

男,76岁,无痛性肉眼血尿3个月,CT检查如图所示,下列说法错误的是()

A.左侧肾盂扩张积水
B.左侧输尿管中上段扩张
C.左侧输尿管下段可见节段状不规则的软组织肿块影
D.考虑为左侧输尿管炎
E.考虑为左侧输尿管下段癌


点击查看答案


12、单项选择题  椎体骨与椎间盘破坏并存时,最先考虑哪种疾病()

A.脊柱转移瘤
B.压缩性骨折
C.脊椎结核
D.脊椎血管瘤
E.椎体骨质疏松


点击查看答案


13、单项选择题  肾上腺病变的首选检查方法为()

A.尿路造影
B.腹部平片
C.腹膜后充气造影
D.CT检查
E.MRI检查


点击查看答案


14、多项选择题  女,56岁,眩晕,CT示左侧桥脑小脑脚区低密度病灶,脑干轻度受压。关于影像学分析,下列哪些是正确的()

A.诊断应考虑:胆脂瘤、胶质瘤等
B.侧脑室增宽应首先考虑脑外病变
C.脑池增宽应首先考虑胶质瘤
D.脑池形态一致应首先考虑听神经瘤
E.扫描病灶无强化不首先考虑听神经瘤


点击查看答案


15、单项选择题  轴位CT平扫难以确定病变位于幕上或幕下时,用哪一种方法帮助定位最佳()

A.动态增强扫描
B.重叠扫描
C.薄层CT扫描
D.冠状位增强扫描
E.轴位增强扫描


点击查看答案


16、单项选择题  下列肿瘤脑血管造影在颈内动脉显影的同时,颈外动脉的分支显影,并较正常粗大,且伸向病变区颅底位片示同侧棘孔扩大,应考虑为()

A.颅咽管瘤
B.动脉瘤
C.室管膜瘤
D.听神经瘤
E.脑膜瘤


点击查看答案


17、单项选择题  

女,47岁,满月脸、向心性肥胖伴高血压1月,结合图像,最可能的诊断是()

A.左肾上腺腺瘤
B.左肾上腺腺癌
C.左肾上腺转移癌
D.左肾上腺嗜铬细胞瘤
E.左肾上腺增生


点击查看答案


18、单项选择题  关于十二指肠球部溃疡,下列说法不正确的是()

A.常见球部变形
B.溃疡可多发
C.胃肠钡餐检查可见点状钡斑
D.可见胃蠕动增强
E.部分可恶变


点击查看答案


19、单项选择题  下列关于CT密度分辨率的表达,正确的是()

A.0.35%
B.12LPS/cm
C.0.5%,3mm
D.14LPS/cm,MTF5%
E.2mm,0.35%,35mGy


点击查看答案


20、问答题  纵隔内恶性淋巴瘤的CT表现有哪些?


点击查看答案


21、判断题  幕上Ⅲ、Ⅳ级星形细胞的肿瘤,CT平扫密度很不均匀。常为两种甚至三种密度并存,其中以低密度或等密度为主的混合密度的病例最多。


点击查看答案


22、单项选择题  关于肾盂移行细胞癌的CT表现,错误的是()

A.肾盂内不规则软组织密度肿块
B.肾移行细胞癌多为乳头型,有明显强化
C.周围有脂肪围绕
D.常多发累及同侧输尿管及膀胱
E.肾盂、肾盏扩张


点击查看答案


23、单项选择题  关于肝脓肿脓腔影像,下列描述哪项不对()

A.脓腔不强化
B.急性期可见不到脓腔
C.脓腔CT值多为60~80HU
D.可有“液-液面”
E.脓腔内偶可见到气体影


点击查看答案


24、单项选择题  以脑室扩大表现为主的“脑萎缩”称为()

A.皮质型脑萎缩
B.外周型脑萎缩
C.混合型脑萎缩
D.髓质型脑萎缩
E.以上都不对


点击查看答案


25、单项选择题  关于肝门部结构的描述,哪项不正确()

A.门静脉由脾静脉和肠系膜下静脉汇合而成
B.肝动脉位于门静脉的前内侧
C.肝总管在门静脉的前外侧
D.肝静脉在第二肝门处汇入下腔静脉
E.正常时肝内胆管不显示


点击查看答案


26、单项选择题  单纯累及肺泡的病变是()

A.细支气管肺泡癌
B.真菌感染
C.肺泡蛋白沉着症
D.肺结核
E.淋巴瘤


点击查看答案


27、单项选择题  

女,34岁,咳嗽,咯血半月余,结合影像学检查,最可能的诊断()

A.纵隔畸胎瘤
B.淋巴瘤
C.胸腺瘤
D.神经源性肿瘤
E.肺癌


点击查看答案


28、判断题  CT可作为乳腺疾病的常规检查方法。


点击查看答案


29、问答题  脊椎退行性变的CT表现有哪些?


点击查看答案


30、单项选择题  女,37岁,产后10天,出现剧烈头痛头昏伴神志不清2天,根据所提供图像,最可能的诊断是()

A.右侧蛛网膜下腔出血
B.右侧脑膜脑炎
C.右侧硬膜下血肿
D.右侧脑梗死
E.右侧静脉窦血栓形成


点击查看答案


31、单项选择题  

结合图像,最可能的诊断是()

A.克罗恩病
B.局部缺血的小肠
C.正常回肠
D.淋巴瘤
E.以上都不是


点击查看答案


32、单项选择题  脑梗死增强高峰为发病后()

A.2~3日
B.2~3周
C.1月
D.2个月
E.3~7日


点击查看答案


33、单项选择题  有关支气管扩张,错误的是()

A.易反复感染
B.CT上可见“印戒”征
C.左下叶多见
D.可见囊状或串珠样支气管扩张
E.咳嗽、咳痰、咯血是必备的三大症状


点击查看答案


34、单项选择题  

男,35岁,有乙肝病史多年,AFP阳性,影像检查如图,最可能的诊断是()

A.肝硬化腹水
B.肝血管瘤
C.肝脓肿
D.肝癌、肝硬化、腹水
E.肝硬化,结节性增生


点击查看答案


35、单项选择题  胸部CT常规为仰卧位,需同时采用俯卧位的是()

A.肺癌的分期诊断 
B.观察肺内肿物形态 
C.测量肺内病变大小 
D.了解胸水流动性 
E.对肺弥漫性病变观察


点击查看答案


36、单项选择题  以下哪种CT表现更倾向于硬膜外血肿而不是硬膜下血肿()

A.血肿为等密度
B.血肿不超越颅缝
C.血肿不超过中线
D.边缘清楚
E.占位效应更重


点击查看答案


37、单项选择题  血管母细胞瘤的CT表现,下列哪项描述错误()

A.囊性低密度区
B.囊壁有结节
C.结节明显强化但持续时间短
D.瘤周水肿明显
E.四脑室受压移位


点击查看答案


38、单项选择题  下述颅脑CT的异常表现中,除哪项外其他的与脑瘤有关()

A.颅内正常结构移位
B.脑水肿
C.脑沟增宽加深
D.脑积水
E.颅骨骨质吸收或破坏


点击查看答案


39、单项选择题  女,1岁,发育低于同龄幼儿,CT检查如图,最可能的诊断为()

A.透明隔囊肿
B.前脑无裂
C.无脑回畸形
D.胼胝体发育不良
E.无脑回伴胼胝体发育不良


点击查看答案


40、名词解释  分叶肾


点击查看答案


41、单项选择题  关于碘对比剂的叙述,正确的是()

A.泛影葡胺属无机碘化物 
B.碘对比剂均为阳性对比剂 
C.离子型对比剂是阴性对比剂 
D.非离子对比剂不能用于心血管造影 
E.复方泛影葡胺是非碘对比剂


点击查看答案


42、单项选择题  男,56岁,头部被弹片炸伤,CT检查如图,最可能的诊断是()

A.结核钙化
B.动静脉畸形
C.脑囊虫病钙化
D.脑血吸虫病
E.颅内异物(弹片)


点击查看答案


43、多项选择题  发生于脊髓内常见肿瘤为()

A.星形细胞瘤
B.神经纤维瘤
C.室管膜瘤
D.神经鞘瘤
E.淋巴瘤


点击查看答案


44、单项选择题  按WH0分类关于Ⅱ级星形细胞瘤的CT表现的描述,哪项是错误的()

A.肿瘤与水肿不易区分
B.病灶几乎不强化
C.病灶呈不均匀强化
D.病灶边缘清楚
E.占位效应较轻


点击查看答案


45、单项选择题  与高血压脑出血比较,脑淀粉样变性出血好发于()

A.基底节
B.皮层
C.脑干
D.脑室旁
E.小脑


点击查看答案


46、单项选择题  肺癌可以通过支气管扩散,最常见于()

A.鳞癌
B.未分化小细胞癌
C.大细胞癌
D.支气管肺泡癌
E.类癌


点击查看答案


47、填空题  周围型错构瘤的CT表现为_________,直径多在_____cm以下,少数可达5cm以上。


点击查看答案


48、单项选择题  有关系统性红斑狼疮描述,错误的是()

A.肺可受侵
B.易侵犯心血管、肾
C.多形成广泛肺纤维化和蜂窝肺
D.是一种全身性疾病
E.女性多见


点击查看答案


49、单项选择题  

男,24岁,左大腿及膝部痛,结合图像,最可能的诊断是()

A.骨巨细胞瘤
B.骨囊肿
C.成软骨细胞瘤
D.动脉瘤样骨囊肿
E.骨肉瘤


点击查看答案


50、问答题  膀胱癌的CT表现有哪些?


点击查看答案


51、多项选择题  “Parkinson病”患者,CT扫描上可见到()

A.中央型脑萎缩
B.外周型脑萎缩
C.局限性脑萎缩
D.苍白球对称性钙化
E.基底节区偶有低密度灶


点击查看答案


52、单项选择题  下列均为肾上腺功能亢进性病变,但应除外()

A.Cushing综合征
B.Conn综合征
C.肾上腺性综合征
D.艾迪生病
E.嗜铬细胞瘤


点击查看答案


53、单项选择题  

女,10岁,右下腹痛,腹部包块1月余,站立时突出明显,平卧时消失,表面光滑,影像检查如图,最可能的诊断是()

A.腹壁囊肿
B.右侧腹股沟疝
C.小肠梗阻
D.腹壁纤维瘤
E.腹壁血肿


点击查看答案


54、单项选择题  哪一项不是髓母细胞瘤的CT表现()

A.造成梗阻性脑积水
B.肿瘤明显强化
C.可以见到瘤周水肿
D.脂肪密度
E.发生于小脑蚓部


点击查看答案


55、单项选择题  定位扫描属于扫描步骤中的()

A.第一步输入病人资料 
B.第二步摆体位 
C.第三步确定扫描范围 
D.第四步做横断层扫描 
E.第五步转贮影像数据


点击查看答案


56、单项选择题  关于松果体瘤与生殖细胞瘤的鉴别诊断,下列哪项CT表现有利于松果体瘤的诊断()

A.脑积水
B.三脑室后部受压
C.肿瘤内有钙化
D.松果体钙化移位
E.肿瘤增强


点击查看答案


57、单项选择题  

患者腹痛,便血,有卵巢癌病史,结合图像,最可能的诊断是()

A.原发性结肠癌
B.卵巢癌种植转移
C.子宫内膜异位
D.髓外造血
E.以上都不是


点击查看答案


58、单项选择题  在内耳CT扫描时,常选用()

A.软组织算法 
B.傅立叶图像重建算法 
C.高分辨率算法 
D.标准算法 
E.低通滤过加权算法


点击查看答案


59、多项选择题  关于前列腺的说法正确的有()

A.后方借直肠膀胱陷凹与直肠壶腹相邻
B.位于膀胱颈和尿生殖膈之间
C.尿道自底的前部穿入
D.射精管自底的后部穿入
E.周围有前列腺囊和鞘包裹


点击查看答案


60、单项选择题  

男,30岁,偶尔干咳,结合图像,最可能的诊断是()

A.左下肺感染
B.左下肺结核
C.左下肺错构瘤
D.左下肺炎性假瘤
E.左下肺AVM


点击查看答案


61、单项选择题  下列哪项不是肝包虫囊肿的特征性表现()

A.囊肿单或多发,可有浅分叶轮廓
B.囊内密度均匀,增强后明显强化
C.囊壁可呈弧形或蛋壳样钙化
D.母囊内出现子囊,数目不一
E.内囊可分离,悬浮于囊液中


点击查看答案


62、单项选择题  

男,58岁,有高血压病史,突发胸背剧痛,CT扫描如图,其最可能的诊断为()

A.主动脉瘤
B.主动脉假性动脉瘤
C.主动脉窦瘤破裂
D.高安病
E.主动脉夹层动脉瘤


点击查看答案


63、单项选择题  下列关于脑膜瘤的描述,不正确的是()

A.女性多见
B.与硬脑膜粘连
C.多有包膜
D.均为实性肿块
E.多呈较高密度


点击查看答案


64、单项选择题  关于多发性硬化的描述错误的是()

A.多见于年轻女性
B.多见于年轻男性
C.症状多变
D.病灶多位于脑白质
E.无明显占位征象


点击查看答案


65、单项选择题  下列关于肾筋膜和肾间隙的正确描述是()

A.肾脏前缘和吉氏筋膜前层之间为肾前间隙
B.两侧肾周间隙之间没有交通
C.左右肾后间隙之间相通
D.肾筋膜外为液体
E.肾上腺、肾血管位于肾周间隙


点击查看答案


66、单项选择题  关于肺梗塞CT表现哪项不正确()

A.肺外围部楔形致密影
B.急性期病变肺体积减小
C.楔形病变顶端血管影
D.单发或多发空洞
E.病变内可见小透亮区


点击查看答案


67、单项选择题  毛细胞型星形细胞瘤常见部位不包括()

A.下丘脑
B.脑干
C.视交叉
D.小脑半球
E.大脑半球


点击查看答案


68、多项选择题  

女,45岁,右腰痛伴腹部包块,结合图像,最可能的诊断是()

A.右肾区一巨大的囊性病灶,边界清楚,其内可见线样薄间隔
B.增强时病灶间隔强化,囊性成分无强化
C.右侧囊性肾癌
D.多囊肾
E.右侧多房性囊性肾瘤


点击查看答案


69、单项选择题  肾上腺转移癌最常来自()

A.肝癌
B.胃癌
C.结肠癌
D.肺癌
E.乳腺癌


点击查看答案


70、单项选择题  关于窗宽,下列哪一项不对()

A.窗宽规定了显示CT值的范围 
B.组织CT值超过了窗宽规定的范围时为全白密度 
C.缩小窗宽使图像组织的密度对比缩小 
D.窗宽除以16等于每个灰阶包含的CT值 
E.调节窗宽的大小可改变图像中组织的密度对比


点击查看答案


71、问答题  先天性支气管囊肿的CT表现有哪些?


点击查看答案


72、单项选择题  

女,45岁,满月脸、向心性肥胖2年余,实验室检查:血、尿皮质醇增高,结合CT图像,最可能的诊断是()

A.左肾上腺腺瘤
B.左肾上腺腺癌
C.左肾上腺转移癌
D.左肾上腺嗜铬细胞瘤
E.左肾上腺增生


点击查看答案


73、单项选择题  男,有多年胃病史,血浆蛋白下降,钡餐示胃体大弯侧粘膜皱襞粗大扭曲,胃壁柔软,蠕动存在,最可能的诊断是()

A.慢性肥厚性胃炎
B.淋巴瘤
C.Menetrier病
D.Crohn病
E.静脉曲张


点击查看答案


74、单项选择题  枢椎齿状突原发骨化中心有()

A.1个
B.2个
C.3个
D.4个
E.以上均不对


点击查看答案


75、单项选择题  男,40岁,头痛,CT示斜坡破坏,有一3cm×4cm混杂密度影伴斑点状钙化,脑干后移,最可能的诊断是()

A.脊索瘤
B.脑膜瘤
C.垂体瘤
D.颅咽管瘤
E.基底动脉


点击查看答案


76、单项选择题  有关腰椎术后不良综合征,错误的是()

A.椎间盘再脱出为腰椎术后不良综合征原因之一
B.X线片不易显示椎间盘再脱出
C.椎管造影可以诊断蛛网膜炎
D.MR检查有助于鉴别术后瘢痕组织和椎间盘再脱出
E.新鲜瘢痕组织不增强


点击查看答案


77、单项选择题  男,20岁,癫痫发作4次。CT示脑实质多发高密度点状影和片状不规则低密度灶,部分低密度区呈0.5~1.0cm环形增强,最可能的诊断为()

A.多发性硬化
B.结节性硬化
C.脑囊虫病
D.脑脓肿
E.病毒性脑炎


点击查看答案


78、单项选择题  常引起视神经孔增大的病变是()

A.骨纤维异常增殖症
B.畸形性骨炎
C.石骨症
D.眶内血管瘤
E.视神经脑膜瘤


点击查看答案


79、单项选择题  关于肾解剖描述,错误的是()

A.位于腹膜腔内
B.肾实质外有肾包膜一脂肪一肾筋膜
C.实质分皮质和髓质
D.肾前间隙内有胰腺、十二指肠和升、降结肠
E.后肾间隙只有脂肪组织


点击查看答案


80、单项选择题  

根据所提供的图像,最可能的诊断是()

A.腹膜后纤维化
B.淋巴瘤
C.转移淋巴结
D.腹膜炎
E.以上都不是


点击查看答案


81、问答题  气管肿瘤有何CT表现?


点击查看答案


82、填空题  神经皮肤综合征是一组神经和皮肤同时发病的先天异常,常染色体显性遗传性疾病,常见的有_____________、______________和________________等。


点击查看答案


83、单项选择题  

女,26岁,右腰部不适2年,根据所示图像,最可能的诊断是()

A.右侧髓质海绵肾
B.右肾结核瘤
C.甲状旁腺功能亢进所致的右肾改变
D.右侧慢性肾小管酸中毒
E.维生素D中毒所致的右肾改变


点击查看答案


84、单项选择题  垂体型艾迪生病最常见的原因为()

A.垂体肿瘤
B.颅咽管瘤
C.产后大出血
D.下丘脑附近肿瘤
E.脑膜炎


点击查看答案


85、单项选择题  

女,34岁,发热,背部疼痛1个月余,结合影像学检查,最可能的诊断是()

A.椎体压缩骨折
B.脊椎结核
C.骨髓炎
D.脊椎转移瘤
E.骨髓瘤


点击查看答案


86、单项选择题  

青少年患者,踝部疼痛,如图所示,最可能诊断为()

A.软骨肉瘤
B.骨软骨瘤
C.转移瘤
D.骨肉瘤
E.以上都不是


点击查看答案


87、单项选择题  下列关于肺部霍奇金病,描述正确的是()

A.HRCT对显示肺部病变分布及形态无帮助
B.一定是继发于纵隔及肺门淋巴结病变
C.约有60%的病人有空洞形成
D.大块浸润病变边缘常有支气管充气征
E.多数病人合并支气管扩张


点击查看答案


88、单项选择题  女,78岁,突然意识障碍,结合CT图像,最可能的诊断是()

A.脑挫裂伤
B.脑转移瘤
C.高血压性脑出血
D.脑膜瘤
E.脑脓肿


点击查看答案


89、问答题  胃癌的CT表现及分期如何?


点击查看答案


90、单项选择题  

女,38岁,无任何症状,体检发现肝右叶占位性病变,增强表现如图,最可能的诊断为()

A.原发性肝癌
B.肝转移癌
C.肝血管瘤
D.肝脓肿
E.肝腺瘤


点击查看答案


91、单项选择题  “隐匿性”动静脉畸形的特点是()

A.增强扫描无强化
B.增强扫描有强化
C.等密度
D.局部脑萎缩
E.混杂密度 


点击查看答案


92、单项选择题  不属于脑室系统的是()

A.中脑脚间窝
B.左右侧脑室
C.第三脑室
D.第四脑室
E.中脑导水管


点击查看答案


93、单项选择题  

女,20岁,右大腿远端疼痛2年,伴有肿块,结合图像,最可能的诊断是()

A.软骨黏液样纤维瘤
B.软骨肉瘤
C.骨肉瘤
D.纤维肉瘤
E.骨巨细胞瘤


点击查看答案


94、多项选择题  松果体瘤含有多种细胞成分可含有主质细胞以及胶质细胞和胚胎残余细胞,这些细胞可发生以下哪些肿瘤()

A.松果体细胞瘤
B.胶质细胞瘤
C.生殖细胞瘤
D.畸胎瘤
E.胚胎细胞瘤


点击查看答案


95、单项选择题  

影像检查如图,最可能的诊断是()

A.溃疡
B.纵隔肿瘤
C.霉菌性动脉瘤
D.血肿
E.出血


点击查看答案


96、单项选择题  

女,68岁,有胆囊癌病史,术后行放射治疗,根据所示图像,最可能的诊断是()

A.右肾未见异常
B.右侧肾癌
C.右肾淋巴瘤
D.右肾转移癌
E.右肾放射性损伤改变


点击查看答案


97、单项选择题  眼和眼眶通常扫描的层厚是()

A.2mm
B.5mm
C.10mm
D.15mm
E.20mm


点击查看答案


98、单项选择题  CT对于诊断前列腺癌的主要意义在于()

A.早期诊断
B.与良性前列腺增生肥大鉴别
C.确定晚期病变范围
D.确定肿瘤是否穿破包膜
E.判断有无骨转移


点击查看答案


99、问答题  胆管癌的CT表现有哪些?


点击查看答案


100、单项选择题  

影像所见如图,该病例的诊断为()

A.肺癌
B.神经纤维瘤病
C.肺上沟瘤
D.感染
E.以上都不是


点击查看答案


101、单项选择题  肺部的弥漫性间质性疾病,CT扫描的方法是()

A.增强扫描 
B.目标扫描 
C.高分辨率扫描 
D.放大扫描 
E.重叠扫描


点击查看答案


102、单项选择题  

根据所提供的图像,最可能的诊断是()

A.胃平滑肌瘤
B.胃间质瘤
C.胃脂肪瘤
D.神经纤维瘤
E.以上都不是


点击查看答案


103、问答题  如何应用CT增强扫描?


点击查看答案


104、单项选择题  

患者腹胀,结合图像,最可能的诊断是()

A.神经纤维瘤病
B.淋巴瘤
C.淋巴管瘤
D.转移癌
E.以上都不是


点击查看答案


105、单项选择题  

男,36岁,反复右侧腰部疼痛2年余,CT检查如图,下列说法错误的是()

A.右侧输尿管内可见枣核状高密度影
B.右输尿管上段扩张积水
C.右肾未见异常
D.左肾未见异常
E.右侧输尿管上段结石


点击查看答案


106、单项选择题  肺部病灶CT值的测量选用病灶中间层面,其原因是()

A.容易测量 
B.病灶范围比较大 
C.是病灶的实质所在 
D.减少容积效应影响 
E.此层面增强效果好


点击查看答案


107、单项选择题  颅内肿瘤头颅平片表现可以是()

A.正常
B.正常;反映肿瘤的征象
C.正常;颅内压增高征象;反映肿瘤的征象
D.颅内压增高的征象;钙化
E.正常;颅内压增高征象;钙化


点击查看答案


108、单项选择题  横轴位鼻咽腔的CT图像形态为()

A.硬腭水平呈长方形
B.软腭之上水平呈方形
C.咽隐窝水平呈梯形
D.咽鼓管隆突水平呈梯形
E.咽隐窝水平呈双梯形


点击查看答案


109、单项选择题  急性出血坏死性胰腺炎患者重要CT征象为()

A.肾前筋膜增厚
B.胰腺萎缩
C.胰腺边缘锐利
D.胰腺表面光滑
E.胰腺密度均匀


点击查看答案


110、单项选择题  下列哪项是螺旋CT与传统CT的本质区别()

A.改变机架内重复旋转运动 
B.提高病人检查的效率 
C.克服呼吸运动差异使检查层面的丢失 
D.加快扫描速度 
E.获得的是三维检查信息


点击查看答案


111、单项选择题  青少年患者,踝痛,最可能的诊断是()

A.跟距骨桥
B.脓肿
C.缺血坏死
D.骨结核
E.以上都不是


点击查看答案


112、单项选择题  512×512表示方式,表示的是()

A.像素 
B.矩阵 
C.体素 
D.视野 
E.灰阶


点击查看答案


113、单项选择题  

患者有镰刀形红细胞贫血病史,结合图像,最可能的诊断为()

A.肝癌
B.转移癌
C.脓肿
D.髓外造血
E.囊肿


点击查看答案


114、填空题  鼻咽癌按形态可可分为________、_________、___________和___________。


点击查看答案


115、单项选择题  

根据所提供的图像,最可能的诊断是()

A.脂肪瘤
B.吸收物
C.淋巴瘤
D.外来物
E.转移癌


点击查看答案


116、单项选择题  增强扫描动脉期,多数转移性肝癌的强化程度()

A.比原发性肝癌低
B.明显高于肝脏
C.比原发性肝癌高
D.与原发性肝癌相仿
E.明显强化


点击查看答案


117、单项选择题  男,58岁,不规则发热4月。CT表现右肺上叶后段不规则空洞影,壁较厚,其内有分隔及短小气液面,周边伴有小支气管扩张,邻近胸膜增厚。应首先诊断为()

A.浸润型肺结核
B.空洞型肺结核并支气管播散
C.支气管扩张并感染
D.慢性肺脓肿
E.空洞型肺癌


点击查看答案


118、单项选择题  

根据所提供的图像,最可能的诊断是()

A.胰腺癌
B.慢性胰腺炎
C.胰腺转移癌
D.胰岛细胞癌
E.淋巴瘤


点击查看答案


119、单项选择题  眶内海绵状血管瘤最有特征性的CT表现是()

A.肿瘤位于眼肌圆锥内
B.肿瘤内致密结节影
C.肿瘤增强明显
D.肿瘤增强早期呈不均匀增强
E.肿瘤与眼球相邻


点击查看答案


120、单项选择题  

根据所提供的图像,最可能的诊断是()

A.肝包虫病
B.肝囊肿并囊壁钙化
C.肝结核
D.肝癌
E.肝血管瘤


点击查看答案


121、单项选择题  

男,30岁,有胆结石病史,近日腹痛、腹胀,CT检查如图,最可能的诊断为()

A.胆石症
B.胆石性肠梗阻
C.肠结核
D.小肠克罗恩病
E.小肠淋巴瘤


点击查看答案


122、单项选择题  

女,36岁,肝区不适数月,CT检查如图,最可能的诊断是()

A.肝包虫病
B.肝脓肿
C.肝血管瘤
D.肝囊肿
E.原发性肝癌


点击查看答案


123、多项选择题  肝癌病灶可发生()

A.钙化
B.坏死
C.出血
D.骨化
E.脂肪变


点击查看答案


124、问答题  股骨头无菌坏死的CT表现有哪些?


点击查看答案


125、单项选择题  男,32岁,发热,头痛,结合CT图像,最可能的诊断是()

A.星形细胞瘤
B.脑转移瘤
C.脑脓肿
D.脑包虫病
E.脑血肿吸收期


点击查看答案


126、单项选择题  

男,41岁,血便,肛诊触及左侧直肠壁一质硬小结节,结合CT所见最可能的诊断是()

A.直肠腺瘤
B.直肠癌
C.直肠息肉
D.直肠转移癌
E.直肠间质瘤


点击查看答案


127、单项选择题  皮样囊肿起源于()

A.神经内胚层
B.神经外胚层
C.神经中胚层
D.中、外胚层
E.内、中、外胚层


点击查看答案


128、单项选择题  甲状腺CT扫描时,对于病人呼吸状态的要求应是()

A.不要屏气 
B.吸气后屏气 
C.呼气后屏气 
D.平静呼吸状态下屏气 
E.以上状态均可


点击查看答案


129、单项选择题  

男,65岁,尿频尿急及排尿困难,CT检查如图所示,下列说法错误的是()

A.前列腺形态呈类圆形
B.前列腺包膜光滑,境界清晰
C.前列腺与膀胱分界清楚
D.考虑为前列腺增生
E.考虑为前列腺癌


点击查看答案


130、单项选择题  原发腹膜后恶性肿瘤中应除外()

A.脂肪肉瘤
B.平滑肌肉瘤
C.恶性畸胎瘤
D.横纹肌肉瘤
E.神经鞘瘤


点击查看答案


131、单项选择题  下述胆囊切除术后综合征CT表现,错误的是()

A.胆管内结石
B.胆总管内软组织肿块影,可强化
C.胆总管扩张,通而不畅
D.胆总管节段性狭窄
E.胆总管端膨大


点击查看答案


132、单项选择题  

患者腹痛,结合图像,最可能的诊断是()

A.淋巴瘤
B.幽门螺杆菌感染
C.胃炎
D.浸润性胃腺癌
E.以上都不是


点击查看答案


133、单项选择题  声带癌侵犯声门下的标准是肿瘤向下超过声带突()

A.2mm
B.3mm
C.4mm
D.5mm
E.6mm


点击查看答案


134、单项选择题  眼外肌从眶尖的腱环向前行附于()

A.角膜
B.虹膜
C.巩膜
D.视网膜
E.脉络膜


点击查看答案


135、单项选择题  男,30岁,搏动性耳鸣,蓝色鼓膜,传导性耳聋2年。CT示鼓室内软组织肿物,最可能的诊断是()

A.胆脂瘤,中耳炎
B.胆脂瘤,听骨链破坏
C.面神经瘤,听骨链破坏
D.血管球瘤,颈内静脉裸露
E.中耳乳突炎,听骨链破坏


点击查看答案


136、单项选择题  真菌性鼻窦炎的CT征象()

A.窦腔内可见软组织密度影,其内可见散在斑片状或沙粒状钙化
B.增强不明显
C.气-液平面多见
D.积液多见
E.多为双侧


点击查看答案


137、单项选择题  “结核性脑膜炎”CT征象,下列描述哪项错误()

A.梗阻性脑积水表现
B.增强,基底池、脑表面强化
C.脑内散在粟粒状病灶
D.CT平扫难以显示脑内病灶
E.平扫,基底池、大脑外侧裂密度增高


点击查看答案


138、单项选择题  下列哪项无法成为马蹄肾的诊断依据()

A.多不伴有肾盂肾盏积水后形态异常
B.双侧肾脏较正常位置低
C.双肾旋转不良
D.输尿管在肾脏前面下行,有一定弧度
E.双肾下极在脊柱前方融合可诊断


点击查看答案


139、单项选择题  

男,54岁,干咳,呼吸急促1月余,结合影像学检查,最可能的诊断是()

A.间质性肺炎
B.大叶性肺炎
C.特发性肺间质纤维化
D.卡氏肺囊虫性肺炎
E.肺癌


点击查看答案


140、单项选择题  半月裂()

A.位于钩突之上,筛泡之下
B.位于钩突之下,筛泡之上
C.位于钩突之前,筛泡之后
D.位于钩突之后,筛泡之前
E.为后组筛窦之引流通道


点击查看答案


141、单项选择题  有关脑膜错误的描述中是()

A.脑膜由外向内为硬脑膜、蛛网膜和软脑膜
B.硬脑膜与颅骨内板之间的间隙称硬膜外腔
C.软脑膜伸入脑沟、裂内
D.脑膜中动脉走行于硬膜内外层之间
E.硬膜内层向内折叠形成大脑镰、小脑幕


点击查看答案


142、单项选择题  下面哪项不是典型性肝脓肿的CT表现()

A.平扫示低密度占位,中心区CT值略高于水
B.多为圆或椭圆形,部分腔内有分隔
C.多数病灶边缘不清楚
D.脓肿周围出现不同密度环形带
E.增强扫描脓肿壁有较明显的强化,但强化持续时间很短


点击查看答案


143、单项选择题  CT平扫示椎体部分呈低密度,边缘硬化,骨小梁减少,变粗而致密,最有可能的诊断是()

A.骨肉瘤
B.多发骨髓瘤
C.转移瘤
D.血管瘤
E.恶性淋巴瘤


点击查看答案


144、多项选择题  Wilson病CT征象包括下述哪些()

A.豆状核条状或新月形低密度区
B.低密度病变可见于基底节以外其他部位
C.增强扫描无强化
D.肝脏早期有脂肪沉积,后期有肝硬化
E.可伴有脑萎缩


点击查看答案


145、单项选择题  

男,4岁,发现左侧腹部包块1月余,如图所示,最可能的诊断是()

A.小肠间质瘤
B.淋巴瘤
C.神经母细胞瘤
D.左肾母细胞瘤
E.恶性畸胎瘤


点击查看答案


146、单项选择题  

男,34岁,发热,背部疼痛,不能直立,局部软组织肿胀,结合图像,最可能的诊断是()

A.化脓性骨髓炎
B.脊柱结核
C.脊柱转移瘤
D.骨肉瘤
E.成骨肉瘤


点击查看答案


147、单项选择题  

女,47岁,右肩部疼痛并肩关节活动受限数月,结合所提供的图像,最可能的诊断是()

A.颈椎病
B.颈部肿瘤
C.化脓性肩关节炎
D.未见明显异常
E.肩周炎


点击查看答案


148、单项选择题  肝脏外伤CT增强扫描的主要目的是()

A.明确损伤部位
B.判断出血量
C.进一步明确诊断
D.判断损伤肝脏的预后
E.指导手术


点击查看答案


149、单项选择题  关于鼻咽癌CT扫描技术,描述错误的是()

A.常规平扫
B.扫描范围上至蝶鞍、下至第三颈椎下缘
C.颅底部分的图像应加骨窗
D.图像显示一般采用软组织窗
E.常规平扫+增强


点击查看答案


150、单项选择题  

结合所示图像,该病例最可能的诊断为()

A.胸壁肿瘤
B.骨肉瘤
C.乳癌
D.黑色素瘤
E.以上都不是


点击查看答案


151、问答题  什么是胸膜下曲线影?


点击查看答案


152、单项选择题  CT诊断慢性骨髓炎优于X线平片是()

A.检出骨膜增生
B.空间分辨率高
C.检出血管增生
D.检出细小死骨
E.检出骨增生


点击查看答案


153、单项选择题  大叶性肺炎实变期发生于()

A.发病后7天
B.发病12~24小时
C.发病2~3天后
D.发病后即刻
E.发病后6~12小时


点击查看答案


154、单项选择题  多发性硬化的诊断要点,下列描述哪项不对()

A.60岁多见,男性居多
B.脑内多发脱髓鞘病变
C.病灶不大,多位于脑室旁
D.水肿及占位征轻
E.急性期或有恶变时,病灶可强化


点击查看答案


155、单项选择题  以下哪种CT表现最有助于诊断脑内肿瘤()

A.颅板增生
B.蛛网膜下腔增宽
C.与颅板交界呈钝角
D.白质增宽
E.脑室受压移位


点击查看答案


156、单项选择题  输尿管跨越髂动脉处为输尿管的第几个狭窄()

A.第三个狭窄
B.第一个狭窄
C.第二个狭窄
D.第四个狭窄
E.第五个狭窄


点击查看答案


157、多项选择题  下列彼此关联的选项中,哪些是正确的()

A.原发性肺癌——两侧肺门对称性淋巴结肿大
B.矽肺——蛋壳样淋巴结钙化
C.主动脉缩窄——肋骨切迹
D.二尖瓣狭窄——Kerley氏B线
E.大叶性肺炎——支气管充气征


点击查看答案


158、单项选择题  

根据所提供的图像,最可能的诊断是()

A.胰腺真性囊肿
B.Von-Hipple-Linda综合征
C.胰腺假性囊肿
D.胰腺炎
E.以上都不是


点击查看答案


159、单项选择题  动脉瘤样骨囊肿多见于哪个年龄段()

A.20岁以下
B.20~30岁
C.30~40岁
D.40~50岁
E.50岁以上


点击查看答案


160、单项选择题  下列关于急性胆囊炎的特有CT表现,错误的是()

A.胆囊壁增厚>3mm,边缘模糊
B.胆囊壁周围水肿呈环状低密度影
C.胆囊增大,横径>4.5cm
D.胆总管和胰管扩张
E.胆囊腔或壁内可有气体


点击查看答案


161、单项选择题  “脑膜瘤”下列CT征象,哪种最少见()

A.瘤体形态不规则、边缘模糊,坏死囊变明显
B.增强:均匀强化
C.邻近颅骨增厚或破坏
D.肿瘤与硬脑膜广基底粘连
E.平扫:等或略高密度


点击查看答案


162、单项选择题  肾结石最常见的类型是()

A.胱氨酸
B.磷酸镁胺
C.磷酸钙和草酸钙
D.尿酸
E.以上概率相等


点击查看答案


163、问答题  中央型肺癌的CT表现有哪些?


点击查看答案


164、单项选择题  

男,76岁,全身浅表淋巴结肿大,结合所示图像,最可能的诊断是()

A.肾上腺腺瘤
B.肾上腺癌
C.肾上腺嗜铬细胞瘤
D.肾上腺转移癌
E.肾上腺淋巴瘤


点击查看答案


165、单项选择题  患者67岁,男,气促并咯血发作,最可能的诊断为()

A.急性呼吸窘迫综合征
B.可达龙中毒
C.肺炎
D.充血性心衰
E.以上都不是


点击查看答案


166、单项选择题  男,癫痫病史2年,近两个月出现头痛、恶心,CT检查如图,最可能的诊断是()

A.星形细胞瘤
B.脑膜瘤
C.室管膜瘤
D.海绵状血管瘤
E.少突胶质瘤


点击查看答案


167、单项选择题  关于脑实质脑囊虫病的CT表现,错误的是()

A.周围可有水肿
B.囊泡内可见小结节状致密囊虫头节影
C.脑室系统扩大
D.多发散在小圆形低密度影
E.一般不强化


点击查看答案


168、单项选择题  

患者80岁,右下腹痛,结合图像,最可能的诊断为()

A.结肠癌
B.假膜性肠炎
C.缺血坏死性肠炎
D.溃疡性结肠炎
E.以上都不是


点击查看答案


169、单项选择题  关于"中耳胆脂瘤"的CT诊断要点,下述说法哪项不对()

A.听小骨破坏、消失
B.继发性脑脓肿
C.半规管破坏
D.骨棘、外耳道棘骨质正常
E.与炎性肉芽组织难以鉴别


点击查看答案


170、单项选择题  

男,20岁,左胸痛伴压迫感,咳嗽1月,结合CT检查,最可能的诊断是()

A.胸腺瘤
B.纵隔血肿
C.畸胎瘤
D.脂肪瘤
E.淋巴瘤


点击查看答案


171、单项选择题  前脑无裂畸形是由于在胚胎第几周前孕育形成障碍()

A.10~14周
B.16~18周
C.4~8周
D.20~24周
E.26~28周


点击查看答案


172、单项选择题  儿童室管膜瘤最常发生于()

A.第三脑室
B.侧脑室
C.第四脑室
D.导水管
E.脑室旁


点击查看答案


173、多项选择题  CT在肺癌诊断中的价值是()

A.肺癌术前分期
B.显示隐匿性病灶
C.为纤维支气管镜检作向导
D.筛选行纵隔镜检查的病例
E.CT导向经皮穿刺


点击查看答案


174、单项选择题  

男,10岁,大腿下部酸痛、肿胀,结合图像,最可能的诊断是()

A.骨巨细胞瘤
B.骨样骨瘤
C.非骨化性纤维瘤
D.骨化性纤维瘤
E.纤维性骨皮质缺损


点击查看答案


175、单项选择题  54岁男性,右侧面部肿胀、麻木2个月余,伴流涕,CT示右侧上颌窦内软组织密度,伴钙化,后外侧壁骨质消失,最可能的诊断是()

A.上颌窦黏液囊肿
B.上颌窦骨化性纤维瘤
C.上颌窦炎
D.上颌窦血管瘤
E.上颌窦癌


点击查看答案


176、单项选择题  

男,48岁,呼吸困难、胸痛,结合CT图像,最可能的诊断是()

A.支气管胸膜瘘
B.肺结核
C.吸入性肺炎
D.肺囊虫病
E.肺脓肿


点击查看答案


177、判断题  椎缘骨表现为椎体前部半圆形或梭形骨质缺损,缺损区CT值70~90HU。


点击查看答案


178、单项选择题  关于"鼻硬结肿",下列描述哪项不正确()

A.无传染性
B.鼻硬结杆菌感染所致
C.慢性肉芽肿性疾病
D.愈后留瘢痕
E.临床以鼻腔骨壁吸收、破坏和鼻腔内软组织肿块为特征


点击查看答案


179、单项选择题  与肝胆管细胞癌的CT表现不符的是()

A.平扫低密度病灶
B.邻近胆管扩张
C.周围可有卫星灶
D.可有不规则钙化影
E.有明显增强增强程度大于正常肝实质


点击查看答案


180、单项选择题  男,60岁,双髋部疼痛2个月。CT示双侧股骨头塌陷变形,股骨头骨小梁密度增高,最可能的诊断是()

A.股骨头无菌性坏死
B.化脓性关节炎
C.结核性关节炎
D.类风湿性关节炎
E.强直性关节炎


点击查看答案


181、单项选择题  螺旋CT技术中重建间隔的概念是,下列哪项是正确()

A.重建时采用的成像算法 
B.被重建的相邻两横断面之间长轴方向的距离 
C.两层面之间设置的参数 
D.与螺旋扫描原始数据有关的螺距 
E.相邻两层之间的一种加权参数


点击查看答案


182、单项选择题  CT机的运行环境湿度要求是()

A.30%~45% 
B.35%~50% 
C.40%~65% 
D.45%~70% 
E.50%~75%


点击查看答案


183、单项选择题  

女,30岁,患有系统性红斑狼疮合并肾功能不全,行左肾活检后五天出现低血压及贫血,CT检查如图所示,最可能的诊断是()

A.左肾脓肿
B.左肾囊肿合并感染
C.左肾出血
D.左肾癌
E.左肾结核


点击查看答案


184、单项选择题  

根据所提供的图像,最可能的诊断为()

A.胰尾囊腺癌肝转移
B.慢性胰腺炎
C.胰腺结核
D.胰岛细胞瘤
E.以上都不是


点击查看答案


185、单项选择题  肾门向肾内延续于一个较大的腔称为()

A.肾大盏
B.肾盂
C.肾蒂
D.肾门
E.肾窦


点击查看答案


186、单项选择题  

结合所示图像,最可能的诊断是()

A.肾盂肾炎
B.肾梗死
C.移行上皮细胞癌
D.肾细胞癌
E.肾囊肿


点击查看答案


187、单项选择题  成人型多囊肾的影像学特点,以下哪项错误()

A.肾脏外形增大,呈多囊状结构
B.囊壁可有钙化
C.肾盏及漏斗受压变形
D.IVP示“奶酪”肾
E.无肾功能损害


点击查看答案


188、单项选择题  下述一侧肺不发育的CT表现,哪项是错误的()

A.患侧胸腔内无含气肺组织及支气管影像
B.心脏纵隔移向患侧
C.健侧肺代偿性气肿向患侧膨凸
D.纵隔前联合线明显向患侧移位
E.增强检查见患侧肺动脉细小


点击查看答案


189、问答题  局限性胸腔积液的CT表现有哪些?


点击查看答案


190、多项选择题  股骨头缺血坏死的CT表现为()

A.星状征消失
B.点片状密度增高影
C.球钩形
D.双边征
E.股骨头碎裂


点击查看答案


191、问答题  脂肪肉瘤的CT表现有哪些?


点击查看答案


192、名词解释  高分辨力CT


点击查看答案


193、单项选择题  引起肺不张最常见的原因为()

A.呼吸无力
B.支气管阻塞
C.炎症限制
D.肺外压迫
E.肺肿瘤


点击查看答案


194、单项选择题  脑转移瘤好发于()

A.脑髓质
B.小脑皮层
C.脑皮层
D.大脑皮层
E.大脑皮层、皮层下区及皮髓质交界区


点击查看答案


195、单项选择题  关于小肠肿瘤的CT诊断,错误的是()

A.类癌可表现为肠壁近肠系膜侧星芒状的软组织密度肿块
B.小肠腺癌有早期发生局部淋巴结转移的倾向
C.平滑肌肉瘤的肠管可出现“动脉瘤样扩张”征象
D.小肠转移癌的肠管可出现“动脉瘤样扩张”征象
E.脂肪瘤易引起肠套叠


点击查看答案


196、单项选择题  

患者55岁,男性,结合图像,最可能的诊断为()

A.胰岛细胞瘤
B.淋巴瘤
C.胰腺转移癌
D.胰腺癌
E.以上都不是


点击查看答案


197、单项选择题  

患者腹痛,发热,结合图像,最可能的诊断是()

A.假膜性大肠炎
B.溃疡性结肠炎
C.克罗恩病
D.转移癌
E.淋巴瘤


点击查看答案


198、问答题  鼻窦粘膜下囊肿的CT表现有哪些?


点击查看答案


199、问答题  慢性肺源性心脏病的CT和MRI表现有哪些?


点击查看答案


200、单项选择题  肝脏血液循环的特点,以下观点哪项是对的()

A.约3/4的肝脏正常血供来自门静脉
B.约3/4的肝脏正常血供来自肝动脉
C.原发性肝癌,约3/4血供来自门静脉
D.原发性肝癌,门静脉、肝动脉供血各半
E.以上都不对


点击查看答案


201、单项选择题  关于骨关节软组织CT扫描,错误的是()

A.在X线平片的指导下,确定扫描范围
B.肢体检查应双侧同时扫描
C.应用骨窗和软组织窗同时观察
D.有时可采用斜位扫描
E.为发现骨病变行增强扫描


点击查看答案


202、单项选择题  下列哪项在梗阻性黄疸的鉴别中意义不大()

A.胆管及胰管扩张程度
B.胆管及胰管扩张平面
C.胆管形态及管壁厚度
D.肝脏大小及密度
E.有无结石和软组织肿块


点击查看答案


203、单项选择题  下列关于CT值的概念,哪一项是正确的()

A.CT值反映了物质的密度 
B.CT值反映了物质内水的成分 
C.CT值是物质密度的绝对值 
D.不同的机器产生的CT值不同 
E.根据CT值可以对病灶做出定性诊断


点击查看答案


204、单项选择题  有助于鉴别子宫肌瘤与子宫体癌的是()

A.子宫外形和大小
B.肿块大小和密度
C.肿瘤轮廓和边缘
D.增强扫描的强化特征
E.以上都不是


点击查看答案


205、单项选择题  

女,58岁,颈部疼痛,活动受限,结合图像,最可能的诊断是()

A.颈椎退行性变
B.颈椎结核
C.椎缘骨
D.椎间盘突出
E.局限性骨化性肌炎


点击查看答案


206、单项选择题  脑脓肿好发生于下列颅内哪个部位()

A.垂体
B.额叶
C.顶叶
D.颞叶
E.枕叶


点击查看答案


207、单项选择题  

根据所提供的图像,该病例最可能的诊断为()

A.肾盂肾炎
B.肾癌
C.肾梗死
D.肾裂伤
E.肾挫伤


点击查看答案


208、单项选择题  泪腺上皮肿瘤,最常见的为()

A.腺样囊性癌
B.腺癌
C.多形性腺癌
D.未分化癌
E.鳞状上皮癌


点击查看答案


209、单项选择题  男,10岁,癫痫。CT示右顶叶表面有一裂隙,向内并延伸到侧脑室体旁,侧脑室外侧壁可见一局限性突起与其相连,最可能的诊断为()

A.穿通畸形
B.空洞脑
C.脑裂畸形
D.脑软化灶
E.蛛网膜囊肿


点击查看答案


210、单项选择题  螺旋CT与传统CT最主要的区别是()

A.动态扫描 
B.体积扫描 
C.快速扫描 
D.同层扫描 
E.以上都不是


点击查看答案


211、问答题  Budd-Chiari综合征的CT表现有哪些?


点击查看答案


212、单项选择题  鞍区肿瘤平扫示混杂密度影,最可能的诊断是()

A.垂体瘤
B.脑膜瘤
C.颅咽管瘤
D.动脉瘤
E.脊索瘤


点击查看答案


213、多项选择题  诊断缩窄性心包炎最重要的三种征象为()

A.上腔静脉扩张
B.心包增厚
C.心包钙化
D.右心房血栓形成
E.室间隔扭曲成角


点击查看答案


214、单项选择题  青年女性,低热、乏力、左腰痛3月余。CT示左肾影增大,左肾上极密度不均,有斑点样钙化,增强扫描左肾上极有多个囊腔,囊壁中等强度环形强化,邻近肾实质受压变薄,肾盏轻度扩大,应首先考虑左肾上极病变为()

A.左肾上极肾盂癌
B.左肾上极脓肿
C.左肾上极错构瘤
D.左肾上极囊肿
E.左肾上极结核


点击查看答案


215、单项选择题  深吸气后屏气,常用于的摄片部位是()

A.躯干 
B.头颅 
C.肺部 
D.心脏 
E.手


点击查看答案


216、单项选择题  夹层动脉瘤(主动脉夹层)CT特征性征象是()

A.两个不同增强密度的主动脉腔被一内膜所分隔
B.主动脉钙化内移
C.主动脉壁异常扩张
D.主动脉各段管径不成比例
E.主动脉周围血肿形成


点击查看答案


217、多项选择题  垂体型艾迪生病最常见的致病原因为()

A.产后大出血
B.颅咽管瘤
C.垂体肿瘤
D.下丘脑附近肿瘤
E.脑膜炎


点击查看答案


218、单项选择题  

结合图像,最可能的诊断是()

A.胰腺癌浸润肠系膜上静脉
B.正常
C.淋巴瘤
D.缺血坏死
E.以上都不是


点击查看答案


219、单项选择题  多发性硬化最常见部位是()

A.视交叉及视神经
B.侧脑室周边脑白质
C.基底节
D.脑干
E.小脑白质


点击查看答案


220、单项选择题  较易引起肺癌的尘肺是()

A.矽肺
B.石棉肺
C.煤尘肺
D.铁矽肺
E.有机尘肺


点击查看答案


221、单项选择题  脊柱退行性改变不会引起椎管狭窄的是()

A.黄韧带肥厚
B.后纵韧带钙化
C.椎间盘真空变性
D.椎间盘后突
E.椎体增生,骨赘形成


点击查看答案


222、配伍题  乳腺脓肿()
乳腺纤维腺瘤()

A.保守治疗
B.切开引流术
C.肿块切除术
D.乳腺单纯切除


点击查看答案


223、单项选择题  硬膜外型海绵状血管瘤多发生于()

A.大脑镰旁
B.矢状窦旁
C.天幕
D.鞍旁
E.鞍上


点击查看答案


224、配伍题  导管内乳头状瘤()
乳腺导管内癌()
导管扩张症()

A.乳头血性溢液
B.乳头脱屑
C.乳头脓性溢液
D.乳头白色溢液
E.乳头淡黄色溢液


点击查看答案


225、单项选择题  在下列喉癌类型中,依淋巴转移率由高至低排列为()

A.声门上区癌>声门区癌>声门下区癌
B.声门区癌>声门上区癌>声门下区癌
C.声门区癌>声门下区癌>声门上区癌
D.声门上区癌>声门下区癌>声门区癌
E.声门下区癌>声门上区癌>声门区癌


点击查看答案


226、单项选择题  

影像检查如图,最可能的诊断是()

A.正常结构
B.心房血栓
C.心脏息肉
D.心房黏液瘤
E.以上都不是


点击查看答案


227、单项选择题  下列颅内出血急性期的描述中,错误的是()

A.发病时间<1周
B.血肿为均匀高密度,呈类圆形、肾形或不规则形
C.有周围水肿
D.有占位
E.增强扫描为不规则形强化


点击查看答案


228、单项选择题  

男,59岁,右侧髋骶部持续性疼痛,夜间加重,2月前被确诊为肾细胞癌,结合图像,最可能的诊断是()

A.骨肉瘤
B.骨巨细胞瘤
C.骨囊肿
D.骨转移瘤
E.骨瘤


点击查看答案


229、单项选择题  有利于甲状腺癌诊断的CT表现是()

A.增强明显
B.边缘模糊
C.钙化
D.分叶状
E.颈淋巴结转移


点击查看答案


230、单项选择题  青年男性,自觉无明显不适,CT示双下肺多发斑片状、边缘不清模糊影,有支气管气相,抗感染治疗30天后复查,病灶形态变化不大,但位置改变,最可能的诊断是()

A.过敏性肺炎
B.肺结核
C.支气管扩张
D.矽肺
E.肺放线菌病


点击查看答案


231、单项选择题  女,49岁,发现右乳肿块2个月,质硬,表面不光滑,与皮肤及深部无粘连,无压痛。右腋窝可触及一个杏仁大淋巴结,尚活动。若为乳腺癌,属下列哪期()

A.TisN0M0
B.T1N1M0
C.T2N0M0
D.T2N1M0
E.T2N2M0


点击查看答案


232、单项选择题  

肝癌介入术后,结合图像,最可能的诊断是()

A.肝癌介入术后肿瘤坏死
B.感染
C.肝脓肿
D.肝囊肿
E.以上都不是


点击查看答案


233、单项选择题  

根据所提供的图像,该患者最不可能的诊断为()

A.胰腺腺癌
B.胰岛细胞瘤
C.胰腺假性囊肿
D.胰腺囊腺瘤
E.以上都不是


点击查看答案


234、单项选择题  CT对甲状腺肿瘤的诊断评价,下列说法哪项不正确()

A.定位较准确
B.有无钙化是鉴别良恶性的依据
C.判断有无淋巴结转移
D.判断有无邻近组织受累
E.鉴别良恶性有一定限度


点击查看答案


235、单项选择题  儿童的肾脏恶性肿瘤,多数为()

A.肾腺癌
B.肾母细胞瘤
C.肾盂癌
D.转移性肾癌
E.肾淋巴瘤


点击查看答案


236、单项选择题  有关骨巨细胞瘤的叙述,正确的是()

A.多见于儿童
B.为良性病变
C.长管状骨的病变,多位于关节面下
D.病变无增强
E.信号均匀


点击查看答案


237、单项选择题  

男,36岁,左大腿可触及软组织肿块,结合图像,最可能的诊断是()

A.脂肪瘤
B.脂肪肉瘤
C.血管瘤
D.淋巴管瘤
E.纤维肉瘤


点击查看答案


238、多项选择题  应与鼻咽癌鉴别的疾病有()

A.脊索瘤
B.鼻咽部淋巴组织增生
C.鼻咽纤维血管瘤
D.蝶窦恶性肿瘤
E.鼻咽部结核


点击查看答案


239、单项选择题  下列哪项不属于我国肝癌协作病理组对肝癌的分类()

A.块状型
B.结节型
C.弥漫型
D.多灶型
E.小癌型


点击查看答案


240、单项选择题  下列哪项是诊断肺隔离症的最有特征性的影像学表现()

A.病变多位于下叶后基底段
B.若不充气,表现为膈上椎旁高密度病变
C.若与支气管交通,表现囊性病变,内有液平面
D.增强扫描显示来自主动脉的血管进入病变区
E.必须具备A、B、C、D四项


点击查看答案


241、配伍题  中纵隔最常见的肿瘤是()
前纵隔最常见的肿瘤是()
后纵隔最常见的肿瘤是()

A.畸胎瘤
B.胸腺瘤
C.淋巴瘤
D.神经源性肿瘤
E.甲状腺瘤


点击查看答案


242、单项选择题  女,38岁,躯体活动受限,结合MRI检查,最可能的诊断是()

A.脊膜瘤
B.神经纤维瘤
C.肺癌
D.肺结核
E.神经鞘膜瘤


点击查看答案


243、单项选择题  肾梗死()

A.梗死灶呈地图状
B.梗死灶呈锥体形
C.梗死灶呈节段状
D.梗死灶发生液化
E.梗死区化脓


点击查看答案


244、单项选择题  韦格肉芽肿的CT征象中,哪项说法不对()

A.CT对结节病灶、粟粒状病灶显示不满意
B.部分结节或球形病灶周围可见针刺状突起
C.邻近胸膜面可见放射状条索影
D.增强检查多可见1支供养血管进入结节病灶
E.约半数患者的结节或球形病灶可见空洞


点击查看答案


245、多项选择题  下列选项中,“二快一慢”肝脏增强技术的是()

A.快速扫描 
B.慢速扫描 
C.延迟扫描 
D.慢速注射 
E.快速注射


点击查看答案


246、单项选择题  

患者有结肠癌病史,结合图像,最可能的诊断是()

A.骨盆脓肿
B.术后改变
C.肿瘤复发
D.骶椎肿瘤
E.以上都不是


点击查看答案


247、单项选择题  

根据所提供的图像,下列哪项是不可能的诊断()

A.淋巴瘤
B.硬化性肠系膜炎
C.类癌瘤
D.浸润性胰腺癌
E.以上都不是


点击查看答案


248、单项选择题  生殖细胞瘤与松果体瘤鉴别,最有利于生殖细胞瘤诊断的CT表现是()

A.肿瘤在三脑室后部
B.松果体钙化被肿瘤包埋
C.松果体钙化受压移位
D.松果体无钙化
E.梗阻性脑积水


点击查看答案


249、单项选择题  有关窗技术的理解,下列哪个不妥()

A.利用窗技术,将人体组织分为的2000个分度,调整到人眼所能辨别的16个灰阶中 
B.窗位是指窗宽上限、下限CT值的平均数 
C.窗位、窗中心是指一个概念 
D.为显示不同组织影像,应在规范的范围调整 
E.窗口技术调整的目的,是为了拍摄出一张对比良好的照片 


点击查看答案


250、单项选择题  关于肝硬化,下列观点哪项不对()

A.肝硬化结节不会癌变
B.肝硬化患者,肝转移癌发生率降低
C.血吸虫性肝硬化,肝裂多增宽
D.结节性肝硬化有家族倾向
E.肝脏体积可不同程度增大或缩小


点击查看答案


251、单项选择题  30岁,头痛。CT示左小脑半球有一3cm×4cm囊样低密度区伴壁结节,结节明显增强,四脑室受压变形,右移。最大可能是()

A.淋巴瘤
B.脑膜瘤
C.髓质母细胞瘤
D.血管网状细胞瘤
E.胶质母细胞瘤


点击查看答案


252、多项选择题  “儿童小脑星形细胞瘤”特点为()

A.多起源于小脑半球
B.可起源于小脑蚓部
C.多呈单房或多房的囊样结构
D.水肿程度比大脑半球者重
E.水肿程度比大脑半球者轻


点击查看答案


253、单项选择题  大支气管阻塞常见的原因是()

A.支气管肺腺瘤
B.支气管内膜结核
C.支气管肺癌
D.支气管淀粉样变
E.淋巴瘤


点击查看答案


254、单项选择题  下述肝门部胆管癌CT征象,哪项不对()

A.增强早期,肿块无明显强化
B.CT平扫,肝门区等密度或低密度肿块
C.肝内胆管一致性或局限性扩张
D.延迟扫描,肿块呈高密度
E.肝门部胆管形态可无变化


点击查看答案


255、单项选择题  在哪个时期,脑血肿与脑梗死的CT表现相仿()

A.超急性期
B.急性期
C.亚急性早期
D.亚急性晚期
E.慢性期


点击查看答案


256、单项选择题  有关大脑半球各叶分界的描述,中下列哪项是错误的()

A.顶叶经中央沟与额叶分隔
B.岛叶借环状沟与额顶颞叶分隔
C.颞、顶、枕叶的分界为外侧裂与顶枕裂的连线
D.额叶经外侧裂与颞叶分隔
E.顶枕裂区分顶叶和枕叶


点击查看答案


257、多项选择题  恶性嗜铬细胞瘤的CT表现是()

A.合并甲状腺髓样癌的Ⅱ型嗜铬细胞瘤
B.瘤体大,不规则分叶状,密度不均
C.包埋附近腹主动脉、下腔静脉、肾静脉
D.侵及邻近器官
E.肝转移及附近淋巴结转移


点击查看答案


258、单项选择题  好发于巩膜、球筋膜下间隙内的肿瘤是()

A.炎性假瘤
B.泪腺肿瘤
C.皮样囊肿
D.视网膜母细胞瘤
E.血管瘤


点击查看答案


259、单项选择题  

肾移植患者发热,结合图像,最可能的诊断是()

A.缺血坏死性肠炎
B.假膜性大肠炎
C.结肠癌
D.溃疡性结肠炎
E.淋巴瘤


点击查看答案


260、单项选择题  有关肝脂肪变性的描述,不正确的是()

A.肝硬化脂肪变性与单纯脂肪沉积的病理基础相同
B.肝脾CT值之比<1即可诊断脂肪肝
C.CT平扫肝实质密度明显下降,肝内血管影显示不清或不能显示
D.增强特征与正常肝脏一致,但仍低于增强后的脾脏
E.肝内血管有时受挤压变细,但无推移包绕现象


点击查看答案


261、多项选择题  CT增强中最常用的对比剂有()

A.氧气 
B.硫酸钡 
C.碘油 
D.离子型有机碘水 
E.非离子型有机碘水


点击查看答案


262、单项选择题  女,43岁,头痛发热5天,CT平扫显示.脑底池强化,脑室扩大,最可能的诊断是()

A.结核性脑膜炎
B.化脓性脑膜炎
C.脑膜型脑囊虫病
D.病毒性脑膜脑炎
E.霉菌性脑膜炎


点击查看答案


263、单项选择题  下列关于“多囊卵巢病”的要点,错误的是()

A.不孕、闭经、多毛
B.只累及一侧卵巢
C.卵巢内多发囊状影
D.囊液水样密度
E.卵巢明显增大


点击查看答案


264、单项选择题  氦氖激光器产生的激光波长为()

A.550nm 
B.633nm 
C.670nm 
D.790nm 
E.820nm


点击查看答案


265、判断题  出生婴儿产伤所致的硬膜下血肿最常位于顶部硬膜下或小脑天幕附近。


点击查看答案


266、单项选择题  肝脏增强扫描动脉期,对以下哪种病变诊断价值最高()

A.原发性肝癌 
B.肝脏炎性假瘤 
C.局灶性结节增生 
D.转移性肝癌 
E.肝囊肿


点击查看答案


267、单项选择题  下列哪项不是肝癌所致肝静脉、下腔静脉癌栓的表现()

A.下腔静脉不规则
B.肝静脉阻塞
C.下腔静脉增宽且密度不均
D.肠系膜上静脉内见同心圆黑影
E.下腔静脉腔内充盈缺损


点击查看答案


268、多项选择题  慢性胆囊炎的CT表现为()

A.容易穿孔并在肝内形成脓肿
B.胆囊缩小
C.胆囊增大
D.均合并结石
E.胆囊壁增厚可钙化


点击查看答案


269、单项选择题  决定空间分辨率的主要因素()

A.扫描方式
B.有效视野
C.重建矩阵
D.显示矩阵
E.探测器数目


点击查看答案


270、单项选择题  

男,18岁,根据所示图像,最可能的诊断是()

A.右肾积水
B.右肾出血
C.右肾囊肿
D.右侧肾癌
E.右肾动静脉畸形


点击查看答案


271、单项选择题  边缘系统不包括()

A.扣带回
B.海马回
C.颞横回
D.钩回
E.杏仁核


点击查看答案


272、单项选择题  男,52岁,无明显不适,CT检查,最可能的诊断为()

A.脑血管畸形
B.结节性硬化
C.甲状旁腺功能低下
D.脑颜面血管瘤病
E.转移瘤


点击查看答案


273、单项选择题  通过颈静脉孔血管部的结构是()

A.三叉神经
B.面神经
C.舌咽神经
D.舌下神经
E.迷走神经


点击查看答案


274、单项选择题  以下哪项CT表现不支持纵隔神经源性肿瘤的诊断()

A.肿物位于后纵隔
B.肿物软组织密度,低于肌肉
C.肿物有增强
D.肿物内可见空洞
E.邻近结构侵犯


点击查看答案


275、单项选择题  有关鞍上池毗邻关系的描述,正确的是()

A.前为额下回,侧为海马,后为桥脑
B.前为眶回,侧为颞叶,后为桥脑
C.前为额叶,侧为颞叶,后为桥脑
D.前为直回,侧为海马,后为中脑
E.前为额叶,侧为颔叶,后为延髓


点击查看答案


276、单项选择题  

男,17岁,发现颈部肿块1月,胸片检查、CT检查如图,最可能的诊断为()

A.胸腺瘤
B.畸胎瘤
C.淋巴瘤
D.胸内甲状腺瘤
E.囊状淋巴管瘤


点击查看答案


277、单项选择题  男,38岁,外伤后半个月,行CT复查如图,最可能的诊断为()

A.脑出血
B.硬膜外血肿
C.脑萎缩
D.脑挫裂伤
E.亚急性硬膜下血肿


点击查看答案


278、问答题  化脓性骨髓炎的CT表现有哪些?


点击查看答案


279、单项选择题  

女,67岁,进行性吞咽困难半年,X线及CT检查如图,最可能的诊断为()

A.食管癌
B.食管憩室
C.食管炎
D.食管良性狭窄
E.食管静脉曲张


点击查看答案


280、单项选择题  腹主动脉瘤的直径为多少容易发生破裂()

A.<3.5cm
B.<4.0cm
C.>5cm
D.>8cm
E.<1.0cm


点击查看答案


281、单项选择题  可触摸的腹部团块是()

A.淋巴瘤
B.马蹄肾
C.肾下垂
D.旋转不良症
E.以上都不是


点击查看答案


282、单项选择题  

男,75岁,吞咽有梗阻感,消瘦、乏力、中上腹痛,影像检查如图,最可能的诊断是()

A.食管癌
B.胃窦癌
C.贲门癌
D.慢性胃炎
E.胃淋巴瘤


点击查看答案


283、单项选择题  符合骨囊肿的CT表现为()

A.边缘硬化,有液-液平面
B.无钙化
C.无液-液平面、无增强
D.有钙化或骨化影
E.边缘有硬化,无液-液平面


点击查看答案


284、多项选择题  

女,44岁,突发性胁腹部绞痛并向会阴部放射伴血尿一次,CT扫描如图所示,下列说法正确的是()

A.右侧肾盂肾盏扩张
B.右输尿管中上段扩张
C.右输尿管内可见沿输尿管走行的高密度影
D.右输尿管结石
E.左肾输尿管未见异常


点击查看答案


285、判断题  对于颅底和后颅窝病变的诊断,MRI优于CT扫描。


点击查看答案


286、名词解释  CT图像


点击查看答案


287、单项选择题  

胃壁增厚,结合图像,该病例的鉴别诊断包括()

A.淋巴瘤
B.腺癌
C.转移
D.以上都是
E.以上都不是


点击查看答案


288、单项选择题  关于脾血管瘤的描述,错误的是()

A.表现类似肝脏血管瘤
B.可为实性肿块也可是囊实性肿块
C.是脾最常见的良性肿瘤
D.呈蛋壳样或斑点状钙化
E.增强扫描肿块明显增强


点击查看答案


289、单项选择题  

根据所提供的图像,该病例最可能的诊断为()

A.克罗恩病
B.传染性肠炎
C.炎性腹泻
D.肠源性脂肪代谢障碍
E.以上都不是


点击查看答案


290、单项选择题  

根据所提供的图像,最可能的诊断是()

A.肝囊肿
B.肝脓肿
C.肝胆管细胞癌伴肝硬化
D.肝细胞癌
E.以上都不是


点击查看答案


291、单项选择题  

男,25岁,右侧小腿疼痛3个月余,结合影像学检查,最可能的诊断是()

A.骨脓肿
B.骨囊肿
C.成骨细胞瘤
D.骨样骨瘤
E.骨巨细胞瘤


点击查看答案


292、单项选择题  CT基本设备不包括以下哪项()

A.计算机和数据收集、阵列处理系统 
B.扫描架、检查床和X线发生系统 
C.独立诊断工作站 
D.操作台和图像显示系统 
E.照相机和其他用于资料的存储设备


点击查看答案


293、单项选择题  与解剖学水平面平行的定位线是()

A.听眉线 
B.听眦线 
C.听眶线 
D.听口线 
E.听鼻线


点击查看答案


294、问答题  胸部放射性损伤的CT表现有哪些?


点击查看答案


295、单项选择题  肺癌术后1年,头痛、呕吐、言语不灵,左上肢乏力7天。头颅CT检查应用()

A.平扫加增强扫描
B.平扫
C.动态扫描
D.冠状位平扫
E.脑池造影、CT扫描


点击查看答案


296、单项选择题  

男,72岁,尿频,根据所示图像,最可能的诊断是()

A.输尿管囊肿
B.先天性巨输尿管
C.膀胱憩室
D.膀胱癌
E.输尿管癌


点击查看答案


297、单项选择题  下列关于肾上腺嗜铬细胞瘤的说法哪项不正确()

A.常为圆或卵圆形实性肿块
B.较大肿块中央可坏死呈低密度
C.增强扫描无强化
D.少数具有钙化
E.少数可为较大的厚壁囊性肿块


点击查看答案


298、判断题  注射对比剂后,乳腺内各正常组织可轻度增强。


点击查看答案


299、问答题  心包、胸膜囊肿有何CT表现?


点击查看答案


300、单项选择题  患儿曾在婴儿时做过食道-气管漏修补术,现有反复感染,最可能的诊断是()

A.食道穿孔
B.气管内残留原修补术后所形成的盲管
C.气管直接分出支气管分支
D.食管-气管漏管
E.以上都不是


点击查看答案


题库试看结束后微信扫下方二维码即可打包下载完整版《★医学影像技术(医学高级)》题库
手机用户可保存上方二维码到手机中,在微信扫一扫中右上角选择“从相册选取二维码”即可。
题库试看结束后微信扫下方二维码即可打包下载完整版《医学影像技术(医学高级):CT》题库,分栏、分答案解析排版、小字体方便打印背记!经广大会员朋友实战检验,此方法考试通过率大大提高!绝对是您考试过关的不二利器
手机用户可保存上方二维码到手机中,在微信扫一扫中右上角选择“从相册选取二维码”即可。
】【打印繁体】 【关闭】 【返回顶部
下一篇口腔正畸(医学高级):诊断学基础..

问题咨询请搜索关注"91考试网"微信公众号后留言咨询